Zum Hauptinhalt springen Zur Suche springen Zur Hauptnavigation springen

Hinweis: Unser Sortiment richtet sich ausschließlich an Zahnarztpraxen, Zahnlabore und Unternehmen der Dentalbranche. Ein Verkauf an Privatpersonen ist ausgeschlossen.

Willkommen bei ADS. American Dental Systems. Gemeinsam verbessern wir die Zahnmedizin.

Füllungskorrekturen an Zahn 11 und 21

Die Patientin war schon lange sehr unzufrieden mit dem Erscheinungsbild ihrer Inzisalkanten. Bisher war ihr nicht bewusst, dass dies so einfach behoben werden kann. 

Diagnose
Ästhetisch insuffiziente Füllungen an den Zähnen 11,21.

Therapie
Reparaturfüllung: Erneuerung des vestibulären Füllungsbereichs bei belassen der palatinalen Füllungsfläche (nach funktionellen und adhäsiven Parametern suffizient).
Porträt Dr. Lea Krueger-Janson
Dr. Lea Krueger-Janson
Autor Name

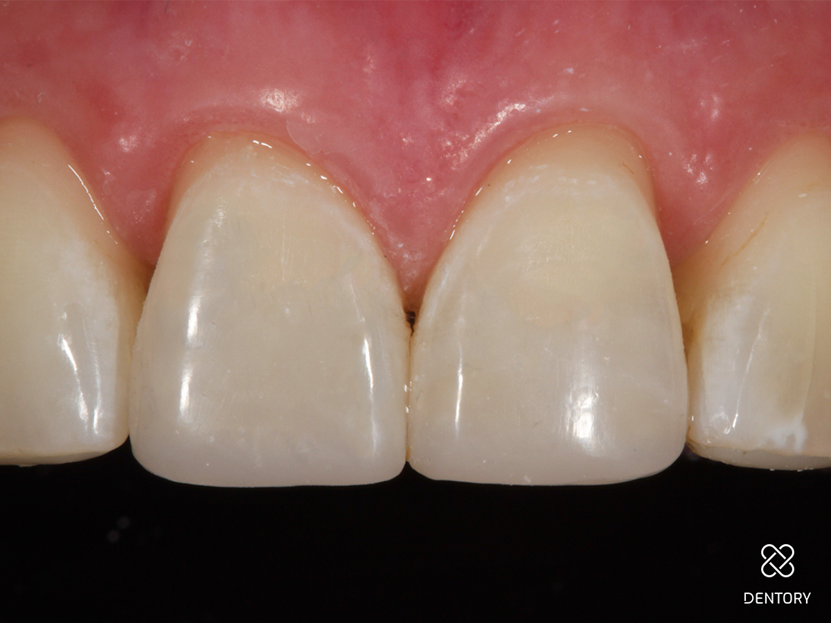
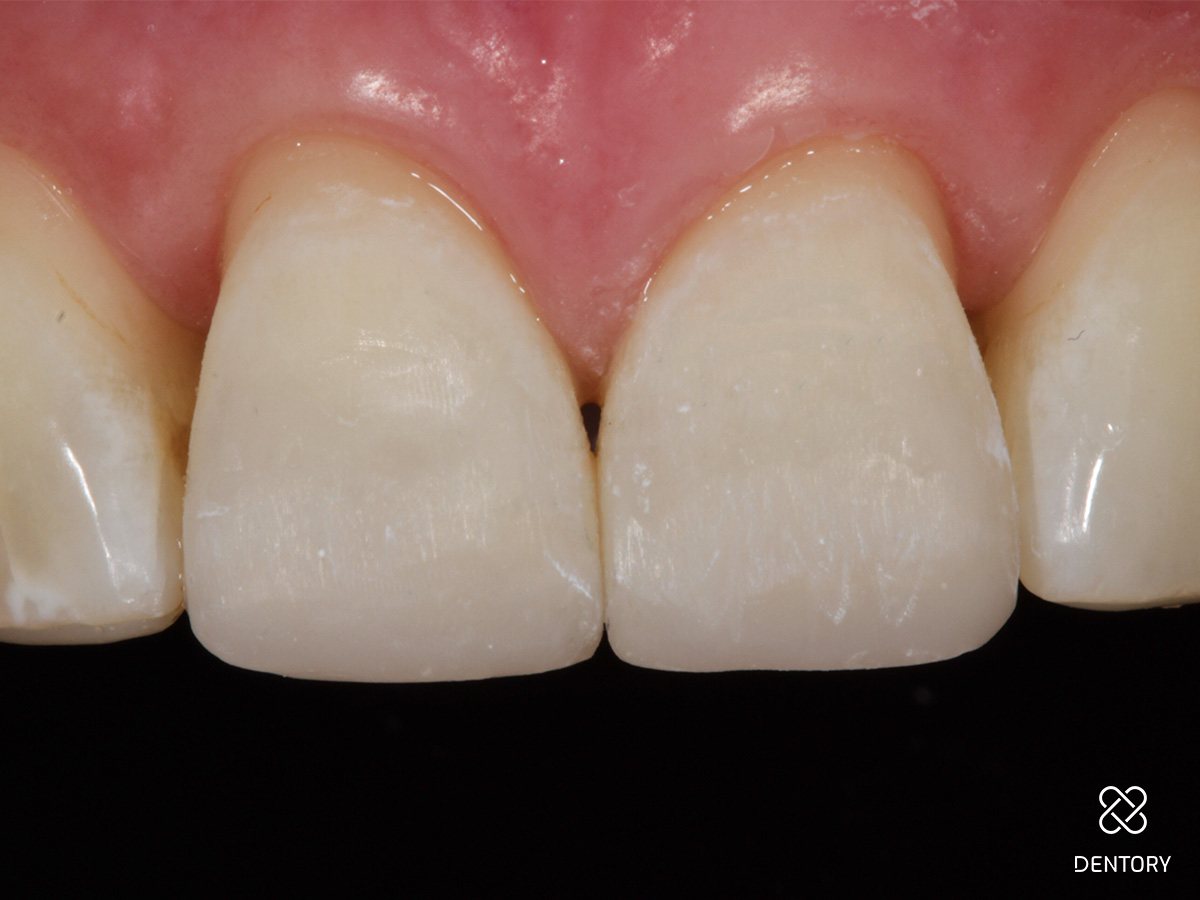
Abbildung 1

Ausgangssituation

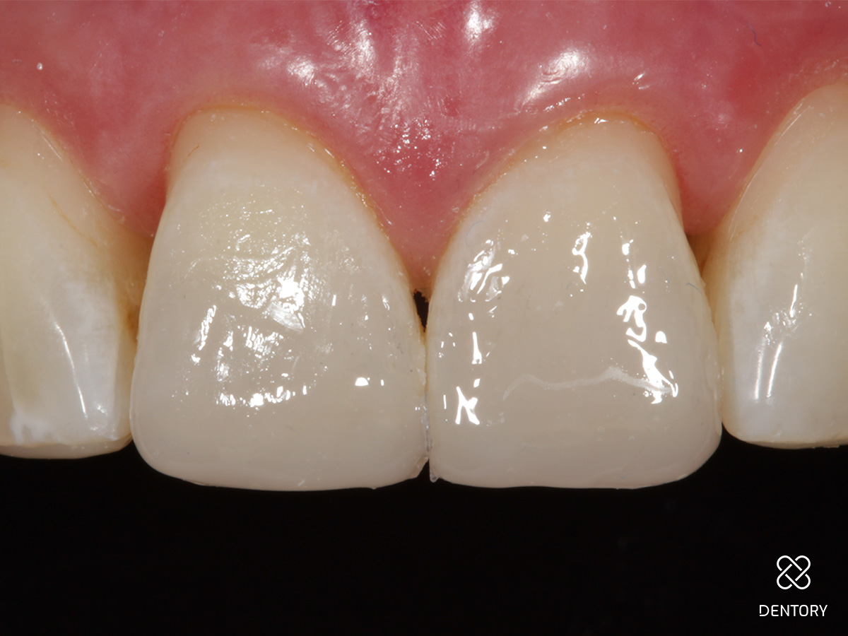
Abbildung 2

Farbkontrolle der Bodyfarbe (lichtgehärtet).

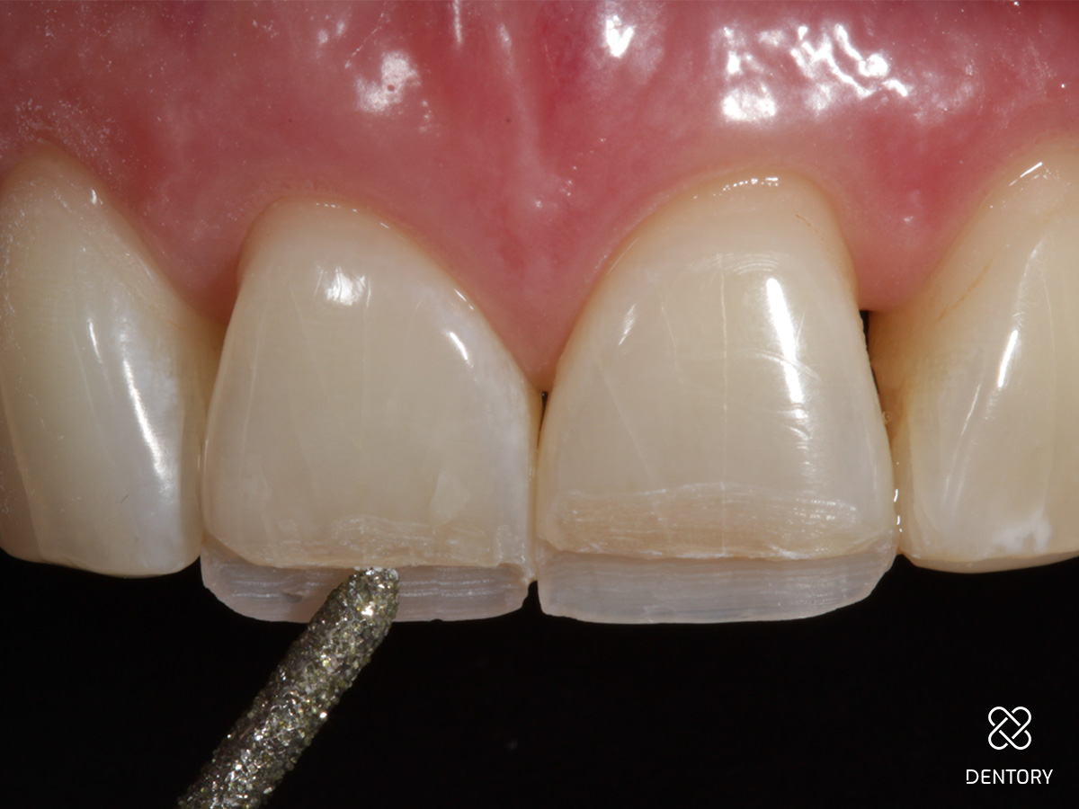
Abbildung 3

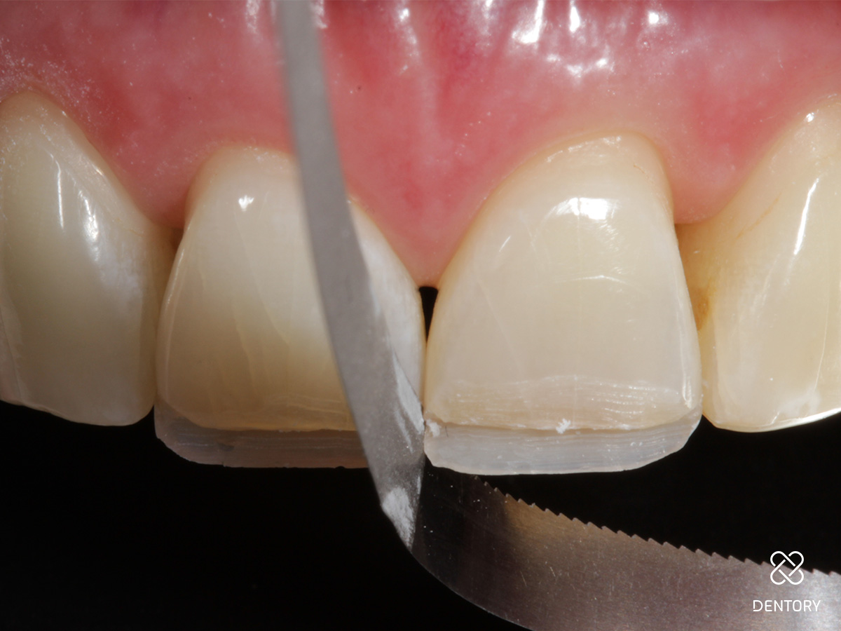
Nach Entfernung des vestibulären Füllungsanteils.

Abbildung 4

Glätten der mesialen Füllungskorrekturen mittels diamantiertem Metallstreifen.

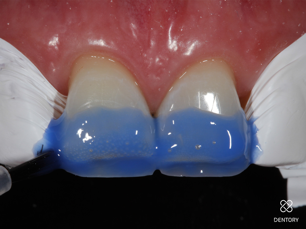
Abbildung 5

Sandstrahlen mit Aluminiumoxid, Schutz von Gingiva/Nachbarzahn durch Metallstreifen.

Abbildung 6

Isolieren der Nachbarzähne (Teflonband); 
Schmelzätzung mit Phosphorsäure (15 %) für 30 Sekunden.

Abbildung 7

Auftrag des Universaladhäsivs auf den Schmelz, das Dentin und die Füllungsfläche: 2 x 20 Sekunden einmassieren, dann 10 Sekunden Lichthärtung. 

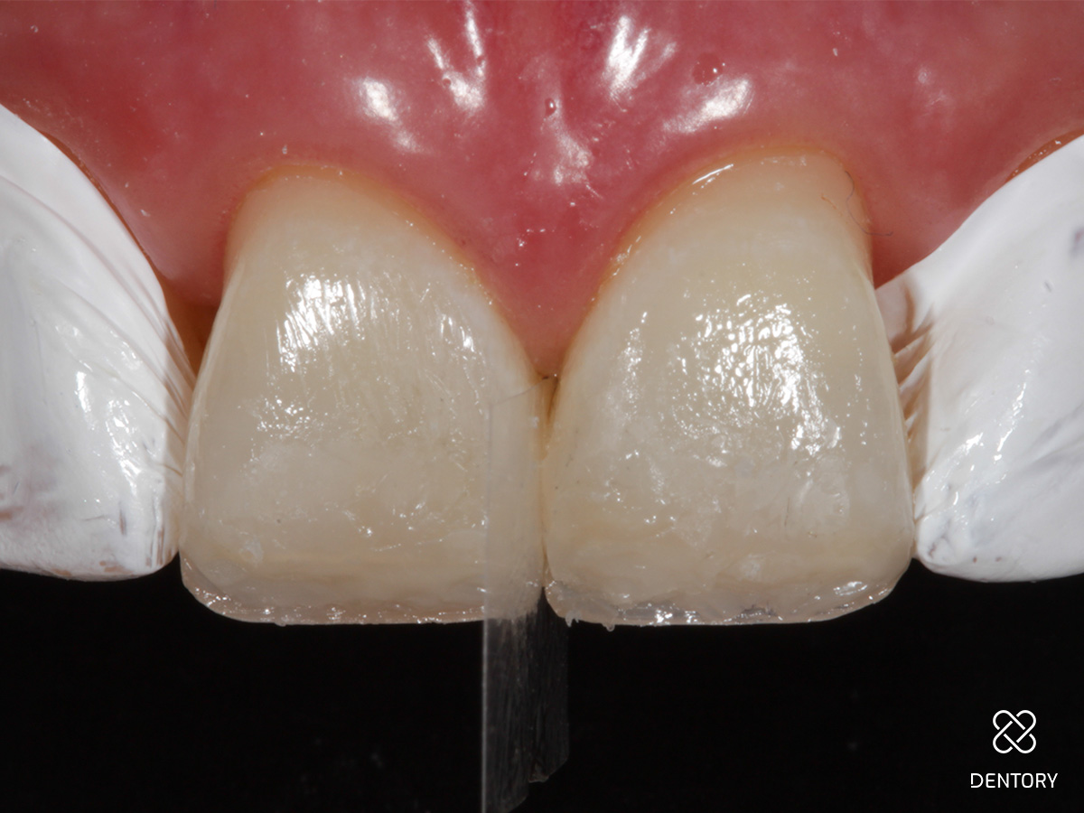
Abbildung 8

Durchsichtiger Streifen zur Isolierung. Aufschichtung der Bodyfarbe.

Abbildung 9

Applikation einer Schmelzfarbe aus Flow.

Abbildung 10

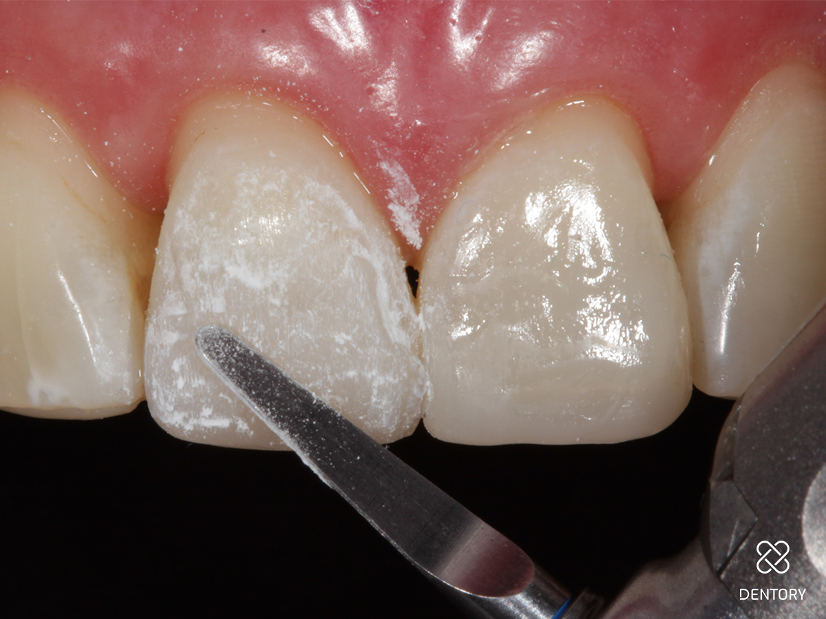
Ausarbeiten der vestibulären Füllungsfläche mittels Eva-Feile. 

Abbildung 11

Ausgearbeitete matte Füllungsfläche.

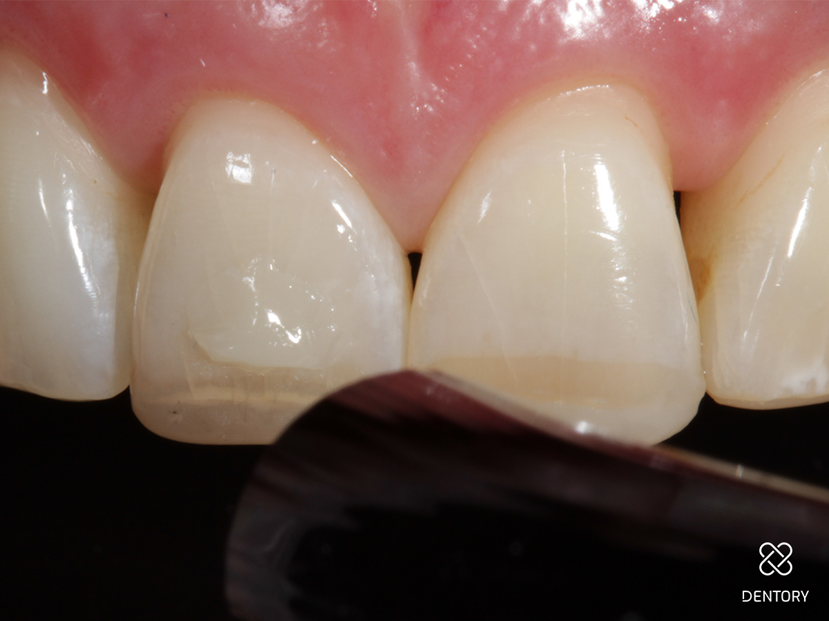
Abbildung 12

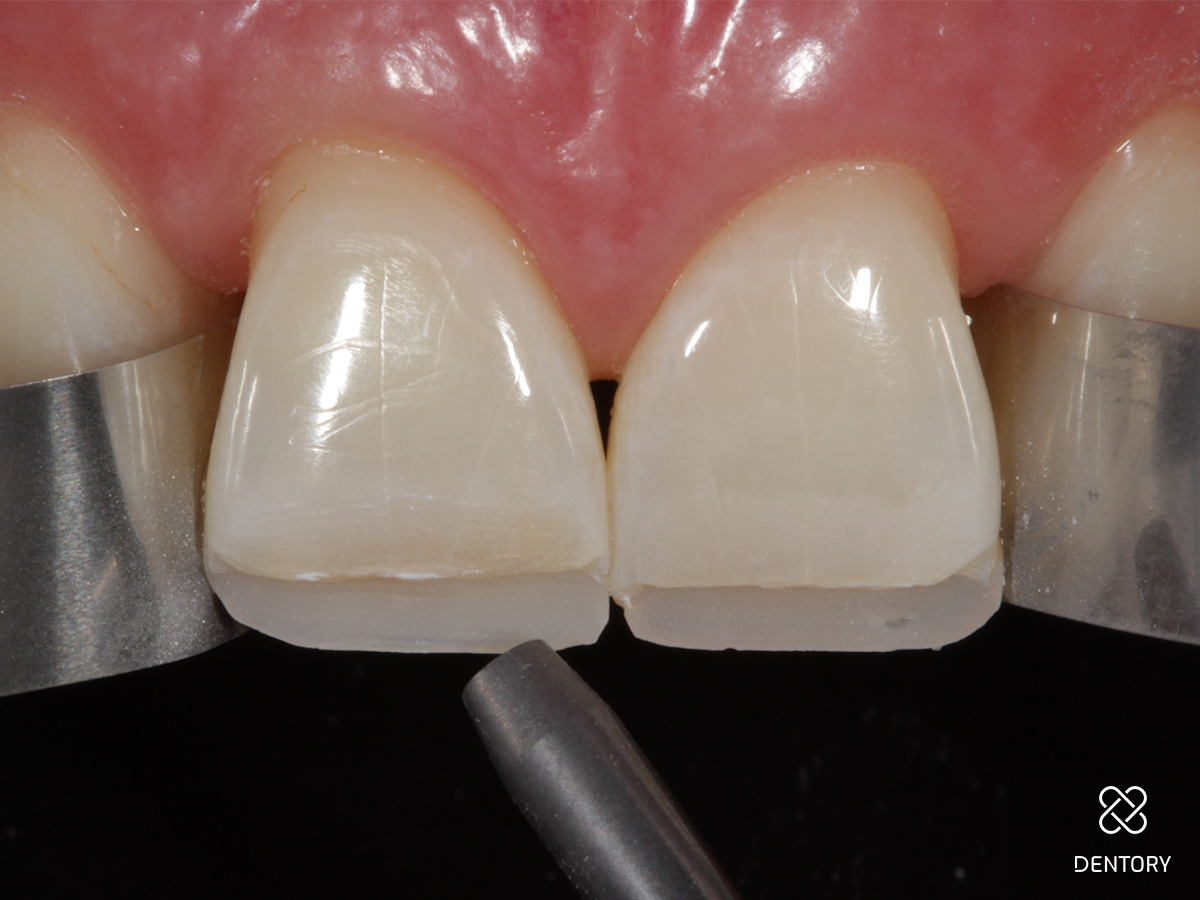
Politur und finale Ausarbeitung der mesialen Füllungsfläche mittels Softflexscheibe.

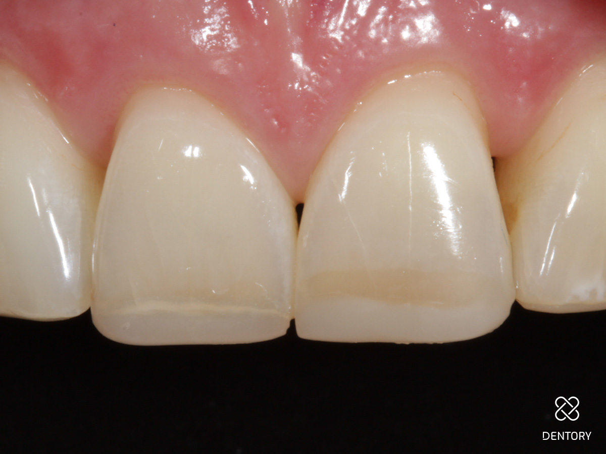
Abbildung 13

Nach Abschluss der Politur mit Vor- und Hochglanzpolierer.

Verwendete Produkte

Produktgalerie überspringen

Zugehörige Produkte

inspiro Master Kit Syringe
inspiro Master Kit Syringe
Artikelnr.: 7271110
Herstellernr.: 3020

1.199,55 €
zzgl. MwSt.
zzgl. Versand
inspiro Intro Kit Syringe
inspiro Intro Kit Syringe
Artikelnr.: 7271130
Herstellernr.: 3040

801,75 €
zzgl. MwSt.
zzgl. Versand
ALL-BOND Universal® Refill (6 ml)
ALL-BOND Universal® Refill (6 ml)
Artikelnr.: 7940034
Herstellernr.: B-7202P

132,95 €
zzgl. MwSt.
zzgl. Versand
AquaCare (mit 2 Kammern)
AquaCare (mit 2 Kammern)
Artikelnr.: 9821607
Herstellernr.: I/MAC8502F

4.268,75 €
zzgl. MwSt.
zzgl. Versand
AquaCare Black Edition (mit 2 Kammern)
AquaCare Black Edition (mit 2 Kammern)
Artikelnr.: 9821608
Herstellernr.: I/MAC8508F

4.268,75 €
zzgl. MwSt.
zzgl. Versand

Aktuelle Fortbildungen

2. Curriculum "The Art of Digital Dentistry"
16.
Jan.
2. Curriculum "The Art of Digital Dentistry"
Fr., 16.01.26, 09:00 - 20.06.26, 17:00 (Europe/Berlin)
München
Dr. Christian Leonhardt (klinische Leitung)
Prof. Dr. Markus Blatz (wissenschaftliche Leitung)
TEAM | 2. Curriculum "The Art of Digital Dentistry"
16.
Jan.
TEAM | 2. Curriculum "The Art of Digital Dentistry"
Fr., 16.01.26, 09:00 - 20.06.26, 17:00 (Europe/Berlin)
München
Dr. Christian Leonhardt (klinische Leitung)
Prof. Dr. Markus Blatz (wissenschaftliche Leitung)
 
26.
Feb.
4D Dentistry - das Update: Workflow, Software, Hardware, Fun
Do., 26.02.26, 20:00 - 22:00 (Europe/Berlin)
online
Dr. Christian Leonhardt
Endo Friday Meeting - Modul I
17.
Apr.
Endo Friday Meeting - Modul I
Fr., 17.04.26, 13:00 - 19:00 (Europe/Berlin)
Innsburck
ZA Eduardo Belandria
Endo Friday Meeting - Modul II
15.
Mai
Endo Friday Meeting - Modul II
Fr., 15.05.26, 13:00 - 19:00 (Europe/Berlin)
Innsburck
ZA Eduardo Belandria
Endo Friday Meeting - Modul III
05.
Juni
Endo Friday Meeting - Modul III
Fr., 05.06.26, 13:00 - 19:00 (Europe/Berlin)
Innsburck
ZA Eduardo Belandria
Kieferorthopädie heute: State of the Art - 4D
26.
Nov.
Kieferorthopädie heute: State of the Art - 4D
Do., 26.11.26, 09:00 - 28.11.26, 17:00 (Europe/Berlin)
München
Dr. Domingo Martin Salvador
Dr. Alberto Canábez Berthet