Zum Hauptinhalt springen Zur Suche springen Zur Hauptnavigation springen

Hinweis: Unser Sortiment richtet sich ausschließlich an Zahnarztpraxen, Zahnlabore und Unternehmen der Dentalbranche. Ein Verkauf an Privatpersonen ist ausgeschlossen.

Willkommen bei ADS. American Dental Systems. Gemeinsam verbessern wir die Zahnmedizin.

Ästhetische Formkorrekturen mithilfe von Teil- und Voll-Komposit-Veneers

Ein 17-jähriger Junge wurde nach abgeschlossener kieferorthopädischer Korrektur in die Praxis von Dr. Martin von Sontagh überwiesen. Ziel war es, die letzten Asymmetrien an seinem neuen Lachen zu korrigieren. 

Es galt, das kleine Diastema zwischen den Einsern zu schließen und jeweils die Schneidekanten zu verlängern. Die Zweier mussten ebenfalls verbreitert und verlängert werden. Damit diese schlussendlich nicht zu breit erscheinen, wurden auch die Einser nach distal und die Eckzähne nach mesial in die Breite korrigiert. Um die Symmetrie mit den Einsern wieder herzustellen, wurden die Eckzähne zugleich verlängert. Damit die Restaurationen den Belastungen der Kaukräfte standhalten und die Funktion aufrechterhalten bleibt, ist eine Front-Eckzahnführung unabdingbar. Diese wurde durch palatinale Aufbauten an den Dreiern hergestellt. 

Die Zähne wurden nicht präpariert, lediglich mit Aquacare sandgestrahlt. Für diesen Fall kam das Komposit Inspiro von Edelweiss Dr zum Einsatz.
Dr. Martin von Sontagh

Abbildung 1

Zu kleiner 12er.

Abbildung 2

Zu kleiner 22er.

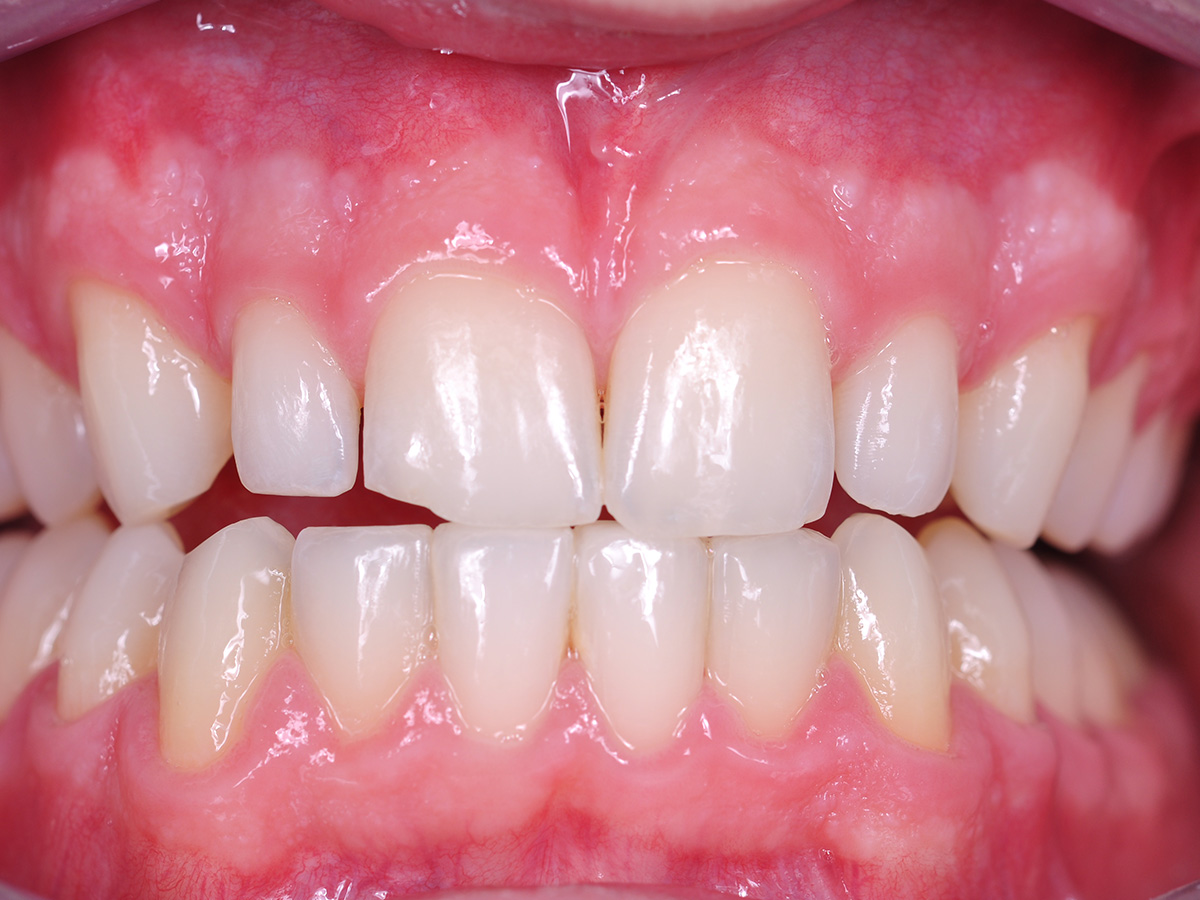
Abbildung 3

Ausgangssituation.

Abbildung 4

Farbauswahl inspiro (edelweiss dr) BI 1, SW ST.

Abbildung 5

Ausgangssituation unter Kofferdam, nach Sandstrahlen mit Aquacare (Velopex).

Abbildung 6

Unica anterior (Polydentia) wurde an Zahn 12 appliziert.

Abbildung 7

SW wurde für die palatinale Wand sowie für den Kontaktpunkt benutzt.

Abbildung 8

Auch die letzte Schicht wurde mit SW angefertigt, nachdem BI 1 für den Dentinkörper benutzt wurde.

Abbildung 9

Die Schneidekante wurde teils mit inspiro Flow BI 1 verlängert.

Abbildung 10

BI1 wurde von SW überdeckt.

Abbildung 11

Unica anterior mini deep (Polydentia) am Zahn 22.

Abbildung 12

Palatinale Wand und Kontaktpunkt werden mit SW hergestellt.

Abbildung 13

Dentinkern und Mammelons werden mit BI 1 gestaltet.

Abbildung 14

Der Schmelzmantel wurde mit SW modelliert.

Abbildung 15

Der Kontaktpunkt zwischen 22 und 23 wurde mittels Streifentechnik hergestellt.

Abbildung 16

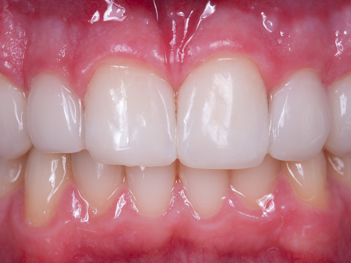
Fertige Restaurationen vor der Ausarbeitung.

Abbildung 17

Fertige Aufbauten nach Ausarbeitung und Politur.

Abbildung 18

Detailansicht vom Komposit-Veneer am Zahn 12.

Abbildung 19

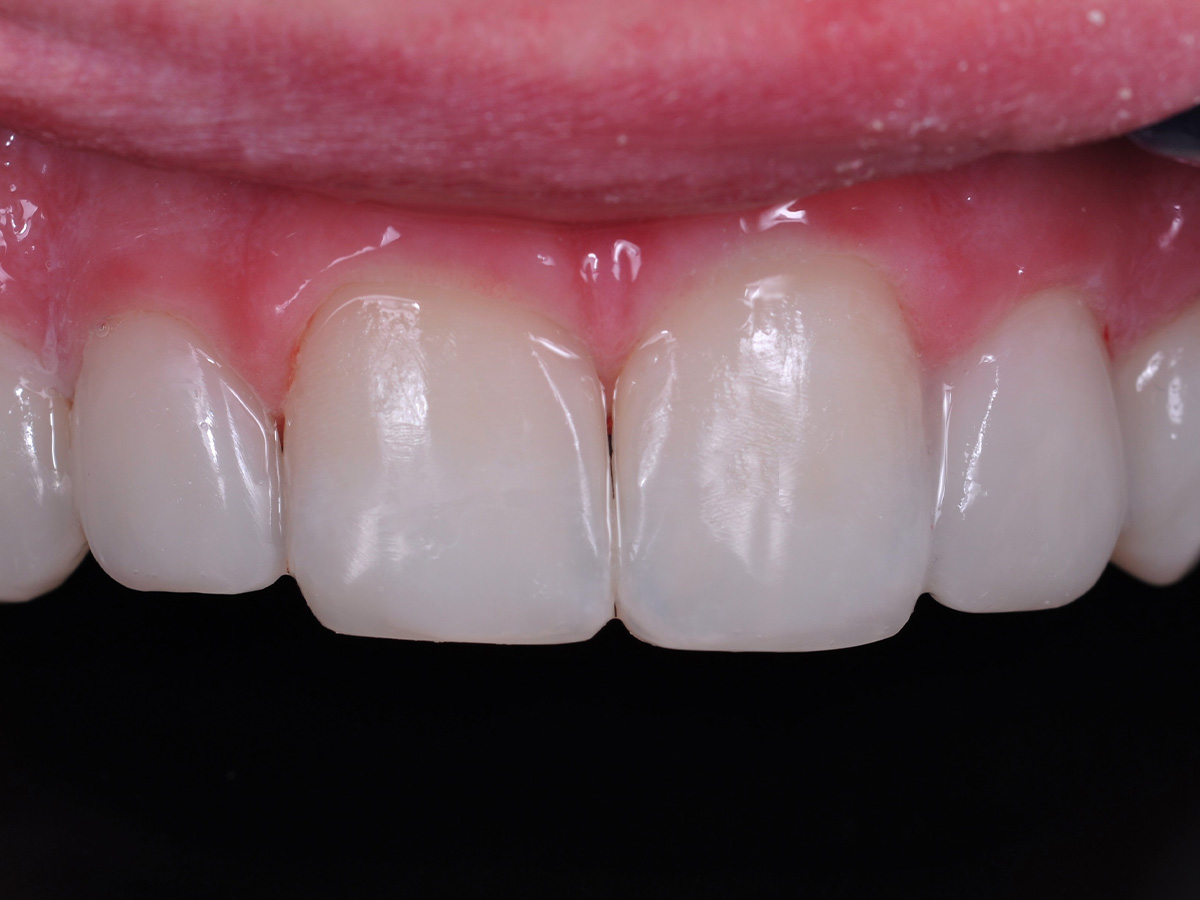
Fertige Restaurationen mit schwarzem Hintergrund, um den Kontrast der neuen Arbeit besser hervorzuheben.

Abbildung 20

Seitenansicht der neuen Zähne.

Abbildung 21

Seitenansicht der neuen Zähne.

Verwendete Produkte

Produktgalerie überspringen

Zugehörige Produkte

Unica anterior Introkit
Unica anterior Introkit
Artikelnr.: 5960022
Herstellernr.: 6900

371,15 €
zzgl. MwSt.
zzgl. Versand
Unica anterior Matrizen Nachfüllpackung (12)
Unica anterior Matrizen Nachfüllpackung (12)
Artikelnr.: 5960040
Herstellernr.: 6912

50,05 €
zzgl. MwSt.
zzgl. Versand
Unica anterior Matrizen Nachfüllpackung (50)
Unica anterior Matrizen Nachfüllpackung (50)
Artikelnr.: 5960041
Herstellernr.: 6950

146,65 €
zzgl. MwSt.
zzgl. Versand
Unica minideep anterior (50)
Unica minideep anterior (50)
Artikelnr.: 5960042
Herstellernr.: 6951

146,65 €
zzgl. MwSt.
zzgl. Versand
Unica minideep anterior (12)
Unica minideep anterior (12)
Artikelnr.: 5960043
Herstellernr.: 6911

50,05 €
zzgl. MwSt.
zzgl. Versand
inspiro Master Kit Compule
inspiro Master Kit Compule
Artikelnr.: 7271100
Herstellernr.: 3010

1.621,80 €
zzgl. MwSt.
zzgl. Versand
inspiro Master Kit Syringe
inspiro Master Kit Syringe
Artikelnr.: 7271110
Herstellernr.: 3020

1.199,55 €
zzgl. MwSt.
zzgl. Versand
inspiro Intro Kit Compule
inspiro Intro Kit Compule
Artikelnr.: 7271120
Herstellernr.: 3030

1.236,25 €
zzgl. MwSt.
zzgl. Versand
inspiro Intro Kit Syringe
inspiro Intro Kit Syringe
Artikelnr.: 7271130
Herstellernr.: 3040

801,75 €
zzgl. MwSt.
zzgl. Versand
AquaCare (mit 2 Kammern)
AquaCare (mit 2 Kammern)
Artikelnr.: 9821607
Herstellernr.: I/MAC8502F

4.268,75 €
zzgl. MwSt.
zzgl. Versand
AquaCare Black Edition (mit 2 Kammern)
AquaCare Black Edition (mit 2 Kammern)
Artikelnr.: 9821608
Herstellernr.: I/MAC8508F

4.268,75 €
zzgl. MwSt.
zzgl. Versand

Aktuelle Fortbildungen

2. Curriculum "The Art of Digital Dentistry"
16.
Jan.
2. Curriculum "The Art of Digital Dentistry"
Fr., 16.01.26, 09:00 - 20.06.26, 17:00 (Europe/Berlin)
München
Dr. Christian Leonhardt (klinische Leitung)
Prof. Dr. Markus Blatz (wissenschaftliche Leitung)
TEAM | 2. Curriculum "The Art of Digital Dentistry"
16.
Jan.
TEAM | 2. Curriculum "The Art of Digital Dentistry"
Fr., 16.01.26, 09:00 - 20.06.26, 17:00 (Europe/Berlin)
München
Dr. Christian Leonhardt (klinische Leitung)
Prof. Dr. Markus Blatz (wissenschaftliche Leitung)
 
26.
Feb.
4D Dentistry - das Update: Workflow, Software, Hardware, Fun
Do., 26.02.26, 20:00 - 22:00 (Europe/Berlin)
online
Dr. Christian Leonhardt
Endo Friday Meeting - Modul I
17.
Apr.
Endo Friday Meeting - Modul I
Fr., 17.04.26, 13:00 - 19:00 (Europe/Berlin)
Innsburck
ZA Eduardo Belandria
Endo Friday Meeting - Modul II
15.
Mai
Endo Friday Meeting - Modul II
Fr., 15.05.26, 13:00 - 19:00 (Europe/Berlin)
Innsburck
ZA Eduardo Belandria
Endo Friday Meeting - Modul III
05.
Juni
Endo Friday Meeting - Modul III
Fr., 05.06.26, 13:00 - 19:00 (Europe/Berlin)
Innsburck
ZA Eduardo Belandria
Kieferorthopädie heute: State of the Art - 4D
26.
Nov.
Kieferorthopädie heute: State of the Art - 4D
Do., 26.11.26, 09:00 - 28.11.26, 17:00 (Europe/Berlin)
München
Dr. Domingo Martin Salvador
Dr. Alberto Canábez Berthet