Zum Hauptinhalt springen Zur Suche springen Zur Hauptnavigation springen

Hinweis: Unser Sortiment richtet sich ausschließlich an Zahnarztpraxen, Zahnlabore und Unternehmen der Dentalbranche. Ein Verkauf an Privatpersonen ist ausgeschlossen.

Willkommen bei ADS. American Dental Systems. Gemeinsam verbessern wir die Zahnmedizin.

Chairside Wundverband mit Elemental Granulate

Ich verwende Elemental Granulate vor allem für mukogingivale Zwecke, während des Eingriffs, aber auch für die postoperative Versorgung. Die Verwendung von Bindegewebstransplantaten und Gaumentransplantaten gilt nach wie vor als Goldstandard, wenn es um mukogingivale Eingriffe geht. Aber natürlich mögen es die Patienten nicht, wenn wir zur Entnahme eines Transplantats an den Gaumen gehen, weil sie sich Sorgen um den postoperativen Komfort beim Essen und Sprechen machen. Deshalb haben wir begonnen, Elemental zur Herstellung von sofortigen Chairside-Gaumenplatten zu verwenden, und wir sehen großartige Ergebnisse in Bezug auf die Heilung und den Komfort der Patienten. 

Elemental kann unmittelbar präoperativ und chairside hergestellt werden und ist sofort während der Operation einsetzbar. Wenn der Patient zur Behandlung erscheint, stellen wir zunächst die Gaumenplatte her. Wir erwärmen das Granulat, um es weich und formbar zu machen, und positionieren es auf dem Gaumen des Patienten. Mit Hilfe der Interdentalräume und Kauflächen erreichen wir eine mechanische Retention. 

Nach der Entnahme des Transplantats aus dem Gaumen können wir die Gaumenplatte sofort einsetzen. Es ist nicht notwendig, den Gaumen zu nähen oder die Operation zu verzögern. Das Transplantat wird entnommen und die Gaumenplatte wird eingesetzt. Das bedeutet, dass wir sofort mit der Operation fortfahren können und viel Zeit gewinnen. Damit wird die Gesamtdauer chirurgischer Eingriffe verkürzt, was sich auch positiv auf die allgemeine Morbidität des Patienten auswirkt. 

Für den Patienten wir der postoperative Komfort durch Elemental erheblich vergrößert. Wenn wir die Gaumenplatte bei der Nachuntersuchung nach einer Woche entfernen, ähnelt die Heilung, die wir sehen, der, die ich normalerweise nach zwei oder drei Wochen gesehen habe, wenn ich einen Kollagenschwamm und Nähte am Gaumen verwendet habe. 

Natürlich ist die Operationstechnik nach wie vor von größter Bedeutung. Wie wir aus Studien wissen, verursachen wir bei unseren Patienten umso mehr Schmerzen, je tiefer wir in die Kaumuskulatur des Gaumens eindringen. Das bedeutet, dass die Entnahme des freien Zahnfleischtransplantats auf korrekte Weise erfolgen muss. Den Rest übernimmt im Anschluss die Elemental Gaumenplatte.
Porträt Prof. Dr. Andy Temmerman
Prof. Dr. Andy Temmerman
Autor Name

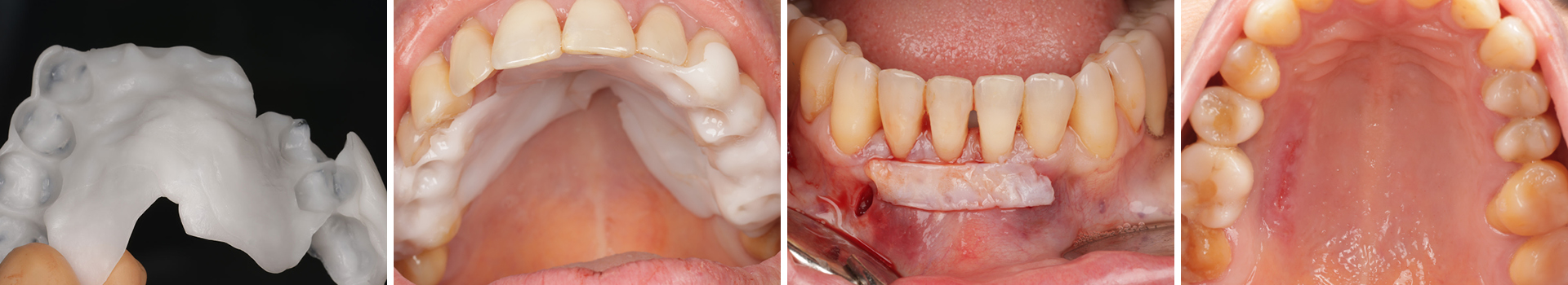
Abbildung 1

Sofortige, chairside, Anfertigung einer Gaumenplatte.

Abbildung 2

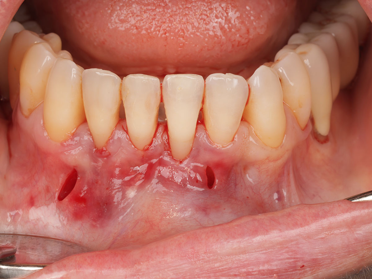
Vorbereitung der Empfängerstelle.

Abbildung 3

Entnahme des freien Zahnfleischtransplantats.

Abbildung 4

Sofortige Platzierung der Gaumenplatte ohne Gaumennaht. Mechanische Retention in den Interdentalräumen und Kauflächen.

Abbildung 5

Platzieren des Transplantats an der Empfängerstelle.

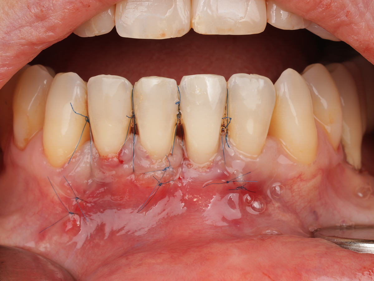
Abbildung 6

Platzieren und Vernähen des Transplantats an der Empfängerstelle.

Abbildung 7

Heilung der Entnahmestelle nach sieben Tagen.

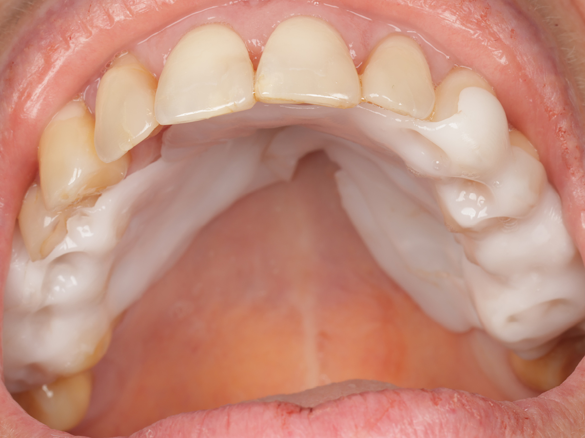
Abbildung 8

Heilung der Empfängerstelle nach sieben Tagen.

Verwendete Produkte

Produktgalerie überspringen

Zugehörige Produkte

Elemental Granulate (10 g)
Elemental Granulate (10 g)
Artikelnr.: 7713100
Herstellernr.: ZINKH-EG-10G

111,20 €
zzgl. MwSt.
zzgl. Versand

Aktuelle Fortbildungen

2. Curriculum "The Art of Digital Dentistry"
16.
Jan.
2. Curriculum "The Art of Digital Dentistry"
Fr., 16.01.26, 09:00 - 20.06.26, 17:00 (Europe/Berlin)
München
Dr. Christian Leonhardt (klinische Leitung)
Prof. Dr. Markus Blatz (wissenschaftliche Leitung)
TEAM | 2. Curriculum "The Art of Digital Dentistry"
16.
Jan.
TEAM | 2. Curriculum "The Art of Digital Dentistry"
Fr., 16.01.26, 09:00 - 20.06.26, 17:00 (Europe/Berlin)
München
Dr. Christian Leonhardt (klinische Leitung)
Prof. Dr. Markus Blatz (wissenschaftliche Leitung)
 
26.
Feb.
4D Dentistry - das Update: Workflow, Software, Hardware, Fun
Do., 26.02.26, 20:00 - 22:00 (Europe/Berlin)
online
Dr. Christian Leonhardt
Endo Friday Meeting - Modul I
17.
Apr.
Endo Friday Meeting - Modul I
Fr., 17.04.26, 13:00 - 19:00 (Europe/Berlin)
Innsburck
ZA Eduardo Belandria
Endo Friday Meeting - Modul II
15.
Mai
Endo Friday Meeting - Modul II
Fr., 15.05.26, 13:00 - 19:00 (Europe/Berlin)
Innsburck
ZA Eduardo Belandria
Endo Friday Meeting - Modul III
05.
Juni
Endo Friday Meeting - Modul III
Fr., 05.06.26, 13:00 - 19:00 (Europe/Berlin)
Innsburck
ZA Eduardo Belandria
Kieferorthopädie heute: State of the Art - 4D
26.
Nov.
Kieferorthopädie heute: State of the Art - 4D
Do., 26.11.26, 09:00 - 28.11.26, 17:00 (Europe/Berlin)
München
Dr. Domingo Martin Salvador
Dr. Alberto Canábez Berthet