Zum Hauptinhalt springen Zur Suche springen Zur Hauptnavigation springen

Hinweis: Unser Sortiment richtet sich ausschließlich an Zahnarztpraxen, Zahnlabore und Unternehmen der Dentalbranche. Ein Verkauf an Privatpersonen ist ausgeschlossen.

Willkommen bei ADS. American Dental Systems. Gemeinsam verbessern wir die Zahnmedizin.

Behandlung einer tiefreichenden Approximalraumkaries an Zahn 46 mesial und distal

In der modernen Zahnmedizin spielen minimalinvasive Techniken eine zunehmend wichtige Rolle, um den Erhalt von Zahnhartsubstanz und die langfristige Funktion der Zähne zu gewährleisten. Bei der Behandlung von tiefreichender Approximalraumkaries sind präzise restaurative Verfahren entscheidend, um eine optimale Passform der Füllung und eine stabile okklusale Funktion zu gewährleisten.

In diesem klinischen Fallbericht beschreibt Dr. Günther Eggert den Einsatz des Bioclear Evolve Systems bei der Behandlung von mesialer und distaler Approximalraumkaries an Zahn 46. Der innovative Einsatz der Bioclear Evolve Matrizen ermöglichte eine effiziente, präzise und substanzschonende Restauration, die sich durch hervorragende Anpassung und Ästhetik auszeichnet.
Porträt Dr. Günter Eggert
Dr. Günter Eggert

Abbildung 1

Intakte Kaufläche bei Approximalraumkaries an Zahn 36 mesial und distal

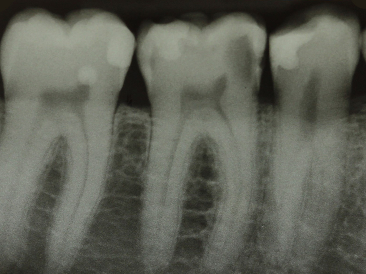
Abbildung 1a

Bissflügelröntgenaufnahme

Abbildung 2

Quadrantenisolierung mit Kofferdam (x-heavy)

Abbildung 3

Schutz des Nachbarzahnes und des Kofferdams mit wiederverwandter Bioclear Biofit Matrize (gereinigt und sterilisiert); Separation zur Applikation der Matrize mit Heidemannspatel

Abbildung 4

Defektdarstellung; „Schutzmatrizen“ ideal als „Leitplanken“ bei der Zahnpräparation tief approximal bis in gesunde Zahnsubstanz

Abbildung 5

Kariesexcavation pulpennah mit Kunststoffrosenbohrer

Abbildung 6

Reinigung der Kavitäten mit Microetcher

Abbildung 7

Kavitäten vorbereitet zur Dentinversiegelung mit Einkomponentenadhäsiv

Abbildung 8

Einmassieren des Einkomponentenadhäsivs

Abbildung 9

Adhäsiv lichtgehärtet, Schmelzränder angeschrägt und Reinigung der approximalen Flächen mit diamantierter Hubfeile

Abbildung 10

Height Indicator vor Auswahl der passenden Evolve Matrize distal

Abbildung 11

Height Indicator vor Auswahl der passenden Evolve Matrize mesial

Abbildung 12

Applikation der Matrizen: Evolve Blau Molar 5 mm distal und 6 mm mesial

Abbildung 13

Schmelzätzung bei liegenden Matrizen

Abbildung 14

Abbildung 15

Nach Spray und Trocknung der Kavität

Abbildung 16

Einmassieren des Einkomponentenadhäsivs unter den Matrizen ideal mit Pinsel, Verblasen

Abbildung 17

Applikation eines fließfähigen Bulkkomposits tief approximal mesial und distal, Lichthärtung

Abbildung 18

Distale Kavität gefüllt, Matrize distal entfernt und Bioclear Twin Ring Universal nach mesial versetzt, mesial vorher: Bioclear Diamond Wedge Large

Abbildung 19

Kavitäten gefüllt (Injektion Moulding: Flowkomposit, erwärmtes Seitenzahnkomposit aus Karpule)

Abbildung 20

Abbildung 21

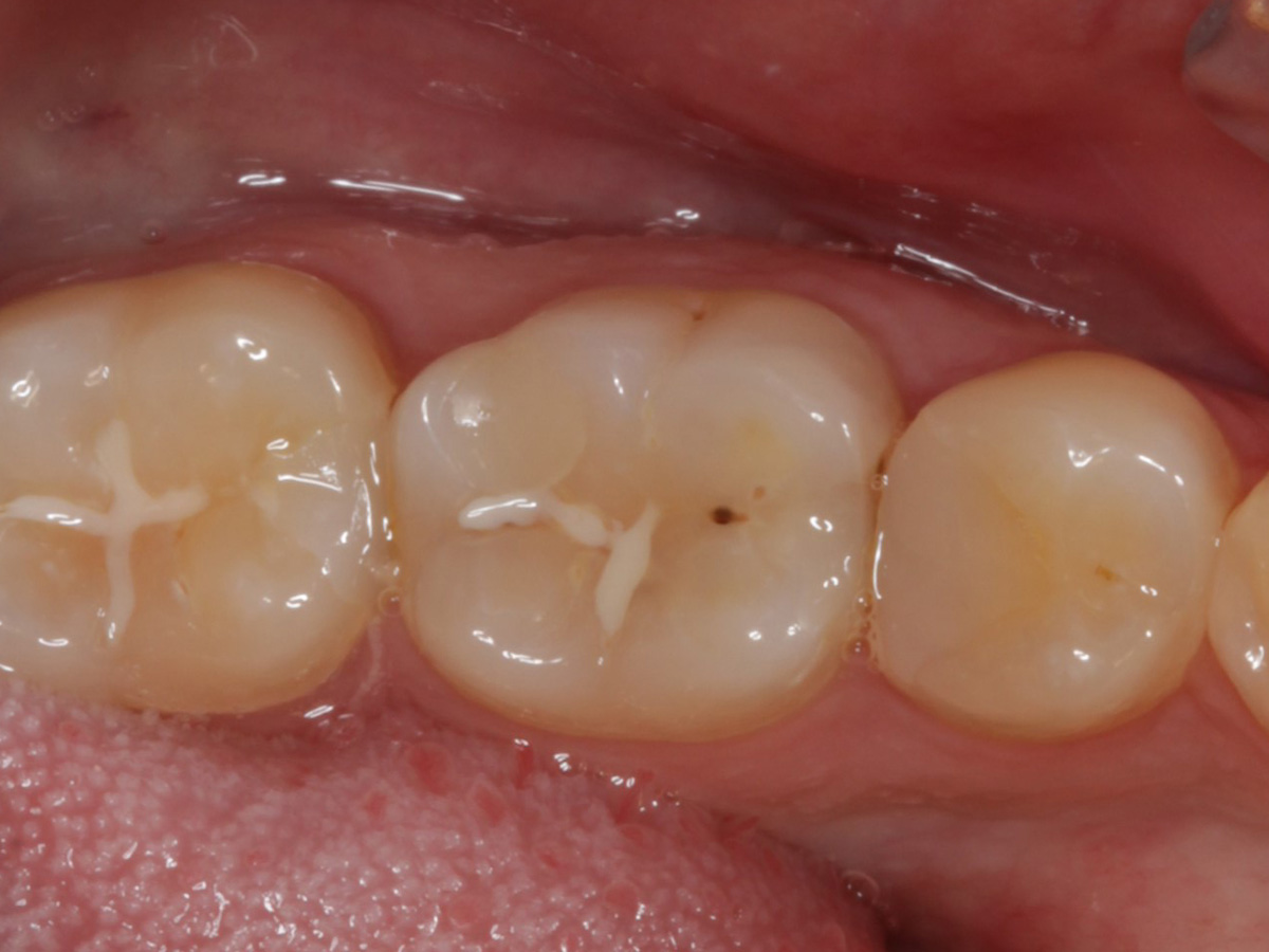
Zahnseidenkontrolle: kein Überschuss, satte Kontaktpunkte

Abbildung 22

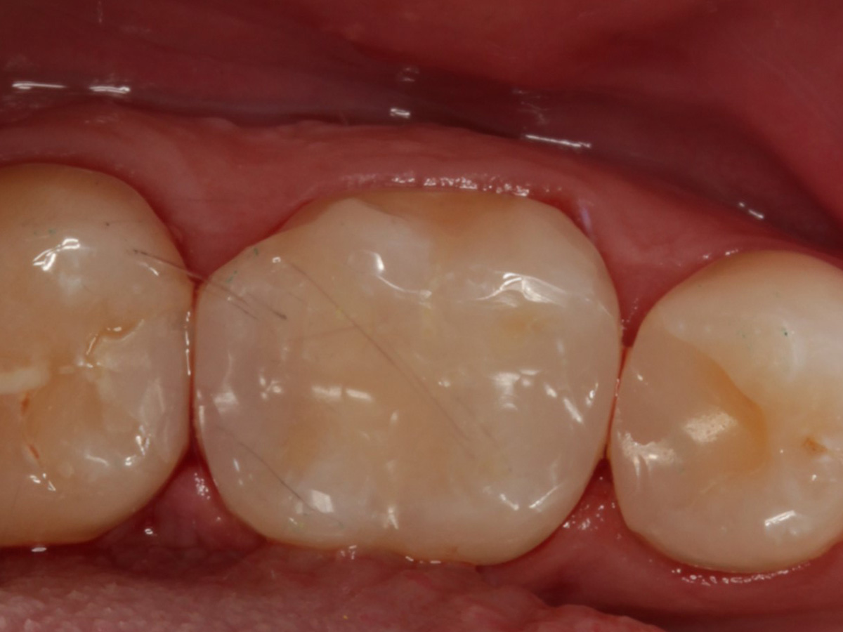
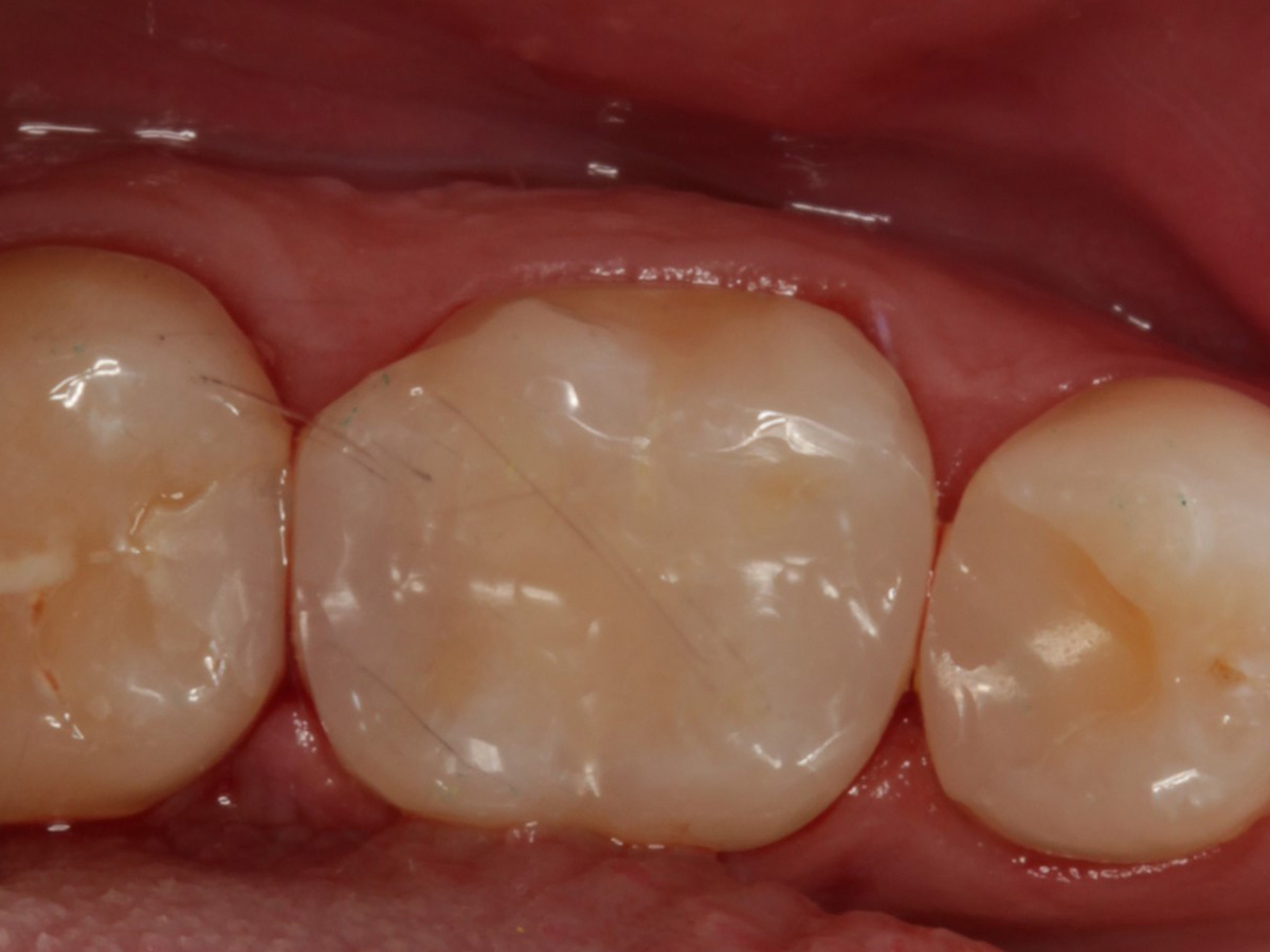
Fertige Restauration Zahn 46

Fazit

Also ich kann jetzt für mich sagen, dass die neuen Evolve Matritzen nochmal ein richtiger Schritt nach vorn hinsichtlich Formstabilität, Kantensteifigkeit, und aber insbesondere der Behandlung extrem tiefreichender (approximaler) Defekte sind. Obwohl diese Matrizen angeblich so dick sind wie die Biofit-Matrizen, sind sie gefühlt dünner und dabei gleichzeitig stabiler. Ein Riesenvorteil bei tiefer Zerstörung ist diese zusätzliche "Lasche", mit der fast alle Defekte sauber eingefasst werden können.

Verwendete Produkte

Produktgalerie überspringen

Zugehörige Produkte

Evolve Matrix Height Indicator (EMHI)
Evolve Matrix Height Indicator (EMHI)
Artikelnr.: 7961061
Herstellernr.: 500122

69,35 €
zzgl. MwSt.
zzgl. Versand

Aktuelle Fortbildungen

2. Curriculum "The Art of Digital Dentistry"
16.
Jan.
2. Curriculum "The Art of Digital Dentistry"
Fr., 16.01.26, 09:00 - 20.06.26, 17:00 (Europe/Berlin)
München
Dr. Christian Leonhardt (klinische Leitung)
Prof. Dr. Markus Blatz (wissenschaftliche Leitung)
TEAM | 2. Curriculum "The Art of Digital Dentistry"
16.
Jan.
TEAM | 2. Curriculum "The Art of Digital Dentistry"
Fr., 16.01.26, 09:00 - 20.06.26, 17:00 (Europe/Berlin)
München
Dr. Christian Leonhardt (klinische Leitung)
Prof. Dr. Markus Blatz (wissenschaftliche Leitung)
 
26.
Feb.
4D Dentistry - das Update: Workflow, Software, Hardware, Fun
Do., 26.02.26, 20:00 - 22:00 (Europe/Berlin)
online
Dr. Christian Leonhardt
Endo Friday Meeting - Modul I
17.
Apr.
Endo Friday Meeting - Modul I
Fr., 17.04.26, 13:00 - 19:00 (Europe/Berlin)
Innsburck
ZA Eduardo Belandria
Endo Friday Meeting - Modul II
15.
Mai
Endo Friday Meeting - Modul II
Fr., 15.05.26, 13:00 - 19:00 (Europe/Berlin)
Innsburck
ZA Eduardo Belandria
Endo Friday Meeting - Modul III
05.
Juni
Endo Friday Meeting - Modul III
Fr., 05.06.26, 13:00 - 19:00 (Europe/Berlin)
Innsburck
ZA Eduardo Belandria
Kieferorthopädie heute: State of the Art - 4D
26.
Nov.
Kieferorthopädie heute: State of the Art - 4D
Do., 26.11.26, 09:00 - 28.11.26, 17:00 (Europe/Berlin)
München
Dr. Domingo Martin Salvador
Dr. Alberto Canábez Berthet