Zum Hauptinhalt springen Zur Suche springen Zur Hauptnavigation springen

Hinweis: Unser Sortiment richtet sich ausschließlich an Zahnarztpraxen, Zahnlabore und Unternehmen der Dentalbranche. Ein Verkauf an Privatpersonen ist ausgeschlossen.

Willkommen bei ADS. American Dental Systems. Gemeinsam verbessern wir die Zahnmedizin.

Extraktion mit Ridge-Preservation und autologem Punch vom Gaumen am Zahn 11

Eine 17-jährige Patientin wurde von ihrem Hauszahnarzt zur Beratung und ggf. Weiterbehandlung überwiesen. 

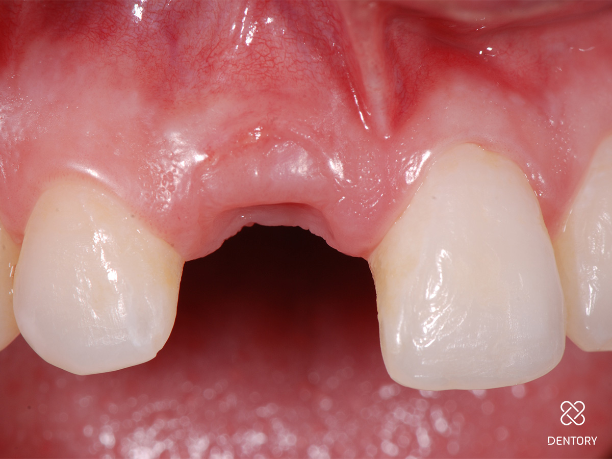
Diagnose: Nicht erhaltungswürdiger Zahn 11 aufgrund einer externen Resorption
Therapie: Zahnentfernung mit Ridge-Preservation und autogenem Punch vom Gaumen.
Porträt PD Dr. Kai Fischer
PD Dr. Kai Fischer

Abbildung 1

Ausgangssituation: Nicht erhaltungswürdiger Zahn 11 aufgrund einer externen Resorption.

Abbildung 2

Schonende Zahnentfernung: Behutsames Durchtrennen der paradontalen Fasern mittels Mikroskalpell...

Abbildung 3

...und Entfernung des Zahns durch minimale rotierende Bewegungen mit der Zange.

Abbildung 4

Extrahierter Zahn: Deutliche Resorptionslakune unterhalb der Schmelz-Zement-Grenze bis ins mittlere Wurzeldrittel.

Abbildung 5

Sondieren der bukkalen Knochenstrukturen mittels Biotyp-Sonde; im Bereich der Resorption kam es zum lokalen Verlust der vestibulären Lamelle.

Abbildung 6

Anmischen eines resorbierbaren Knochenersatzmaterials mit Hyaluronsäure; Ziel ist primär die vollständige Knochenregeneration.

Abbildung 7

Sulkus deepithelialisieren: Voraussetzung für das Einheilen des Punches ist die Deepithelialisierung des Sulkus z.B. mit einem großen Diamanten.

Abbildung 8

Auffüllen der Alveole mit dem Knochenersatzmaterial mithilfe einer Spritze bis auf Knochenniveau.

Abbildung 9

Auffüllen der Alveolen: Die Alveole wird nicht überfüllt; die Weichgewebe werden später durch den Punch gestützt.

Abbildung 10

Eingenähter Punch vom seitlichen Gaumen: Die Entnahme kann im Prämolaren- oder Tuberbereich erfolgen.

Abbildung 11

Das Transplantat kann mit wenigen Mikronähten fixiert werden; die Passung sollte wie bei einem Korken mit etwas Druck sein.

Abbildung 12

Provisorische Versorgung mit einer Tiefziehschiene; alternativ kann auch eine kleine Prothese oder eine Klebebrücke verwendet werden.

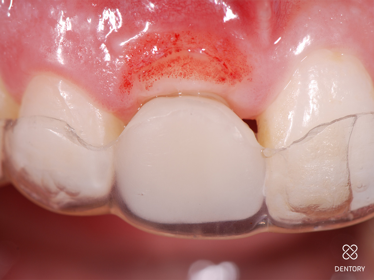
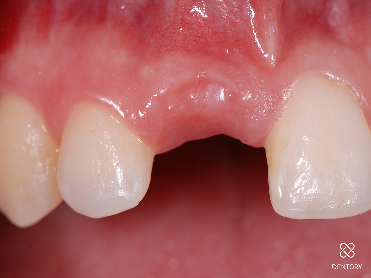
Abbildung 13

Nach 9 Tagen wurden die Nähte entfernt; es zeigt sich eine vollständige Einheilung des Transplantats mit gutem Volumenerhalt.

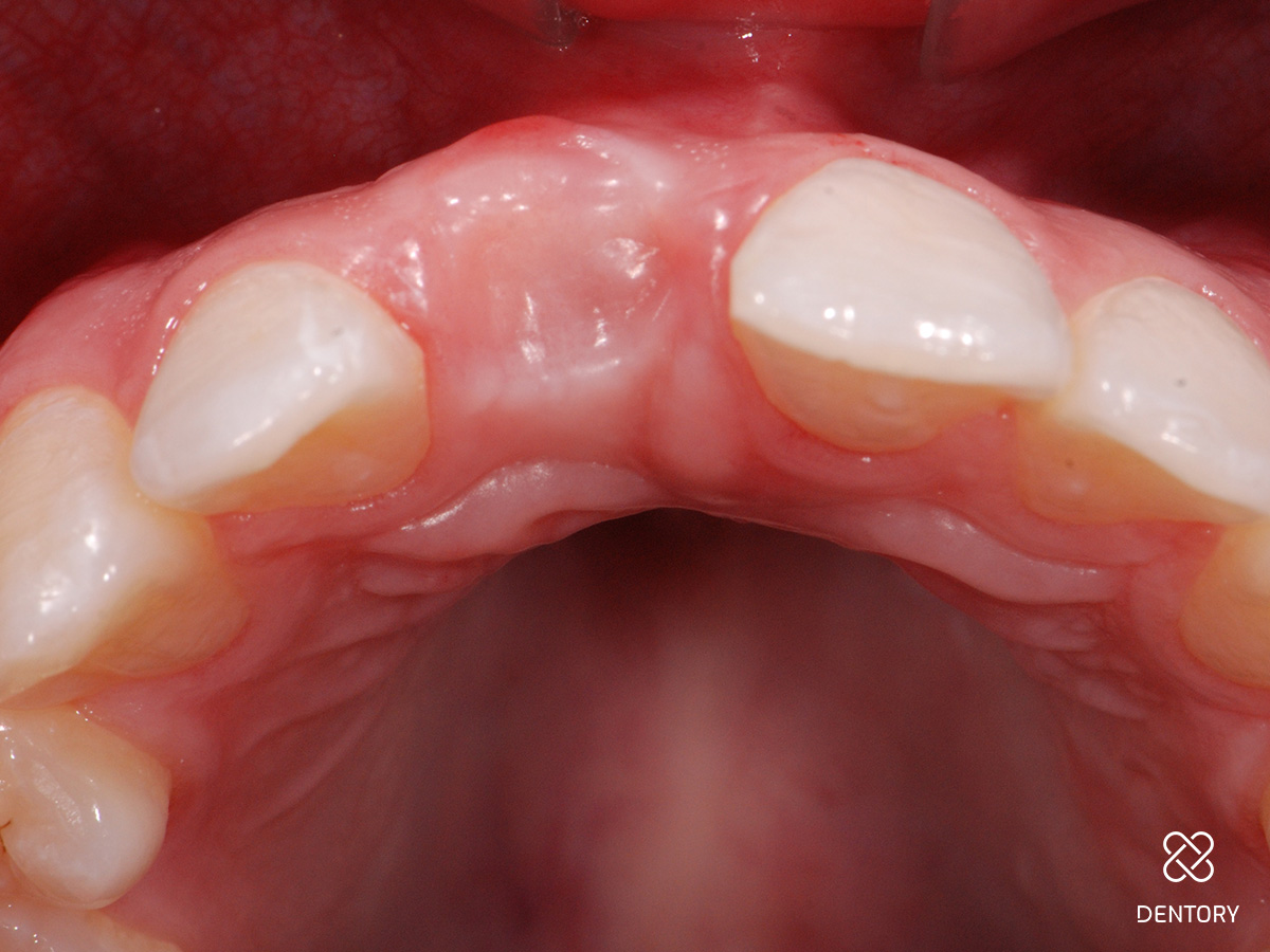
Abbildung 14

Ansicht okklusal.

Abbildung 15

Nach 18 Tagen wurde mit der Ausformung der Weichgewebe begonnen. Nach Punch-Grafts kommt es gelegentlich zu Einziehungen auf der vestibulären Seite; diese können mit einem groben Diamanten korrigiert werden.

Abbildung 16

Ansicht nach Einpassen der provisorischen Versorgung.

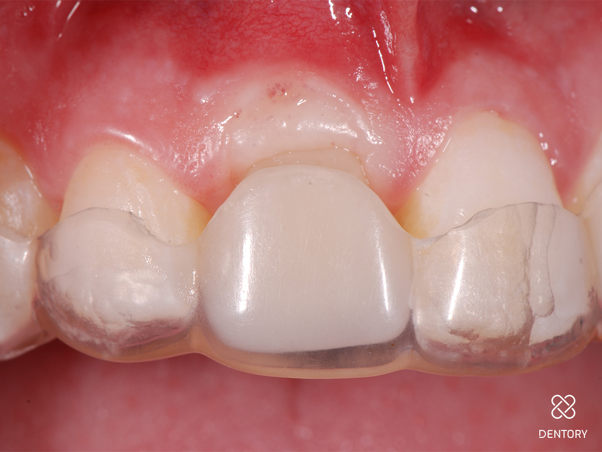
Abbildung 17

Nach 30 Tagen: Nach einem Monat ist das Transplantat komplett ausgeheilt.

Abbildung 18

Ansicht nach okklusal.

Abbildung 19

Die herausnehmbare Schiene kann zur Ausformung des Ponticbereichs einfach mit einem fließfähigen Komposit modifziert werden.

Abbildung 20

Ansicht nach Einpassen der provisorischen Versorgung.

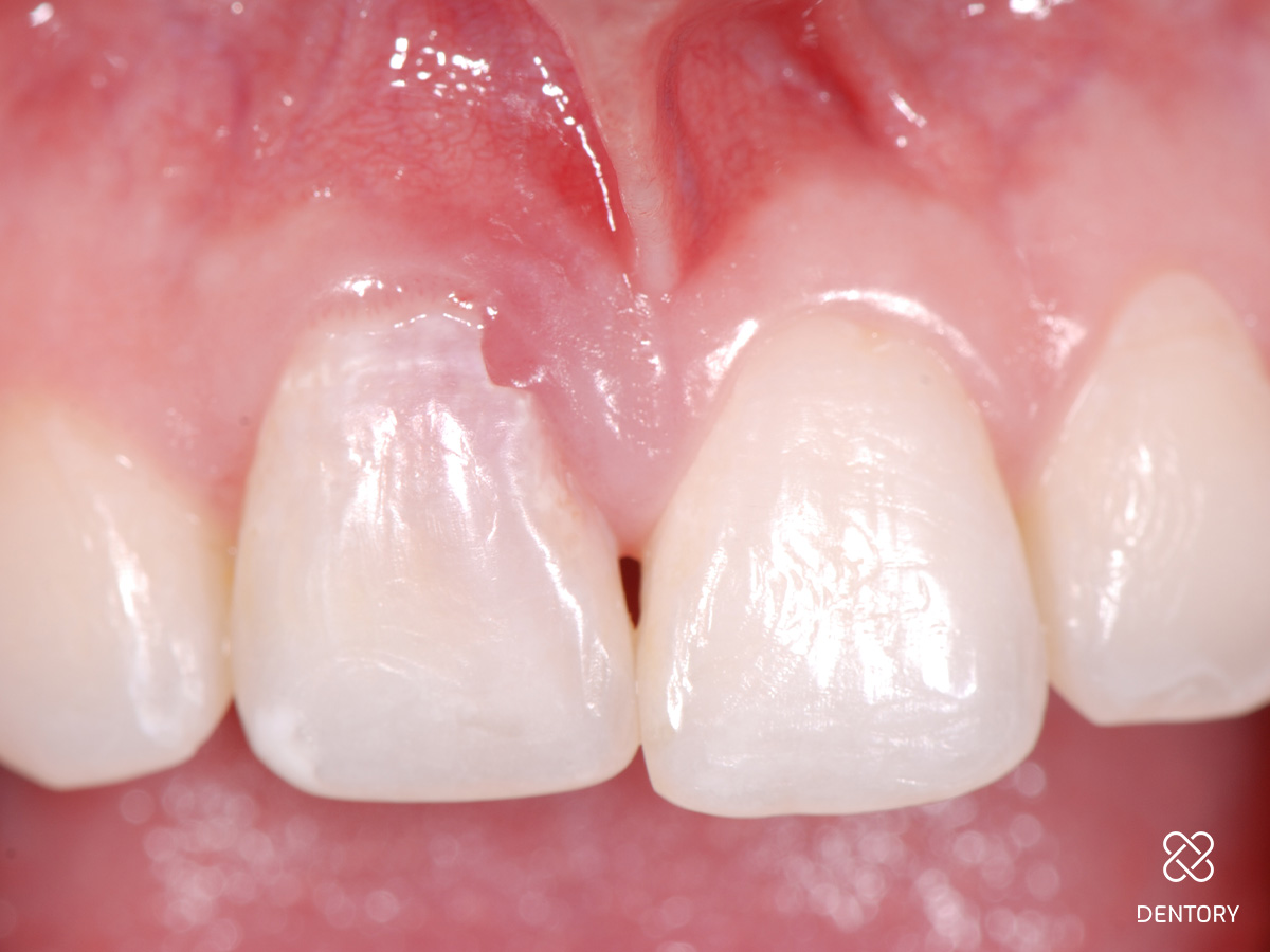
Abbildung 21

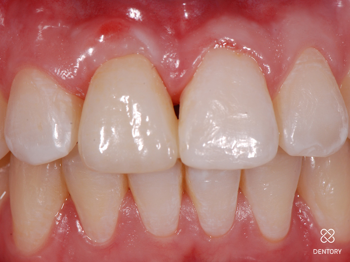
Nach 2 Monaten: Frontale Ansicht.

Abbildung 22

Ansicht von okklusal.

Abbildung 23

Zahnersatz.

Abbildung 24

Abschlussbild.

Folgebehandlung

Bereits 2 Monate nach Zahnentfernung wurde zur mittelfristigen oder auch längerfristigen Versorgung der Lücke beim Hauszahnarzt eine vollkeramische Klebebrücke adhäsiv befestigt bis ggf. eine Implantatbehandlung gewünscht und möglich ist. 

Zusammenfassung
Ein deutlicher Gewinn an Weichgewebshöhe im Vergleich zur Ausgangssituation ist sichtbar; es wurde ein symmetrischer Gingivaverlauf erzielt; die Kammbreite ist durch die Kombination aus Hart- und Weichgewebsaufbau gut erhalten geblieben.

Verwendete Produkte

Produktgalerie überspringen

Zugehörige Produkte

Putty Porcine (3x0,5 cc Spritze)
Putty Porcine (3x0,5 cc Spritze)
Artikelnr.: 6310570
Herstellernr.: HPT35S

335,00 €
zzgl. MwSt.
zzgl. Versand
Seralene blau 7-0 0,5 m DS-12 (24)
Seralene blau 7-0 0,5 m DS-12 (24)
Artikelnr.: 8021200
Herstellernr.: LO05171254

154,60 €
zzgl. MwSt.
zzgl. Versand
Seralene blau 6-0 0,5 m DS-12 (24)
Seralene blau 6-0 0,5 m DS-12 (24)
Artikelnr.: 8021210
Herstellernr.: LO07171254

154,60 €
zzgl. MwSt.
zzgl. Versand
TOUCHGRIP 01 – Mikrochirurgische Pinzette, 17,5 cm
nach Hürzeler/Zuhr
TOUCHGRIP 01 – Mikrochirurgische Pinzette, 17,5 cm nach Hürzeler/Zuhr
Artikelnr.: 8600501
Herstellernr.: 22.810.17HZU

376,55 €
zzgl. MwSt.
zzgl. Versand
TOUCHGRIP 02 – Mikrochirurgische Federschere,
17,5 cm nach Hürzeler/Zuhr
TOUCHGRIP 02 – Mikrochirurgische Federschere, 17,5 cm nach Hürzeler/Zuhr
Artikelnr.: 8600502
Herstellernr.: 46.319.17HZU

566,80 €
zzgl. MwSt.
zzgl. Versand
TOUCHGRIP 03 – Mikrochirurgischer Skalpellgriff nach Hürzeler/Zuhr
TOUCHGRIP 03 – Mikrochirurgischer Skalpellgriff nach Hürzeler/Zuhr
Artikelnr.: 8600503
Herstellernr.: 46.013.00HZU

303,90 €
zzgl. MwSt.
zzgl. Versand
TOUCHGRIP 04 – Mikrochirurgischer Nadelhalter gerade, glatt, 17,5 cm nach Hürzeler/Zuhr
TOUCHGRIP 04 – Mikrochirurgischer Nadelhalter gerade, glatt, 17,5 cm nach Hürzeler/Zuhr
Artikelnr.: 8600504
Herstellernr.: 41.010.17HZU

794,65 €
zzgl. MwSt.
zzgl. Versand

Aktuelle Fortbildungen

2. Curriculum "The Art of Digital Dentistry"
16.
Jan.
2. Curriculum "The Art of Digital Dentistry"
Fr., 16.01.26, 09:00 - 20.06.26, 17:00 (Europe/Berlin)
München
Dr. Christian Leonhardt (klinische Leitung)
Prof. Dr. Markus Blatz (wissenschaftliche Leitung)
TEAM | 2. Curriculum "The Art of Digital Dentistry"
16.
Jan.
TEAM | 2. Curriculum "The Art of Digital Dentistry"
Fr., 16.01.26, 09:00 - 20.06.26, 17:00 (Europe/Berlin)
München
Dr. Christian Leonhardt (klinische Leitung)
Prof. Dr. Markus Blatz (wissenschaftliche Leitung)
 
26.
Feb.
4D Dentistry - das Update: Workflow, Software, Hardware, Fun
Do., 26.02.26, 20:00 - 22:00 (Europe/Berlin)
online
Dr. Christian Leonhardt
Endo Friday Meeting - Modul I
17.
Apr.
Endo Friday Meeting - Modul I
Fr., 17.04.26, 13:00 - 19:00 (Europe/Berlin)
Innsburck
ZA Eduardo Belandria
Endo Friday Meeting - Modul II
15.
Mai
Endo Friday Meeting - Modul II
Fr., 15.05.26, 13:00 - 19:00 (Europe/Berlin)
Innsburck
ZA Eduardo Belandria
Endo Friday Meeting - Modul III
05.
Juni
Endo Friday Meeting - Modul III
Fr., 05.06.26, 13:00 - 19:00 (Europe/Berlin)
Innsburck
ZA Eduardo Belandria
Kieferorthopädie heute: State of the Art - 4D
26.
Nov.
Kieferorthopädie heute: State of the Art - 4D
Do., 26.11.26, 09:00 - 28.11.26, 17:00 (Europe/Berlin)
München
Dr. Domingo Martin Salvador
Dr. Alberto Canábez Berthet