Zum Hauptinhalt springen Zur Suche springen Zur Hauptnavigation springen

Hinweis: Unser Sortiment richtet sich ausschließlich an Zahnarztpraxen, Zahnlabore und Unternehmen der Dentalbranche. Ein Verkauf an Privatpersonen ist ausgeschlossen.

Willkommen bei ADS. American Dental Systems. Gemeinsam verbessern wir die Zahnmedizin.

Knochenregeneration mit der Bone-Lamina-Technik

Ein Paradigmenwechsel zeichnet sich ab: Knochenersatz war gestern, Knochenregeneration lautet heute die Devise. Mit der Bone-Lamina-Technik lässt sich die knöcherne Lamelle nicht nur verstärken, sondern sogar wieder herstellen. 

Der 38 Jahre alte Patient stellte sich in der Praxis mit Schmerzen in der Oberkieferfront vor. Die klinische Ausgangssituation lässt den Defekt aufgrund der Entzündung nur erahnen (Abb. 1). Der wurzelkanalbehandelte Zahn 11 musste wegen mehrfacher Frakturen extrahiert werden. Die Resorption des Knochens durch die endodontische apikale Läsion und die Entzündung führte zum kompletten Verlust der bukkalen Lamelle (Abb. 2). 

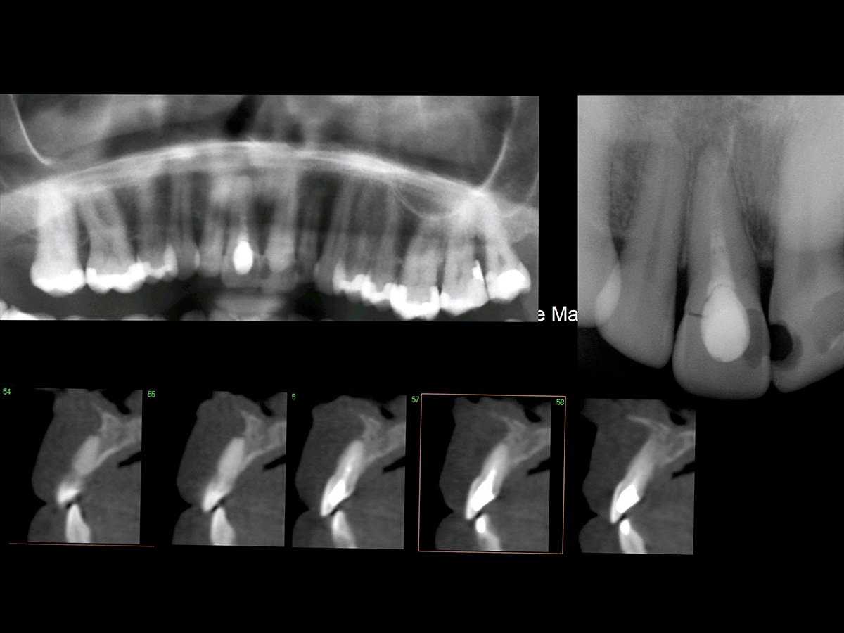
Die dreidimensionale Aufnahme verdeutlicht den nach der Extraktion des Zahns zu erwartenden Defekt. Trotz schonender Extraktion, ohne aufzuklappen, konnte das Fehlen der knöchernen bukkalen Lamelle ertastet werden. Es folgten die Präparation und die Erweiterung des Implantatbetts. Die palatinale Positionierung von Implantaten liefert in der Regel gute Ergebnisse hinsichtlich der Implantaterfolgsrate, der Stabilität des periimplantären Gewebes, des Knochenverlusts und der Patientenzufriedenheit. Das Implantat ließ sich in der idealen Position primärstabil inserieren. Zur Regeneration der knöchernen Lamelle wurde die Bone-Lamina-Technik verwendet: Es wurde ein Mukoperiostlappen mit dem Tunnelinstrument präpariert, um die porcine kortikale Knochenmatrix (Osteo- Biol Soft Cortical Lamina, Tecnoss) einbringen zu können. Die Präparation wurde minimalinvasiv und ohne Inzision durchgeführt. Die Distanz zwischen dem palatinal inserierten Implantat und der bukkal eingebrachten Bone-Lamina füllten wir mit resorbierbarem knochenregenerativem Material, der deproteinierten bovinen Knochenmatrix OsteoBiol mp3 (Tecnoss), auf. Vor dem Eingriff wurde eine Funktionsanalyse durchgeführt und Meistermodelle wurden angefertigt. Da das Implantat sehr primärstabil eingebracht werden konnte, wurde direkt nach der Operation ein Abformpfosten gesetzt und mit einem Index versehen. Dadurch kann ohne eine Abformung die exakte Implantatposition dem Zahntechniker übermittelt werden. Postoperativ wurde der Patient instruiert, dreimal täglich mit 0,2 % Chlorhexidindigluconat bis zur Nahtentfernung zu spülen. Zusätzlich wurden für drei Tage Ibuprofen 600 mg, Amoxicillin und Clavulansäure verschrieben. 

Der Zahntechniker übertrug die Implantatposition auf das Meistermodell und fertigte am selben Tag das definitive Abutment mit dem idealen Emergenzprofil und eine provisorische Krone an. So konnte der Patient direkt mit dem definitiven Abutment versorgt werden. Nach einer Einheilphase von drei Monaten wurde zur Stabilität der peri - implantären Weichgewebsarchitektur das Gewebe verdickt. Eine sehr gute Technik dafür ist die Entnahme eines entepithelialisierten Transplantats aus der Tuberregion. Dies wurde mit der Tunneltechnik eingebracht und mit Nähten fixiert. Die definitive Versorgung des Implantats erfolgte nach einer Einheilzeit von acht Wochen. Im finalen Bild lässt sich gut erkennen, dass das Volumen erhalten werden konnte.
Porträt Dr. Paul Leonhard Schuh
Dr. Paul Leonhard Schuh
Porträt Prof. Dr. Hannes Wachtel
Prof. Dr. Hannes Wachtel

Abbildung 1

Ausgangssituation

Abbildung 2

Die Resorption des Knochens durch die endodontische apikale Läsion und die Entzündung führte zum kompletten Verlust der bukkalen Lamelle.

Abbildung 3

Implantatinsertion.

Abbildung 4

Es wurde ein Mukoperiostlappen mit dem Tunnelinstrument präpariert...

Abbildung 5

... um die porcine, kortikale Knochenmatrix (OsteoBiol Soft Cortical Lamina, Tecnoss) einbringen zu können.

Abbildung 6

Da das Implantat sehr primärstabil eingebracht werden konnte, wurde direkt nach der Operation ein Abformpfosten gesetzt und mit einem Index versehen.

Abbildung

Definitives Abutment.

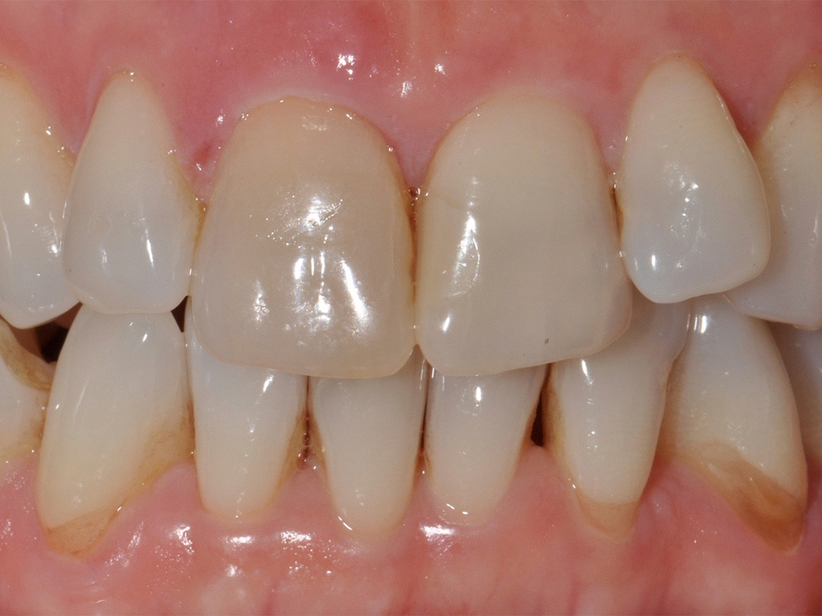
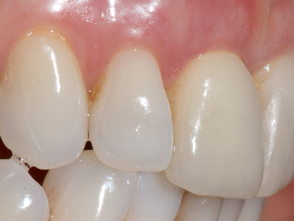
Definitive Versorgung.Trotz des großen Defekts ließ sich ein sehr gutes Ergebnis erzielen.

Fazit

Trotz des großen Defekts ließ sich in diesem Fall ein sehr gutes Ergebnis erzielen. Durch die Bone-Lamina-Technik kann bei der Sofortimplantation die vestibuläre knöcherne Wand verstärkt oder sogar wieder hergestellt werden. Die Technik ermöglicht eine biologische Regeneration von vitalem Knochen. Somit kann das Volumen der Alveole erhalten werden. Dieses präventive einzeitige Vorgehen ermöglicht es, in der Front eine ideale Ausgangssituation für den Langzeiterfolg und die Ästhetik zu schaffen. Um den Erfolg und die Stabilität des Behandlungsergebnisses dieser Methode nach Jahren bestätigen zu können, sind weitere Langzeitstudien abzuwarten.

Verwendete Produkte

Produktgalerie überspringen

Zugehörige Produkte

mp3® Porcine (3x0,5 cc Spritze)
mp3® Porcine (3x0,5 cc Spritze)
Artikelnr.: 6310100
Herstellernr.: A3015FS

316,20 €
zzgl. MwSt.
zzgl. Versand
mp3® Porcine (1x1,0 cc Spritze)
mp3® Porcine (1x1,0 cc Spritze)
Artikelnr.: 6310110
Herstellernr.: A3005FS

138,05 €
zzgl. MwSt.
zzgl. Versand
mp3® Porcine (3x1,0 cc Spritze)
mp3® Porcine (3x1,0 cc Spritze)
Artikelnr.: 6310120
Herstellernr.: A3030FS

414,15 €
zzgl. MwSt.
zzgl. Versand
Soft Cortical Lamina® Fine Porcine 25x25x0,5 mm, dehydriert
Soft Cortical Lamina® Fine Porcine 25x25x0,5 mm, dehydriert
Artikelnr.: 6311020
Herstellernr.: LS25FS

197,00 €
zzgl. MwSt.
zzgl. Versand

Aktuelle Fortbildungen

2. Curriculum "The Art of Digital Dentistry"
16.
Jan.
2. Curriculum "The Art of Digital Dentistry"
Fr., 16.01.26, 09:00 - 20.06.26, 17:00 (Europe/Berlin)
München
Dr. Christian Leonhardt (klinische Leitung)
Prof. Dr. Markus Blatz (wissenschaftliche Leitung)
TEAM | 2. Curriculum "The Art of Digital Dentistry"
16.
Jan.
TEAM | 2. Curriculum "The Art of Digital Dentistry"
Fr., 16.01.26, 09:00 - 20.06.26, 17:00 (Europe/Berlin)
München
Dr. Christian Leonhardt (klinische Leitung)
Prof. Dr. Markus Blatz (wissenschaftliche Leitung)
 
26.
Feb.
4D Dentistry - das Update: Workflow, Software, Hardware, Fun
Do., 26.02.26, 20:00 - 22:00 (Europe/Berlin)
online
Dr. Christian Leonhardt
Endo Friday Meeting - Modul I
17.
Apr.
Endo Friday Meeting - Modul I
Fr., 17.04.26, 13:00 - 19:00 (Europe/Berlin)
Innsburck
ZA Eduardo Belandria
Endo Friday Meeting - Modul II
15.
Mai
Endo Friday Meeting - Modul II
Fr., 15.05.26, 13:00 - 19:00 (Europe/Berlin)
Innsburck
ZA Eduardo Belandria
Endo Friday Meeting - Modul III
05.
Juni
Endo Friday Meeting - Modul III
Fr., 05.06.26, 13:00 - 19:00 (Europe/Berlin)
Innsburck
ZA Eduardo Belandria
Kieferorthopädie heute: State of the Art - 4D
26.
Nov.
Kieferorthopädie heute: State of the Art - 4D
Do., 26.11.26, 09:00 - 28.11.26, 17:00 (Europe/Berlin)
München
Dr. Domingo Martin Salvador
Dr. Alberto Canábez Berthet