Zum Hauptinhalt springen Zur Suche springen Zur Hauptnavigation springen

Hinweis: Unser Sortiment richtet sich ausschließlich an Zahnarztpraxen, Zahnlabore und Unternehmen der Dentalbranche. Ein Verkauf an Privatpersonen ist ausgeschlossen.

Willkommen bei ADS. American Dental Systems. Gemeinsam verbessern wir die Zahnmedizin.

Kompositfüllung bei Zahnhalsdefekten im Oberkiefer-Seitenzahnbereich

Ein 50-jähriger männlicher Patient (Nichtraucher) stellte sich mit einem generalisiertem Zahnhalsdefekt in der Praxis vor. Da eine PA-chirurgische Therapie für den Patienten nicht in Frage kam, wurden im vorliegenden Fall Komposit-Füllungen eingesetzt.
Porträt Dr. Franziska Mamak
Dr. Franziska Mamak

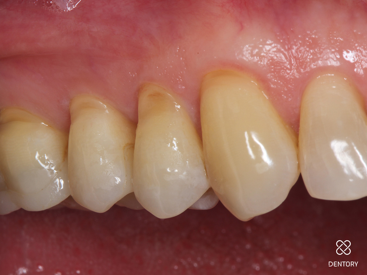
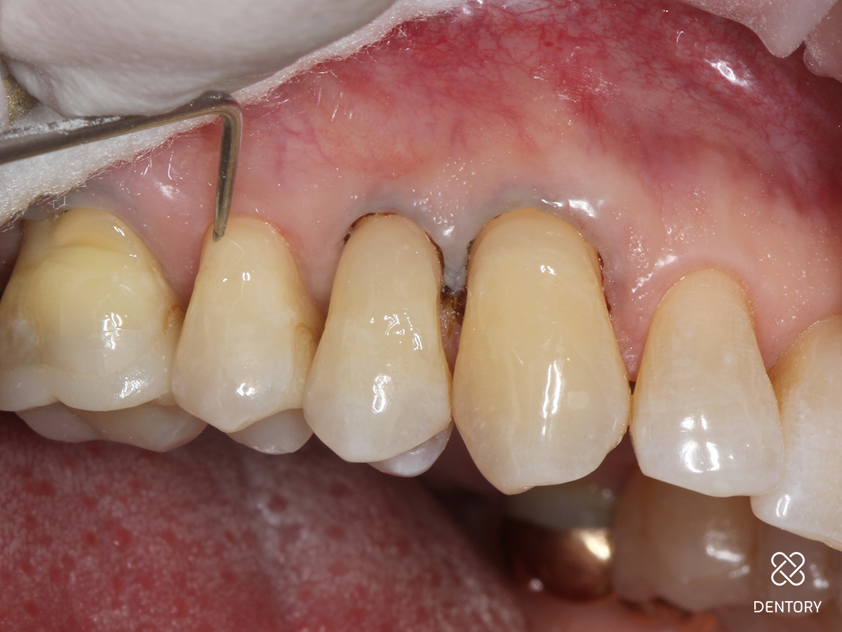
Abbildung 1

Ausgangssituation: Generalisierte Zahnhalsdefekte im Oberkiefer

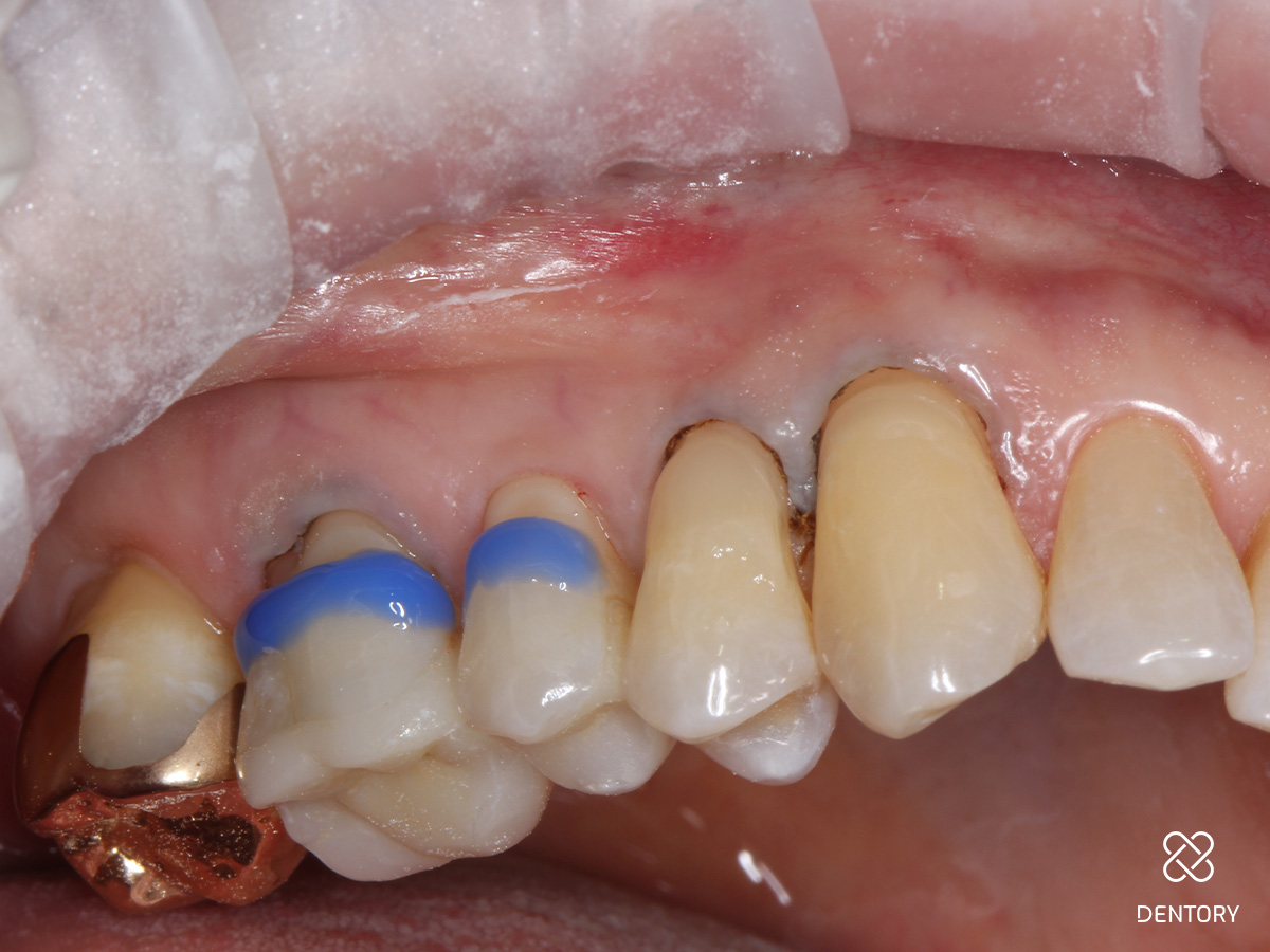
Abbildung 2

Beurteilung der Lage der Kavität nach zervikal. Liegt der Defekt supragingival, kann auf den Sulkus-Faden verzichtet werden. Liegt der Defekt äquigingival oder subgingival wird ein 00-Faden gelegt.

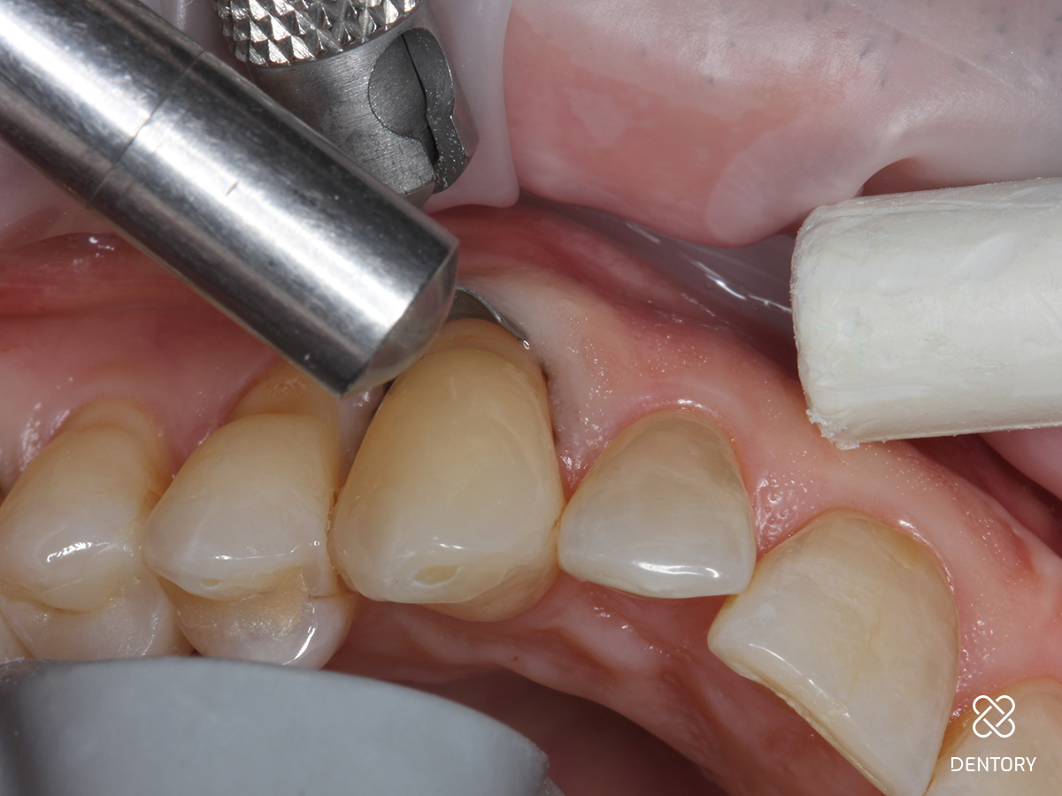
Abbildung 3

Zunächst Beläge und Biofilm sauber entfernen. Um eine Blutung des umgebenden Gewebes zu verhindern, wird ein Gingiva Schutzhalter angelegt. Das Instrument lässt sich schnell individuell anpassen und dem Zahnhals entsprechend formen. Die Gingiva wird leicht nach unten geschoben, um einen perfekten Sitz des Instrumentes zu garantieren.

Abbildung 4

Es erfolgt die Schmelzätzung - nach ca. 10 Sekunden dann die Dentinätzung - nach 30 Sekunden die saubere Entfernung des Ätzgels. Überreste werden nach zervikal abgesaugt, danach erfolgt die Lichthärtung für 20 Sekunden.

Abbildung 5

Auftragen des Komposits: Verwendung eines flowable Komposit. Farbauswahl findet vorab statt. Den Flow-Tropfen mittig Richtung zervikal platzieren.

Abbildung 6

Ziel: Mit der Sonde das Material so perfekt an den Rand der Kavität fließen lassen, dass es bereits ohne Ausarbeitung einen perfekten Randabschluss bildet. In dem Moment, wenn das Material an den Rand geflossen ist, wird unmittelbar lichtgehärtet, um ein weiteres Fließen über den Rand hinaus zu verhindern. Ist der zervikale Bereich gestaltet, werden die Bereiche nach koronal gerichtet.

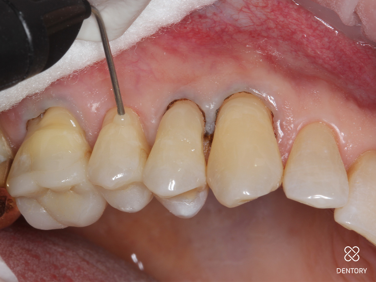
Abbildung 7

Entfernung der Bondingreste: Nach sicherem Durchhärten werden die eventuell überstehenden Füllungsränder oder Überreste des Bondings mit einer EVA-Feile vorsichtig entfernt - der Faden wird hierbei belassen, somit wird das Gewebe weniger verletzt. Mit einer Sonde wird getestet, ob alle Ränder einen glatten Übergang aufweisen. Achtung: Politur der Füllung mit Komposit-Polierern (Kelche eignen sich besonders gut).

Abbildung 8

Beim Kontrolltermin nach 2 Wochen.

Verwendete Produkte

Produktgalerie überspringen

Zugehörige Produkte

inspiro Flowable Body i1 Spritze (1x1,5 g)
inspiro Flowable Body i1 Spritze (1x1,5 g)
Artikelnr.: 7271601
Herstellernr.: 3610

44,10 €
zzgl. MwSt.
zzgl. Versand
inspiro Flowable Body i2 Spritze (1x1,5 g)
inspiro Flowable Body i2 Spritze (1x1,5 g)
Artikelnr.: 7271602
Herstellernr.: 3620

44,10 €
zzgl. MwSt.
zzgl. Versand
inspiro Flowable Body i3 Spritze (1x1,5 g)
inspiro Flowable Body i3 Spritze (1x1,5 g)
Artikelnr.: 7271603
Herstellernr.: 3630

44,10 €
zzgl. MwSt.
zzgl. Versand
inspiro Flowable Body i4 Spritze (1x1,5 g)
inspiro Flowable Body i4 Spritze (1x1,5 g)
Artikelnr.: 7271604
Herstellernr.: 3640

44,10 €
zzgl. MwSt.
zzgl. Versand
inspiro Flowable Body i5 Spritze (1x1,5 g)
inspiro Flowable Body i5 Spritze (1x1,5 g)
Artikelnr.: 7271605
Herstellernr.: 3650

44,10 €
zzgl. MwSt.
zzgl. Versand
inspiro Flowable Body i6 Spritze (1x1,5 g)
inspiro Flowable Body i6 Spritze (1x1,5 g)
Artikelnr.: 7271606
Herstellernr.: 3660

44,10 €
zzgl. MwSt.
zzgl. Versand
inspiro Flowable Body i7 Spritze (1x1,5 g)
inspiro Flowable Body i7 Spritze (1x1,5 g)
Artikelnr.: 7271607
Herstellernr.: 3670

44,10 €
zzgl. MwSt.
zzgl. Versand
Smartcord Retraktionsfaden #0 gestrickt - 305 cm (1)
Smartcord Retraktionsfaden #0 gestrickt - 305 cm (1)
Artikelnr.: 7453582
Herstellernr.: Size 0

13,20 €
zzgl. MwSt.
zzgl. Versand
ETCH-37 4 Spritzen (je 5 g) + Tips
ETCH-37 4 Spritzen (je 5 g) + Tips
Artikelnr.: 7940054
Herstellernr.: E-5503EM

66,30 €
zzgl. MwSt.
zzgl. Versand

Aktuelle Fortbildungen

2. Curriculum "The Art of Digital Dentistry"
16.
Jan.
2. Curriculum "The Art of Digital Dentistry"
Fr., 16.01.26, 09:00 - 20.06.26, 17:00 (Europe/Berlin)
München
Dr. Christian Leonhardt (klinische Leitung)
Prof. Dr. Markus Blatz (wissenschaftliche Leitung)
TEAM | 2. Curriculum "The Art of Digital Dentistry"
16.
Jan.
TEAM | 2. Curriculum "The Art of Digital Dentistry"
Fr., 16.01.26, 09:00 - 20.06.26, 17:00 (Europe/Berlin)
München
Dr. Christian Leonhardt (klinische Leitung)
Prof. Dr. Markus Blatz (wissenschaftliche Leitung)
 
26.
Feb.
4D Dentistry - das Update: Workflow, Software, Hardware, Fun
Do., 26.02.26, 20:00 - 22:00 (Europe/Berlin)
online
Dr. Christian Leonhardt
Endo Friday Meeting - Modul I
17.
Apr.
Endo Friday Meeting - Modul I
Fr., 17.04.26, 13:00 - 19:00 (Europe/Berlin)
Innsburck
ZA Eduardo Belandria
Endo Friday Meeting - Modul II
15.
Mai
Endo Friday Meeting - Modul II
Fr., 15.05.26, 13:00 - 19:00 (Europe/Berlin)
Innsburck
ZA Eduardo Belandria
Endo Friday Meeting - Modul III
05.
Juni
Endo Friday Meeting - Modul III
Fr., 05.06.26, 13:00 - 19:00 (Europe/Berlin)
Innsburck
ZA Eduardo Belandria
Kieferorthopädie heute: State of the Art - 4D
26.
Nov.
Kieferorthopädie heute: State of the Art - 4D
Do., 26.11.26, 09:00 - 28.11.26, 17:00 (Europe/Berlin)
München
Dr. Domingo Martin Salvador
Dr. Alberto Canábez Berthet