Zum Hauptinhalt springen Zur Suche springen Zur Hauptnavigation springen

Hinweis: Unser Sortiment richtet sich ausschließlich an Zahnarztpraxen, Zahnlabore und Unternehmen der Dentalbranche. Ein Verkauf an Privatpersonen ist ausgeschlossen.

Willkommen bei ADS. American Dental Systems. Gemeinsam verbessern wir die Zahnmedizin.

Ästhetischer Lückenschluss im Oberkieferfrontzahngebiet

Lange Zeit waren komplexe ästhetische Restaurationen mit Komposit, wie der Interdental-, der Diastema-Verschluss oder Eckenaufbauten von Frontzähnen nur talentierten und gut geschulten Behandlern vorbehalten, die die komplexen Mehrschichttechniken beherrschten. Seit der Neuentwicklung homogener Nano-Hybrid- Komposite können Restaurationen nun in der Zwei-Schicht-Technik nach dem „natürlichen Schichtkonzept“ einfacher und sicherer umgesetzt werden. Es basiert auf nur zwei Basisschichten (Dentin und Schmelz) sowie den entsprechenden Effektfarbtönen, und führt zu einer Vereinfachung des gesamten Behandlungsablaufs. 

 Im vorliegenden Fall wird die Zwei-Schicht-Technik nach dem "natürlichen Schichtkonzept" anhand einer minimalinvasiven, substanzschonenden Vorgehensweise beim Verschluss von schwarzen Dreiecken nach parodontalem Attachmentverlust vorgestellt.
Porträt Dr. Bärbel Hürzeler
Dr. Bärbel Hürzeler
Porträt Dr. Kilian Hansen
Dr. Kilian Hansen

Abbildung 1

Präoperative orale Außenansicht der Patientin.

Abbildung 2

Präoperative intraorale Frontalansicht nach erfolgreich durchgeführter Initialtherapie und chirurgischer Intervention mittels M-MIST.

Abbildung 3

Farbschema des inspiro-Direktsystems mit Schmelz, Dentin und Effektfarben.

Abbildung 4

Farbbestimmung bei der Patientin erfolgt vor der absoluten Trockenlegung mittels Kofferdam.

Abbildung 5

Anlegen des Kofferdams für die absolute Trockenlegung.

Abbildung 6

Applikation der Matrizentechnik in den interproximalen Raum.

Abbildung 7

Singuläres Ätzen mit 38 % Orthophosphorsäure für 30 Sekunden.

Abbildung 8

Applikation des Primers und Bondings (OptiBond FL, Kerr Dental, Rastatt, Deutschland

Abbildung 9

Lichthärtung des Bondings für 30 Sekunden.

Abbildung 10

Einbringen des dünnfließenden Komposits (Tetric Evoflow, Ivoclar Vivadent, Ellwangen, Deutschland).

Abbildung 11

Lichthärtung des interproximalen Komposits für 30 Sekunden.

Abbildung 12

Schichtung der Dentin- und Schmelzmassen in der vereinfachten Mehrschichttechnik.

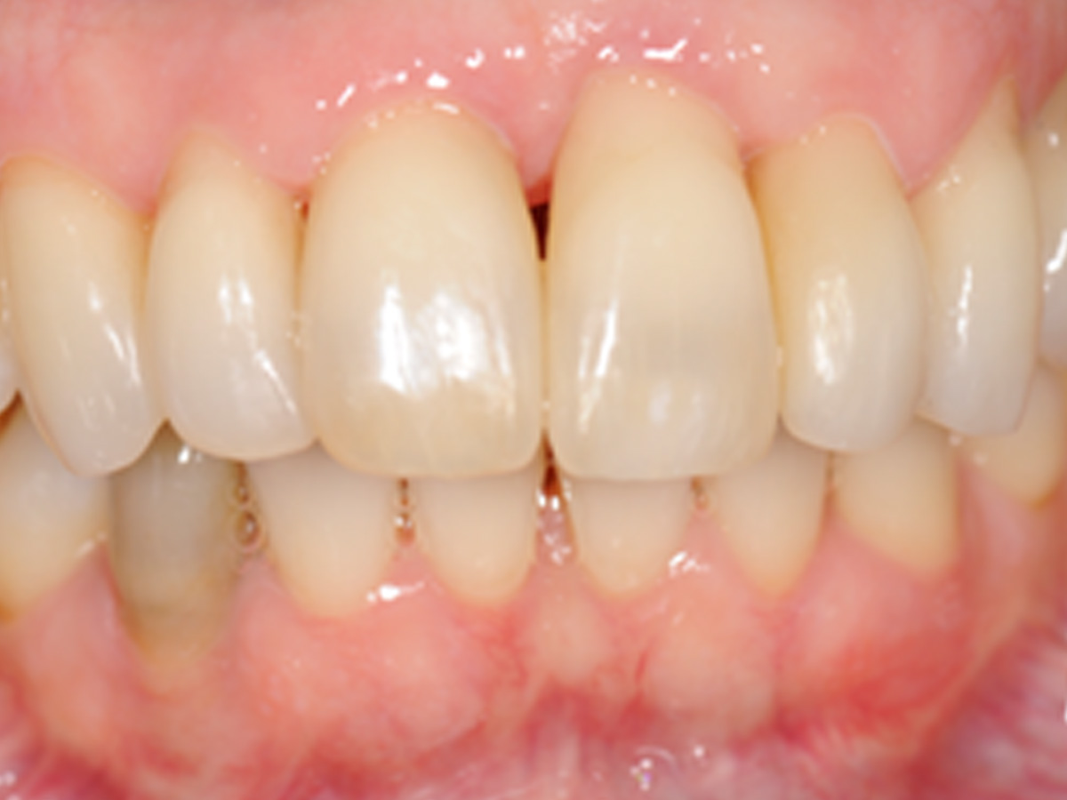
Abbildung 13

Postoperatives Resultat der Verbreiterung der Oberkieferfront.

Abbildung 14

Postoperatives Resultat der Verbreiterung der Oberkieferfront.

Abbildung 15

Die zufriedene Patientin nach der Behandlung.

Zusammenfassung

Die Patientin, die eine kieferorthopädische Therapie nach erfolgter parodontaler Initialtherapie erhalten hat, litt unter den großen interdentalen Dreiecken im oberen Frontzahnbereich (Abb. 1, 2). Als Komposit kam inspiro von EdelweissDR von Dr. Didier Dietschi zum Einsatz. Die Farbnahme erfolgte mit Hilfe des mitgelieferten, durchdachten Farbschlüssels (Vanini et al., 2001). Durch das Aufeinanderstecken von Dentin- und Schmelzfarbe ermöglicht dieser eine präzise Farbauswahl (Abb. 3, 4). Die Behandlung wurde unter Kofferdam durchgeführt, der mit Hilfe von Zahnseidenligaturen dicht um die Zähne fixiert wurde. Durch die absolute Trockenhaltung wird die Qualität des Bondings in den zervikalen Bereichen erhöht, durch das Anbringen der Zahnseidenligaturen aber auch das Zahnfleisch verdrängt. Eine Modellierung des Komposits, beginnend im Sulkus des betreffenden Zahnes, ist somit möglich und sorgt für eine bessere Unterstützung der noch vorhandenen Papille. Nicht zuletzt wird durch den Kofferdam der Arbeitskomfort für Behandler und Patient erhöht (Abb. 5). Die Schmelzoberflächen wurden durch Sandstrahlen (Aluminiumoxid 50μm) vorbereitet. Nach erfolgter Matrizentechnik nach Klaiber (Klaiber et al., 2001; Hugo et al., 2008), gefolgt von einer 30 Sekunden langen Phosphorsäureätzung (H3PO4 35-37 %) und dem Auftragen von Primer und Bond (Optibond FL, Kerr Dental, Rastatt, Deutschland) (Abb. 6-9), wurde das Komposit in mehreren Schichten modelliert. Die erste, zervikale Schicht erfolgte mit einem Flow, damit der sehr dünne, später subgingival liegende Bereich blasenfrei aufgebaut ist (Abb. 10). Dann wurden der palatinale und anschließend der bukkale Bereich mit dem Dentinmaterial aufgebaut. Kamen Effekttöne zum Einsatz, so wurden diese auf das Dentin, aber unter die Schmelzmasse gelegt. Die Restauration wurde mit einer dünnen Schicht Schmelz („SN Natural White“) abgeschlossen und perfektionierte die ästhetische Integration (Abb. 11-13). Das hier benutzte inspiro-System von EdelweissDR zeigt eine sehr gute Adaptierbarkeit des Materials mit einer geringen Blasenbildung. Allerdings muss das inspiro dafür in einem Wärmeofen erhitzt werden. Deshalb sollte – gerade bei der Behandlung großer Defekte – darauf geachtet werden, dass möglichst nur die Menge der verschiedenen Komposite auf einen Block gebracht werden, die für die jeweiligen Schritte auch benötigt werden, da die Viskosität des Komposits bei Auskühlung schnell abnimmt.Nach Abschluss der Verbreiterung der Oberkieferfront zeigt sich ein harmonisch-ästhetisches Gesamtbild der Patientin. Trotz massiver Verbreiterung der Zähne haben diese ein natürliches Erscheinungsbild. Dabei spielt die Polierbarkeit des Komposits eine wesentliche Rolle (Abb. 14, 15). 

Fazit 

Die Verwendung direkter Komposite ist beim Verschluss von interdentalen schwarzen Dreiecken unumgänglich geworden. Die Entwicklung der minimalinvasiven konservierenden Zahnheilkunde wird durch verbesserte Kompositmaterialien und einfachere Handhabung unterstützt. Einfache Regeln wie trockene Verarbeitung des Bonding-Systems und des Komposits, Beachtung von vorhandenen Zahnformen und Merkmalen sowie eine saubere Verarbeitung müssen jedoch eingehalten werden. So ist es dank moderner Komposite (hier inspiro von EdelweissDR von Dr. Didier Dietschi) mit einer leicht verständlichen Farbsystematik möglich, auch komplexe Fälle wie interdentale Verschlüsse von parodontal vorbehandelten Zähnen mit massivem Attachmentverlust zu behandeln.

Verwendete Produkte

Produktgalerie überspringen

Zugehörige Produkte

inspiro Master Kit Compule
inspiro Master Kit Compule
Artikelnr.: 7271100
Herstellernr.: 3010

1.621,80 €
zzgl. MwSt.
zzgl. Versand
inspiro Master Kit Syringe
inspiro Master Kit Syringe
Artikelnr.: 7271110
Herstellernr.: 3020

1.199,55 €
zzgl. MwSt.
zzgl. Versand

Aktuelle Fortbildungen

2. Curriculum "The Art of Digital Dentistry"
16.
Jan.
2. Curriculum "The Art of Digital Dentistry"
Fr., 16.01.26, 09:00 - 20.06.26, 17:00 (Europe/Berlin)
München
Dr. Christian Leonhardt (klinische Leitung)
Prof. Dr. Markus Blatz (wissenschaftliche Leitung)
TEAM | 2. Curriculum "The Art of Digital Dentistry"
16.
Jan.
TEAM | 2. Curriculum "The Art of Digital Dentistry"
Fr., 16.01.26, 09:00 - 20.06.26, 17:00 (Europe/Berlin)
München
Dr. Christian Leonhardt (klinische Leitung)
Prof. Dr. Markus Blatz (wissenschaftliche Leitung)
 
26.
Feb.
4D Dentistry - das Update: Workflow, Software, Hardware, Fun
Do., 26.02.26, 20:00 - 22:00 (Europe/Berlin)
online
Dr. Christian Leonhardt
Endo Friday Meeting - Modul I
17.
Apr.
Endo Friday Meeting - Modul I
Fr., 17.04.26, 13:00 - 19:00 (Europe/Berlin)
Innsburck
ZA Eduardo Belandria
Endo Friday Meeting - Modul II
15.
Mai
Endo Friday Meeting - Modul II
Fr., 15.05.26, 13:00 - 19:00 (Europe/Berlin)
Innsburck
ZA Eduardo Belandria
Endo Friday Meeting - Modul III
05.
Juni
Endo Friday Meeting - Modul III
Fr., 05.06.26, 13:00 - 19:00 (Europe/Berlin)
Innsburck
ZA Eduardo Belandria
Kieferorthopädie heute: State of the Art - 4D
26.
Nov.
Kieferorthopädie heute: State of the Art - 4D
Do., 26.11.26, 09:00 - 28.11.26, 17:00 (Europe/Berlin)
München
Dr. Domingo Martin Salvador
Dr. Alberto Canábez Berthet