Zum Hauptinhalt springen Zur Suche springen Zur Hauptnavigation springen

Hinweis: Unser Sortiment richtet sich ausschließlich an Zahnarztpraxen, Zahnlabore und Unternehmen der Dentalbranche. Ein Verkauf an Privatpersonen ist ausgeschlossen.

Willkommen bei ADS. American Dental Systems. Gemeinsam verbessern wir die Zahnmedizin.

Double-Layer-Technik modifiziert mit PRGF ENDORET

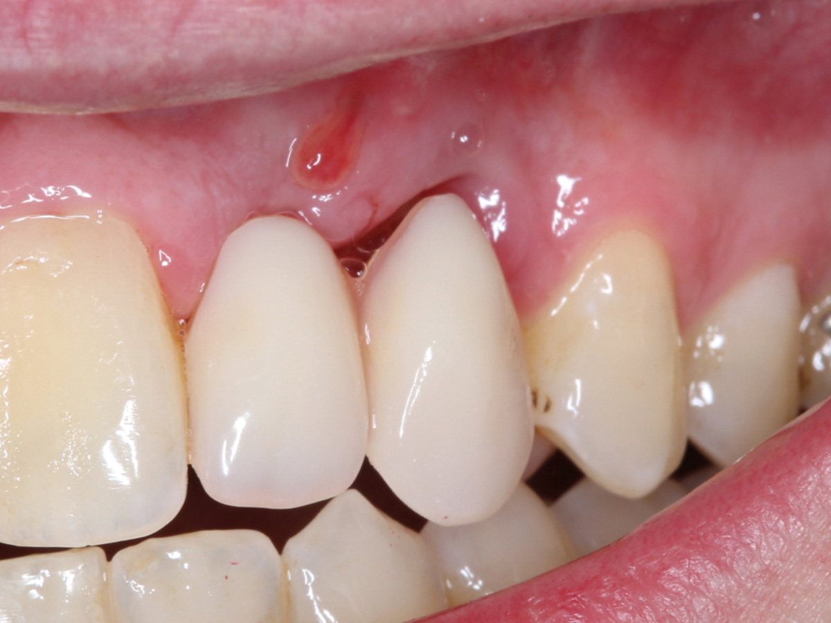
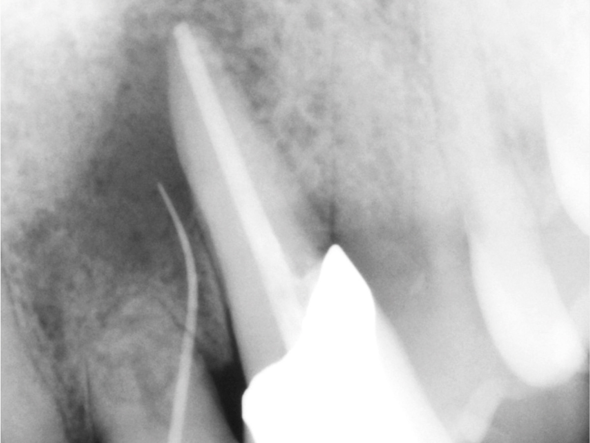
Ein 32-jähriger männlicher Patient stellte sich mit einer bukkalen Fistel an regio 22, 23 mit erkennbaren entzündlichen Veränderungen der befestigten Gingiva vor. Radiologisch zeigte sich ein deutlicher apikaler Prozess an regio 22, 23 mit einer Wurzelresorption von Zahn 22. Dr. Christoph Wenninger therapierte diese klinische Situation wie folgt..
Porträt Dr. Christoph Wenninger
Dr. Christoph Wenninger

Abbildung 1

Klinische Ausgangssituation lateral, spontane Blutung.

Abbildung 2

Radiologische Ausgangssituation 22, 23.

Abbildung 3

Leere Alveole nach atraumatischer Extraktion.

Abbildung 4

Auffüllen des Defekts mit PRGF Endoret.

Abbildung 5

Provisorium.

Abbildung 6

DVT präoperativ.

Abbildung 7

Operative Defektdarstellung.

Abbildung 8a

Fixierung der OsteoBiol Lamina mit Pins.

Abbildung 8b

Schaffung eines stabilen Raumes.

Abbildung 9

Retromolarer Eigenknochengewinn.

Abbildung 10

Eigenknochen mit OsteoBiol Apatos Mix.

Abbildung 11

Auffüllen des Defekts mit einem Gemisch aus Eigenknochen und OsteoBiol apatos Mix.

Abbildung 12

Fixierung der OsteoBiol Lamina auf dem Kieferdamm.

Abbildung 13

Ausgeformte PRGF-Membran.

Abbildung 14

PRGF-Membran über der OsteoBiol Lamina.

Abbildung 15

Nach mikrochirurgischem Nahtverschluss.

Abbildung 16

DVT mit Pins nach 6 Monaten.

Abbildung 17

Verlauf der OsteoBiol Lamina.

Abbildung 18

Kontroll-DVT nach 6 Monaten.

Abbildung 19

Eröffnung des ehemaligen Defektgebiets.

Abbildung 20

Ausgeheilter Defekt.

Abbildung 21

Implantation.

Abbildung 22

Darstellung der Implantat-Kavitäten im neuen Knochen.

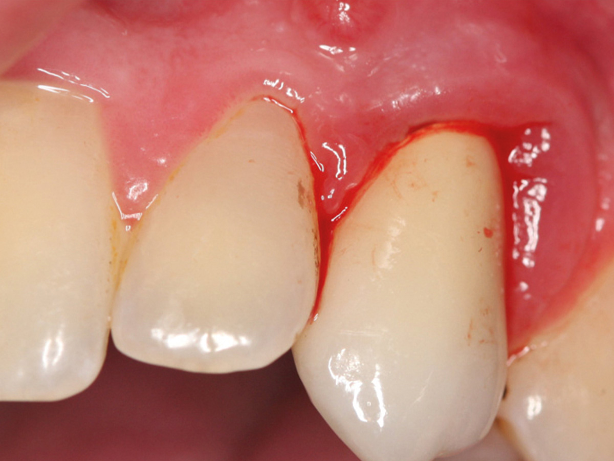
Abbildung 23

Darstellung des Weichgewebes 2 Monate nach OP.

Therapie

Nach Extraktion der Zähne 22 und 23 wurden die Alveolen mit PRGF Endoret (BTI) aufgefüllt. Auf eine achtwöchige Ausheilungsphase folgten Reentry und Wiederherstellung des Alveolarfortsatzes mit Hilfe der Double-Layer-Technik modifiziert mit PRGF Endoret. Nach sechsmonatiger Ausheilungsphase erfolgte eine Implantation in regio 22 und 23, die anschließend mit einer provisorischen Versorgung verschraubt wurde. Der Zahnersatz wird nach Ausheilung der Weichgewebe abschließend eingesetzt.

Verwendete Produkte

Produktgalerie überspringen

Zugehörige Produkte

mp3® Porcine (3x0,5 cc Spritze)
mp3® Porcine (3x0,5 cc Spritze)
Artikelnr.: 6310100
Herstellernr.: A3015FS

316,20 €
zzgl. MwSt.
zzgl. Versand
mp3® Porcine (1x1,0 cc Spritze)
mp3® Porcine (1x1,0 cc Spritze)
Artikelnr.: 6310110
Herstellernr.: A3005FS

138,05 €
zzgl. MwSt.
zzgl. Versand
mp3® Porcine (3x1,0 cc Spritze)
mp3® Porcine (3x1,0 cc Spritze)
Artikelnr.: 6310120
Herstellernr.: A3030FS

414,15 €
zzgl. MwSt.
zzgl. Versand
Apatos® Mix Porcine (0,5 g)
Apatos® Mix Porcine (0,5 g)
Artikelnr.: 6310200
Herstellernr.: A1005FS

77,80 €
zzgl. MwSt.
zzgl. Versand
Apatos® Mix Porcine (1,0 g)
Apatos® Mix Porcine (1,0 g)
Artikelnr.: 6310210
Herstellernr.: A1010FS

121,70 €
zzgl. MwSt.
zzgl. Versand
Apatos® Mix Porcine (2,0 g)
Apatos® Mix Porcine (2,0 g)
Artikelnr.: 6310220
Herstellernr.: A1020FS

234,65 €
zzgl. MwSt.
zzgl. Versand
Curved Lamina® soft 35x35x1,0 mm, Porcine #LS10HS
Curved Lamina® soft 35x35x1,0 mm, Porcine #LS10HS
Artikelnr.: 6311050
Herstellernr.: LS10HS

254,70 €
zzgl. MwSt.
zzgl. Versand

Aktuelle Fortbildungen

2. Curriculum "The Art of Digital Dentistry"
16.
Jan.
2. Curriculum "The Art of Digital Dentistry"
Fr., 16.01.26, 09:00 - 20.06.26, 17:00 (Europe/Berlin)
München
Dr. Christian Leonhardt (klinische Leitung)
Prof. Dr. Markus Blatz (wissenschaftliche Leitung)
TEAM | 2. Curriculum "The Art of Digital Dentistry"
16.
Jan.
TEAM | 2. Curriculum "The Art of Digital Dentistry"
Fr., 16.01.26, 09:00 - 20.06.26, 17:00 (Europe/Berlin)
München
Dr. Christian Leonhardt (klinische Leitung)
Prof. Dr. Markus Blatz (wissenschaftliche Leitung)
 
26.
Feb.
4D Dentistry - das Update: Workflow, Software, Hardware, Fun
Do., 26.02.26, 20:00 - 22:00 (Europe/Berlin)
online
Dr. Christian Leonhardt
Endo Friday Meeting - Modul I
17.
Apr.
Endo Friday Meeting - Modul I
Fr., 17.04.26, 13:00 - 19:00 (Europe/Berlin)
Innsburck
ZA Eduardo Belandria
Endo Friday Meeting - Modul II
15.
Mai
Endo Friday Meeting - Modul II
Fr., 15.05.26, 13:00 - 19:00 (Europe/Berlin)
Innsburck
ZA Eduardo Belandria
Endo Friday Meeting - Modul III
05.
Juni
Endo Friday Meeting - Modul III
Fr., 05.06.26, 13:00 - 19:00 (Europe/Berlin)
Innsburck
ZA Eduardo Belandria
Kieferorthopädie heute: State of the Art - 4D
26.
Nov.
Kieferorthopädie heute: State of the Art - 4D
Do., 26.11.26, 09:00 - 28.11.26, 17:00 (Europe/Berlin)
München
Dr. Domingo Martin Salvador
Dr. Alberto Canábez Berthet