Zum Hauptinhalt springen Zur Suche springen Zur Hauptnavigation springen

Hinweis: Unser Sortiment richtet sich ausschließlich an Zahnarztpraxen, Zahnlabore und Unternehmen der Dentalbranche. Ein Verkauf an Privatpersonen ist ausgeschlossen.

Willkommen bei ADS. American Dental Systems. Gemeinsam verbessern wir die Zahnmedizin.

Behandlung einer tiefreichenden Karies an Zahn 25 distal mit Pulpabeteiligung und Wurzelkanalbehandlung

Der vorliegende Fallbericht beschreibt die Behandlung einer tiefreichenden Karies an Zahn 25 distal mit Pulpabeteiligung, durchgeführt von Dr. Eggert. Im Rahmen der Therapie kam die Bioclear Evolve Matrize zum Einsatz, um eine optimale Restauration des betroffenen Zahns zu gewährleisten. Nach initialer Kariesdiagnose mittels Bissflügelröntgenaufnahme und der Feststellung einer intakten Kaufläche wurde der Zahn unter Kofferdam isoliert. Eine vitalerhaltende Behandlung konnte nicht realisiert werden, weshalb eine Wurzelkanalbehandlung in einer Folgesitzung durchgeführt wurde. Die Rekonstruktion der Zahnstruktur erfolgte in mehreren Schritten, wobei die Bioclear-Technik insbesondere zur Approximalraumrestauration eingesetzt wurde, um eine präzise Adaptation der Matrize auch in tief subgingivalen Bereichen zu erreichen.

Der klinische Fallbericht zeigt detailliert den Ablauf der Behandlung, von der Kariesexcavation und Defektdarstellung über die adhäsive Befestigung bis hin zur Wurzelkanalfüllung und abschließenden Kompositrestauration.
Porträt Dr. Günter Eggert
Dr. Günter Eggert

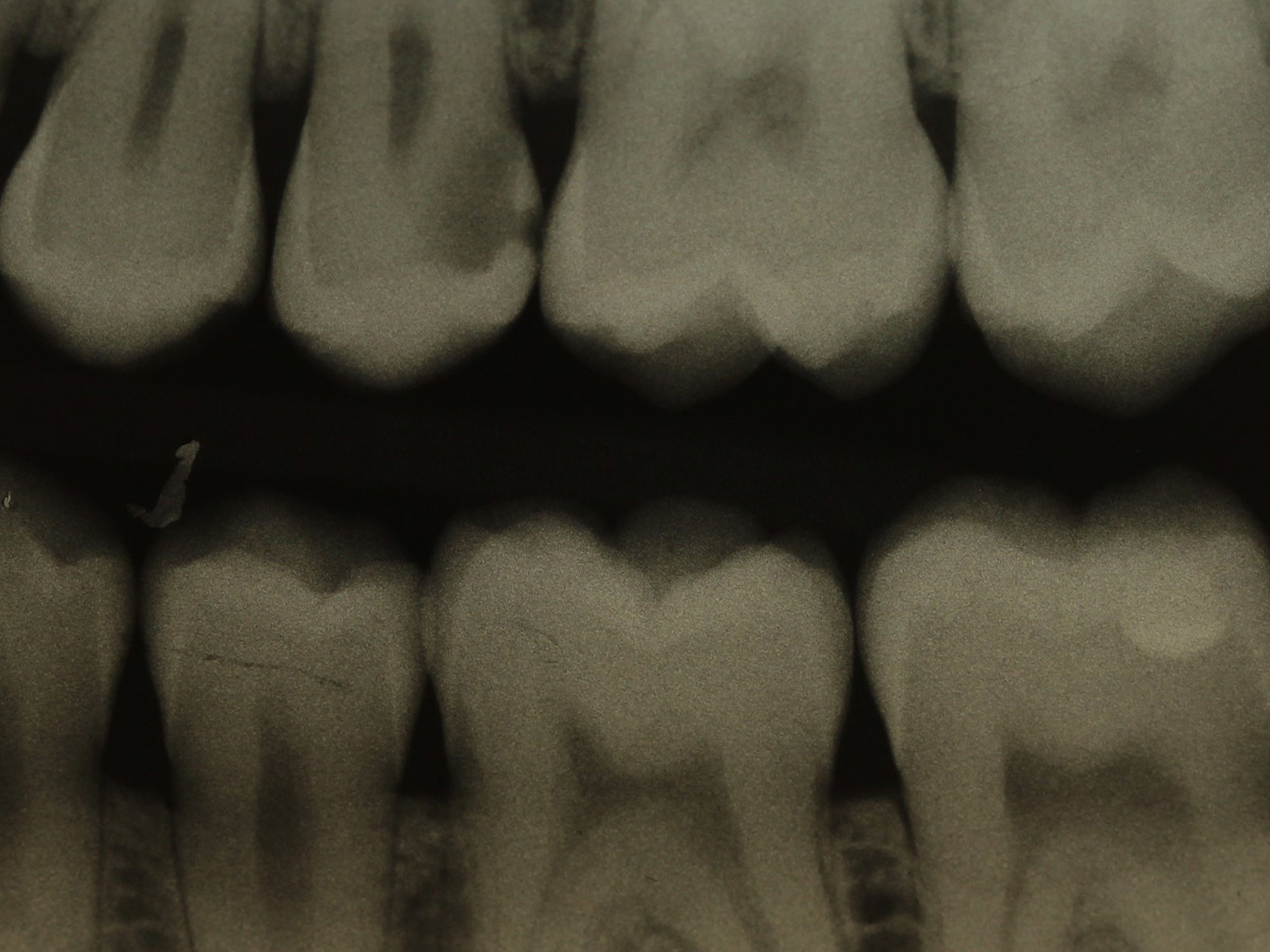
Abbildung 1

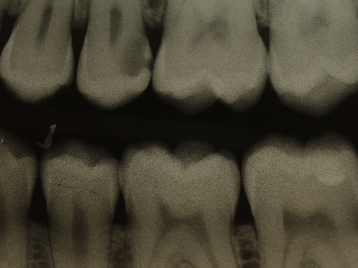
Bissflügelröntgenaufnahme, Approximalraumkaries an Zahn 25 distal

Abbildung 2

Intakte Kaufläche

Abbildung 3

Quadrantenisolierung mit Kofferdam (x-heavy)

Abbildung 4

Schutz des Nachbarzahnes und des Kofferdams mit wiederverwandter Bioclear Biofit Matrize (gereinigt und sterilisiert)

Abbildung 5

Height Indicator vor Auswahl der passenden Evolve Matrize nach Defektdarstellung, Kariesexcavation, Vitalexstirpation

Abbildung 6

Pulpenkavum mit Watte und farbigem Komposit abgedeckt; zuvor Spülung der Wurzelkanäle nur mit NaCl zwecks Nichtgefährdung der Kompositadhäsion

Abbildung 7

Reinigung der Approximalflächen mit diamantiertem Metallstreifen

Abbildung 8

Zusätzlich diamantierte Hubfeile auch apical des tiefen Kastens

Abbildung 9

Nach Applikation der Matrize: Evolve Schwarz Prämolar- 7 mm; Schmelzätzung

Abbildung 10

Nach Spray und Trocknung der Kavität: perfekte Adaptation der Matrize insbesondere tief subgingival

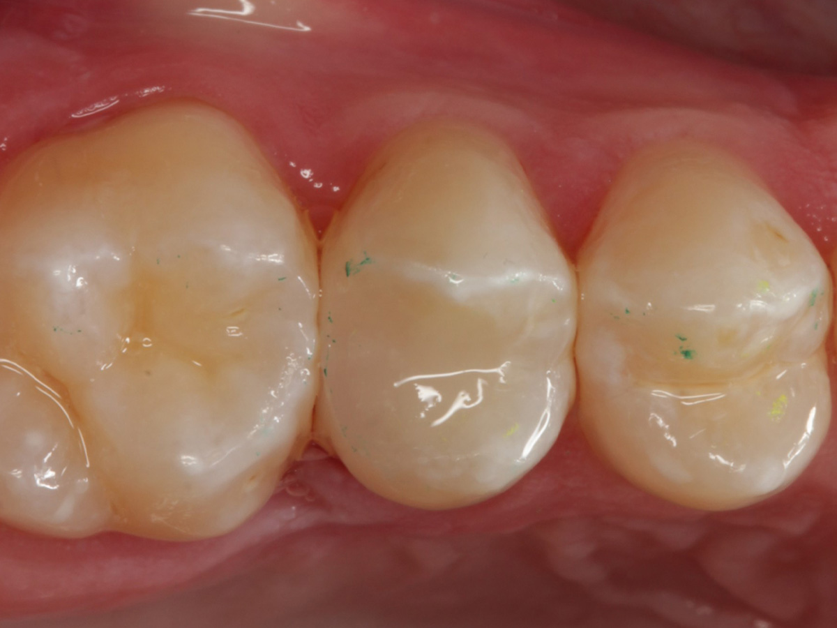
Abbildung 11

Abbildung 12

Abbildung 13

Abbildung 14

Applikation des Einkomponentenadhäsivs mit Pinsel

Abbildung 15

Abbildung 16

Nach Anbringung des Bioclear Twin Ring Universal und Lichthärtung des Einkomponentenadhäsivs

Abbildung 17

Starke Separation der Zähne durch hohe Spannkraft des Twinrings für strammen Kontaktpunkt

Abbildung 18

Bewusst kein Keil zur Vermeidung unerwünschter Matrizenverdrückung

Abbildung 19

Abbildung 20

„Erste Portion“ approximal mit fließfähigem Bulkkomposit

Abbildung 21

Kavität gefüllt (Injektion Moulding: Flowkomposit, erwärmtes Seitenzahnkomposit aus Karpule)

Abbildung 22

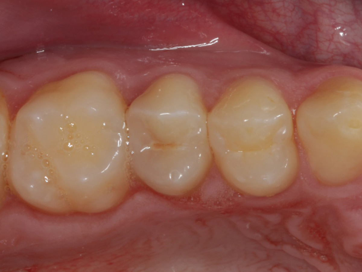
Matrize und Twinring entfernt;  weitere Lichthärtung von bukkal und oral

Abbildung 23

Abbildung 24

Folgesitzung: Trepanation Zahn 25

Abbildung 25

Nadelaufnahme nach elektronischer Längenmessung

Abbildung 26

Wurzelkanäle gefüllt

Abbildung 27

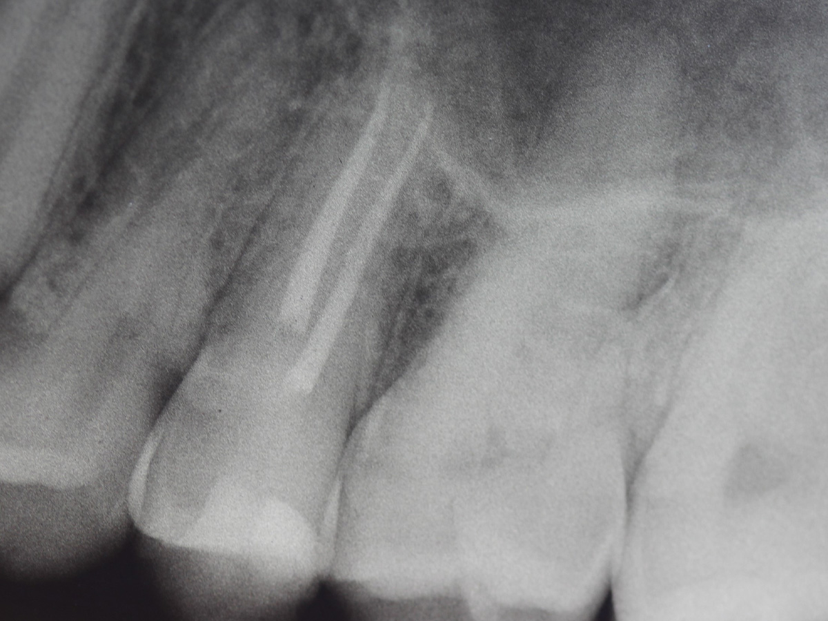
Kontrollröntgenaufnahme

Abbildung 28

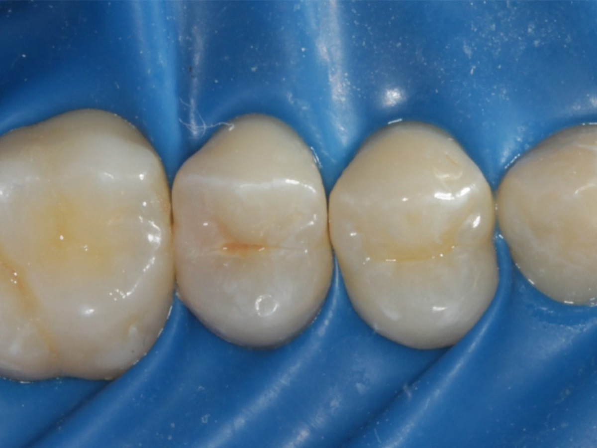
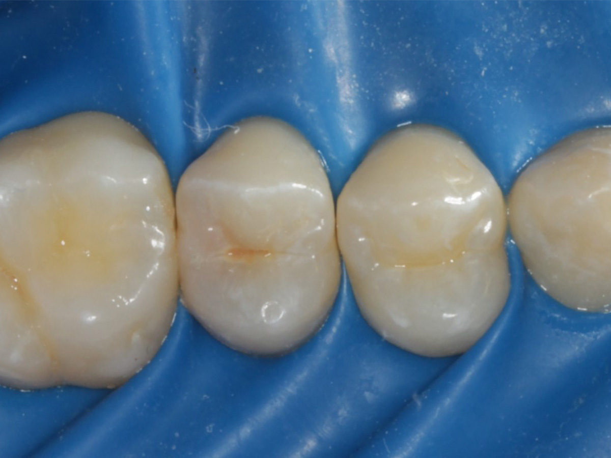
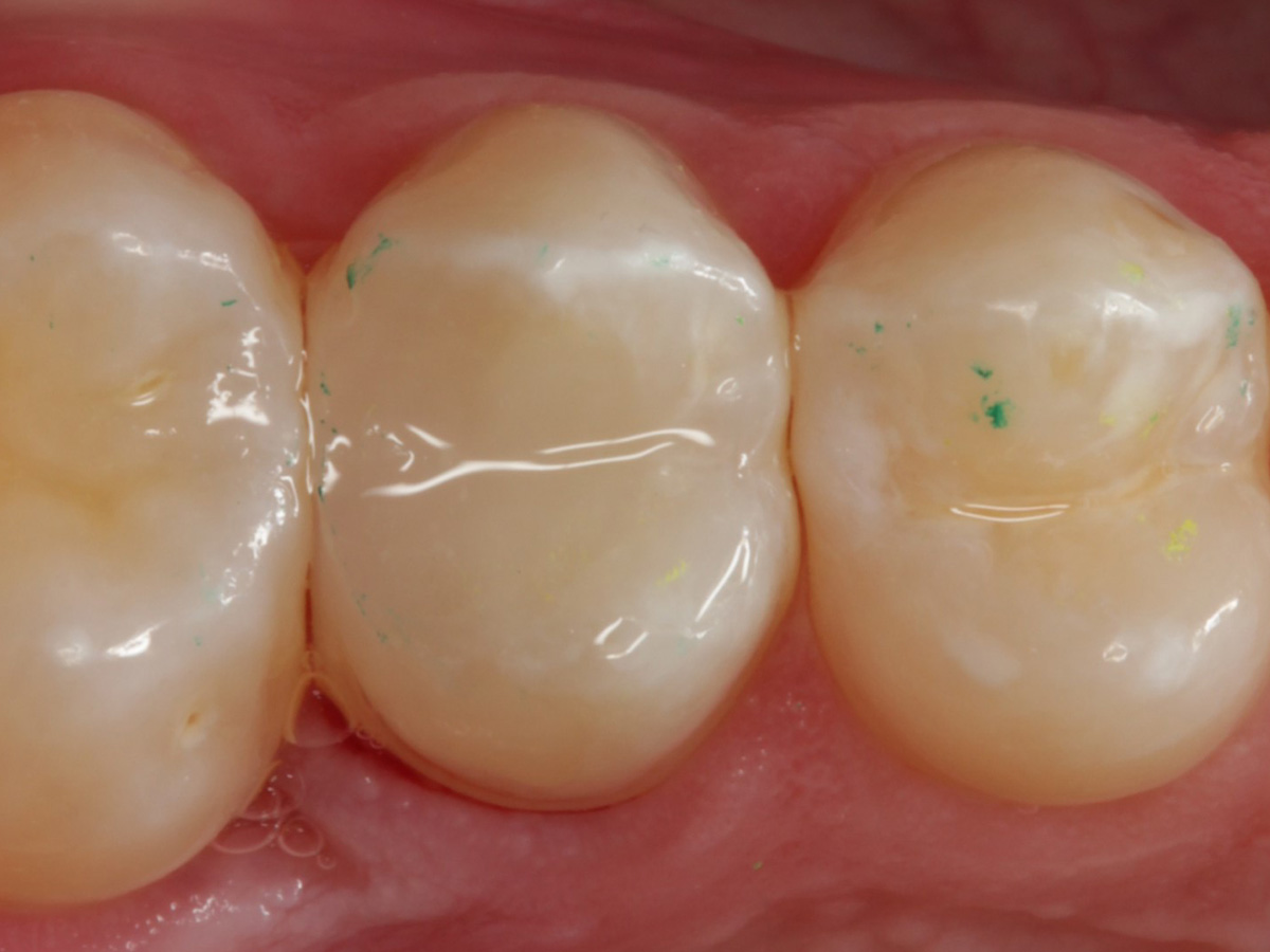
Kompositrestauration nach „Schachtverschluß“; keine Krone geplant

Abbildung 29

Fazit

Also ich kann jetzt für mich sagen, dass die neuen Evolve Matritzen nochmal ein richtiger Schritt nach vorn hinsichtlich Formstabilität, Kantensteifigkeit, und aber insbesondere der Behandlung extrem tiefreichender (approximaler) Defekte sind. Obwohl diese Matrizen angeblich so dick sind wie die Biofit-Matrizen, sind sie gefühlt dünner und dabei gleichzeitig stabiler. Ein Riesenvorteil bei tiefer Zerstörung ist diese zusätzliche "Lasche", mit der fast alle Defekte sauber eingefasst werden können.

Verwendete Produkte

Produktgalerie überspringen

Zugehörige Produkte

Evolve Matrix Height Indicator (EMHI)
Evolve Matrix Height Indicator (EMHI)
Artikelnr.: 7961061
Herstellernr.: 500122

69,35 €
zzgl. MwSt.
zzgl. Versand

Aktuelle Fortbildungen

2. Curriculum "The Art of Digital Dentistry"
16.
Jan.
2. Curriculum "The Art of Digital Dentistry"
Fr., 16.01.26, 09:00 - 20.06.26, 17:00 (Europe/Berlin)
München
Dr. Christian Leonhardt (klinische Leitung)
Prof. Dr. Markus Blatz (wissenschaftliche Leitung)
TEAM | 2. Curriculum "The Art of Digital Dentistry"
16.
Jan.
TEAM | 2. Curriculum "The Art of Digital Dentistry"
Fr., 16.01.26, 09:00 - 20.06.26, 17:00 (Europe/Berlin)
München
Dr. Christian Leonhardt (klinische Leitung)
Prof. Dr. Markus Blatz (wissenschaftliche Leitung)
 
26.
Feb.
4D Dentistry - das Update: Workflow, Software, Hardware, Fun
Do., 26.02.26, 20:00 - 22:00 (Europe/Berlin)
online
Dr. Christian Leonhardt
Endo Friday Meeting - Modul I
17.
Apr.
Endo Friday Meeting - Modul I
Fr., 17.04.26, 13:00 - 19:00 (Europe/Berlin)
Innsburck
ZA Eduardo Belandria
Endo Friday Meeting - Modul II
15.
Mai
Endo Friday Meeting - Modul II
Fr., 15.05.26, 13:00 - 19:00 (Europe/Berlin)
Innsburck
ZA Eduardo Belandria
Endo Friday Meeting - Modul III
05.
Juni
Endo Friday Meeting - Modul III
Fr., 05.06.26, 13:00 - 19:00 (Europe/Berlin)
Innsburck
ZA Eduardo Belandria
Kieferorthopädie heute: State of the Art - 4D
26.
Nov.
Kieferorthopädie heute: State of the Art - 4D
Do., 26.11.26, 09:00 - 28.11.26, 17:00 (Europe/Berlin)
München
Dr. Domingo Martin Salvador
Dr. Alberto Canábez Berthet