Zum Hauptinhalt springen Zur Suche springen Zur Hauptnavigation springen

Hinweis: Unser Sortiment richtet sich ausschließlich an Zahnarztpraxen, Zahnlabore und Unternehmen der Dentalbranche. Ein Verkauf an Privatpersonen ist ausgeschlossen.

Willkommen bei ADS. American Dental Systems. Gemeinsam verbessern wir die Zahnmedizin.

Füllungskorrektur am Frontzahn 21

Der nachfolgende Fall einer Patientin mit Wunsch einer Füllungskorrektur am Zahn 21 zeigt, wie eine solche minimalinvasiv, zügig und zuverlässig gelingt. Bei einer funktionell- und adhäsiv suffizienten palatinalen Füllungsfläche kann diese für eine Füllungsreparatur belassen werden, um so die dentalen Strukturen zu schonen.
Porträt Dr. Lea Krueger-Janson
Dr. Lea Krueger-Janson

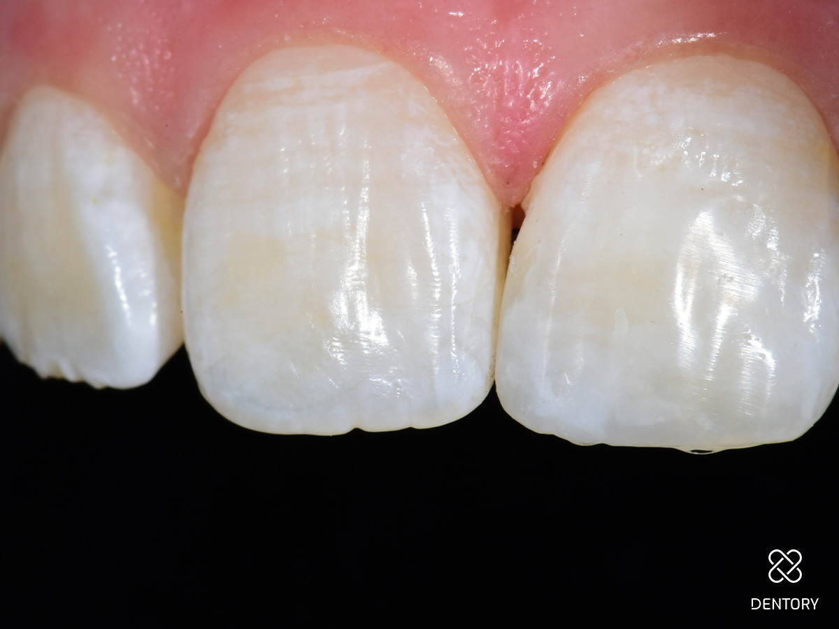
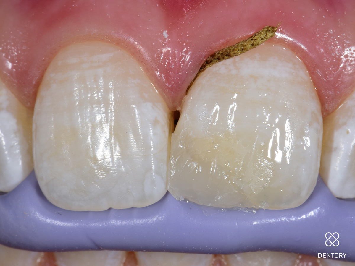
Abbildung 1

Ausgangssituation

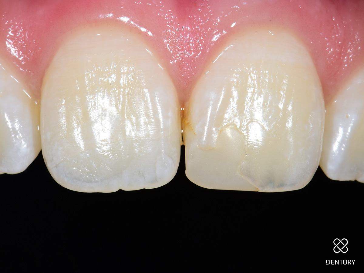
Abbildung 2

Zustand nach Frontzahntrauma am Zahn 21.

Abbildung 3

Erstellen des Silikonschlüssels mit Aufbiss auf Watterollen als Platzhalter.

Abbildung 4

Nach der Entfernung des vestibulären Füllungsanteils mit einem groben Diamanten; die palatinale Wand wird belassen.

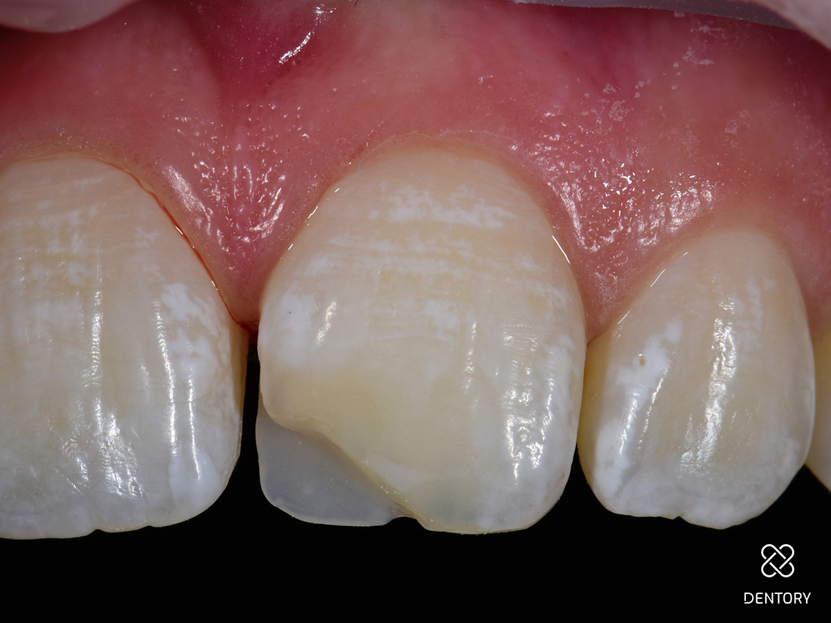
Abbildung 5

Sandstrahlen mit Aluminiumoxid, Reinigung von Zementresten und Kompositentfernung.

Abbildung 6

Glätten der mesialen Füllungskontur mittels diamantiertem Metallstreifen.

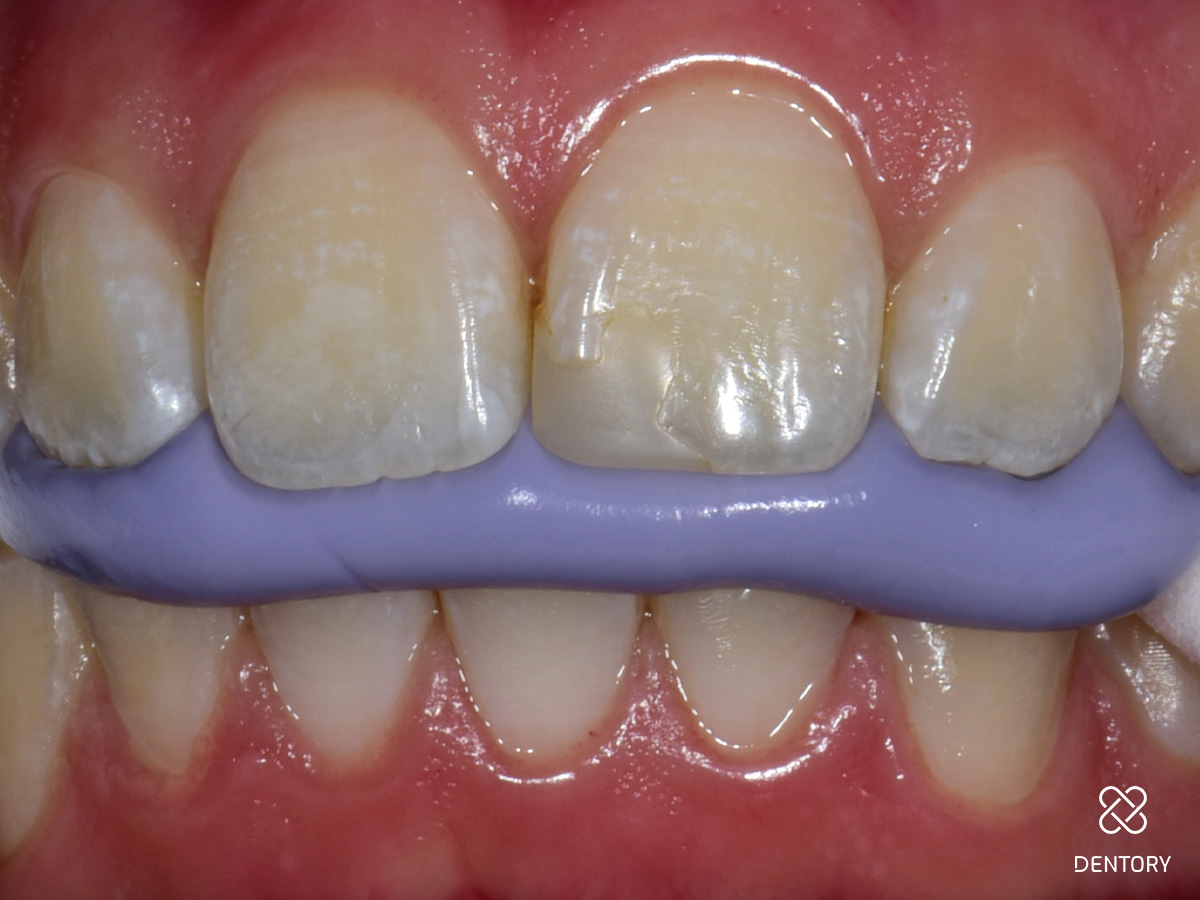
Abbildung 7

Nach Fadenlegung (00) erfolgt die Schmelzätzung mit Phosphorsäure (15 %) für 30 Sekunden.

Abbildung 8

Benetzen des verbliebenen Füllungsanteils mit Universalprimer (mit Silan). 60 Sekunden einwirken lassen, dann verblasen.

Abbildung 9

Schmelz-/Dentinbonding mit Universaladhäsiv, 2 x 10 Sekunden einmassieren, dann 10 Sekunden Lichthärtung.

Abbildung 10

Zirkuläres Platzieren eines durchsichtigen Streifens zwischen Zahn 21 und dem Silikonschlüssel.

Abbildung 11

Applikation von opaquem Flowable approximal zwischen Steifen und Zahn.

Abbildung 12

Hold-On Polymerisation: Gestaltung der mesialen Füllungsfläche bzw. des Kontaktpunktes. Hinweis: Während der Polymerisation wird der durchsichtige Streifen in Position gehalten. Mittels Pinzette wir der Streifen am Zahn adaptiert und nach distal gezogen. Der kleine Heidemannspatel drückt den Streifen und damit das Flowable Composite nach mesial. Dabei wird eine Keilwirkung imitiert und so ein Kontaktpunkt erzeugt.

Abbildung 13

Aufschichten von opaquem Komposit (Dentinmasse) mit Heidemannspatel.
Tipp: Schwämmchen

Abbildung 14

Beschichtung mit Schmelz-Flowable und Opaquer-Flowable Mischung auf Zahnoberfläche mittels Sonde.

Abbildung 15

Ausarbeitung der mesialen Füllungsfläche mittels perforiertem Metallstreifen.

Abbildung 16

Ausarbeiten/ Individualisieren der vestibulären Füllungsfläche mittels gebogener EVA-Feile, um die Unebenheiten des Nachbarzahns zu modellieren.

Abbildung 17

Individualisierung der Inzisalkante mit einem spitzen Diamanten.

Abbildung 18

Politur und finale Ausarbeitung der mesialen Füllungsfläche mittels Soflexscheibe. Anschließend Politur mit einem Vor- und Hochglanzpolierer (mit Diamantpartikeln).

Abbildung 19

Fertigstellung. Bei einer funktionell- und adhäsiv suffizienten palatinalen Füllungsfläche kann diese für eine Füllungsreparatur belassen werden. So können die dentalen Strukturen geschont und die Arbeitsschritte verkürtz werden. Eine ästhetische Korrektur kann dann vorhersehbar und einfach erfolgen.

Verwendete Produkte

Produktgalerie überspringen

Zugehörige Produkte

inspiro Flowable Body i1 Spritze (1x1,5 g)
inspiro Flowable Body i1 Spritze (1x1,5 g)
Artikelnr.: 7271601
Herstellernr.: 3610

44,10 €
zzgl. MwSt.
zzgl. Versand
inspiro Flowable Body i2 Spritze (1x1,5 g)
inspiro Flowable Body i2 Spritze (1x1,5 g)
Artikelnr.: 7271602
Herstellernr.: 3620

44,10 €
zzgl. MwSt.
zzgl. Versand
inspiro Flowable Body i3 Spritze (1x1,5 g)
inspiro Flowable Body i3 Spritze (1x1,5 g)
Artikelnr.: 7271603
Herstellernr.: 3630

44,10 €
zzgl. MwSt.
zzgl. Versand
inspiro Flowable Body i4 Spritze (1x1,5 g)
inspiro Flowable Body i4 Spritze (1x1,5 g)
Artikelnr.: 7271604
Herstellernr.: 3640

44,10 €
zzgl. MwSt.
zzgl. Versand
inspiro Flowable Body i5 Spritze (1x1,5 g)
inspiro Flowable Body i5 Spritze (1x1,5 g)
Artikelnr.: 7271605
Herstellernr.: 3650

44,10 €
zzgl. MwSt.
zzgl. Versand
inspiro Flowable Body i6 Spritze (1x1,5 g)
inspiro Flowable Body i6 Spritze (1x1,5 g)
Artikelnr.: 7271606
Herstellernr.: 3660

44,10 €
zzgl. MwSt.
zzgl. Versand
inspiro Flowable Body i7 Spritze (1x1,5 g)
inspiro Flowable Body i7 Spritze (1x1,5 g)
Artikelnr.: 7271607
Herstellernr.: 3670

44,10 €
zzgl. MwSt.
zzgl. Versand
inspiro Flowable Skin Bleach Spritze (1x1,5 g)
inspiro Flowable Skin Bleach Spritze (1x1,5 g)
Artikelnr.: 7271700
Herstellernr.: 3700

44,10 €
zzgl. MwSt.
zzgl. Versand
inspiro Flowable Skin White Spritze (1x1,5 g)
inspiro Flowable Skin White Spritze (1x1,5 g)
Artikelnr.: 7271701
Herstellernr.: 3710

44,10 €
zzgl. MwSt.
zzgl. Versand
inspiro Flowable Skin Neutral Spritze (1x1,5 g)
inspiro Flowable Skin Neutral Spritze (1x1,5 g)
Artikelnr.: 7271702
Herstellernr.: 3720

44,10 €
zzgl. MwSt.
zzgl. Versand
ALL-BOND Universal® Refill (6 ml)
ALL-BOND Universal® Refill (6 ml)
Artikelnr.: 7940034
Herstellernr.: B-7202P

132,95 €
zzgl. MwSt.
zzgl. Versand

Aktuelle Fortbildungen

2. Curriculum "The Art of Digital Dentistry"
16.
Jan.
2. Curriculum "The Art of Digital Dentistry"
Fr., 16.01.26, 09:00 - 20.06.26, 17:00 (Europe/Berlin)
München
Dr. Christian Leonhardt (klinische Leitung)
Prof. Dr. Markus Blatz (wissenschaftliche Leitung)
TEAM | 2. Curriculum "The Art of Digital Dentistry"
16.
Jan.
TEAM | 2. Curriculum "The Art of Digital Dentistry"
Fr., 16.01.26, 09:00 - 20.06.26, 17:00 (Europe/Berlin)
München
Dr. Christian Leonhardt (klinische Leitung)
Prof. Dr. Markus Blatz (wissenschaftliche Leitung)
 
26.
Feb.
4D Dentistry - das Update: Workflow, Software, Hardware, Fun
Do., 26.02.26, 20:00 - 22:00 (Europe/Berlin)
online
Dr. Christian Leonhardt
Endo Friday Meeting - Modul I
17.
Apr.
Endo Friday Meeting - Modul I
Fr., 17.04.26, 13:00 - 19:00 (Europe/Berlin)
Innsburck
ZA Eduardo Belandria
Endo Friday Meeting - Modul II
15.
Mai
Endo Friday Meeting - Modul II
Fr., 15.05.26, 13:00 - 19:00 (Europe/Berlin)
Innsburck
ZA Eduardo Belandria
Endo Friday Meeting - Modul III
05.
Juni
Endo Friday Meeting - Modul III
Fr., 05.06.26, 13:00 - 19:00 (Europe/Berlin)
Innsburck
ZA Eduardo Belandria
Kieferorthopädie heute: State of the Art - 4D
26.
Nov.
Kieferorthopädie heute: State of the Art - 4D
Do., 26.11.26, 09:00 - 28.11.26, 17:00 (Europe/Berlin)
München
Dr. Domingo Martin Salvador
Dr. Alberto Canábez Berthet