Zum Hauptinhalt springen Zur Suche springen Zur Hauptnavigation springen

Hinweis: Unser Sortiment richtet sich ausschließlich an Zahnarztpraxen, Zahnlabore und Unternehmen der Dentalbranche. Ein Verkauf an Privatpersonen ist ausgeschlossen.

Willkommen bei ADS. American Dental Systems. Gemeinsam verbessern wir die Zahnmedizin.

Erneuerung der Kronen 21 und 22

In diesem Fallbericht erneuert Dr. Tobias Thalmair die Kronen 21 und 22 bei einer 70-jährigen Patientin.
Porträt Dr. Tobias Thalmair
Dr. Tobias Thalmair

Abbildung 1

Ausgangssituation: Bei einer Routineuntersuchung einer 70-jährigen Patientin...

Abbildung 2

wurden ein ästhetisches Defizit wegen insuffizienter Kronenränder sowie Sekundärkaries an den Zähnen 21 und 22 diagnostiziert.

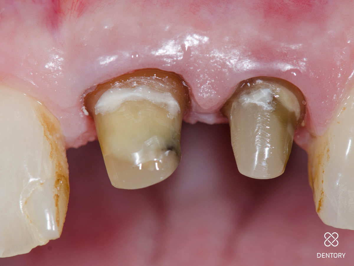
Abbildung 3

Kronenentfernung: Die Zähne waren wurzelkanalbehandelt und mit einem Stift versorgt. Das Bild zeigt die Situation nach Abnahme der Krone und Präparation der Stümpfe.

Abbildung 4

Im Labor hergestellte Einzelkronen 21 und 22.

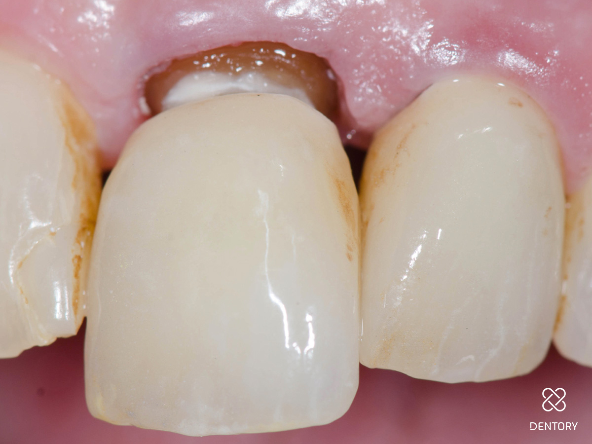
Abbildung 5

Einprobe an 22:Nach Abnahme der Provisorien werden die Stümpfe gereinigt und die Kronen einprobiert. Hier ist die Einprobe der Krone 22 zu sehen.

Abbildung 6

Einprobe an 21: Die Einprobe der Krone 21. Die Kronen werden auf Farbe, Form und Passgenauigkeit überprüft.

Abbildung 7

Nicht-abrasive Reinigung der Zirkonoxid-Fläche: Vor der definitiven Eingliederung wird die vom Labor vorbehandelte Oberfläche aus Keramik mit einem Reinigungsmittel dekontaminiert. Nach einer Einwirkzeit von 20 Sekunden wird das Reinigungsmittel sorgfältig mit Wasser abgesprüht und mit Luft getrocknet.

Abbildung 8

Anschließend wird die bereits vom Labor sandgestrahlte Oberfläche mit einem Primer behandelt.

Abbildung 9

Applikation des Zements: Zur Eingliederung wird ein selbstadhäsiver Zement verwendet. Der Zement wird auf die innere Oberfläche der Krone appliziert und die Krone zügig auf den Stumpf platziert.

Abbildung 10

Der Zement kann für 20-30 Sekunden lichtgehärtet werden oder selber aushärten. Abschliessend die Überschüsse entfernen.

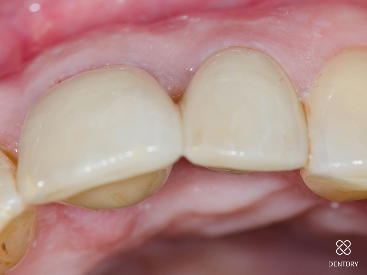
Abbildung 11

Abschluss: Klinische Situation nach dem vollständigen Aushärten des Zements und dem Entfernen der Überschüsse.

Abbildung 12

Abschluss okklusal: Fertige Situation von okklusal.

Verwendete Produkte

Produktgalerie überspringen

Zugehörige Produkte

Z-Prime plus (4 ml)
Z-Prime plus (4 ml)
Artikelnr.: 7940031
Herstellernr.: B-6001P

96,25 €
zzgl. MwSt.
zzgl. Versand
TheraCem® Ca Doppelkammerspritze (8 g)
TheraCem® Ca Doppelkammerspritze (8 g)
Artikelnr.: 7940051
Herstellernr.: D-46501P

110,75 €
zzgl. MwSt.
zzgl. Versand
ETCH-37 4 Spritzen (je 5 g) + Tips
ETCH-37 4 Spritzen (je 5 g) + Tips
Artikelnr.: 7940054
Herstellernr.: E-5503EM

66,30 €
zzgl. MwSt.
zzgl. Versand
Ausverkauft
ZirClean® Spritze (5 g) + Einweg-Spritzentips (15)
ZirClean® Spritze (5 g) + Einweg-Spritzentips (15)
Artikelnr.: 7940330
Herstellernr.: B-7351P

29,65 €
zzgl. MwSt.
zzgl. Versand
Aluminium Oxide 50 µm (454 g)
Aluminium Oxide 50 µm (454 g)
Artikelnr.: 9821212
Herstellernr.: 15301

38,15 €
zzgl. MwSt.
zzgl. Versand

Aktuelle Fortbildungen

2. Curriculum "The Art of Digital Dentistry"
16.
Jan.
2. Curriculum "The Art of Digital Dentistry"
Fr., 16.01.26, 09:00 - 20.06.26, 17:00 (Europe/Berlin)
München
Dr. Christian Leonhardt (klinische Leitung)
Prof. Dr. Markus Blatz (wissenschaftliche Leitung)
TEAM | 2. Curriculum "The Art of Digital Dentistry"
16.
Jan.
TEAM | 2. Curriculum "The Art of Digital Dentistry"
Fr., 16.01.26, 09:00 - 20.06.26, 17:00 (Europe/Berlin)
München
Dr. Christian Leonhardt (klinische Leitung)
Prof. Dr. Markus Blatz (wissenschaftliche Leitung)
 
26.
Feb.
4D Dentistry - das Update: Workflow, Software, Hardware, Fun
Do., 26.02.26, 20:00 - 22:00 (Europe/Berlin)
online
Dr. Christian Leonhardt
Endo Friday Meeting - Modul I
17.
Apr.
Endo Friday Meeting - Modul I
Fr., 17.04.26, 13:00 - 19:00 (Europe/Berlin)
Innsburck
ZA Eduardo Belandria
Endo Friday Meeting - Modul II
15.
Mai
Endo Friday Meeting - Modul II
Fr., 15.05.26, 13:00 - 19:00 (Europe/Berlin)
Innsburck
ZA Eduardo Belandria
Endo Friday Meeting - Modul III
05.
Juni
Endo Friday Meeting - Modul III
Fr., 05.06.26, 13:00 - 19:00 (Europe/Berlin)
Innsburck
ZA Eduardo Belandria
Kieferorthopädie heute: State of the Art - 4D
26.
Nov.
Kieferorthopädie heute: State of the Art - 4D
Do., 26.11.26, 09:00 - 28.11.26, 17:00 (Europe/Berlin)
München
Dr. Domingo Martin Salvador
Dr. Alberto Canábez Berthet