Zum Hauptinhalt springen Zur Suche springen Zur Hauptnavigation springen

Hinweis: Unser Sortiment richtet sich ausschließlich an Zahnarztpraxen, Zahnlabore und Unternehmen der Dentalbranche. Ein Verkauf an Privatpersonen ist ausgeschlossen.

Willkommen bei ADS. American Dental Systems. Gemeinsam verbessern wir die Zahnmedizin.

Diastemaschluss mit Komposit

Der ästhetische Lückenschluss eines Diastema mediale stellt den Behandler vor eine besondere Herausforderung. Ulf Krueger-Janson zeigt im vorliegenden Fall, wie er diese dank der Planung mittels Mock-ups und des Verständnisses für die Gestaltung eines neuen Emergenzprofils mit Hilfe einer adäquaten Technik mit Gelassenheit angenommen hat.
Porträt ZA Ulf Krueger-Janson
ZA Ulf Krueger-Janson

Abbildung 1a

Kommunikation mit einem Patienten, der seine Situation fotografierte und um Rat fragte, ob ein Lückenschluss mit Komposit möglich sei. 

Abbildung 1b

Um das zu erwartende Ergebnis zu prognostizieren wurde das vom Patienten übermittelte Foto zu Beratungszwecken retuschiert. Bereits hier wurde die Neugestaltung des Emergenzprofils berücksichtigt.

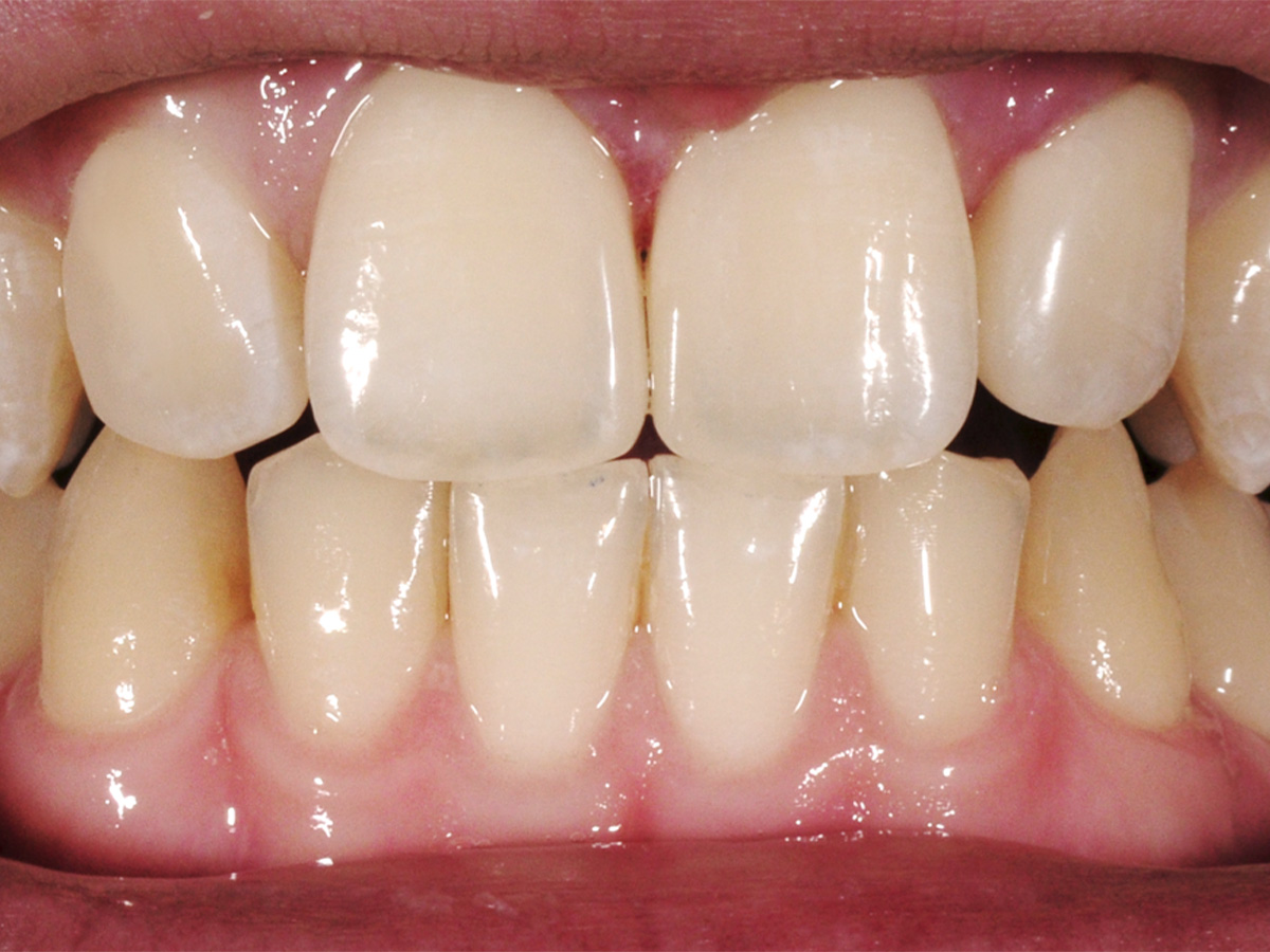
Abbildung 2

Ausgangsbefund: Gesunde gingivale Verhältnisse, Diastema mediale.

Abbildung 3a

Bei der seitlichen Betrachtung sind weitere interdentale Lücken an 12 distal und 22 mesial deutlich erkennbar.

Abbildung 3b

Abbildung 4

Vorbereitende Maßnahme: Als technisches Hilfsmittel wird ein von palatinal angefertigter „technischer und funktioneller Aufbau“ angefertigt. Dazu wird Komposit von palatinal auf die ungeätzten Zahnflächen aufgetragen, die Lücken damit geschlossen und das Material anschließend polymerisiert. In festem Zustand können nun funktionelle Bewegungen ausgeführt und eingeschliffen werden. Anschließend kann der Aufbau abgesprengt werden.

Abbildung 5

Das angefertigte palatinale „technische Mock-up“ wird mit einem Silikon abgeformt. Gleichzeitig lässt man den Patienten in das Silikon mit dem UK reinbeißen, um damit eine spätere Fixierung für weitere Arbeitsschritte zu ermöglichen.

Abbildung 6

Mittels Streifentechnik wird auf der mesialen Seite von 11 als primärer Aufbau eine Flow-Schicht inspiro S3 (opakes Material) bis in den subgingivalen Bereich hinein aufgetragen. Somit kann ein der Verbreiterung gemäß passendes Emergenzprofil (Emergenz = der Heraustritt, das Aufsteigen) gestaltet werden. Durch den Silikonschlüssel und den hohen Anpressdruck des Schlüssels gegen den um den Zahn gelegten Streifen wird es möglich, die zuvor den funktionellen Parametern entsprechend ausgestaltete palatinale Fläche optimal zu gestalten.

Abbildung 7

Die primäre Flow-Schicht wird mit festem Komposit inspiro S3 (entspricht einer A2/A3), einer opaken Dentinfarbe, weiter überschichtet. Im interdentalen Bereich ist es grundsätzlich notwendig, mit hochgesättigten- chromatischen, opaken Grundfarben zu arbeiten, da sonst der Bereich gräulich erscheinen würde. Transluzente Farben rufen einen gräulichen Effekt hervor! Grauwerte erzeugen eine räumliche Tiefe und werden deshalb meist nur in der obersten Schicht verwendet, um dem Zahn eine dreidimensional wirkende Erscheinung zu vermitteln. Diese Materialien können mit unterschiedlichen Trübungskörpern gefüllt sein, um gleichzeitig zur Transluzenz bestimmte Helligkeitswerte zu vermitteln. Dies wurde auch in diesem Fall gemacht. Hier wurde Ivory (inspiro), eine weißlich gelblich eingetrübte Materialkomponente (= SI), über den mit einer Grundfarbe angefertigten Aufbau aufgeschichtet.

Abbildung 8

Mit der gleichen Technik wird der Aufbau von 21 angefertigt. Im direkten Vergleich sind die verschiedenen Farben gut zu unterscheiden. Der mesiale Anteil von 11 wirkt weißlich und heller als der Aufbau der mesialen Kontur von 21. Zu berücksichtigen ist die durch Dehydration entstandene Aufhellung der natürlichen Zahnfarbe. Dies sollte bei der Herstellung und anschließenden farblichen Bewertung einer Restauration grundsätzlich berücksichtig werden. Eine Beurteilung der definitiven farblichen Integration kann deshalb nur zu einem späteren Zeitpunkt vorgenommen werden.

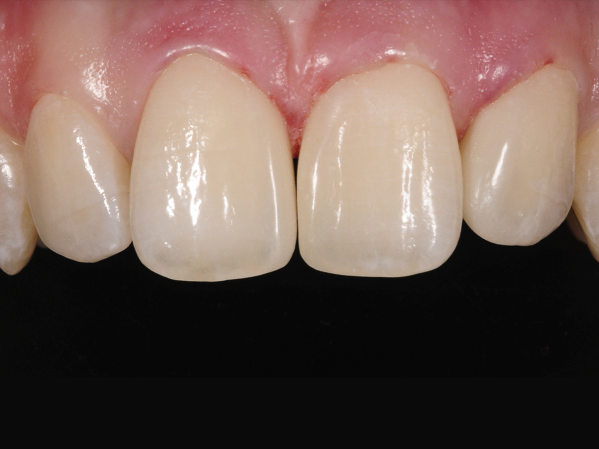
Abbildung 9

Ein mehrfacher Lückenschluss, mit der Anfertigung von neuen Proportionen, integriert sich unauffällig in das dentale Umfeld. Nach Ausarbeitung und Politur werden die formgebenden, mesialen Anteile durch Reflexion besonders deutlich. Die Aufnahme erfolgte direkt nach dem Aufbau. Die gingivalen Strukturen sind noch gereizt und werden sich im interdentalen Bereich noch regenerieren.

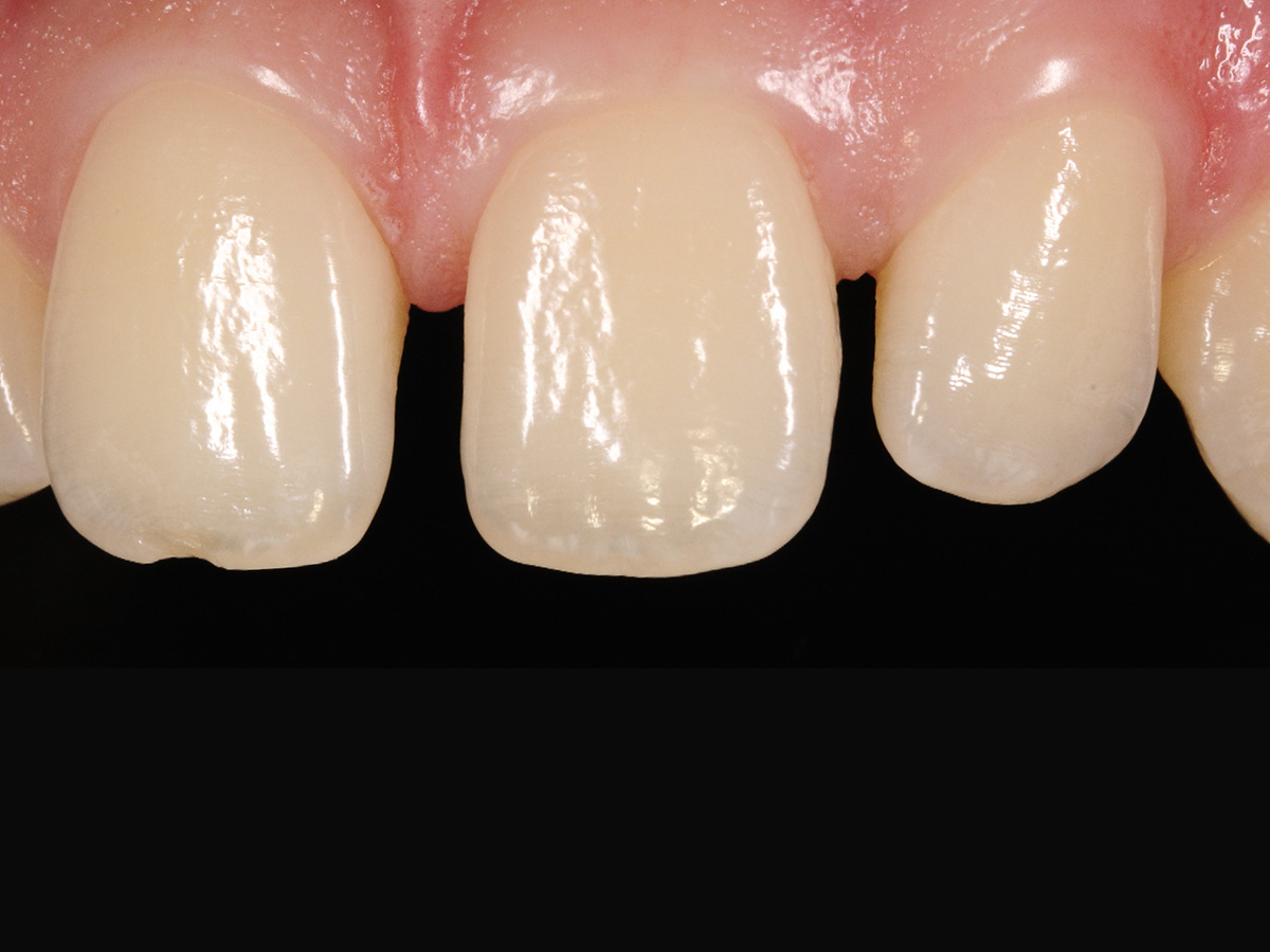
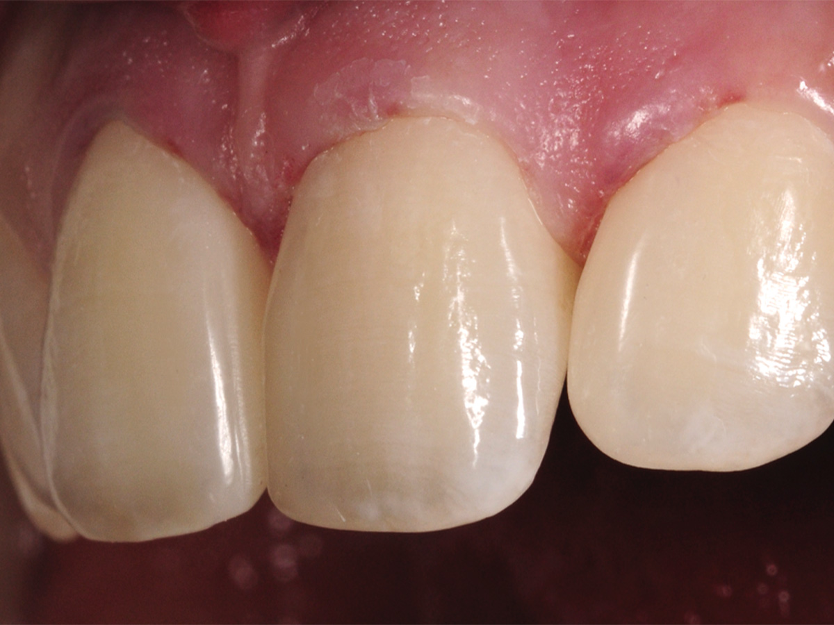
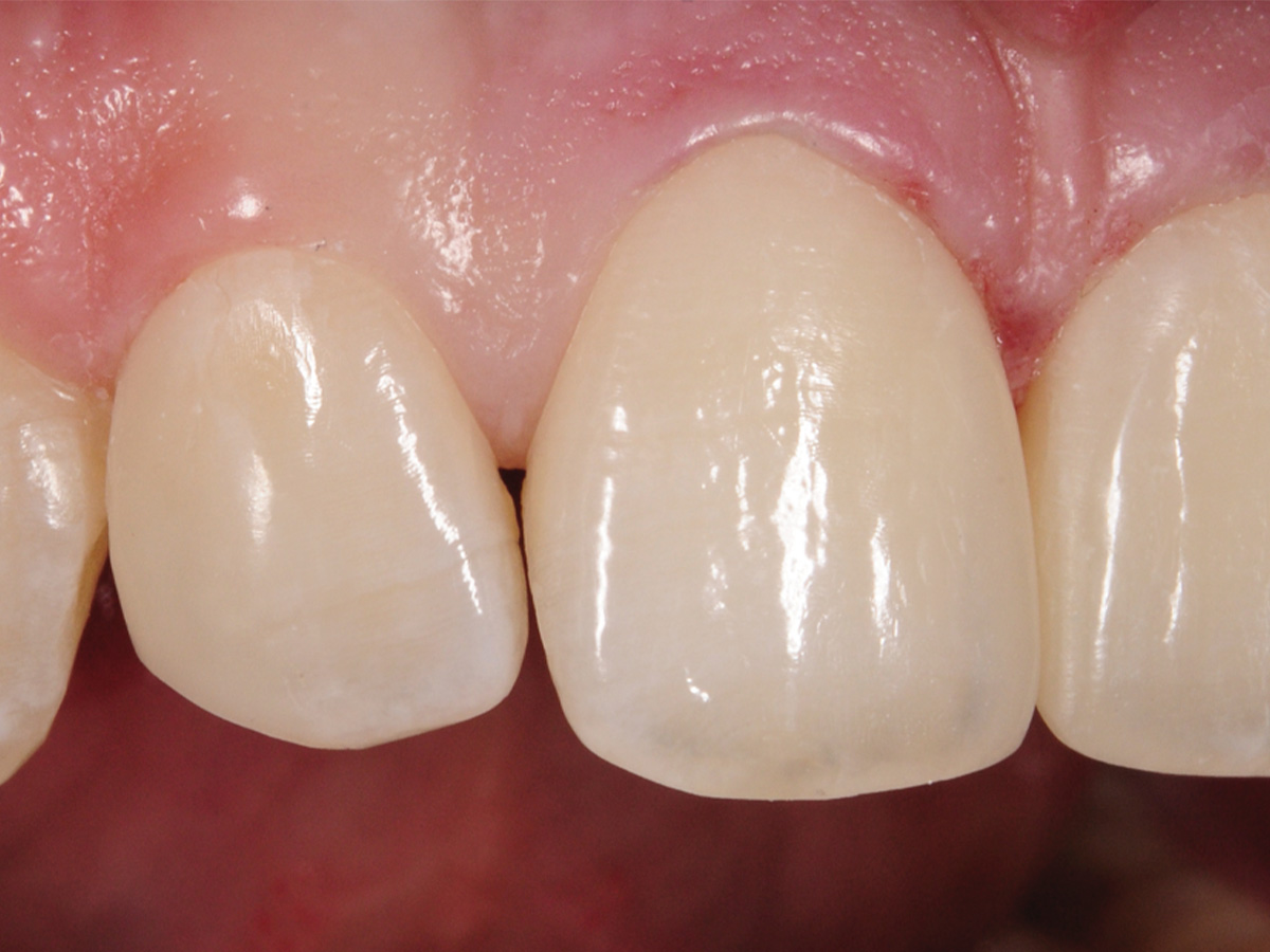
Abbildung 10

Die Ansicht von lateral.

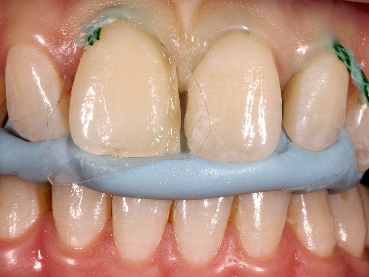
Abbildung 11

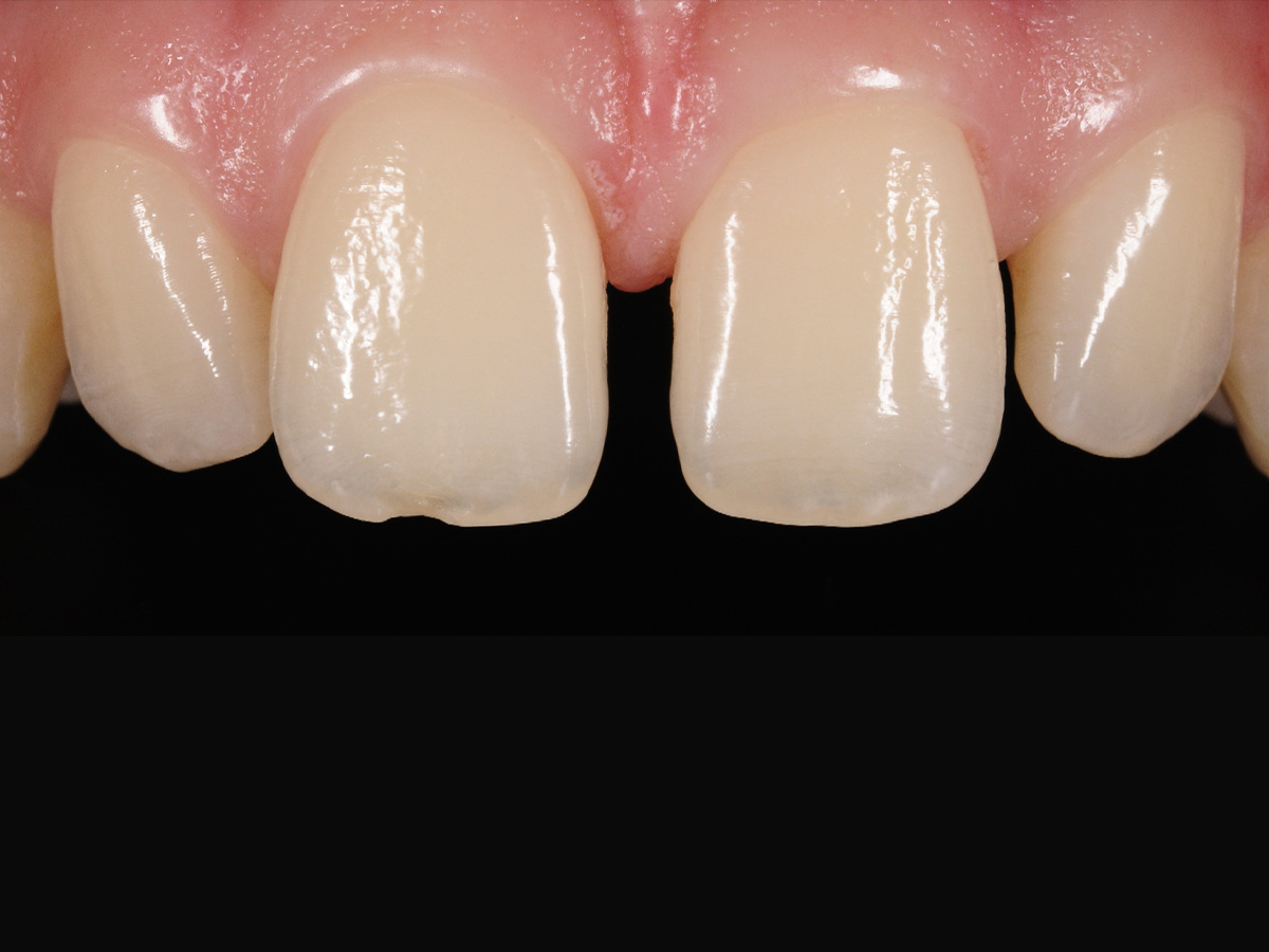
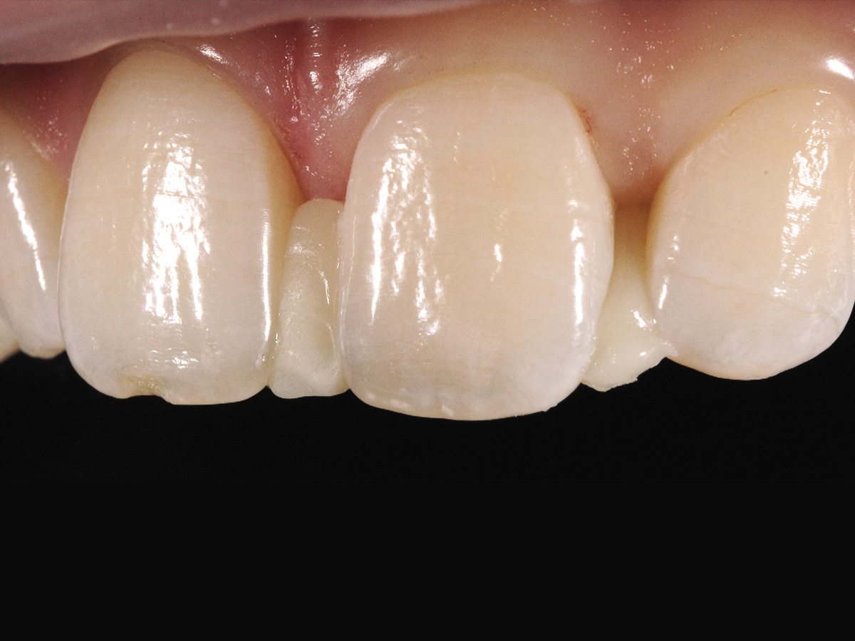
Abbildung 12

Finales Abschlussfoto. Aufgrund der großen Distanz des Patienten- Wohnortes zur Praxis, konnte bisher kein weiteres Foto der Restauration angefertigt werden. Es kann jedoch konstatiert werden, dass eine optische Integration unter Formaspekten gelungen ist. Der farbliche Lückenschluss des mesialen Raumes durch Verwendung einer hochchromatischen Farbe kann ebenso als erfolgreich bezeichnet werden.

Fazit

Ein modernes Komposit (inspiro von Edelweiss) mit einer einfach zu verstehenden Farbsystematik macht es möglich, hochästhetische Versorgungen zu kreieren. Die Planung mittels Mock-ups und das Verständnis für die Gestaltung eines neuen Emergenzprofils mittels adäquater Technik ermöglicht es, eine Herausforderung wie die Anfertigung eines Diastemaschlusses mit Gelassenheit anzunehmen.

Verwendete Produkte

Produktgalerie überspringen

Zugehörige Produkte

inspiro Master Kit Compule
inspiro Master Kit Compule
Artikelnr.: 7271100
Herstellernr.: 3010

1.621,80 €
zzgl. MwSt.
zzgl. Versand
inspiro Master Kit Syringe
inspiro Master Kit Syringe
Artikelnr.: 7271110
Herstellernr.: 3020

1.199,55 €
zzgl. MwSt.
zzgl. Versand
inspiro Intro Kit Compule
inspiro Intro Kit Compule
Artikelnr.: 7271120
Herstellernr.: 3030

1.236,25 €
zzgl. MwSt.
zzgl. Versand
inspiro Intro Kit Syringe
inspiro Intro Kit Syringe
Artikelnr.: 7271130
Herstellernr.: 3040

801,75 €
zzgl. MwSt.
zzgl. Versand
inspiro Effektfarbton Azur, Spritze (1x1,5 g)
inspiro Effektfarbton Azur, Spritze (1x1,5 g)
Artikelnr.: 7271800
Herstellernr.: 3800

44,10 €
zzgl. MwSt.
zzgl. Versand
inspiro Effektfarbton Ice, Spritze (1x1,5 g)
inspiro Effektfarbton Ice, Spritze (1x1,5 g)
Artikelnr.: 7271801
Herstellernr.: 3810

44,10 €
zzgl. MwSt.
zzgl. Versand
inspiro Effektfarbton Opaque, Spritze (1x1,5 g)
inspiro Effektfarbton Opaque, Spritze (1x1,5 g)
Artikelnr.: 7271802
Herstellernr.: 3820

44,10 €
zzgl. MwSt.
zzgl. Versand
inspiro Effektfarbton Chroma, Spritze (1x1,5 g)
inspiro Effektfarbton Chroma, Spritze (1x1,5 g)
Artikelnr.: 7271803
Herstellernr.: 3830

44,10 €
zzgl. MwSt.
zzgl. Versand
inspiro Effektfarbton Fissure, Spritze (1x1,5 g)
inspiro Effektfarbton Fissure, Spritze (1x1,5 g)
Artikelnr.: 7271804
Herstellernr.: 3840

44,10 €
zzgl. MwSt.
zzgl. Versand

Aktuelle Fortbildungen

2. Curriculum "The Art of Digital Dentistry"
16.
Jan.
2. Curriculum "The Art of Digital Dentistry"
Fr., 16.01.26, 09:00 - 20.06.26, 17:00 (Europe/Berlin)
München
Dr. Christian Leonhardt (klinische Leitung)
Prof. Dr. Markus Blatz (wissenschaftliche Leitung)
TEAM | 2. Curriculum "The Art of Digital Dentistry"
16.
Jan.
TEAM | 2. Curriculum "The Art of Digital Dentistry"
Fr., 16.01.26, 09:00 - 20.06.26, 17:00 (Europe/Berlin)
München
Dr. Christian Leonhardt (klinische Leitung)
Prof. Dr. Markus Blatz (wissenschaftliche Leitung)
 
26.
Feb.
4D Dentistry - das Update: Workflow, Software, Hardware, Fun
Do., 26.02.26, 20:00 - 22:00 (Europe/Berlin)
online
Dr. Christian Leonhardt
Endo Friday Meeting - Modul I
17.
Apr.
Endo Friday Meeting - Modul I
Fr., 17.04.26, 13:00 - 19:00 (Europe/Berlin)
Innsburck
ZA Eduardo Belandria
Endo Friday Meeting - Modul II
15.
Mai
Endo Friday Meeting - Modul II
Fr., 15.05.26, 13:00 - 19:00 (Europe/Berlin)
Innsburck
ZA Eduardo Belandria
Endo Friday Meeting - Modul III
05.
Juni
Endo Friday Meeting - Modul III
Fr., 05.06.26, 13:00 - 19:00 (Europe/Berlin)
Innsburck
ZA Eduardo Belandria
Kieferorthopädie heute: State of the Art - 4D
26.
Nov.
Kieferorthopädie heute: State of the Art - 4D
Do., 26.11.26, 09:00 - 28.11.26, 17:00 (Europe/Berlin)
München
Dr. Domingo Martin Salvador
Dr. Alberto Canábez Berthet