Zum Hauptinhalt springen Zur Suche springen Zur Hauptnavigation springen

Hinweis: Unser Sortiment richtet sich ausschließlich an Zahnarztpraxen, Zahnlabore und Unternehmen der Dentalbranche. Ein Verkauf an Privatpersonen ist ausgeschlossen.

Willkommen bei ADS. American Dental Systems. Gemeinsam verbessern wir die Zahnmedizin.

Behandlung, Ästhetik und Erhalt der Pulpavitalität

Für den Patienten kann ein Zahntrauma sowohl schmerzhaft, als auch kostspielig sein. Im sofortigen Fokus steht für ihn immer die Ästhetik, meist noch vor finanziellen Überlegungen und zeitlichen Beschränkungen. 

Durch die Behandlung wird lediglich der Schaden behoben (d.h. die Zähne heilen nicht und der Zahnschmelz wächst nicht nach), weshalb sich die Kosten über die Zeit weiter in die Höhe schrauben werden. Ein Zahntrauma kann zu einer Erkrankung der Pulpa führen, die auch erst Jahre nach dem Ereignis manifest werden kann. Endodontische Behandlungen können zeitaufwändig sein und bedeuten für viele Patienten eine erhebliche, nicht eingeplante Ausgabe. Eine durch Zahnfraktur freigelegte Pulpa kann leider außerordentlich starke Schmerzen verursachen, die in der Regel sofort zu behandeln sind. Auch wenn ein Notfall nur selten in das Terminbuch des Zahnarztes passt, sollte die Behandlung doch von höchster Qualität sein. Die Einführung von neuen kunststoffbasierten lichtgehärteten Kalziumsilikatwerkstoffen hat zu einer deutlichen Verbesserung der Behandlungsergebnisse bei Zahntraumapatienten geführt und das sowohl in Bezug auf die Ästhetik, als auch in Bezug auf die Pulpa. Dank ihrer schnellen und einfachen Anwendung erlauben die neuen Werkstoffe eine Behandlung selbst der kompliziertesten Traumafälle mit zuverlässigen Erfolgen.
Porträt Dr. Mark L. Cannon, DSS, MS
Dr. Mark L. Cannon, DSS, MS

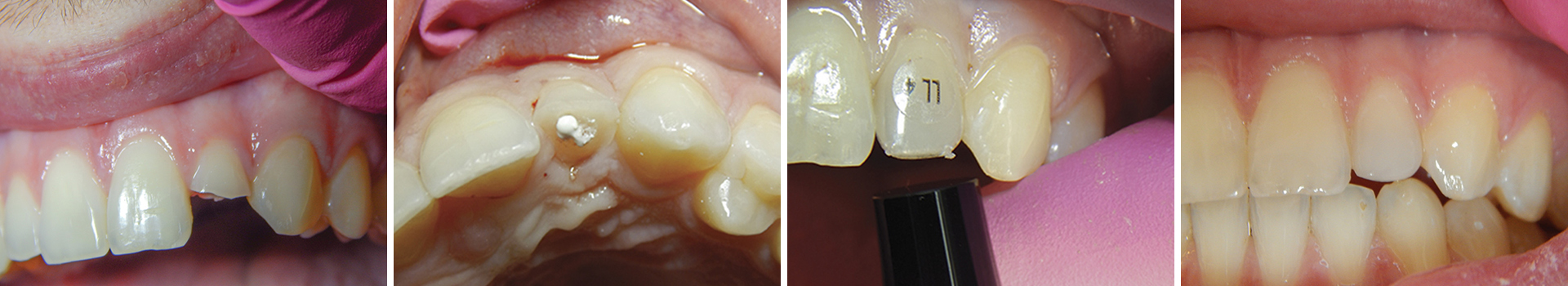
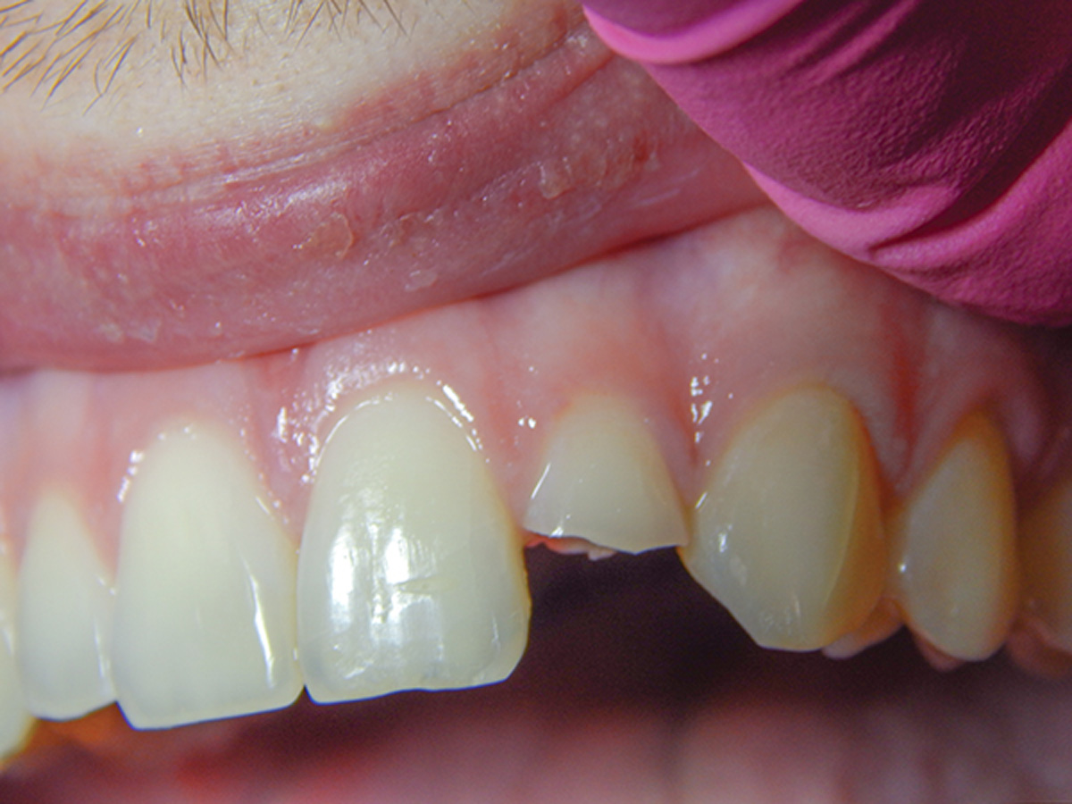
Abbildung 1

Komplizierte Kronen-Wurzel des Zahns 22 nach der Verletzung durch einen Hockeyschläger.

Abbildung 2

Herauswuchernder dentaler Pulpapolyp. Der Zahn ist asymptomatisch. Die Mutter des Patienten ist sehr besorgt wegen der Ästhetik.

Abbildung 3

Der dentale Pulpapolyp wurde entfernt, die Blutung gestillt und TheraCal LC angewendet.

Abbildung 4

Stripkrone aus Komposit zum Schutz und zur Abdichtung gegen Mikroleckagen. Die provisorische Krone deckt das freiliegende Dentin und die palatinalen Wurzelflächen ab.

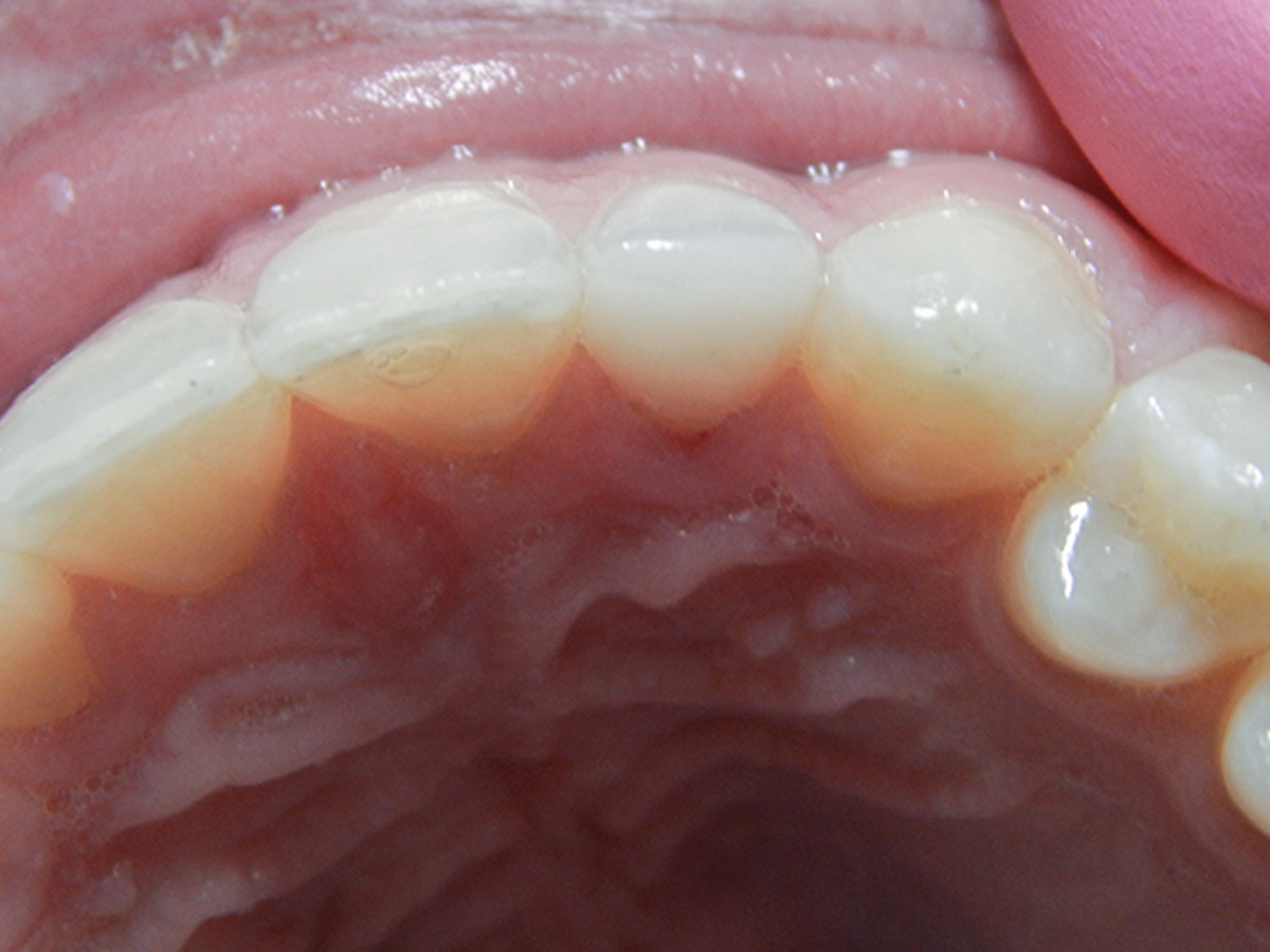
Abbildung 5

Das Formkäppchen wurde entfernt und die kunststoffbasierte Kompositversorgung poliert.

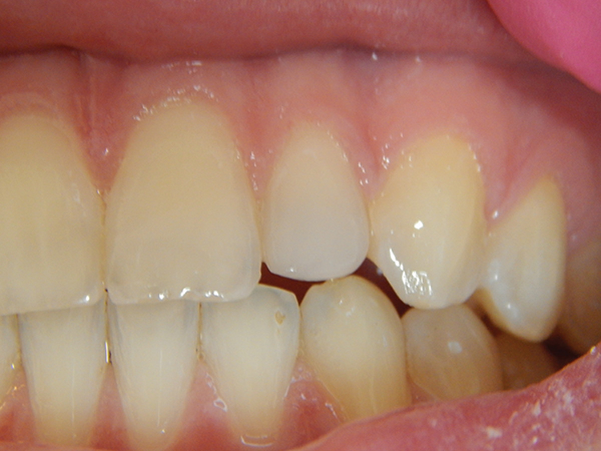
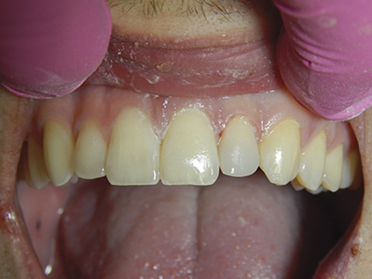
Abbildung 6

Die Aufnahmen entstanden beim Kontrolltermin:...

Abbildung 7

...Alle Zähne sind asymptomatisch.

Zusammenfassung

Es handelt sich um einen 19-jährigen Notfallpatienten, dessen linker oberer seitlicher Schneidezahn durch einen Hockeyschläger verletzt wurde (Abb. 1). Das Trauma lag etwa eine Woche zurück, aber aufgrund eines engen schulischen Zeitplans und der offensichtlichen Freude des Patienten an seiner „roten Auszeichnung zur bestandenen Mutprobe“, wurde erst auf Drängen der Mutter mit der Behandlung begonnen. Nach der röntgenologischen Untersuchung wurde anästhesiert (mit 20 % Benzocain topisch und mit 1,8 ml Septocain Infiltration) und das lockere Zahnfragment entfernt. Dabei bestätigte sich die Diagnose einer komplizierten Kronen- Wurzel Fraktur. Die freiliegende Pulpa war gewuchert und hatte sich zu einem Pulpapolypen ausgebildet, was auf eine bestehende Vitalität und aktive Pulpastammzellen hinweist (Abb. 2). Es wurde versucht, einen Kofferdam zu legen, aber die palatinale Branche der Klammer glitt immer wieder in den Frakturbereich hinein, wodurch sie die Restauration behindert hätte. Wenn der Kofferdam alternativ auf das palatinale Gewebe gelegt wurde, wurde dieses über den frakturierten Bereich gezogen, was auch wieder eine vollständige Versorgung unmöglich machte. Aus diesen Gründen wurde auf einen Kofferdam verzichtet. Daraufhin wurde der Pulpapolyp chirurgisch mit einem spitzen Exkavator und mit einem Hartmetallfinierer #330 in einem hochtourigen Handstück mit leichtem Druck entfernt. Dann wurde zur Hämostase und Desinfektion ein mit 3 % Natrium-Hypochlorid (VistaDent) angefeuchteter Tupfer,sowie TheraCal LC® (BISCO) eingesetzt (Abb. 3). Bei TheraCal LC® handelt es sich um einen lichtgehärteten, kunststoffbasierten, hydrophilen Di-Kalzium und Tri-Kalziumsilikatwerkstoff, der zur Pulpavitalität und der Bildung von Dentinbrücken beiträgt. Nach der Aushärtung von TheraCal LC, wurde der Zahn mit 32 % Uni-Etch® mit BAC (BISCO) angeätzt und gründlich gespült. Danach wurde ALL-BOND UNIVERSAL® Adhäsiv (BISCO) in zwei Schichten aufgebracht und ausgehärtet. Sodann wurde ein vorab angepasstes transparentes Formkäppchen mit einem Sub-Mikrofüller Komposit aufgefüllt (Estelite Sigma Quick, Farbe A1) und auf den frakturierten Zahn aufgesetzt (Abb. 4). Nach der Lichthärtung wurde das Käppchen entfernt und die Versorgung poliert (Abb. 5). Der Patient nahm die präventive Standardnachsorge wahr und der Zahn ist immer noch asymptomatisch (Abb. 6 und Abb. 7). Auch wenn sich die Versorgung zufriedenstellend verhielt, wurden der Patient und sein Erziehungsberechtigter über die Notwendigkeit einer weiteren Behandlung des frakturierten Schneidezahns informiert, insbesondere angesichts der Tatsache, dass der Patient Hockey spielt. Des Weiteren wurde mehrfach erwähnt, dass der Patient eine orale Schutzschiene und einen Gesichtsschutz tragen sollte. In mehreren Studien wurde berichtet, dass es durch TheraCal LC zur Bildung von Apatit kommen kann, da Kalziumionen abgegeben werden und ein alkaliner pH-Wert erhalten bleibt, der zu einer Mineralisierung führt. Es gibt zwar andere silikatbasierte dentale Werkstoffe, die Kalzium abgeben, aber die Anwendung ist langwieriger und sie besitzen nicht die zur Unterstützung der Versorgung minimal notwendigen mechanischen Eigenschaften. Die in der Vergangenheit empfohlenen Verfahren wie etwa der Einsatz von MTA- oder Kalziumhydroxid- Pasten besitzen keinerlei Retentionswirkung, da diese Pasten weder adhäsive Eigenschaften besitzen, noch okklusalen Kräften mechanischen Widerstand leisten. Auch neigten alle dieser Pasten dazu, sich aufzulösen, was das Risiko von Mikroleckagen und einer Besiedelung durch Bakterien erhöhte. Diese Fallvorstellung zeigt beispielhaft eine klinische Situation, der sich jeder Zahnarzt zu jeder Zeit stellen können muss und die am besten mit einem lichtgehärteten, kunststoffbasierten Di-Kalzium und Tri-Kalziumsillikat wie etwa TheraCal LC gelöst wird.

Verwendete Produkte

Produktgalerie überspringen

Zugehörige Produkte

ALL-BOND Universal® Refill (6 ml)
ALL-BOND Universal® Refill (6 ml)
Artikelnr.: 7940034
Herstellernr.: B-7202P

132,95 €
zzgl. MwSt.
zzgl. Versand

Aktuelle Fortbildungen

2. Curriculum "The Art of Digital Dentistry"
16.
Jan.
2. Curriculum "The Art of Digital Dentistry"
Fr., 16.01.26, 09:00 - 20.06.26, 17:00 (Europe/Berlin)
München
Dr. Christian Leonhardt (klinische Leitung)
Prof. Dr. Markus Blatz (wissenschaftliche Leitung)
TEAM | 2. Curriculum "The Art of Digital Dentistry"
16.
Jan.
TEAM | 2. Curriculum "The Art of Digital Dentistry"
Fr., 16.01.26, 09:00 - 20.06.26, 17:00 (Europe/Berlin)
München
Dr. Christian Leonhardt (klinische Leitung)
Prof. Dr. Markus Blatz (wissenschaftliche Leitung)
 
26.
Feb.
4D Dentistry - das Update: Workflow, Software, Hardware, Fun
Do., 26.02.26, 20:00 - 22:00 (Europe/Berlin)
online
Dr. Christian Leonhardt
Endo Friday Meeting - Modul I
17.
Apr.
Endo Friday Meeting - Modul I
Fr., 17.04.26, 13:00 - 19:00 (Europe/Berlin)
Innsburck
ZA Eduardo Belandria
Endo Friday Meeting - Modul II
15.
Mai
Endo Friday Meeting - Modul II
Fr., 15.05.26, 13:00 - 19:00 (Europe/Berlin)
Innsburck
ZA Eduardo Belandria
Endo Friday Meeting - Modul III
05.
Juni
Endo Friday Meeting - Modul III
Fr., 05.06.26, 13:00 - 19:00 (Europe/Berlin)
Innsburck
ZA Eduardo Belandria
Kieferorthopädie heute: State of the Art - 4D
26.
Nov.
Kieferorthopädie heute: State of the Art - 4D
Do., 26.11.26, 09:00 - 28.11.26, 17:00 (Europe/Berlin)
München
Dr. Domingo Martin Salvador
Dr. Alberto Canábez Berthet