Zum Hauptinhalt springen Zur Suche springen Zur Hauptnavigation springen

Hinweis: Unser Sortiment richtet sich ausschließlich an Zahnarztpraxen, Zahnlabore und Unternehmen der Dentalbranche. Ein Verkauf an Privatpersonen ist ausgeschlossen.

Willkommen bei ADS. American Dental Systems. Gemeinsam verbessern wir die Zahnmedizin.

Aufbau eines Milcheckzahns mit Komposit

Eine 43-jähirge Patientin mit Nichtanlage der Zähne 13 und 23 stellte sich mit dem Wunsch einer ästhetischen Optimierung ihrer noch vorhandenen Milcheckzähne 53 und 63 in der Praxis vor. Die Anamnese ergab einen mesialen Lückenschluss, einen guten parodontalen Zustand und die vorhandenen Röntgenbilder zeigten keinen pathologischen Befund. Da eine Extraktion und Implantation für die Patientin aus Kostengründen nicht in Frage kam, entschied man sich für einen Aufbau mit Komposit.
Porträt Dr. Franziska Mamak
Dr. Franziska Mamak

Abbildung 1

Prä-OP: Verfärbte Aufbauten der Zähne 13 und 23

Abbildung 2

Entfernung von Belägen und Biofilm mithilfe eines Air-Abrasion-Gerätes.

Abbildung 3

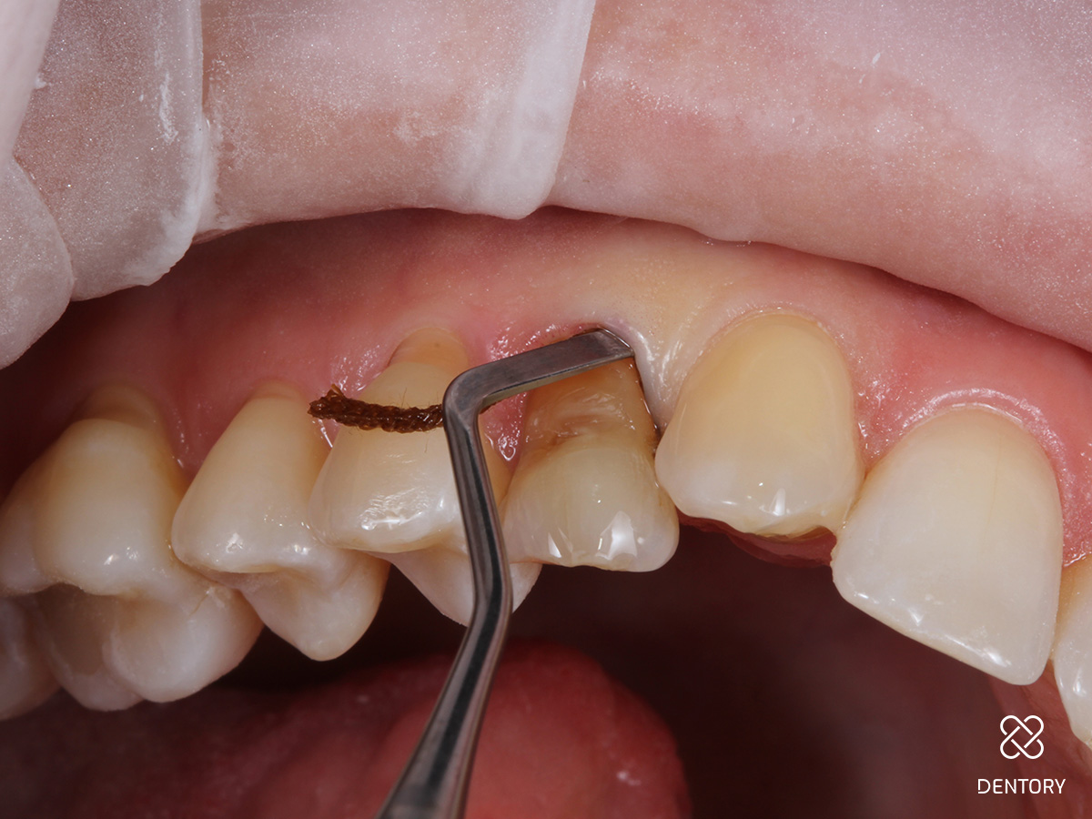
Da es im vorliegenden Fall zu einer Blutung kam, wurde nachträglich ein Faden in den Sulkus gelegt. Wenn eine Blutung nicht auszuschließen ist oder die Grenze der Restauration klar supragingival liegt, sollte ein Sulkusfaden gelegt werden.

Abbildung 4

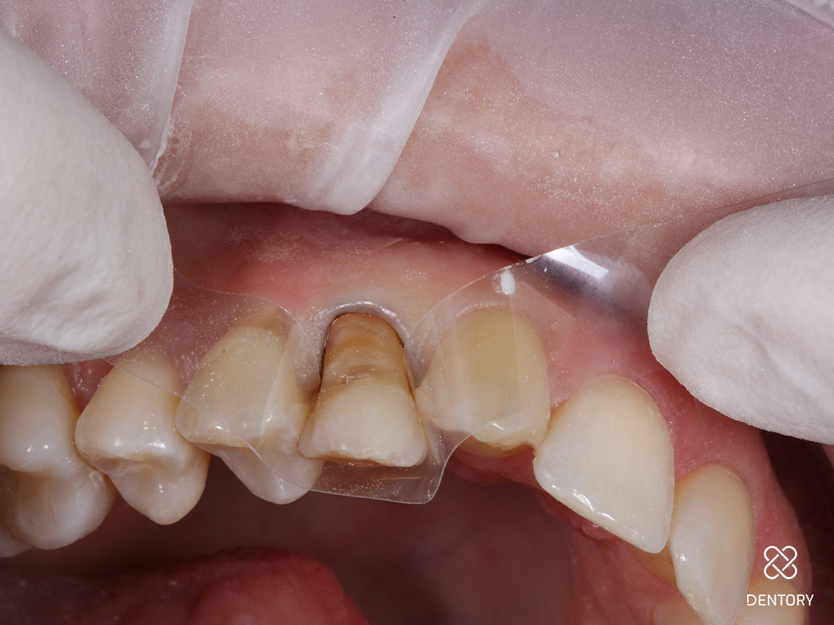
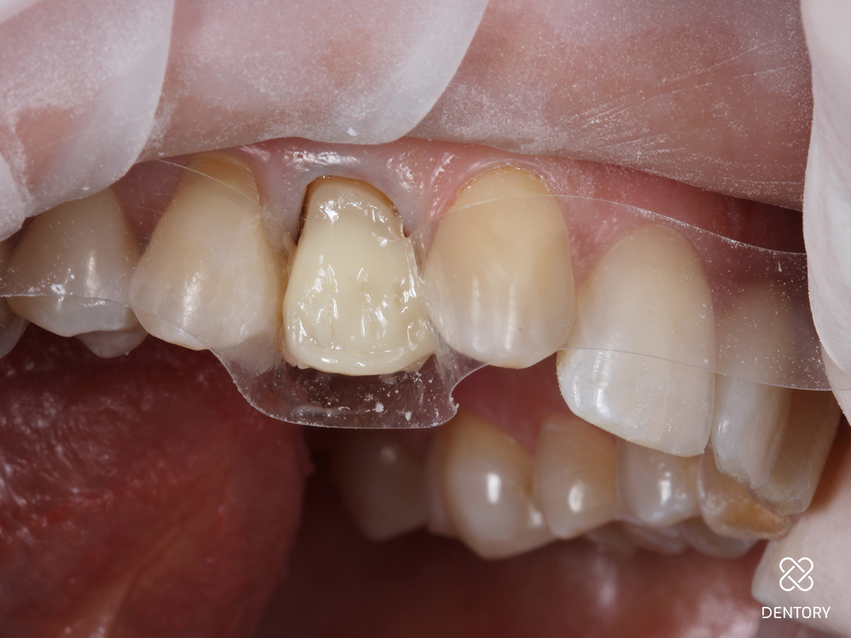
Die Nachbarzähne werden mit einer durchsichtigen Matritze (oder einem Teflonband) geschützt.

Abbildung 5

Schmelz-Dentin-Ätzung für 30 Sekunden.

Abbildung 6

Ätzgel gründlich abspülen.

Abbildung 7

Bonding: Primer für 10-15 Sekunden einmassieren und einwirken lassen.

Abbildung 8

Präparationsoberfläche verblasen.

Abbildung 9

Bonding für 10-15 Sekunden einmassieren und einwirken lassen.

Abbildung 10

Präparationsoberfläche verblasen.

Abbildung 11

Lichthärten des Bondings für 10 Sekunden.

Abbildung 12

Zunächst den zervikalen Rand des Komposit-Veneers mit einem Flowable gestalten. Da der Milchzahndefekt sehr dunkel erscheint, ist ein stark opaques Material von Vorteil (hier Farbe Bi3 Flow).

Abbildung 13

Komposit verteilen: Flow mit einer Sonde an den Rand anlagern und härten.

Abbildung 14

Komposit auftragen: Zur Vermeidung von Blasenbildung wird ein großes Stück Komposit aus der Spritze gereicht (besser zu groß als zu klein, um ein Antragen zu vermeiden). Komposit mit Dentinfarbe Bi3 über den gesamten Defekt schichten. Hierfür erweist sich ein Pinsel als hilfreich, um die Masse mit dem Zahn und dem vorhanden Randwall zu verbinden.

Abbildung 15

Komposit verteilen: Den Hauptteil des Komposit zervikal, mesial, distal sowie an der Inzisalkante verteilen (an allen Bereichen, die nicht transluzent erscheinen sollen). Zum Formen der Dentinlamellen wird das wenigste Material im oberen Drittel unterhalb der Inzisalkante geschichtet. Die Inzisalkante wird wie ein kleiner Wall auf gebaut.

Abbildung 16

Nach der Lichthärtung können zur Verbesserung der Natürlichkeit entsprechend der Nachbarzähne Effektfarben appliziert werden. Auf die Inzisalkante wird die Farbe "Ice" appliziert, darunter in die geschichten Dentinlamellen eine minimale Schicht "Azur". Diese Effektfarbe bringt oft eine gewisse Natürlichkeit in die Restauration und lässt sie transluzent erscheinen. Vor dem nächsten Schritt lichthärten.

Abbildung 17

Schmelzmasse überschichten (hier mit Farbe "Skin Neutral"). "Skin Natural" wird bei älteren Patienten ohne gebleichte Zähne verwendet und ist die gängigste Farbe. Die Masse mit einem Spatel sowie einem Pinsel applizieren und mit der Dentinmasse verbinden.

Abbildung 18

Nach sorgfältiger Lichthärtung (mind. 60 Sek. bukkal; 40 Sek. lingual) werden zunächst die Randbereiche ausgearbeitet. Zervikal eignet sich die EVA-Feile. Approximal eignen sich Metallpolierstreifen, um den Übergang zwischen Restauration und Zahn zu glätten und den Line-Angle zu formen.

Abbildung 19

Mit Keramik-Laborpolierer die Oberfläche in Form bringen. 

Optimal: nach Schichtung ist nur noch die reine Politur nötig.

Abbildung 20

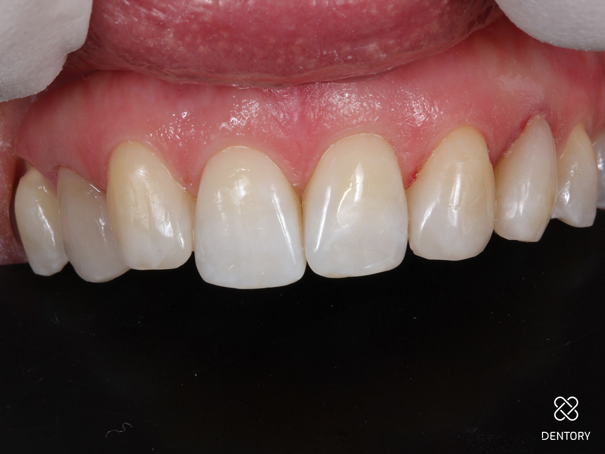
Abschlussaufnahme.

Verwendete Produkte

Produktgalerie überspringen

Zugehörige Produkte

FUSION 5 Polymerisationslampe
FUSION 5 Polymerisationslampe
Artikelnr.: 2350000
Herstellernr.: 7800080

1.765,60 €
zzgl. MwSt.
zzgl. Versand
inspiro Flowable Body i1 Spritze (1x1,5 g)
inspiro Flowable Body i1 Spritze (1x1,5 g)
Artikelnr.: 7271601
Herstellernr.: 3610

44,10 €
zzgl. MwSt.
zzgl. Versand
inspiro Flowable Body i2 Spritze (1x1,5 g)
inspiro Flowable Body i2 Spritze (1x1,5 g)
Artikelnr.: 7271602
Herstellernr.: 3620

44,10 €
zzgl. MwSt.
zzgl. Versand
inspiro Flowable Body i3 Spritze (1x1,5 g)
inspiro Flowable Body i3 Spritze (1x1,5 g)
Artikelnr.: 7271603
Herstellernr.: 3630

44,10 €
zzgl. MwSt.
zzgl. Versand
inspiro Flowable Body i4 Spritze (1x1,5 g)
inspiro Flowable Body i4 Spritze (1x1,5 g)
Artikelnr.: 7271604
Herstellernr.: 3640

44,10 €
zzgl. MwSt.
zzgl. Versand
inspiro Flowable Body i5 Spritze (1x1,5 g)
inspiro Flowable Body i5 Spritze (1x1,5 g)
Artikelnr.: 7271605
Herstellernr.: 3650

44,10 €
zzgl. MwSt.
zzgl. Versand
inspiro Flowable Body i6 Spritze (1x1,5 g)
inspiro Flowable Body i6 Spritze (1x1,5 g)
Artikelnr.: 7271606
Herstellernr.: 3660

44,10 €
zzgl. MwSt.
zzgl. Versand
inspiro Flowable Body i7 Spritze (1x1,5 g)
inspiro Flowable Body i7 Spritze (1x1,5 g)
Artikelnr.: 7271607
Herstellernr.: 3670

44,10 €
zzgl. MwSt.
zzgl. Versand
inspiro Effektfarbton Azur, Spritze (1x1,5 g)
inspiro Effektfarbton Azur, Spritze (1x1,5 g)
Artikelnr.: 7271800
Herstellernr.: 3800

44,10 €
zzgl. MwSt.
zzgl. Versand
inspiro Effektfarbton Ice, Spritze (1x1,5 g)
inspiro Effektfarbton Ice, Spritze (1x1,5 g)
Artikelnr.: 7271801
Herstellernr.: 3810

44,10 €
zzgl. MwSt.
zzgl. Versand
inspiro Effektfarbton Opaque, Spritze (1x1,5 g)
inspiro Effektfarbton Opaque, Spritze (1x1,5 g)
Artikelnr.: 7271802
Herstellernr.: 3820

44,10 €
zzgl. MwSt.
zzgl. Versand
inspiro Effektfarbton Chroma, Spritze (1x1,5 g)
inspiro Effektfarbton Chroma, Spritze (1x1,5 g)
Artikelnr.: 7271803
Herstellernr.: 3830

44,10 €
zzgl. MwSt.
zzgl. Versand
inspiro Effektfarbton Fissure, Spritze (1x1,5 g)
inspiro Effektfarbton Fissure, Spritze (1x1,5 g)
Artikelnr.: 7271804
Herstellernr.: 3840

44,10 €
zzgl. MwSt.
zzgl. Versand

Aktuelle Fortbildungen

2. Curriculum "The Art of Digital Dentistry"
16.
Jan.
2. Curriculum "The Art of Digital Dentistry"
Fr., 16.01.26, 09:00 - 20.06.26, 17:00 (Europe/Berlin)
München
Dr. Christian Leonhardt (klinische Leitung)
Prof. Dr. Markus Blatz (wissenschaftliche Leitung)
TEAM | 2. Curriculum "The Art of Digital Dentistry"
16.
Jan.
TEAM | 2. Curriculum "The Art of Digital Dentistry"
Fr., 16.01.26, 09:00 - 20.06.26, 17:00 (Europe/Berlin)
München
Dr. Christian Leonhardt (klinische Leitung)
Prof. Dr. Markus Blatz (wissenschaftliche Leitung)
 
26.
Feb.
4D Dentistry - das Update: Workflow, Software, Hardware, Fun
Do., 26.02.26, 20:00 - 22:00 (Europe/Berlin)
online
Dr. Christian Leonhardt
Endo Friday Meeting - Modul I
17.
Apr.
Endo Friday Meeting - Modul I
Fr., 17.04.26, 13:00 - 19:00 (Europe/Berlin)
Innsburck
ZA Eduardo Belandria
Endo Friday Meeting - Modul II
15.
Mai
Endo Friday Meeting - Modul II
Fr., 15.05.26, 13:00 - 19:00 (Europe/Berlin)
Innsburck
ZA Eduardo Belandria
Endo Friday Meeting - Modul III
05.
Juni
Endo Friday Meeting - Modul III
Fr., 05.06.26, 13:00 - 19:00 (Europe/Berlin)
Innsburck
ZA Eduardo Belandria
Kieferorthopädie heute: State of the Art - 4D
26.
Nov.
Kieferorthopädie heute: State of the Art - 4D
Do., 26.11.26, 09:00 - 28.11.26, 17:00 (Europe/Berlin)
München
Dr. Domingo Martin Salvador
Dr. Alberto Canábez Berthet