Zum Hauptinhalt springen Zur Suche springen Zur Hauptnavigation springen

Hinweis: Unser Sortiment richtet sich ausschließlich an Zahnarztpraxen, Zahnlabore und Unternehmen der Dentalbranche. Ein Verkauf an Privatpersonen ist ausgeschlossen.

Willkommen bei ADS. American Dental Systems. Gemeinsam verbessern wir die Zahnmedizin.

Behandlung einer tiefreichenden Karies an Zahn 25 distal

Tiefreichende kariöse Läsionen im distalen Bereich stellen häufig eine besondere Herausforderung dar, da sie sowohl eine präzise Kavitätenpräparation als auch eine anspruchsvolle Rekonstruktion der Kontaktpunkte erfordern. Durch Anwendung der Bioclear Evolve Matrizen konnten in diesem Fall eine ästhetisch und funktionell hochwertige Versorgung erzielt werden, die gleichzeitig minimalinvasiv und substanzschonend war.
Porträt Dr. Günter Eggert
Dr. Günter Eggert

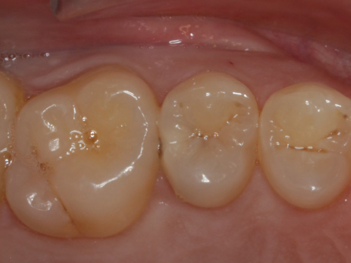
Abbildung 1

Approximalraumkaries an Zahn 25 distal

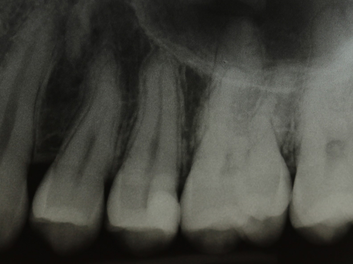
Abbildung 2

Bissflügelröntgenaufnahme

Abbildung 3

Quadrantenisolierung mit Kofferdam (x-heavy)

Abbildung 4

Schutz des Nachbarzahnes und des Kofferdams mit wiederverwandter Bioclear Biofit Matrize (gereinigt und sterilisiert); Separation zur Applikation der Matrize mit Heidemannspatel

Abbildung 5

Defektdarstellung

Abbildung 6

Kariesexcavation pulpennah mit Kunststoffrosenbohrer

Abbildung 7

Zustand nach Dentinversiegelung mit Einkomponentenadhäsiv und Lichthärtung

Abbildung 8

Nach Anschrägung der Schmelzränder und Reinigung der Kavitätenränder mit diamantierter Hubfeile

Abbildung 9

Height Indicator vor Auswahl der passenden Evolve Matrize

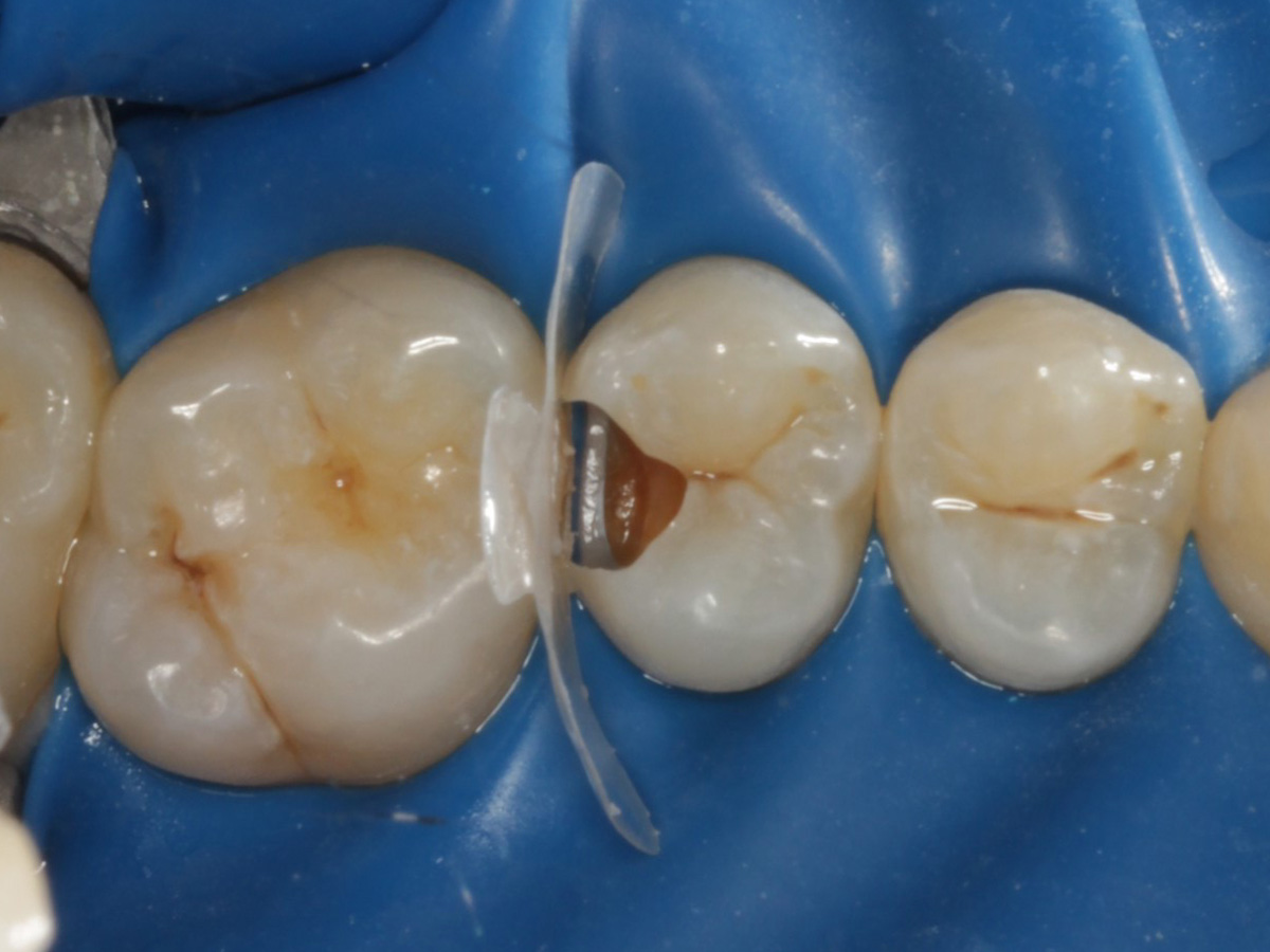
Abbildung 10

Nach Applikation der Matrize: Evolve Schwarz Prämolar- 7 mm; Schmelzätzung

Abbildung 11

Nach Spray und Trocknung der Kavität

Abbildung 12

Nach erneuter Applikation des Einkomponentenadhäsivs und tief approximal eines fließfähigen Bulkkomposits, der Lichthärtung, und der Applikation des Bioclear Diamond Wedges Medium

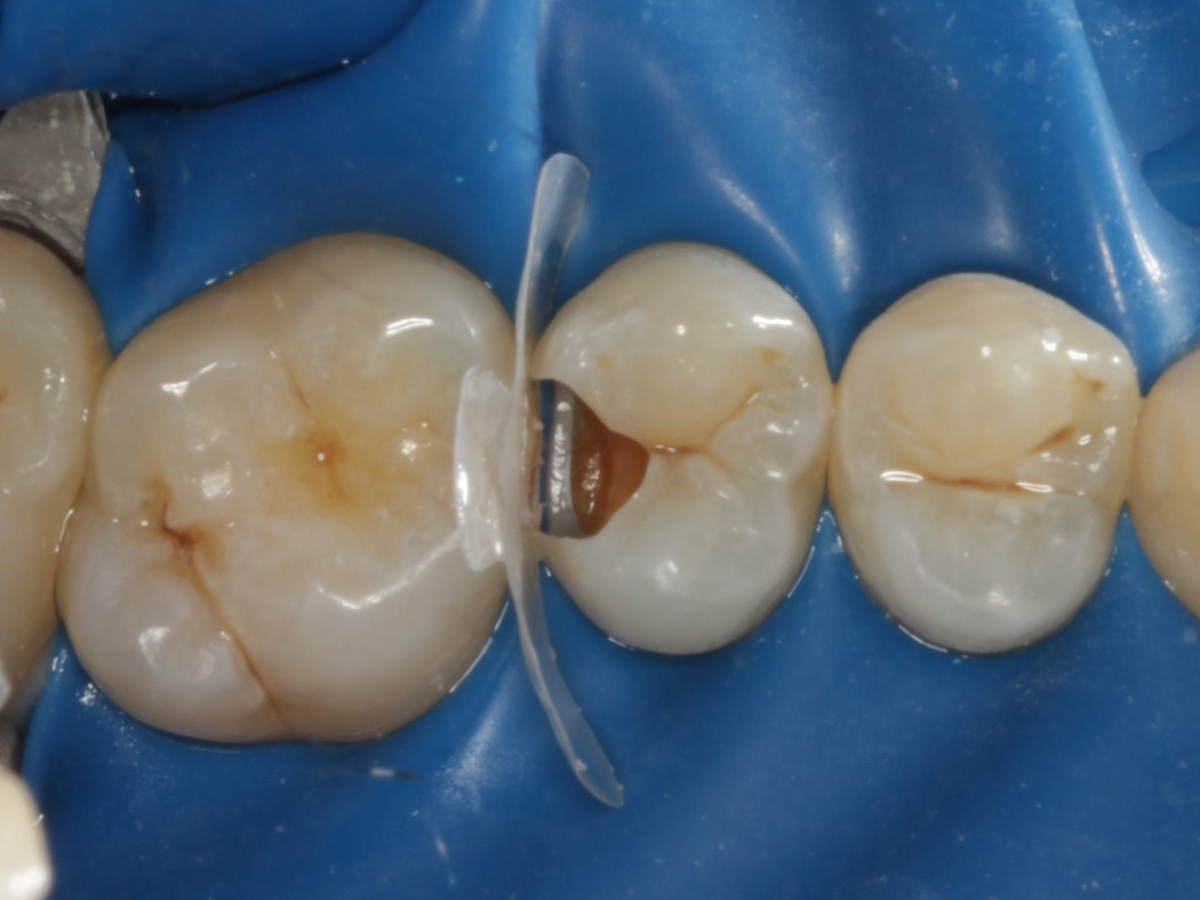
Abbildung 13

Weiteres Flowkomposit appliziert und Bioclear Twin Ring Universal angebracht

Abbildung 14

Kavität gefüllt (Injektion Moulding: Flowkomposit, erwärmtes Seitenzahnkomposit aus Karpule)

Abbildung 15

Matrize, Twinring, und Keil entfernt; weitere Lichthärtung von bukkal und oral

Abbildung 16

Überschussentfernung/ „Anpolieren“ u.a. trocken mit Sandpapierscheibe

Abbildung 17

Zahnseidenkontrolle: kein Überschuss, satter Kontaktpunkt

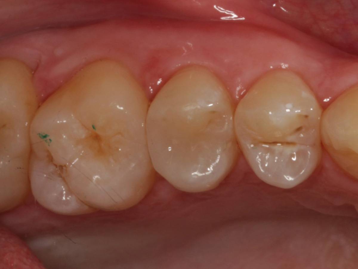
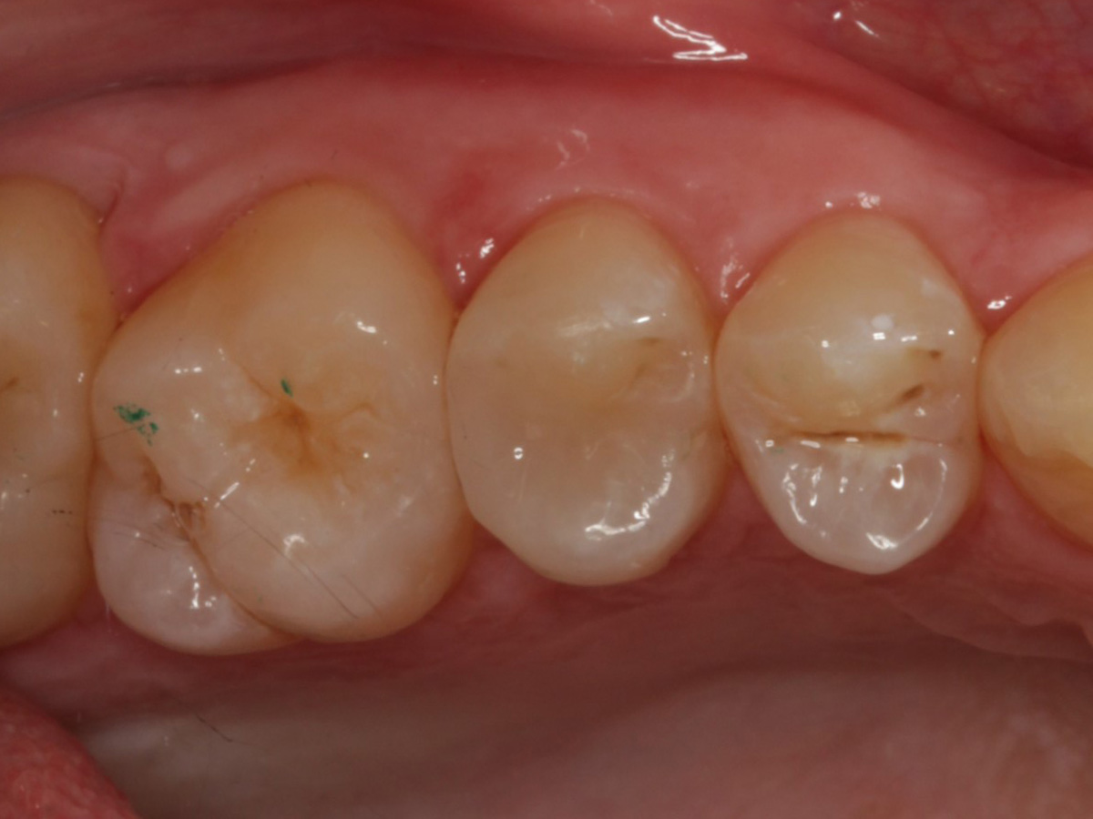
Abbildung 18

Fertige Restauration

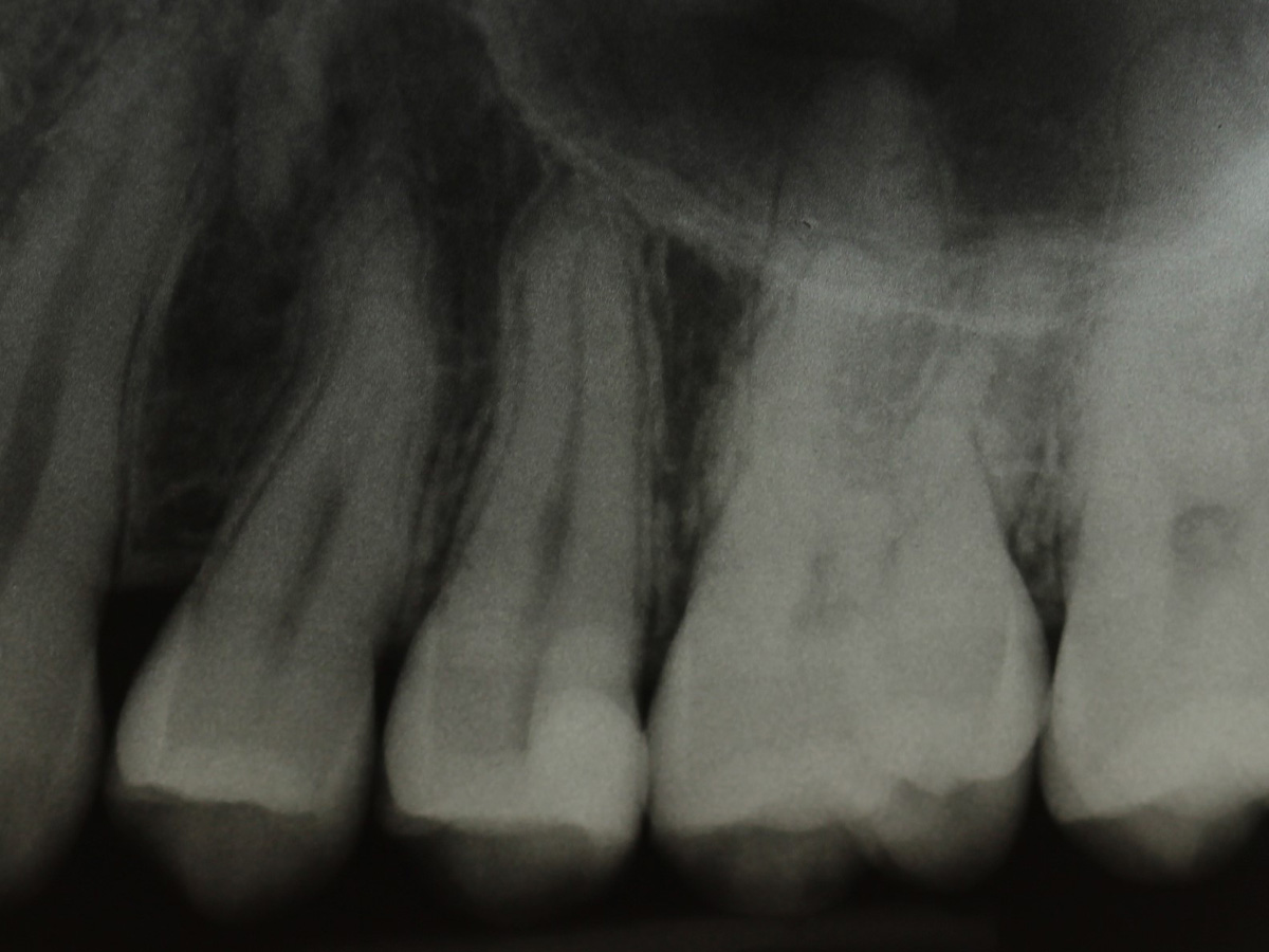
Abbildung 19

Röntgenkontrolle: approximal fast auf Knochenniveau endender spaltfreier Füllungsrand dank interproximaler tieferer Verlängerung der Evolve Matrize

Fazit

Also ich kann jetzt für mich sagen, dass die neuen Evolve Matritzen nochmal ein richtiger Schritt nach vorn hinsichtlich Formstabilität, Kantensteifigkeit, und aber insbesondere der Behandlung extrem tiefreichender (approximaler) Defekte sind. Obwohl diese Matrizen angeblich so dick sind wie die Biofit-Matrizen, sind sie gefühlt dünner und dabei gleichzeitig stabiler. Ein Riesenvorteil bei tiefer Zerstörung ist diese zusätzliche "Lasche", mit der fast alle Defekte sauber eingefasst werden können.

Verwendete Produkte

Produktgalerie überspringen

Zugehörige Produkte

Evolve Matrix Height Indicator (EMHI)
Evolve Matrix Height Indicator (EMHI)
Artikelnr.: 7961061
Herstellernr.: 500122

69,35 €
zzgl. MwSt.
zzgl. Versand

Aktuelle Fortbildungen

2. Curriculum "The Art of Digital Dentistry"
16.
Jan.
2. Curriculum "The Art of Digital Dentistry"
Fr., 16.01.26, 09:00 - 20.06.26, 17:00 (Europe/Berlin)
München
Dr. Christian Leonhardt (klinische Leitung)
Prof. Dr. Markus Blatz (wissenschaftliche Leitung)
TEAM | 2. Curriculum "The Art of Digital Dentistry"
16.
Jan.
TEAM | 2. Curriculum "The Art of Digital Dentistry"
Fr., 16.01.26, 09:00 - 20.06.26, 17:00 (Europe/Berlin)
München
Dr. Christian Leonhardt (klinische Leitung)
Prof. Dr. Markus Blatz (wissenschaftliche Leitung)
 
26.
Feb.
4D Dentistry - das Update: Workflow, Software, Hardware, Fun
Do., 26.02.26, 20:00 - 22:00 (Europe/Berlin)
online
Dr. Christian Leonhardt
Endo Friday Meeting - Modul I
17.
Apr.
Endo Friday Meeting - Modul I
Fr., 17.04.26, 13:00 - 19:00 (Europe/Berlin)
Innsburck
ZA Eduardo Belandria
Endo Friday Meeting - Modul II
15.
Mai
Endo Friday Meeting - Modul II
Fr., 15.05.26, 13:00 - 19:00 (Europe/Berlin)
Innsburck
ZA Eduardo Belandria
Endo Friday Meeting - Modul III
05.
Juni
Endo Friday Meeting - Modul III
Fr., 05.06.26, 13:00 - 19:00 (Europe/Berlin)
Innsburck
ZA Eduardo Belandria
Kieferorthopädie heute: State of the Art - 4D
26.
Nov.
Kieferorthopädie heute: State of the Art - 4D
Do., 26.11.26, 09:00 - 28.11.26, 17:00 (Europe/Berlin)
München
Dr. Domingo Martin Salvador
Dr. Alberto Canábez Berthet