Zum Hauptinhalt springen Zur Suche springen Zur Hauptnavigation springen

Hinweis: Unser Sortiment richtet sich ausschließlich an Zahnarztpraxen, Zahnlabore und Unternehmen der Dentalbranche. Ein Verkauf an Privatpersonen ist ausgeschlossen.

Willkommen bei ADS. American Dental Systems. Gemeinsam verbessern wir die Zahnmedizin.

Dentogene Zysten in der Oberkieferfront: Sichere Knochenrekonstruktion und optimaler Strukturerhalt

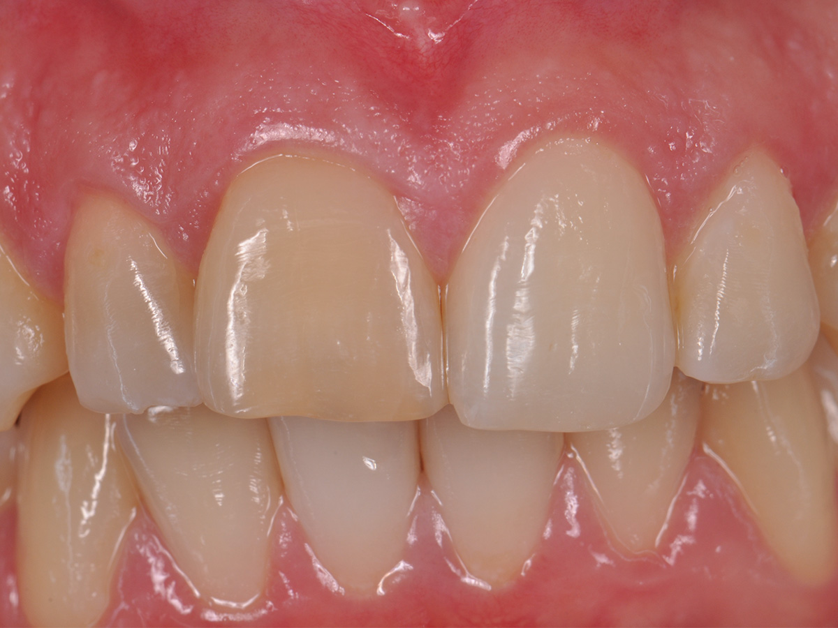
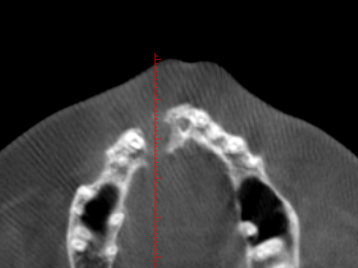
Nach einem Zahntrauma im Jugendalter mit anschließender endodontischer Versorgung stellte sich unsere 24-jährige Patientin mit seit einigen Monaten bestehendem, rezidivierendem Druckgefühl und leichten Schmerzen in regio 11 und 12 vor (Abb. 1, 2, 3). Die klinische Untersuchung ergab an Zahn 11 und 12 Lockerungsgrad 1 und, wie zu erwarten, eine negative Sensitivität. Es lag ein leichter Perkussionsschmerz vertikal wie horizontal vor. Die Krone auf Position 11 zeigte eine leichte Verfärbung im Vergleich zu den Nachbarzähnen. Ein OPG ergab eine – in ihrer Ausdehnung nicht sicher zu beurteilende – Aufhellung im Knochenbereich regio 11 und 12 (Abb. 4). Als Nebenbefund waren teilretinierte Zähne 38 und 48 sowie ein vollständig retinierter Zahn 28 als Mikroform nachzuweisen. Ein zusätzlich durchgeführtes DVT zeigte eine große zystische Formation unter Einschluss der Wurzeln 11 und 12, die vom Canalis nasopalatinus bis mesial 13 mit einer kleineren Perforation zum Nasenboden und größeren Perforationen nach vestibulär und palatinal reichte (Abb. 5, 6, 7).
Porträt Prof. Dr. Dr. Florian Stelzle
Prof. Dr. Dr. Florian Stelzle

Abbildung 1

Prä-OP: Lachlinie en face.

Abbildung 2

Prä-OP: Front nah en face.

Abbildung 3

Prä-OP: OK von okklusal.

Abbildung 4

Prä-OP: Das OPG zeigt eine Erhellung im Knochenbereich regio 11 und 12.

Abbildung 5

Im DVT ist eine große zystische Formation unter Einschluss der Wurzeln 11 und 12, die vom Canalis nasopalatinus...

Abbildung 6

...bis mesial 13 mit einer kleineren Perforation zum Nasenboden...

Abbildung 7

...und größeren Perforationen nach vestibulär und palatinal reicht.

Abbildung 8

Die Schnittführung wurde aufgrund des bestehenden „Gummy Smile“ hoch im Vestibulum geführt...

Abbildung 9

...so konnte die delikate Parodontalstruktur in ihrer Form unangetastet belassen werden, um einen möglichst optimalen ästhetischen Erfolg zu erreichen.

Abbildung 10

Nach vestibulärer Freilegung wurde die Zyste vollständig entfernt und zur histopathologischen Untersuchung eingesandt.

Abbildung 11

Anschließend erfolgte eine Wurzelspitzenresektion an den Zähnen 11 und 12 durch die vestibuläre ossäre Perforation, gefolgt von einer ultraschallbasierten, retrograden Kanalaufbereitung und Abdichtung mit MTA.

Abbildung 12

Um die knöcherne Durchbauung am Boden der Zyste osteoinduktiv zu unterstützen, wurden mit Hilfe eines mechanischen Knochenschabers aus dem Bereich des rechten naso-palatinalen Pfeilers Knochenchips entnommen und als erste basale Augmentationsschicht in den ossären Defekt eingebracht.

Abbildung 13

Der größere Anteil von 80 % des Defektvolumens wurde mit einem vollständig resorbierbaren, xenogenen Augmentationsmaterial aufgefüllt (mp3®, OsteoBiol®).

Abbildung 14

Der Defekt wurde zum Vestibulum hin mit einer stabilen, vollständig degradierbaren Membran abgedeckt (Soft Cortical Lamina, OsteoBiol®).

Abbildung 15

Der Wundverschluss erfolgte einschichtig mit nicht resorbierbarem Nahtmaterial (Seralene® 5-0 DS-15).

Abbildung 16

Post-OP: Die Narben zeigten sich blande, ästhetisch unauffällig und trotz der hohen Lachlinie gut unter der Oberlippe verborgen.

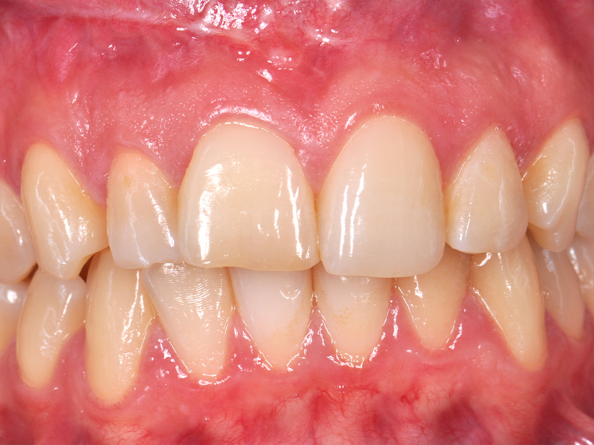
Abbildung 17

Die ossäre Durchbauung des gesamten Zystenbereichs erschien bei der radiologischen Verlaufskontrolle nach einem Jahr vollständig und solide.

Chirurgisches Vorgehen

Mit der Patientin wurde der Versuch des Zahnerhaltes trotz ausgedehnter Zyste besprochen. Gleichzeitig sollte das Zystenlumen zu einer sicheren ossären Durchbauung geführt werden, um eine implantologische Sofortversorgung vorzubereiten, falls zu einem späteren Zeitpunkt eine Zahnentfernung notwendig werden sollte. In der Phase vor der geplanten Operation wurden die Wurzelkanalfüllungen an Zahn 11 und 12 durch einen Endodontologen alio loco revidiert. Die Schnittführung wurde aufgrund des bestehenden „Gummy Smile“ hoch im Vestibulum geführt – so konnte die delikate Parodontalstruktur in ihrer Form unangetastet belassen werden, um einen möglichst optimalen ästhetischen Erfolg zu erreichen (Abb. 8, 9). Nach vestibulärer Freilegung wurde die Zyste vollständig entfernt und zur histopathologischen Untersuchung eingesandt (Abb. 10). Anschließend erfolgte eine Wurzelspitzenresektion an den Zähnen 11 und 12 durch die vestibuläre ossäre Perforation (Abb. 11), gefolgt von einer ultraschallbasierten, retrograden Kanalaufbereitung und Abdichtung mit MTA. Um die knöcherne Durchbauung am Boden der Zyste osteoinduktiv zu unterstützen, wurden mit Hilfe eines mechanischen Knochenschabers aus dem Bereich des rechten naso-palatinalen Pfeilers Knochenchips entnommen und als erste basale Augmentationsschicht in den ossären Defekt eingebracht (Abb. 12). Der größere Anteil von 80 % des Defektvolumens wurde mit einem vollständig resorbierbaren, xenogenen Augmentationsmaterial aufgefüllt (Abb. 13) (mp3®, OsteoBiol®). Der Defekt wurde zum Vestibulum hin mit einer stabilen, vollständig degradierbaren Membran abgedeckt (Abb. 14) (Soft Cortical Lamina, OsteoBiol®). Zum einen wurde hiermit im Sinne der GBR das Weichgewebe vom Augmentat getrennt. Zum anderen verhinderte die stabile Membran das Einwachsen eines Weichgewebeankers in den Defekt und damit eine narbige Verziehung im Vestibulum. Um eine Verschiebung der Membran zu vermeiden, wurde diese mit zwei Titanpins in der Kortikalis fixiert. Die Pins wurden bei Beschwerdefreiheit in situ belassen (Titan-Bone-Pin-System). Der Wundverschluss erfolgte einschichtig mit nicht resorbierbarem Nahtmaterial (Abb. 15) (Seralene® 5-0 DS-15). Peri- und postoperativ wurde eine antibiotische Abschirmung unter Fortführung für insgesamt drei Tage mit Amoxiclav 875/125 1-0-1 durchgeführt. 

Heilung und Verlauf 

Der postoperative Heilungsverlauf zeigte sich unauffällig. Die Nähte wurden am fünften postoperativen Tag bei reizlosen Wundverhältnissen entfernt. Die pathologische Zystenbalgbeurteilung bestätigte den klinischen Verdacht einer radikulären Zyste. Der Befund wurde nach drei, sechs und zwölf Monaten kontrolliert. Nach drei Monaten konnte keine Lockerung der Frontzähne mehr festgestellt werden. Die Narben zeigten sich blande, ästhetisch unauffällig und trotz der hohen Lachlinie gut unter der Oberlippe verborgen (Abb. 16). Die ossäre Durchbauung des gesamten Zystenbereichs erschien bei der radiologischen Verlaufskontrolle nach einem Jahr vollständig und solide (Abb. 17). Ein Zystenrezidiv konnte bislang klinisch und radiologisch ausgeschlossen werden. Sollten im weiteren Verlauf Zahn 11 und/oder Zahn 12 dennoch erneut Probleme entwickeln und entfernt werden müssen, besteht aufgrund er optimalen ossären Rekonstruktion die Möglichkeit, wiederum ohne die Weichgewebearchitektur zu stören, ein Sofortimplantat mit Sofortbelastung zu setzen und damit die soziale Ausfallzeit für die Patientin auf ein Minimum zu reduzieren. Bei stabilen Verhältnissen nach Operation wurde im Verlauf auf Wunsch der Patientin durch den weiter betreuenden Zahnarzt eine Veneer-Versorgung der Oberkieferfront zur vollständigen Wiederherstellung der ursprünglichen Zahnästhetik geplant. 

Fazit 

Ausgedehnte dentogene Zysten sind gerade im Oberkiefer-Frontzahnbereich nicht nur eine chirurgische, sondern auch eine ästhetische Herausforderung. Durch die gezielte Planung und den Einsatz von Materialien, die eine vollständige knöcherne Durchbauung des Defektes erlauben, kann ein langfristiger Behandlungserfolg mit optimaler Rot-Weiß-Ästhetik erreicht werden.

Verwendete Produkte

Produktgalerie überspringen

Zugehörige Produkte

mp3® Porcine (3x0,5 cc Spritze)
mp3® Porcine (3x0,5 cc Spritze)
Artikelnr.: 6310100
Herstellernr.: A3015FS

316,20 €
zzgl. MwSt.
zzgl. Versand
mp3® Porcine (1x1,0 cc Spritze)
mp3® Porcine (1x1,0 cc Spritze)
Artikelnr.: 6310110
Herstellernr.: A3005FS

138,05 €
zzgl. MwSt.
zzgl. Versand
mp3® Porcine (3x1,0 cc Spritze)
mp3® Porcine (3x1,0 cc Spritze)
Artikelnr.: 6310120
Herstellernr.: A3030FS

414,15 €
zzgl. MwSt.
zzgl. Versand
Soft Cortical Lamina® Fine Porcine 25x25x0,5 mm, dehydriert
Soft Cortical Lamina® Fine Porcine 25x25x0,5 mm, dehydriert
Artikelnr.: 6311020
Herstellernr.: LS25FS

197,00 €
zzgl. MwSt.
zzgl. Versand
Seralene blau 5-0 0,5 m DS-15 (24)
Seralene blau 5-0 0,5 m DS-15 (24)
Artikelnr.: 8021320
Herstellernr.: LO101713

101,05 €
zzgl. MwSt.
zzgl. Versand

Aktuelle Fortbildungen

2. Curriculum "The Art of Digital Dentistry"
16.
Jan.
2. Curriculum "The Art of Digital Dentistry"
Fr., 16.01.26, 09:00 - 20.06.26, 17:00 (Europe/Berlin)
München
Dr. Christian Leonhardt (klinische Leitung)
Prof. Dr. Markus Blatz (wissenschaftliche Leitung)
TEAM | 2. Curriculum "The Art of Digital Dentistry"
16.
Jan.
TEAM | 2. Curriculum "The Art of Digital Dentistry"
Fr., 16.01.26, 09:00 - 20.06.26, 17:00 (Europe/Berlin)
München
Dr. Christian Leonhardt (klinische Leitung)
Prof. Dr. Markus Blatz (wissenschaftliche Leitung)
 
26.
Feb.
4D Dentistry - das Update: Workflow, Software, Hardware, Fun
Do., 26.02.26, 20:00 - 22:00 (Europe/Berlin)
online
Dr. Christian Leonhardt
Endo Friday Meeting - Modul I
17.
Apr.
Endo Friday Meeting - Modul I
Fr., 17.04.26, 13:00 - 19:00 (Europe/Berlin)
Innsburck
ZA Eduardo Belandria
Endo Friday Meeting - Modul II
15.
Mai
Endo Friday Meeting - Modul II
Fr., 15.05.26, 13:00 - 19:00 (Europe/Berlin)
Innsburck
ZA Eduardo Belandria
Endo Friday Meeting - Modul III
05.
Juni
Endo Friday Meeting - Modul III
Fr., 05.06.26, 13:00 - 19:00 (Europe/Berlin)
Innsburck
ZA Eduardo Belandria
Kieferorthopädie heute: State of the Art - 4D
26.
Nov.
Kieferorthopädie heute: State of the Art - 4D
Do., 26.11.26, 09:00 - 28.11.26, 17:00 (Europe/Berlin)
München
Dr. Domingo Martin Salvador
Dr. Alberto Canábez Berthet