Zum Hauptinhalt springen Zur Suche springen Zur Hauptnavigation springen

Hinweis: Unser Sortiment richtet sich ausschließlich an Zahnarztpraxen, Zahnlabore und Unternehmen der Dentalbranche. Ein Verkauf an Privatpersonen ist ausgeschlossen.

Willkommen bei ADS. American Dental Systems. Gemeinsam verbessern wir die Zahnmedizin.

Einsatz von Gewebekleber als Wundverband nach Weichgewebsaugmentation

Der vorliegende klinische Fall beschreibt den Einsatz eines hochviskösen Gewebeklebers (PeriAcryl® 90-HV, GluStitch) im Rahmen einer Weichgewebsaugmentation im Unterkiefer-Frontzahnbereich. 

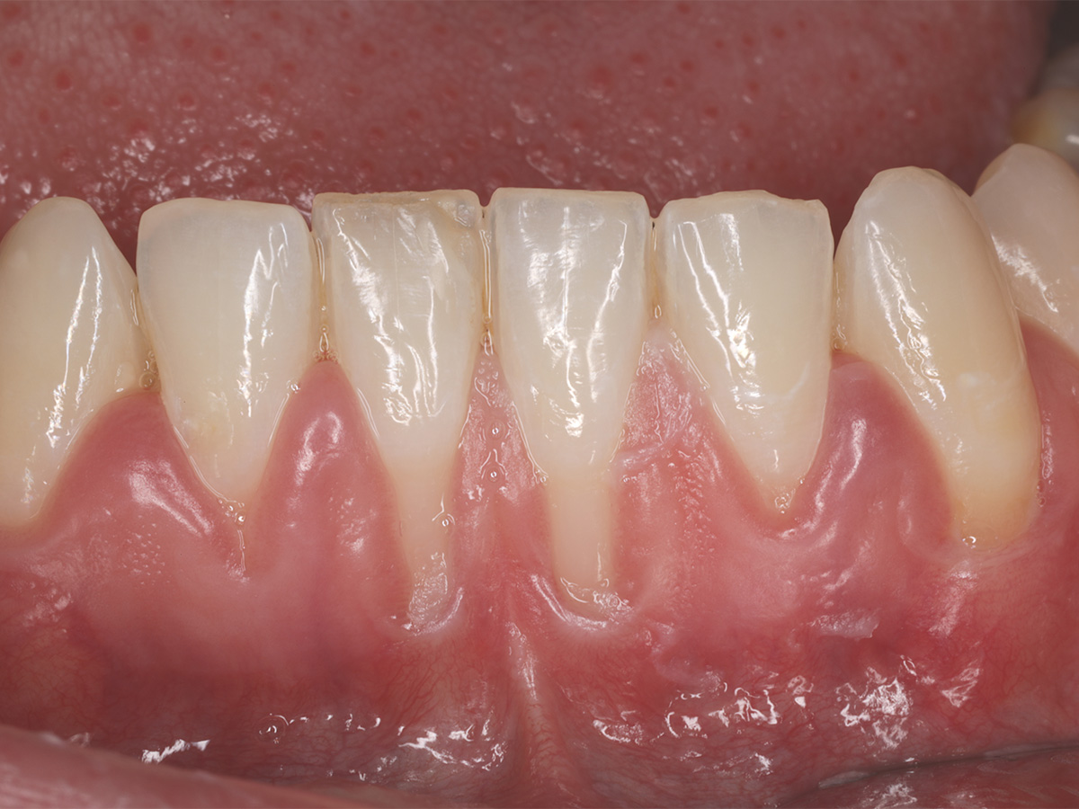
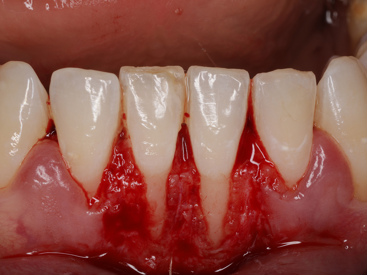
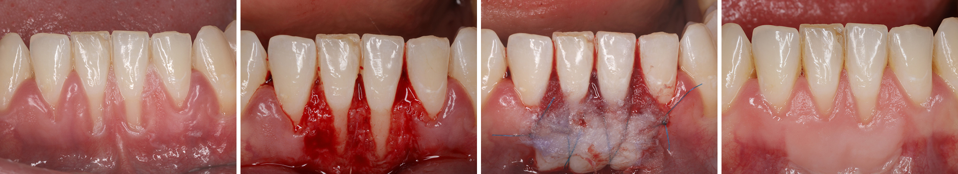
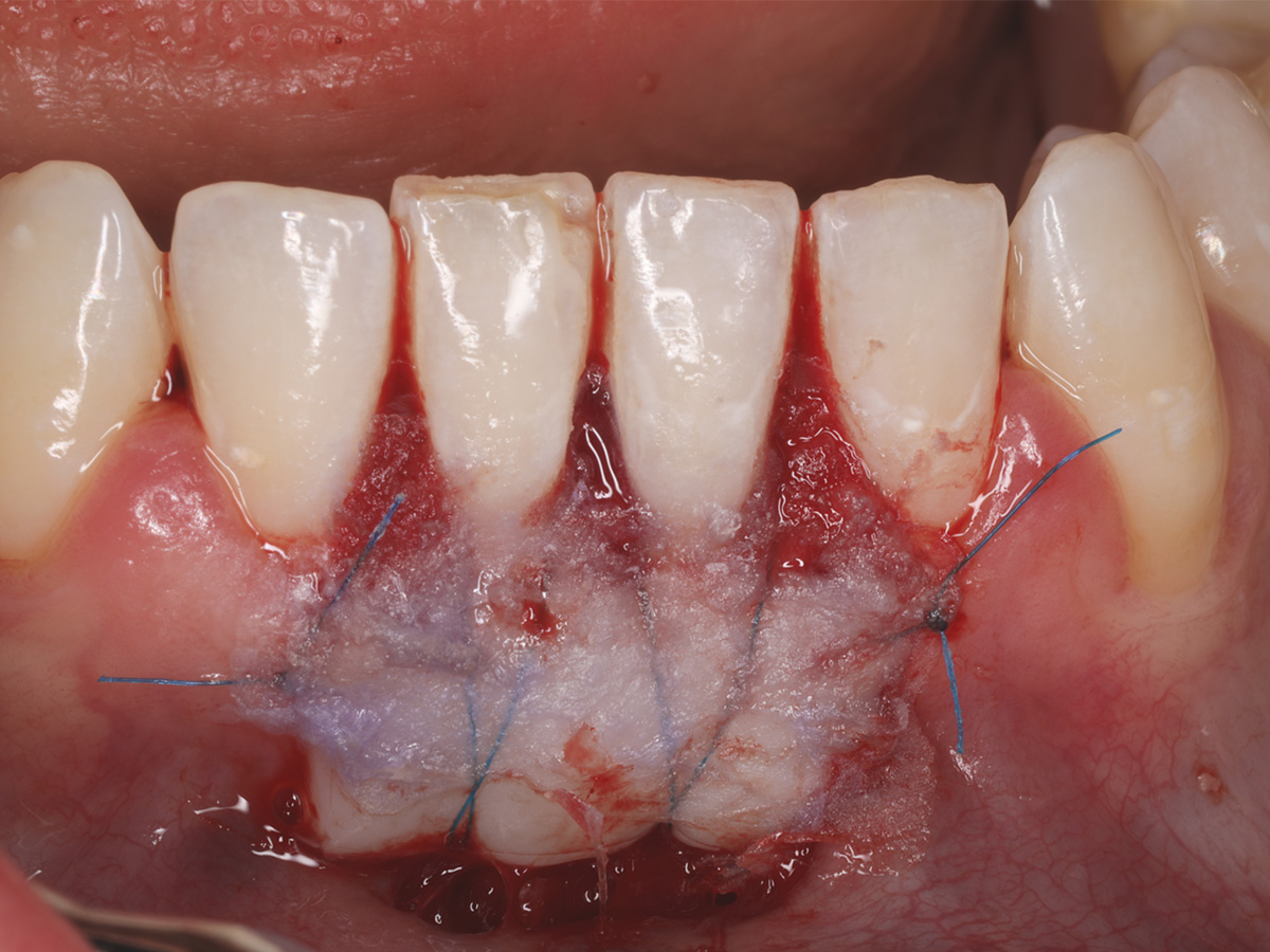
Die klinische Ausgangssituation zeigt in regio 31/41 Rezessionen des Typs 1 (RT 1) mit unzureichender Breite und Dicke an keratinisiertem Gewebe und einem flachen Vestibulum. Zur funktionellen Verbesserung der Weichgewebssituation in regio 31/41 erfolgte in diesem Bereich die Transplantation eines freien Schleimhauttransplantates (FST) aus der Gaumenregion. Zur Vorbereitung des Transplantatlagers erfolgte hierbei ausgehend von der mukogingivalen Grenzlinie die Präparation eines Spaltlappens nach apikal. Der präparierte Lappen wurde anschließend mit resorbierbarem Nahtmaterial apikal im Periost verankert. Die Transplantatentnahme erfolgte aus dem Gaumen, wobei auf eine gleichmäßige Transplantatdicke von ca. 1,5 mm geachtet wurde. Das Transplantat wurde auf der Empfängerstelle fest komprimiert und mittels Kreuznähten, die apikal des Transplantates im Periost verankert wurden, fixiert. Zusätzlich erfolgte eine Fixation an den Transplantatecken im koronalen Bereich mittels Einzelknopfnähten. 

Abschließend wurde das Transplantat mit dem PeriAcryl® 90-HV Gewebekleber abgedeckt und damit zusätzlich fixiert und geschützt. Durch den Einsatz einer Pipette lässt sich der hochvisköse Gewebekleber einfach und gleichmäßig an der Empfängerstelle applizieren. Durch Flüssigkeitskontakt (z.B. angefeuchteter Tupfer) härtet der Gewebekleber rasch aus und hinterlässt einen dünnen und homogenen Film. Je nach Bedarf können mehrere dünne Filmschichten übereinandergelegt werden.

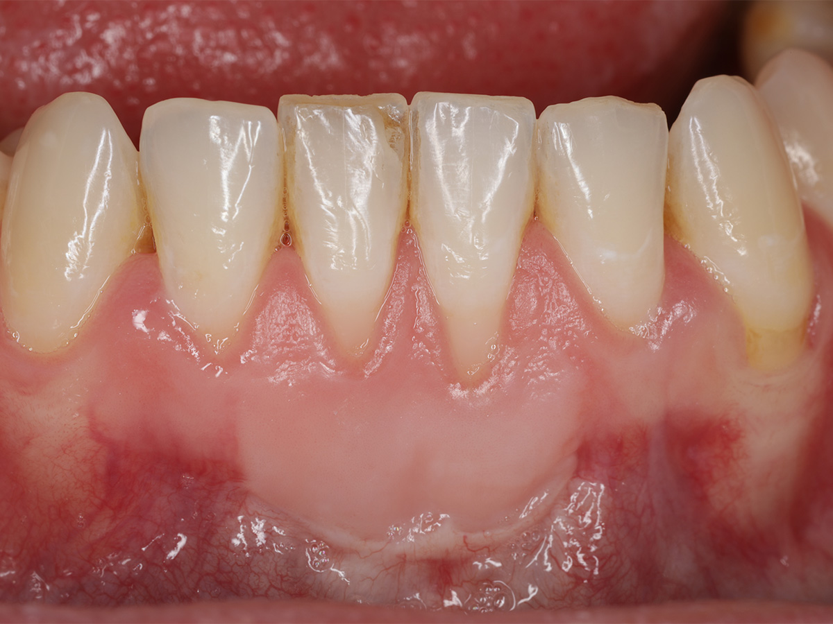
Die Heilung verlief komplikationslos und die Entfernung der Nähte und des Gewebeklebers erfolgten 14 Tage postoperativ. 13 Monate nach dem Eingriff zeigte sich ein signifikanter Zugewinn an befestigtem keratinisiertem Gewebe sowie eine deutliche Deckung der Rezessionen in regio 31/41.
Porträt Prof. Dr. Dr. Adrian Kasaj, M.Sc.
Prof. Dr. Dr. Adrian Kasaj, M.Sc.

Abbildung 1

Klinische Ausgangssituation mit Rezessionen vom Typ 1 in regio 31/41 und unzureichender Breite und Dicke an keratinisiertem Gewebe.

Abbildung 2

Präparation des Empfängerbetts für die Aufnahme eines freien Schleimhauttransplantates.

Abbildung 3

Fixation des FST mit Kreuz- und Einzelkopfnähten.

Abbildung 4

Abdeckung des Transplantates mit PeriAcryl® 90-HV Gewebekleber.

Abbildung 5

Klinische Situation 13 Monate nach Weichgewebsaugmentation.

Verwendete Produkte

Produktgalerie überspringen

Zugehörige Produkte

PeriAcryl 90 (5 ml) high viscosity mit Pipetten (50)
PeriAcryl 90 (5 ml) high viscosity mit Pipetten (50)
Artikelnr.: 7432250
Herstellernr.: P-ACRYL5(V)CEHV

149,20 €
zzgl. MwSt.
zzgl. Versand

Aktuelle Fortbildungen

2. Curriculum "The Art of Digital Dentistry"
16.
Jan.
2. Curriculum "The Art of Digital Dentistry"
Fr., 16.01.26, 09:00 - 20.06.26, 17:00 (Europe/Berlin)
München
Dr. Christian Leonhardt (klinische Leitung)
Prof. Dr. Markus Blatz (wissenschaftliche Leitung)
TEAM | 2. Curriculum "The Art of Digital Dentistry"
16.
Jan.
TEAM | 2. Curriculum "The Art of Digital Dentistry"
Fr., 16.01.26, 09:00 - 20.06.26, 17:00 (Europe/Berlin)
München
Dr. Christian Leonhardt (klinische Leitung)
Prof. Dr. Markus Blatz (wissenschaftliche Leitung)
 
26.
Feb.
4D Dentistry - das Update: Workflow, Software, Hardware, Fun
Do., 26.02.26, 20:00 - 22:00 (Europe/Berlin)
online
Dr. Christian Leonhardt
Endo Friday Meeting - Modul I
17.
Apr.
Endo Friday Meeting - Modul I
Fr., 17.04.26, 13:00 - 19:00 (Europe/Berlin)
Innsburck
ZA Eduardo Belandria
Endo Friday Meeting - Modul II
15.
Mai
Endo Friday Meeting - Modul II
Fr., 15.05.26, 13:00 - 19:00 (Europe/Berlin)
Innsburck
ZA Eduardo Belandria
Endo Friday Meeting - Modul III
05.
Juni
Endo Friday Meeting - Modul III
Fr., 05.06.26, 13:00 - 19:00 (Europe/Berlin)
Innsburck
ZA Eduardo Belandria
Kieferorthopädie heute: State of the Art - 4D
26.
Nov.
Kieferorthopädie heute: State of the Art - 4D
Do., 26.11.26, 09:00 - 28.11.26, 17:00 (Europe/Berlin)
München
Dr. Domingo Martin Salvador
Dr. Alberto Canábez Berthet