Zum Hauptinhalt springen Zur Suche springen Zur Hauptnavigation springen

Hinweis: Unser Sortiment richtet sich ausschließlich an Zahnarztpraxen, Zahnlabore und Unternehmen der Dentalbranche. Ein Verkauf an Privatpersonen ist ausgeschlossen.

Willkommen bei ADS. American Dental Systems. Gemeinsam verbessern wir die Zahnmedizin.

Simultane Implantation und GBR mit der Bone-Lamina-Technik

In diesem Fallbericht zeigt PD Dr. Kai Fischer Schritt für Schritt eine Simultane Implantation und GBR mit der Bone-Lamina-Technik
Porträt PD Dr. Kai Fischer
PD Dr. Kai Fischer

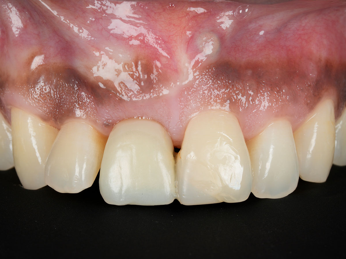
Abbildung 1

Klinische Ausgangssituation mit verzögerter Knochenregeneration 4 Monate nach Extraktion Zahn 11 (alio loco; gewanderter 12 durch gelockerten Retainer)

Abbildung 2

Inzision mit dem Mikroskalpel zur maximalen Gewebeschonung.

Abbildung 3

Darstellung des Knochendefekts mit Dehiszensdefekt vestibulär.

Abbildung 4

Gewinnung von autologen Knochenspähnen mittels Bonescraper.

Abbildung 5

Mischung der Knochenspähne mit Osteobiol GenOs und Hyaluronsäure.

Abbildung 6

Verwendung einer Führungsschablone für die Pilotbohrung.

Abbildung 7

Insertion eines 4x12mm Implantats mit guter Primärstabilität.

Abbildung 8

Intraoperativer Scan der Implantatposition für die Anfertigung eines verschraubten Provisoriums für die Freilegung.

Abbildung 9

Anpassung der rehydrierten und mit Pins fixierten Osteobiol Lamina Membran im Defekt.

Abbildung 10

Einbringen des Knochengemisches innerhalb des natürlichen Knochenphänotyps der Patientin.

Abbildung 11

Weitere Fixation der Membran und Auftragen von Hyaluronsäure auf die Membran.

Abbildung 12

Mehrschichtiger Wundverschluss von inzisal (krestal sichtbarer Bereich der Weichgewebsinvagination in die alte Alveole, jetzt ohne Verbindung zur GBR).

Abbildung 13

Nahtverschluss von vestibulär und adhäsiv befestigte Klebebrücke aus NEM Kunststoff-verblendet.

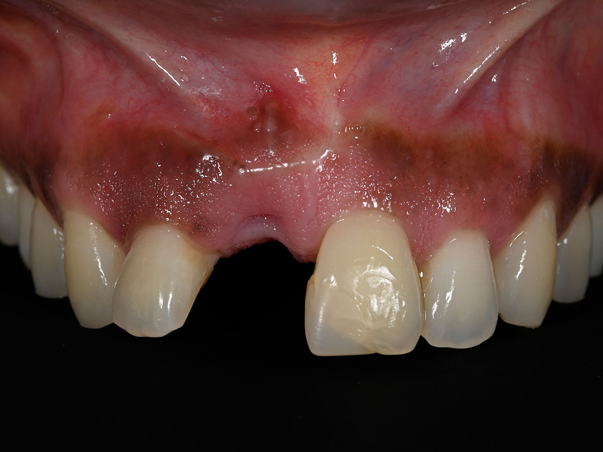
Abbildung 14

Heilung 4 Monate post-GBR vor Freilegung von vestibulär, stabiles Gewebevolumen.

Abbildung 15

Kieferkamm von inzisal nach Entfernung der Klebebrücke mit sichtbarer Einlagerung des Pontis.

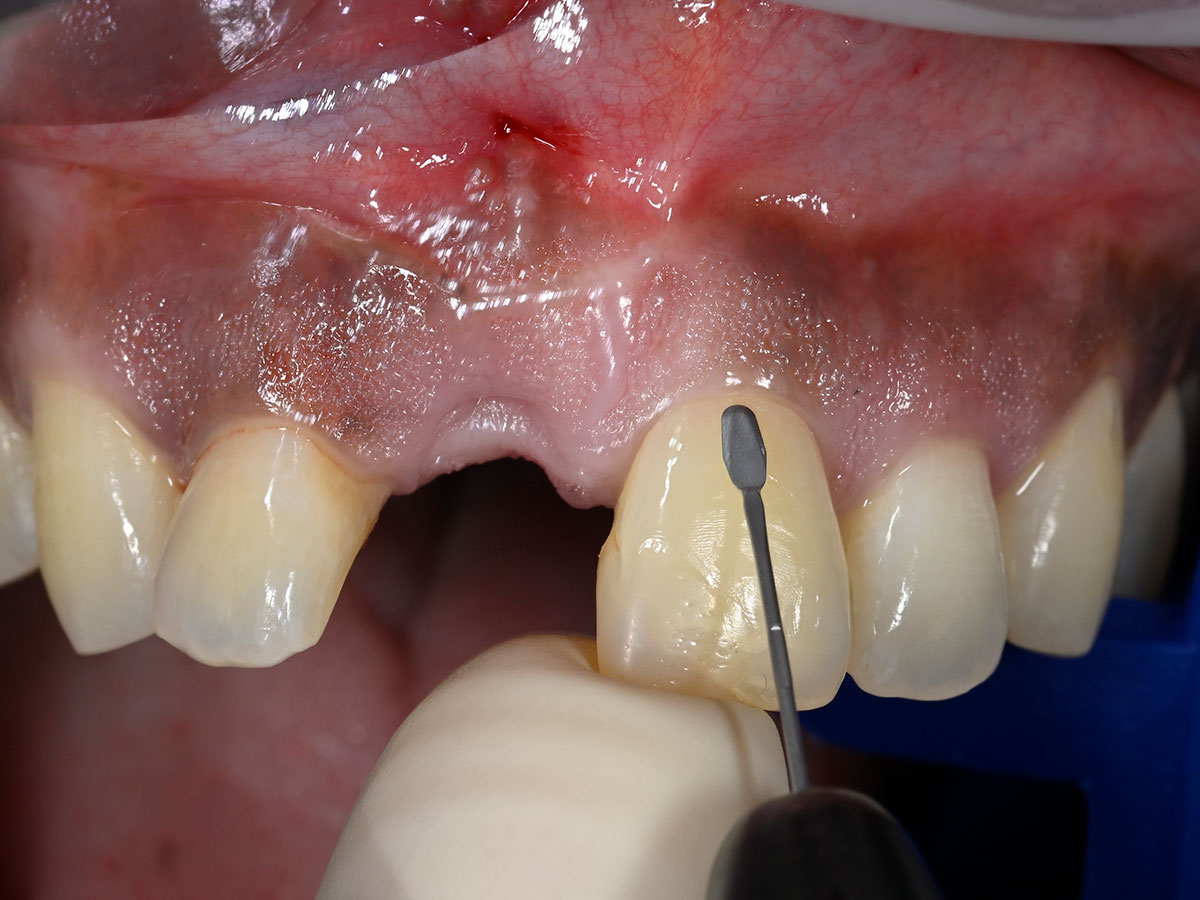
Abbildung 16

Zustand nach Rolllappentechnik zur Freilegung des Implantats und eingesetztem, verschraubtem PMMA-Provisorium.

Abbildung 17

Abheilung nach Freilegung und laufende Aligner-Therapie zur Verbesserung der Zahnposition 12 (alio loco).

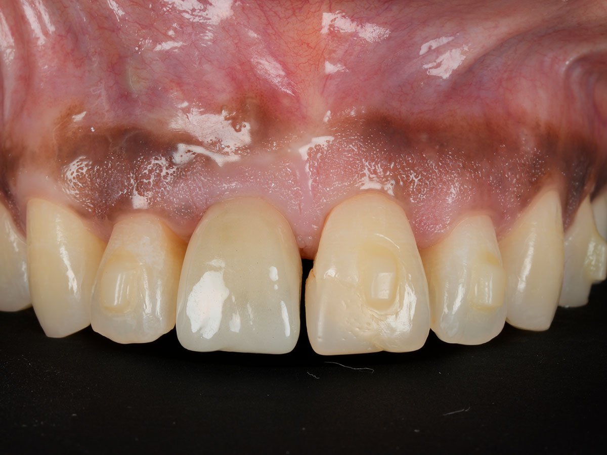
Abbildung 18

Klinisches Abschlussbild zum Zeitpunkt der Eingliederung der definitiven Rekonstruktion mit zufriedenstellendem Ergebnis für die Patientin.

Verwendete Produkte

Produktgalerie überspringen

Zugehörige Produkte

Keydent Micro Blades SR (10)
Keydent Micro Blades SR (10)
Artikelnr.: 4326150
Herstellernr.: 4326150

68,25 €
zzgl. MwSt.
zzgl. Versand
TOUCHGRIP - Sofort-Implantations-Set nach Hürzeler/Zuhr
TOUCHGRIP - Sofort-Implantations-Set nach Hürzeler/Zuhr
Artikelnr.: 8600541

2.426,95 €
zzgl. MwSt.
zzgl. Versand

Aktuelle Fortbildungen

2. Curriculum "The Art of Digital Dentistry"
16.
Jan.
2. Curriculum "The Art of Digital Dentistry"
Fr., 16.01.26, 09:00 - 20.06.26, 17:00 (Europe/Berlin)
München
Dr. Christian Leonhardt (klinische Leitung)
Prof. Dr. Markus Blatz (wissenschaftliche Leitung)
TEAM | 2. Curriculum "The Art of Digital Dentistry"
16.
Jan.
TEAM | 2. Curriculum "The Art of Digital Dentistry"
Fr., 16.01.26, 09:00 - 20.06.26, 17:00 (Europe/Berlin)
München
Dr. Christian Leonhardt (klinische Leitung)
Prof. Dr. Markus Blatz (wissenschaftliche Leitung)
 
26.
Feb.
4D Dentistry - das Update: Workflow, Software, Hardware, Fun
Do., 26.02.26, 20:00 - 22:00 (Europe/Berlin)
online
Dr. Christian Leonhardt
Endo Friday Meeting - Modul I
17.
Apr.
Endo Friday Meeting - Modul I
Fr., 17.04.26, 13:00 - 19:00 (Europe/Berlin)
Innsburck
ZA Eduardo Belandria
Endo Friday Meeting - Modul II
15.
Mai
Endo Friday Meeting - Modul II
Fr., 15.05.26, 13:00 - 19:00 (Europe/Berlin)
Innsburck
ZA Eduardo Belandria
Endo Friday Meeting - Modul III
05.
Juni
Endo Friday Meeting - Modul III
Fr., 05.06.26, 13:00 - 19:00 (Europe/Berlin)
Innsburck
ZA Eduardo Belandria
Kieferorthopädie heute: State of the Art - 4D
26.
Nov.
Kieferorthopädie heute: State of the Art - 4D
Do., 26.11.26, 09:00 - 28.11.26, 17:00 (Europe/Berlin)
München
Dr. Domingo Martin Salvador
Dr. Alberto Canábez Berthet