Zum Hauptinhalt springen Zur Suche springen Zur Hauptnavigation springen

Hinweis: Unser Sortiment richtet sich ausschließlich an Zahnarztpraxen, Zahnlabore und Unternehmen der Dentalbranche. Ein Verkauf an Privatpersonen ist ausgeschlossen.

Willkommen bei ADS. American Dental Systems. Gemeinsam verbessern wir die Zahnmedizin.

Extraktion, Socket-Preservation mit Punch-Technik und Implantation

Ein 60-jähirger Patient mit Wunsch nach festem Zahnersatz wurde vom HZA zur Zahnentfernung und Implantation überwiesen. Die Zähne 24 und 25 wurden aufgrund insuffizienter Zahnrestsubstanz und Wurzelkanalbehandlung als nichterhaltungswürdig diagnostizert. Therapiert wurde durch Extraktion mit Ridge-Preservation mit Socket-Punch-Technik sowie anschließender Implantation.
Porträt PD Dr. Kai Fischer
PD Dr. Kai Fischer

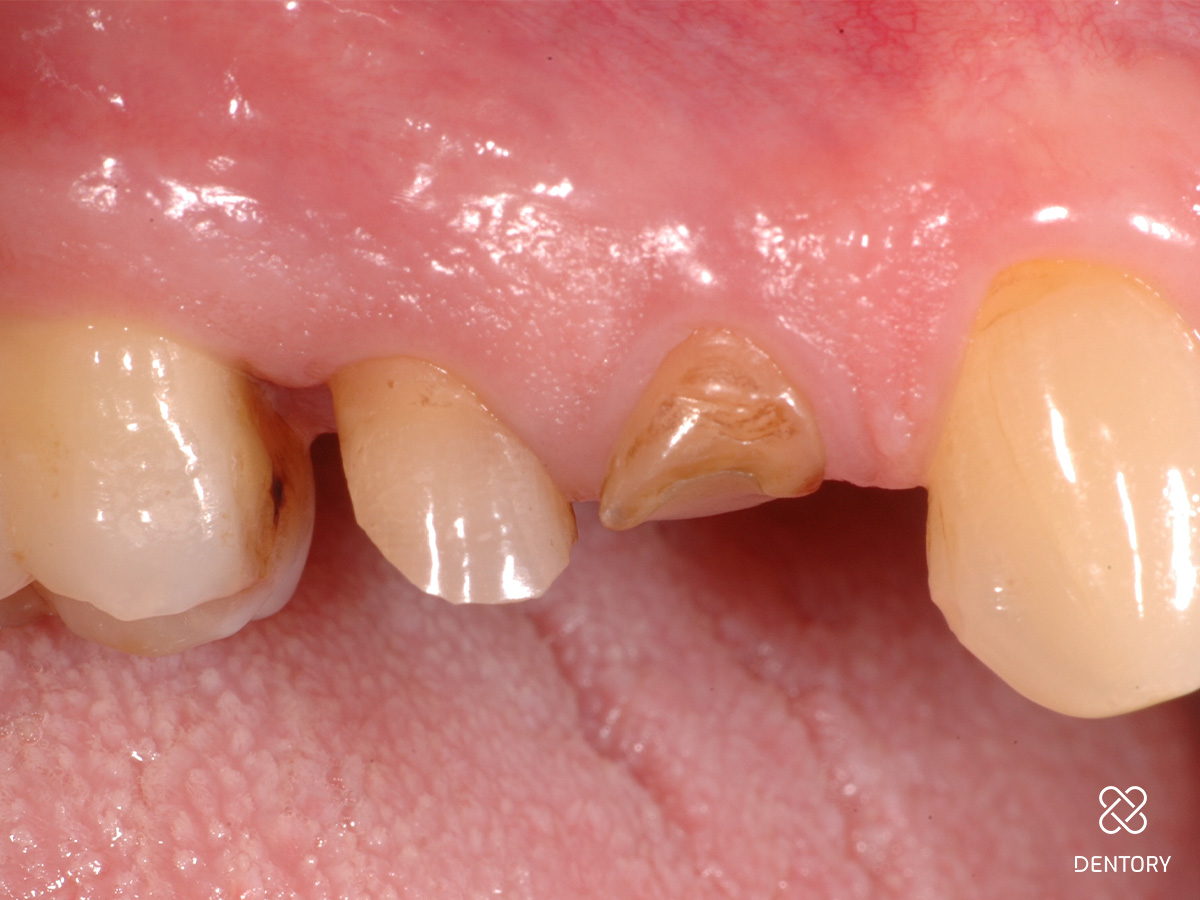
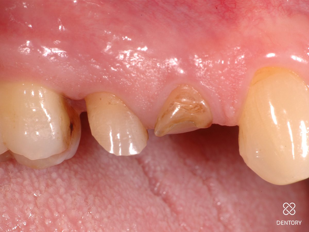
Abbildung 1

Ausgangssituation.

Abbildung 2

Durchtrennen der Fasern: Um eine möglichst schonende Extraktion zu ermöglichen werden parodontale Fasern mit einer Mikroklinge durchtrennt.

Abbildung 3

Trennung Zahn 24: Der zweiwurzelige Zahn 24 wurde getrennt, um die Wurzeln einzeln zu entfernen.

Abbildung 4

Wurzelreste mobilisieren: Die Wurzelreste werden vorsichtig, ohne Druck auf die vestibuläre Lamelle auszuüben, gegeneinander bzw. mesio-distal mobilisiert. Hierfür eignen sich besonders Periotome oder entsprechend kleine Hebel.

Abbildung 5

Entfernung der Wurzelreste: Intakte Hart- und Weichgewebe nach Entfernung der Wurzeln; hier wäre alternativ auch eine Sofortimplantation in Frage gekommen.

Abbildung 6

Auffüllen der beiden Alveolen mit einem porcinen KEM (mp3); ein Material mit entsprechender Applikationsdarreichung ist hier ideal.

Abbildung 7

Die Alveolen werden bis zur Höhe der Knochenstruktur aufgefüllt. Ein Überfüllen ist zu vermeiden.

Abbildung 8

Fixation mit Nähten: Um die Weichgewebe zu stützen und zusätzlich zu verbessern werden zwei Punches vom Gaumen entnommen und mit Mikronähten fixiert.

Abbildung 9

Nach vier Monaten: Nach einer Heilungsphase von vier Monaten sollten die Implantate gesetzt werden; guter Erhalt der Kammerbreite.

Abbildung 10

Krestale Inzision leicht versetzt zu den angrenzenden Papillen zur Darstellung des Knochens.

Abbildung 11

Elevation des Weichgewebes: Sehr gut erhaltene Knochenstruktur nach Elevation des Weichgewebes, es sind keine losen Partikel zu beobachten, sehr gute Knochenregeneration.

Abbildung 12

Positionskontrolle der Implantatausrichtung aus prothetischer Sicht nach Verwendung einer Orientierungsschablone.

Abbildung 13

Nach Aufbereitung des Lagers werden zwei Standarddurchmesser-Implantate (4x11,5 mm) primärstabil inseriert.

Abbildung 14

Korrekte 3D-Positionierung der Implantate mit Plattform-Switching. Aufgrund der Breite der Lücke und der Situation vor Extraktion, sollte nach mesial eine kleine Lücke verbleiben.

Abbildung 15

Nahtverschluss mit Double-Sling-Sutures (4-0 PTFE) nach Implantatinsertion und vor weiterer Versorgung beim überweisenden Zahnarzt.

Verwendete Produkte

Produktgalerie überspringen

Zugehörige Produkte

Keydent Micro Blades SR (10)
Keydent Micro Blades SR (10)
Artikelnr.: 4326150
Herstellernr.: 4326150

68,25 €
zzgl. MwSt.
zzgl. Versand
TH30 Periotom Posterior
TH30 Periotom Posterior
Artikelnr.: 6180210
Herstellernr.: TH30

77,30 €
zzgl. MwSt.
zzgl. Versand
TH31 Periotom Anterior
TH31 Periotom Anterior
Artikelnr.: 6180220
Herstellernr.: TH31

77,30 €
zzgl. MwSt.
zzgl. Versand

Aktuelle Fortbildungen

2. Curriculum "The Art of Digital Dentistry"
16.
Jan.
2. Curriculum "The Art of Digital Dentistry"
Fr., 16.01.26, 09:00 - 20.06.26, 17:00 (Europe/Berlin)
München
Dr. Christian Leonhardt (klinische Leitung)
Prof. Dr. Markus Blatz (wissenschaftliche Leitung)
TEAM | 2. Curriculum "The Art of Digital Dentistry"
16.
Jan.
TEAM | 2. Curriculum "The Art of Digital Dentistry"
Fr., 16.01.26, 09:00 - 20.06.26, 17:00 (Europe/Berlin)
München
Dr. Christian Leonhardt (klinische Leitung)
Prof. Dr. Markus Blatz (wissenschaftliche Leitung)
 
26.
Feb.
4D Dentistry - das Update: Workflow, Software, Hardware, Fun
Do., 26.02.26, 20:00 - 22:00 (Europe/Berlin)
online
Dr. Christian Leonhardt
Endo Friday Meeting - Modul I
17.
Apr.
Endo Friday Meeting - Modul I
Fr., 17.04.26, 13:00 - 19:00 (Europe/Berlin)
Innsburck
ZA Eduardo Belandria
Endo Friday Meeting - Modul II
15.
Mai
Endo Friday Meeting - Modul II
Fr., 15.05.26, 13:00 - 19:00 (Europe/Berlin)
Innsburck
ZA Eduardo Belandria
Endo Friday Meeting - Modul III
05.
Juni
Endo Friday Meeting - Modul III
Fr., 05.06.26, 13:00 - 19:00 (Europe/Berlin)
Innsburck
ZA Eduardo Belandria
Kieferorthopädie heute: State of the Art - 4D
26.
Nov.
Kieferorthopädie heute: State of the Art - 4D
Do., 26.11.26, 09:00 - 28.11.26, 17:00 (Europe/Berlin)
München
Dr. Domingo Martin Salvador
Dr. Alberto Canábez Berthet