Zum Hauptinhalt springen Zur Suche springen Zur Hauptnavigation springen

Hinweis: Unser Sortiment richtet sich ausschließlich an Zahnarztpraxen, Zahnlabore und Unternehmen der Dentalbranche. Ein Verkauf an Privatpersonen ist ausgeschlossen.

Willkommen bei ADS. American Dental Systems. Gemeinsam verbessern wir die Zahnmedizin.

Minimalistische Lösung für kleine, aber anspruchsvolle Klasse IV Restaurationen

Dieser Fallbericht zeigt die Behandlung eines Frontzahntraumas bei einem 14-jährigen Patienten. Die unkomplizierte Schmelz-Dentin-Fraktur therapierte ZA Basel Kharbot mit einer Kompositrestauration.
Porträt Dr. Basel Kharbot
ZA Basel Kharbot
Autor Name

Abbildung 1

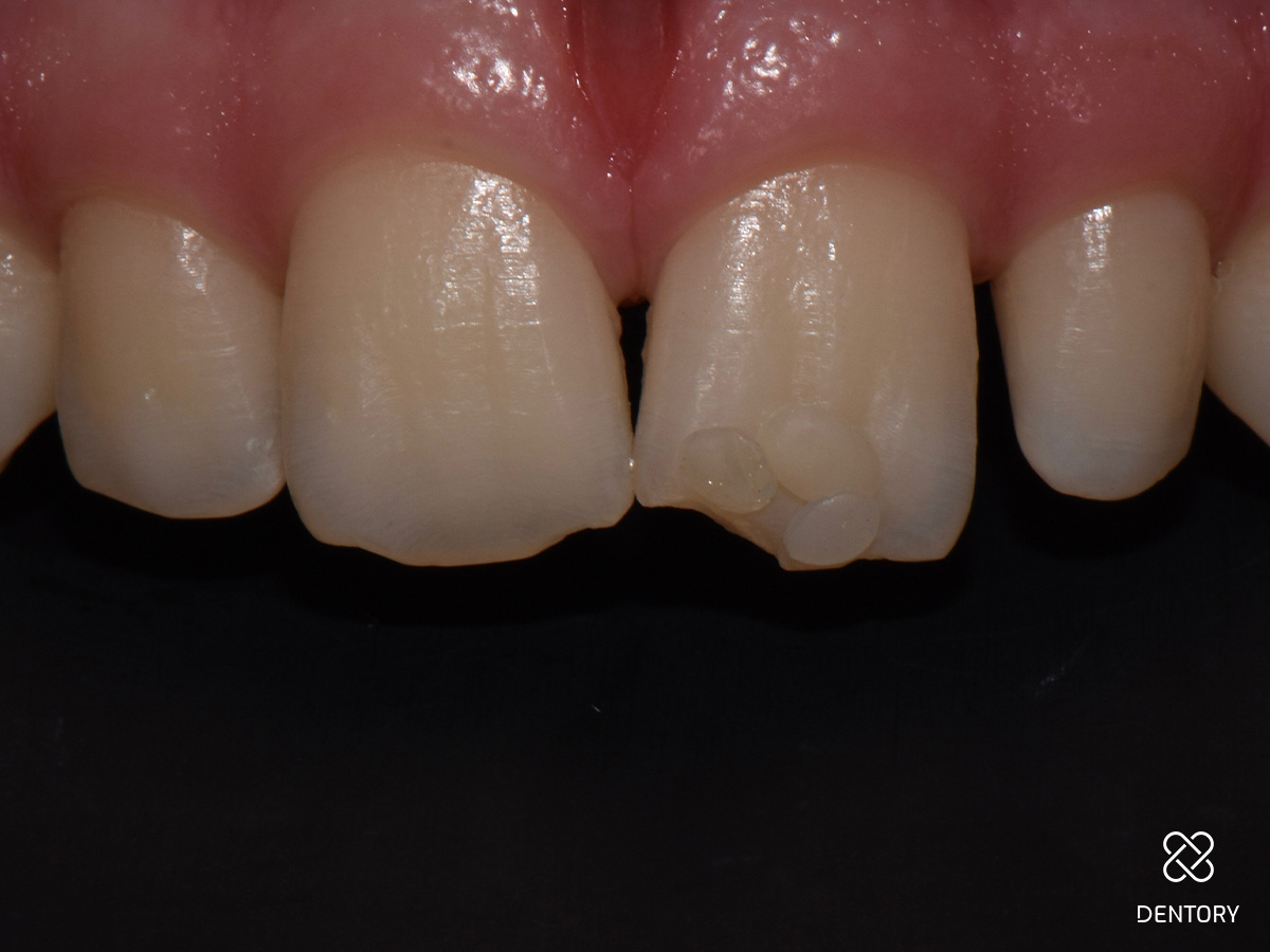
Farbbestimmung: Für die Farbauswahl werden Komposit-Proben direkt auf den Zahn platziert und ausgehärtet. In diesem Fall wurden A2 (o.r.) und Enamel Light (EL, u.r.) gewählt.

Abbildung 2

Die großzügige Isolierung der Zähne 13-23 mit Kofferdam gewährleistet ein trockenes und störungsfreies Arbeitsumfeld und bietet die Möglichkeit, sich an benachbarten Strukturen zu orientieren.

Abbildung 3

Eine breite, wellenförmig verlaufende Anschrägung sorgt für einen fließenden Übergang zwischen Zahn und Restauration hinsichtlich Form und Farbe. Scharfe Kanten und Ecken sollten abgerundet werden.

Abbildung 4

Ätzgel (37%) auftragen: Der Verlauf der Anschrägung kann anhand des Ätzgels nachvollzogen werden.

Abbildung 5

Bonding: Es wurde ein Zwei-Flaschen-System verwendet, bei dem zuerst der Primer und anschließend das Bonding apliziert wurde.

Abbildung 6

Isolieren der Nachbarzähne (Teflonband); 
Schmelzätzung mit Phosphorsäure (15 %) für 30 Sekunden.

Abbildung 7

Nach Platzierung dieses Inkrements ist nur ein minimaler Unterschuss zu sehen.

Abbildung 8

Schmelzaufbau: Anschließend wird eine hauchdünne Schicht der Schmelzmasse platziert. Die Modellation mit einem Pinsel erleichtert das Bearbeiten von dünnen Komposit-Schichten und sorgt für eine feinere Oberflächenbeschaffenheit..

Abbildung 9

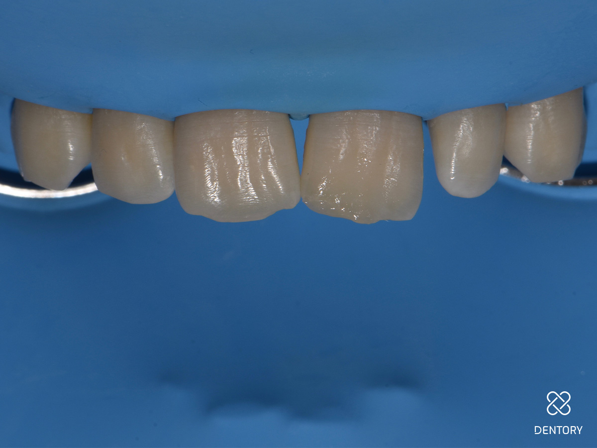
Überprüfen der Restauration: Mit Okklusionsfolie kann die Textur der Restauration mit der des natürlichen Zahns verglichen werden. Außerdem markiert sie Restaurationsränder und Überschüsse.

Abbildung 10

Überstehende Restaurationsränder und die Makrotextur werden mit einem groben Diamanten bearbeitet, bevor die Feinpolitur erfolgt.

Abbildung 11

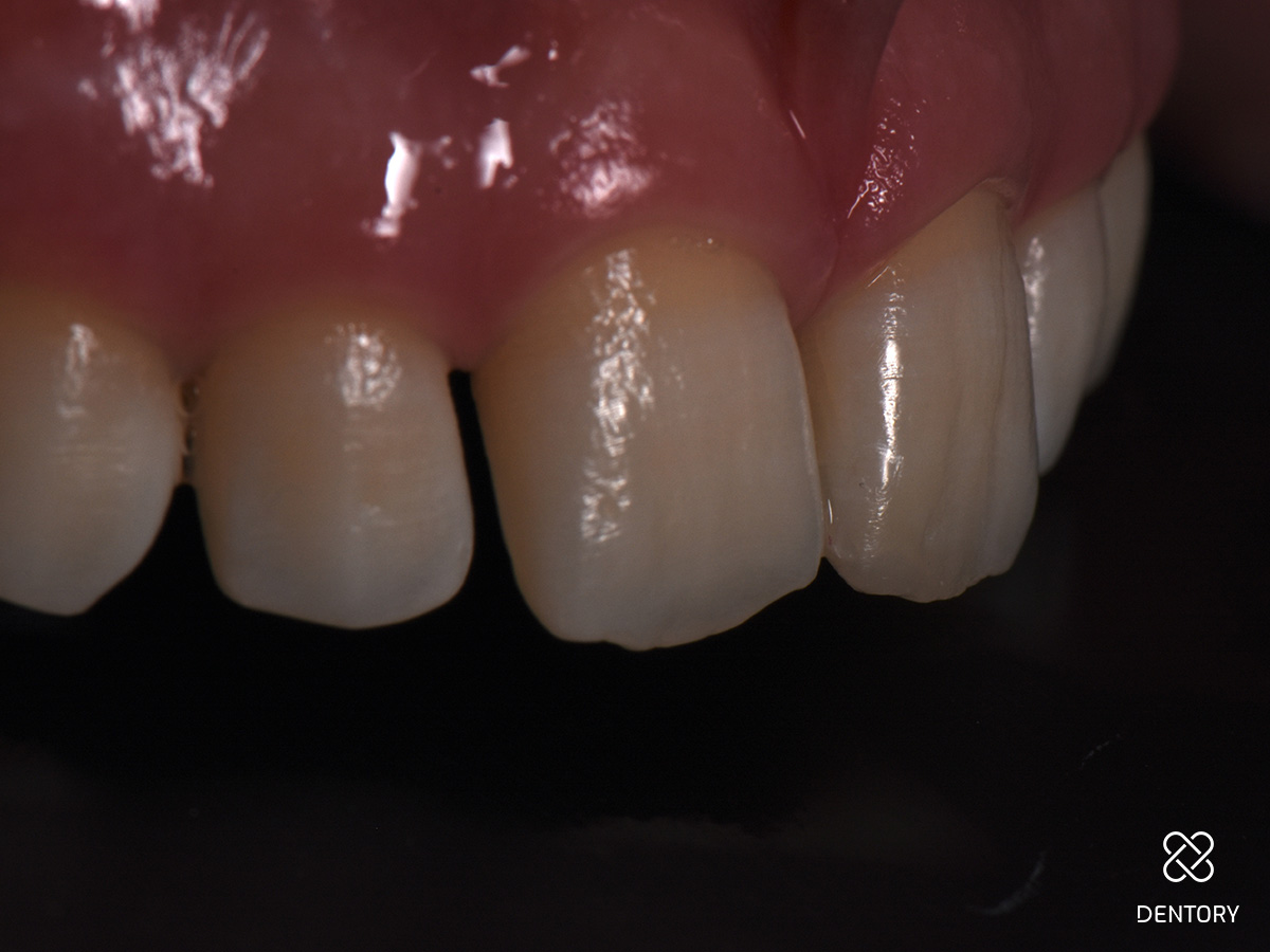
Die Füllung hat sich harmonisch in die Umgebung integriert. Trotz der minimalistischen Gestaltung hat sich ein dezenter Halo-Effekt ergeben.

Abbildung 12

Kontrolle nach 14 Tagen Kleine Füllungsrestaurationen im Frontzahnbereich können sich aufgrund vielfältiger Effekte besonders im Inzisalkanten-Bereich als schwierig erweisen. Dieser Fall zeigt aber, dass bei einer korrekten Farbauswahl sowie Form- und Texturgebung auch ohne komplizierte Methoden zuverlässige Ergebnisse erzielt werden können.

Verwendete Produkte

Produktgalerie überspringen

Zugehörige Produkte

Vision Kofferdam-Klammer schwarz #12A für Unterkiefer linke/Oberkiefer rechte Molaren
Vision Kofferdam-Klammer schwarz #12A für Unterkiefer linke/Oberkiefer rechte Molaren
Artikelnr.: 7647122
Herstellernr.: VS3052-12A

28,25 €
zzgl. MwSt.
zzgl. Versand
Vision Kofferdam-Klammer schwarz #13A für Unterkiefer linke/Oberkiefer rechte Molaren
Vision Kofferdam-Klammer schwarz #13A für Unterkiefer linke/Oberkiefer rechte Molaren
Artikelnr.: 7647123
Herstellernr.: VS3052-13A

28,25 €
zzgl. MwSt.
zzgl. Versand
ETCH-37 4 Spritzen (je 5 g) + Tips
ETCH-37 4 Spritzen (je 5 g) + Tips
Artikelnr.: 7940054
Herstellernr.: E-5503EM

66,30 €
zzgl. MwSt.
zzgl. Versand

Aktuelle Fortbildungen

2. Curriculum "The Art of Digital Dentistry"
16.
Jan.
2. Curriculum "The Art of Digital Dentistry"
Fr., 16.01.26, 09:00 - 20.06.26, 17:00 (Europe/Berlin)
München
Dr. Christian Leonhardt (klinische Leitung)
Prof. Dr. Markus Blatz (wissenschaftliche Leitung)
TEAM | 2. Curriculum "The Art of Digital Dentistry"
16.
Jan.
TEAM | 2. Curriculum "The Art of Digital Dentistry"
Fr., 16.01.26, 09:00 - 20.06.26, 17:00 (Europe/Berlin)
München
Dr. Christian Leonhardt (klinische Leitung)
Prof. Dr. Markus Blatz (wissenschaftliche Leitung)
 
26.
Feb.
4D Dentistry - das Update: Workflow, Software, Hardware, Fun
Do., 26.02.26, 20:00 - 22:00 (Europe/Berlin)
online
Dr. Christian Leonhardt
Endo Friday Meeting - Modul I
17.
Apr.
Endo Friday Meeting - Modul I
Fr., 17.04.26, 13:00 - 19:00 (Europe/Berlin)
Innsburck
ZA Eduardo Belandria
Endo Friday Meeting - Modul II
15.
Mai
Endo Friday Meeting - Modul II
Fr., 15.05.26, 13:00 - 19:00 (Europe/Berlin)
Innsburck
ZA Eduardo Belandria
Endo Friday Meeting - Modul III
05.
Juni
Endo Friday Meeting - Modul III
Fr., 05.06.26, 13:00 - 19:00 (Europe/Berlin)
Innsburck
ZA Eduardo Belandria
Kieferorthopädie heute: State of the Art - 4D
26.
Nov.
Kieferorthopädie heute: State of the Art - 4D
Do., 26.11.26, 09:00 - 28.11.26, 17:00 (Europe/Berlin)
München
Dr. Domingo Martin Salvador
Dr. Alberto Canábez Berthet