Zum Hauptinhalt springen Zur Suche springen Zur Hauptnavigation springen

Hinweis: Unser Sortiment richtet sich ausschließlich an Zahnarztpraxen, Zahnlabore und Unternehmen der Dentalbranche. Ein Verkauf an Privatpersonen ist ausgeschlossen.

Willkommen bei ADS. American Dental Systems. Gemeinsam verbessern wir die Zahnmedizin.

Neue Kompositformel für ästhetische Provisorien

Im Rahmen einer oralen Rehabilitation lässt sich eine prothetische Rekonstruktion klinisch und labortechnisch nur über mehrere Behandlungsphasen realisieren. Eine Zwischenversorgung ist notwendig, die entscheidenden Einfluss auf das Wohlbefinden des Patienten, die Qualität der definitiven Versorgung und den Langzeiterfolg der Behandlung hat.
Porträt ZA Horst Dieterich
ZA Horst Dieterich

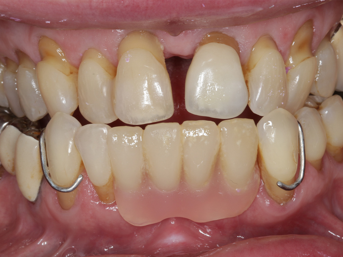
Abbildung 1

Ausgangssituation bei unserer Patientin, UK-Front mit Interimsprothese versorgt, geplant ist eine Brücke von 34-43.

Abbildung 2

Im Labor vorbereitetes Modell mit Gipsersatzzähnen für den zahnlosen Teil. Entspricht der klinischen Situation mit der Teilprothese. Der zervikale Anteil wird mit Wachs oder Komposit verstärkt, um dort das Rohprovisorium dicker zu machen.

Abbildung 3

Über das vorbereitete Modell wird eine Silikonabformung gemacht. Wird Komposit oder ein hitzebeständiges Wachs zur Randverstärkung genommen, kann auch eine Polyethylenfolie tiefgezogen werden.

Abbildung 4

Tuff-Temp Plus wird sorgfältig von den Inzisalkanten ausgehend in den Provisorienbereich eingebracht. Wird zuerst in den ganzen Inzisalbereich eine geringe Menge Material eingespritzt und verblasen, bevor der Rest gefüllt wird, vermeidet man Blasen im Schneidekantenbereich. Es sollte zügig gefüllt werden.

Abbildung 5

Jetzt wird die Silikonabformung über die klinische Situation mit den präparierten Zähnen positioniert. Wird dazu ein Löffel benutzt, kann die initiale Aushärtung ohne mögliche Verformung ablaufen.

Abbildung 6

Wird zuerst der möglichst randlose Löffel entfernt, kann die Silikonform etwas aufgebogen werden. Dann wird sie abgenommen und das „Rohprovisorium“ vor der endgültigen Ausformung von den Stümpfen genommen.

Abbildung 7

Die Oberflächengüte ist schon jetzt hervorragend.

Abbildung 8

Tuff-Temp Plus kann wie gewohnt mit den üblichen Instrumenten ausgearbeitet werden. Es empfiehlt sich, mit diamantierten Scheiben...

Abbildung 9

...und mikroverzahnten Hartmetallfräsen zu arbeiten.

Abbildung 10

Tuff-Temp Plus kann sehr gut poliert werden: Mit dem Provisional System von BUSA, Spear Education Set zu einem satten dauerhaften Hochglanz. Sehr viel einfacher ist es, nach dem Ausarbeiten mit feinen Hartmetallfräsen direkt den zum System gehörenden lichthärtenden Oberflächenlack aufzutragen..

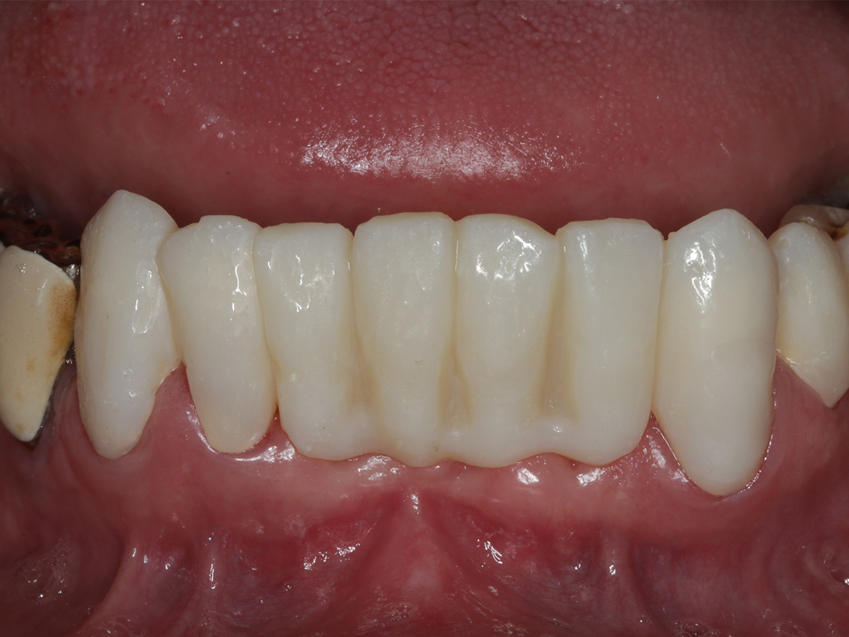
Abbildung 11

Das fertig ausgearbeitete Provisorium.

Abbildung 12

Oberflächenqualität des Provisoriums nach mehreren Wochen Tragezeit. Die Robustheit des Materials lässt auch ein mehrfaches Abnehmen, z.B. für Einproben des definitiven Zahnersatzes, ohne Probleme zu.

Klinisches Verfahren

Tuff-Temp Plus ist ein dual aushärtender Kunststoff für Provisorien, der somit selbsthärtend oder, wenn gewünscht, lichthärtend verwendet werden kann. Provisorische Restaurationen können intraoral oder im Dentallabor hergestellt werden. Sobald die beiden Pasten in einem doppelläufigen automatischen Mischsystem zusammengeführt werden, findet eine Polymerisationsreaktion statt. In der ersten Phase ist die Paste flüssig und kann 45 Sekunden lang unter Nutzung einer Schablone verarbeitet werden. Die Paste passt sich an die Zahnpräparation an und wird innerhalb von 120 Sekunden nach Applikation aus der Spritze elastisch (Aushärtungszeit). In der zweiten Phase der Polymerisationsreaktion kann das Material entweder 2 Minuten und 45 Sekunden lang selbst aushärten oder es kann lichtgehärtet werden, um den Aushärtungsvorgang zu beschleunigen. Nach dieser abschließenden Phase der Polymerisation hat der Kunststoff seine endgültige Härte somit in weniger als 4:45 Minuten nach Beginn der Anmischung erreicht, sodass die Restauration angepasst werden kann. 

Fazit 

Mit den in diesem Artikel beschriebenen Techniken kann ein Zahnarzt die Behandlungszeit, im Vergleich zur Verwendung von selbsthärtendem Acrylharz für temporäre Kronen und Brücken, um fast 30 Minuten reduzieren. Diese Techniken werden Zahnärzten die Möglichkeit bieten, hochqualitative, gut passende, widerstandsfähige provisorische Restaurationen herzustellen, die ästhetischer sind als konventionelle Acrylharze. Im Vergleich zu den auf dem Dentalmarkt angebotenen Provisorienmaterialien auf Basis von Bis-Acryl und Methacrylaten zeigt das Tuff-Temp Plus hohe Biegefestigkeitswerte, ohne dabei spröde zu sein. Dies zeigt sich in den sehr guten Werten beim Test der Biegung in mm des Materials vor dem Bruch, dieser ist bis zu 100 % höher als bei Bis-Acrylaten.

Verwendete Produkte

Produktgalerie überspringen

Zugehörige Produkte

Pulpdent Tuff-Temp Plus Shade A3 (50 ml + 10 Tips) ohne Zubehör
Pulpdent Tuff-Temp Plus Shade A3 (50 ml + 10 Tips) ohne Zubehör
Artikelnr.: 5438162
Herstellernr.: TTP50A3

224,00 €
zzgl. MwSt.
zzgl. Versand

Aktuelle Fortbildungen

2. Curriculum "The Art of Digital Dentistry"
16.
Jan.
2. Curriculum "The Art of Digital Dentistry"
Fr., 16.01.26, 09:00 - 20.06.26, 17:00 (Europe/Berlin)
München
Dr. Christian Leonhardt (klinische Leitung)
Prof. Dr. Markus Blatz (wissenschaftliche Leitung)
TEAM | 2. Curriculum "The Art of Digital Dentistry"
16.
Jan.
TEAM | 2. Curriculum "The Art of Digital Dentistry"
Fr., 16.01.26, 09:00 - 20.06.26, 17:00 (Europe/Berlin)
München
Dr. Christian Leonhardt (klinische Leitung)
Prof. Dr. Markus Blatz (wissenschaftliche Leitung)
 
26.
Feb.
4D Dentistry - das Update: Workflow, Software, Hardware, Fun
Do., 26.02.26, 20:00 - 22:00 (Europe/Berlin)
online
Dr. Christian Leonhardt
Endo Friday Meeting - Modul I
17.
Apr.
Endo Friday Meeting - Modul I
Fr., 17.04.26, 13:00 - 19:00 (Europe/Berlin)
Innsburck
ZA Eduardo Belandria
Endo Friday Meeting - Modul II
15.
Mai
Endo Friday Meeting - Modul II
Fr., 15.05.26, 13:00 - 19:00 (Europe/Berlin)
Innsburck
ZA Eduardo Belandria
Endo Friday Meeting - Modul III
05.
Juni
Endo Friday Meeting - Modul III
Fr., 05.06.26, 13:00 - 19:00 (Europe/Berlin)
Innsburck
ZA Eduardo Belandria
Kieferorthopädie heute: State of the Art - 4D
26.
Nov.
Kieferorthopädie heute: State of the Art - 4D
Do., 26.11.26, 09:00 - 28.11.26, 17:00 (Europe/Berlin)
München
Dr. Domingo Martin Salvador
Dr. Alberto Canábez Berthet