Zum Hauptinhalt springen Zur Suche springen Zur Hauptnavigation springen

Hinweis: Unser Sortiment richtet sich ausschließlich an Zahnarztpraxen, Zahnlabore und Unternehmen der Dentalbranche. Ein Verkauf an Privatpersonen ist ausgeschlossen.

Willkommen bei ADS. American Dental Systems. Gemeinsam verbessern wir die Zahnmedizin.

Chirurgische PA-Therapie an 16/17 mit regenerativem Ansatz

In diesem Fallbericht zeigt Dr. Tobias Thalmair die chirurgische PA-Therapie an 16/17 bei einer 50-jährigen Patientin mit schwerer chronischer Parodontitis.
Porträt Dr. Tobias Thalmair
Dr. Tobias Thalmair

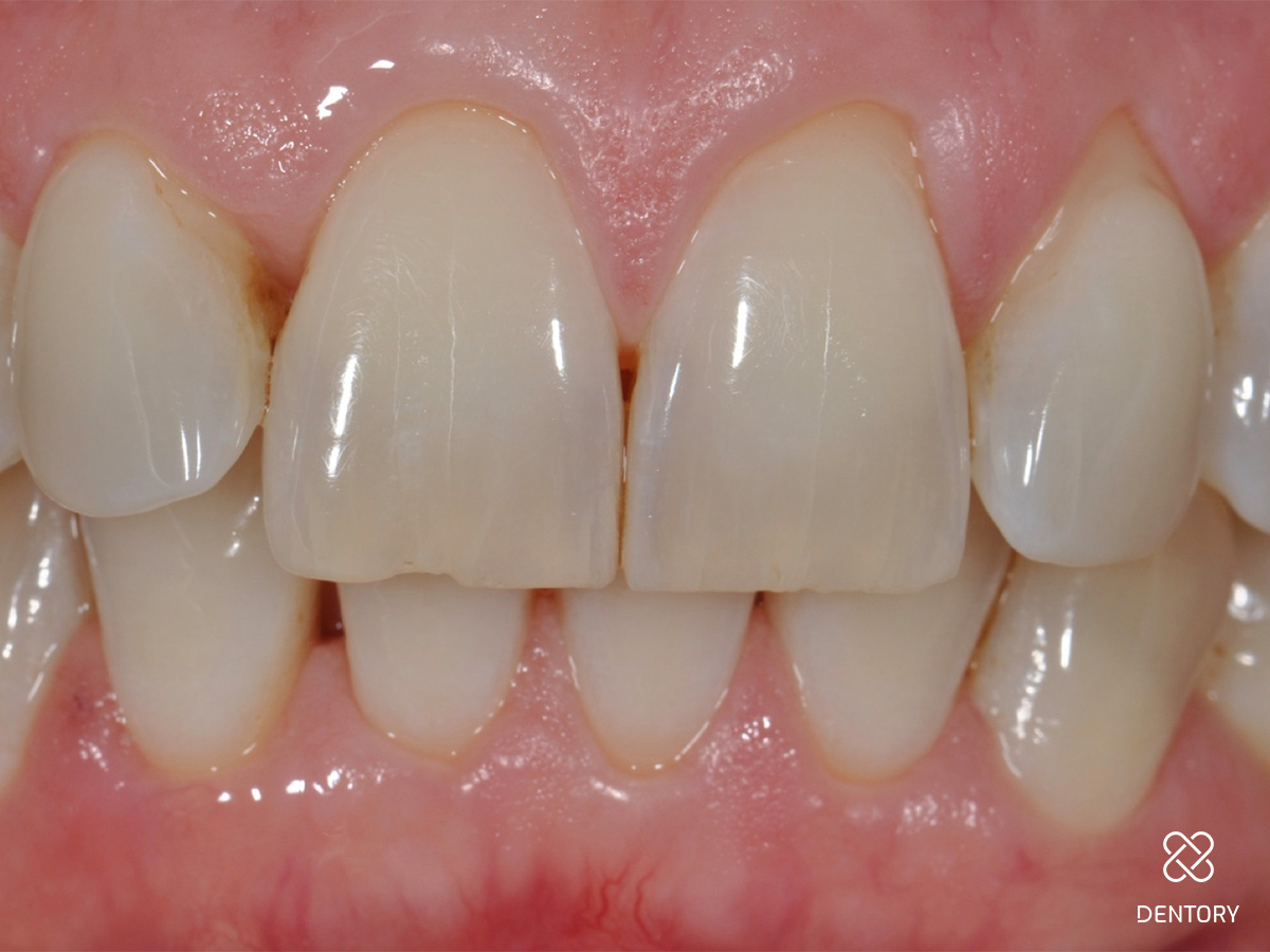
Abbildung 1

Ausgangssituation: Frontalansicht.

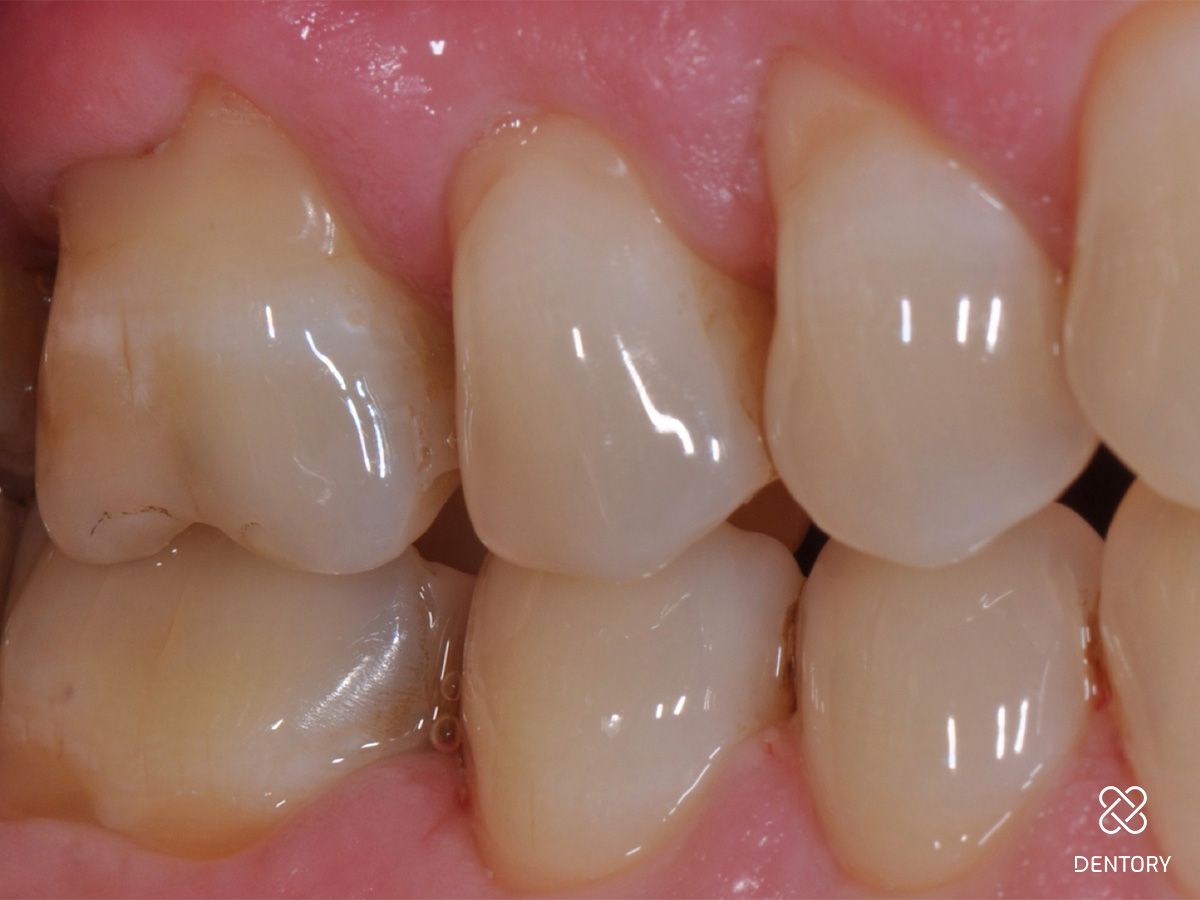
Abbildung 2

Die Ausgangssituation der regio 16/17. Hier wurden initial Sondierungstiefen von 9 und 11 mm mesial an Zahn 17 gemessen.

Abbildung 3

Das Röntgenbild weist einen vertikalen Knochendefekt an Zahn 17 mesial auf.

Abbildung 4

Lappenpräparation: Die Lappenpräparation beginnt mit der intrasulkulären Inzision auf den bukkalen Flächen der beiden zum Defekt benachbarten Zähne (16 und 17) mit einer mikrochirurgischen Skalpellklinge. Es werden keine vertikalen Entlastungen durchgeführt. Wenn der Zugang zum knöchernen Defekt nicht ausreicht, kann ein weiterer Nachbarzahn in die Lappenpräparation integriert werden.

Abbildung 5

Mit einem feinen Raspatorium oder einem Papillenelevator wird ein Mukoperiostlappen zur Darstellung der knöchernen Strukturen präpariert. Die Präparation beginnt idealerweise von einer gut tastbaren Knochenkante zum Defekt hin.

Abbildung 6

Anschließend wird die Papille gelöst und das interdentale Gewebe vom Boden des Defektes ausgehend nach palatinal präpariert.

Abbildung 7

Darstellung des knöchernen Defektes. Es handelt sich um einen zweiwandigen knöchernen Defekt. Hier empfiehlt sich die kombinierte Anwendung von Schmelz-Matrix-Proteinen mit einem Knochenersatzmaterial. Das Knochenersatzmaterial verhindert ein Kollabieren bzw. Zusammenfallen des Weichgewebes in den Defekt.

Abbildung 8

Applikation von Schmelz-Matrix-Proteinen: Nach Reinigung der Wurzeloberfläche und Konditionierung mit EDTA-Gel erfolgt die Applikation eines Schmelz-Matrix-Proteins. Dazu sollte die Wurzeloberfläche frei von Blut sein.

Abbildung 9

Auffüllen mit Knochenersatzmaterialien: Das Auffüllen des knöchernen Defektes erfolgt mit einem Knochenersatzmaterial zur Stabilisierung der Wunde und des Lappens.

Abbildung 10

Primärer Wundverschluss: Ein primärer Wundverschluß ist eine unbedingte Voraussetzung für eine erfolgreiche Regeneration. Mit einer zweischichtigen Nahttechnik werden die beiden Lappen Stoß-auf-Stoß adaptiert.

Abbildung 11

Nach 7 Tagen: Die Wundkontrolle und Nahtentfernung nach sieben Tagen zeigt eine reizlose, komplikationsfreie Heilung.

Abbildung 12

Ansicht von palatinal. Primäre Heilung und reizloser Heilungsverlauf.

Abbildung 13

Nach 6 Monaten: Der parodontale Befund mit erhobenen Sondierungstiefen erstellt sechs Monate nach dem chirurgischem Eingriff an 17.

Abbildung 14

Der Vergleich der PA-Befunde von der Ausgangsituation und der Situation nach dem chirurgischen Eingriff verdeutlicht die Verbesserung der parodontalen Situation und der Sondierungstiefen, besonders in regio 17 mesial..

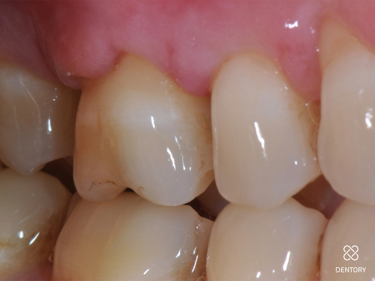
Abbildung 15

Die klinische Situation von frontal sechs Monaten nach dem chirurgischen Eingriff an 16 und 12 Monate nach initialer PA-Behandlung.

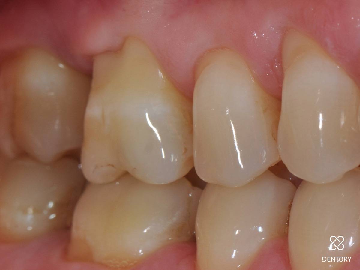
Abbildung 16

Die klinische Situation regio 16/17 sechs Monate nach Eingriff zeigt ein gesunde und stabile Gingivaverhältnisse.

Abbildung 17

Das Röntgenbild von 17 weist mesial eine knöcherne Auffüllung des Defektes auf.

Heilungsdauer

Nahtentfernung nach 1 Woche, radiologische Verlaufskontrolle nach 6 Monaten 

Heilungsverlauf
Unauffälliger Heilungsverlauf, deutliche Reduzierung der Sondierungstiefen und radiologische Defektauffüllung

Verwendete Produkte

Produktgalerie überspringen

Zugehörige Produkte

mamadent Mikro 001 Mikrochirurgische Pinzette,
17,5 cm
mamadent Mikro 001 Mikrochirurgische Pinzette, 17,5 cm
Artikelnr.: 8200501
Herstellernr.: 22.810.17MM

359,55 €
zzgl. MwSt.
zzgl. Versand
mamadent Mikro 002 Mikrochirurgische Federschere,
17,5 cm
mamadent Mikro 002 Mikrochirurgische Federschere, 17,5 cm
Artikelnr.: 8200502
Herstellernr.: 46.319.17M

489,90 €
zzgl. MwSt.
zzgl. Versand
mamadent Mikro 003 Mikrochirurgischer  Skalpellgriff (Münchner Modell)
mamadent Mikro 003 Mikrochirurgischer Skalpellgriff (Münchner Modell)
Artikelnr.: 8200503
Herstellernr.: 46.013.00M

291,25 €
zzgl. MwSt.
zzgl. Versand
mamadent Mikro 004 Mikrochirurgischer  Nadelhalter gerade glatt, 17,5 cm
mamadent Mikro 004 Mikrochirurgischer Nadelhalter gerade glatt, 17,5 cm
Artikelnr.: 8200504
Herstellernr.: 41.010.17MM

761,55 €
zzgl. MwSt.
zzgl. Versand
mamadent Mikro 005 Papillenelevator, doppelendig,
auswechselbare Arbeitsenden
mamadent Mikro 005 Papillenelevator, doppelendig, auswechselbare Arbeitsenden
Artikelnr.: 8200505
Herstellernr.: 46.035.17

177,90 €
zzgl. MwSt.
zzgl. Versand
Skalpellklinge #12D (100)
Skalpellklinge #12D (100)
Artikelnr.: 8213105
Herstellernr.: 0218

86,00 €
zzgl. MwSt.
zzgl. Versand

Aktuelle Fortbildungen

2. Curriculum "The Art of Digital Dentistry"
16.
Jan.
2. Curriculum "The Art of Digital Dentistry"
Fr., 16.01.26, 09:00 - 20.06.26, 17:00 (Europe/Berlin)
München
Dr. Christian Leonhardt (klinische Leitung)
Prof. Dr. Markus Blatz (wissenschaftliche Leitung)
TEAM | 2. Curriculum "The Art of Digital Dentistry"
16.
Jan.
TEAM | 2. Curriculum "The Art of Digital Dentistry"
Fr., 16.01.26, 09:00 - 20.06.26, 17:00 (Europe/Berlin)
München
Dr. Christian Leonhardt (klinische Leitung)
Prof. Dr. Markus Blatz (wissenschaftliche Leitung)
 
26.
Feb.
4D Dentistry - das Update: Workflow, Software, Hardware, Fun
Do., 26.02.26, 20:00 - 22:00 (Europe/Berlin)
online
Dr. Christian Leonhardt
Endo Friday Meeting - Modul I
17.
Apr.
Endo Friday Meeting - Modul I
Fr., 17.04.26, 13:00 - 19:00 (Europe/Berlin)
Innsburck
ZA Eduardo Belandria
Endo Friday Meeting - Modul II
15.
Mai
Endo Friday Meeting - Modul II
Fr., 15.05.26, 13:00 - 19:00 (Europe/Berlin)
Innsburck
ZA Eduardo Belandria
Endo Friday Meeting - Modul III
05.
Juni
Endo Friday Meeting - Modul III
Fr., 05.06.26, 13:00 - 19:00 (Europe/Berlin)
Innsburck
ZA Eduardo Belandria
Kieferorthopädie heute: State of the Art - 4D
26.
Nov.
Kieferorthopädie heute: State of the Art - 4D
Do., 26.11.26, 09:00 - 28.11.26, 17:00 (Europe/Berlin)
München
Dr. Domingo Martin Salvador
Dr. Alberto Canábez Berthet