Zum Hauptinhalt springen Zur Suche springen Zur Hauptnavigation springen

Hinweis: Unser Sortiment richtet sich ausschließlich an Zahnarztpraxen, Zahnlabore und Unternehmen der Dentalbranche. Ein Verkauf an Privatpersonen ist ausgeschlossen.

Willkommen bei ADS. American Dental Systems. Gemeinsam verbessern wir die Zahnmedizin.

Laterale Augmentation mittels Bone Lamina und mp3

In diesem Fall war bereits aus der präoperativen DVT-Planung ersichtlich, dass die vorhandene Breite des Alveolarkammes zu schmal ist, um ein Implantat mit der Breite 3,25/3,4 Biomet 3i aufzunehmen. Intraoperativ wurde das Implantat so gesetzt, dass es koronal zwar mit einer ca. 2-3 mm breiten Knochenmanschette ummantelt war, der Rest der Implantatzirkumferenz aber außerhalb des Alveolarkammes zu liegen kam. Nach Anfrischung des periimplantären kortikalen Knochenbettes mit Rosenbohrern wurde eine Bone Lamina angepasst und mit zwei Frioss-Nägeln stabilisiert. Der dadurch entstandene Hohlraum wurde mit mp3 aufgefüllt. 5 Monate postoperativ wurde das Implantat freigelegt und die bukkale Knochenbildung dargestellt.
Porträt PD DDr. Michael Weinländer
PD DDr. Michael Weinländer

Abbildung 1

Präoperative Ausgangslage der atrophen Knochensituation mit geplantem Implantat.

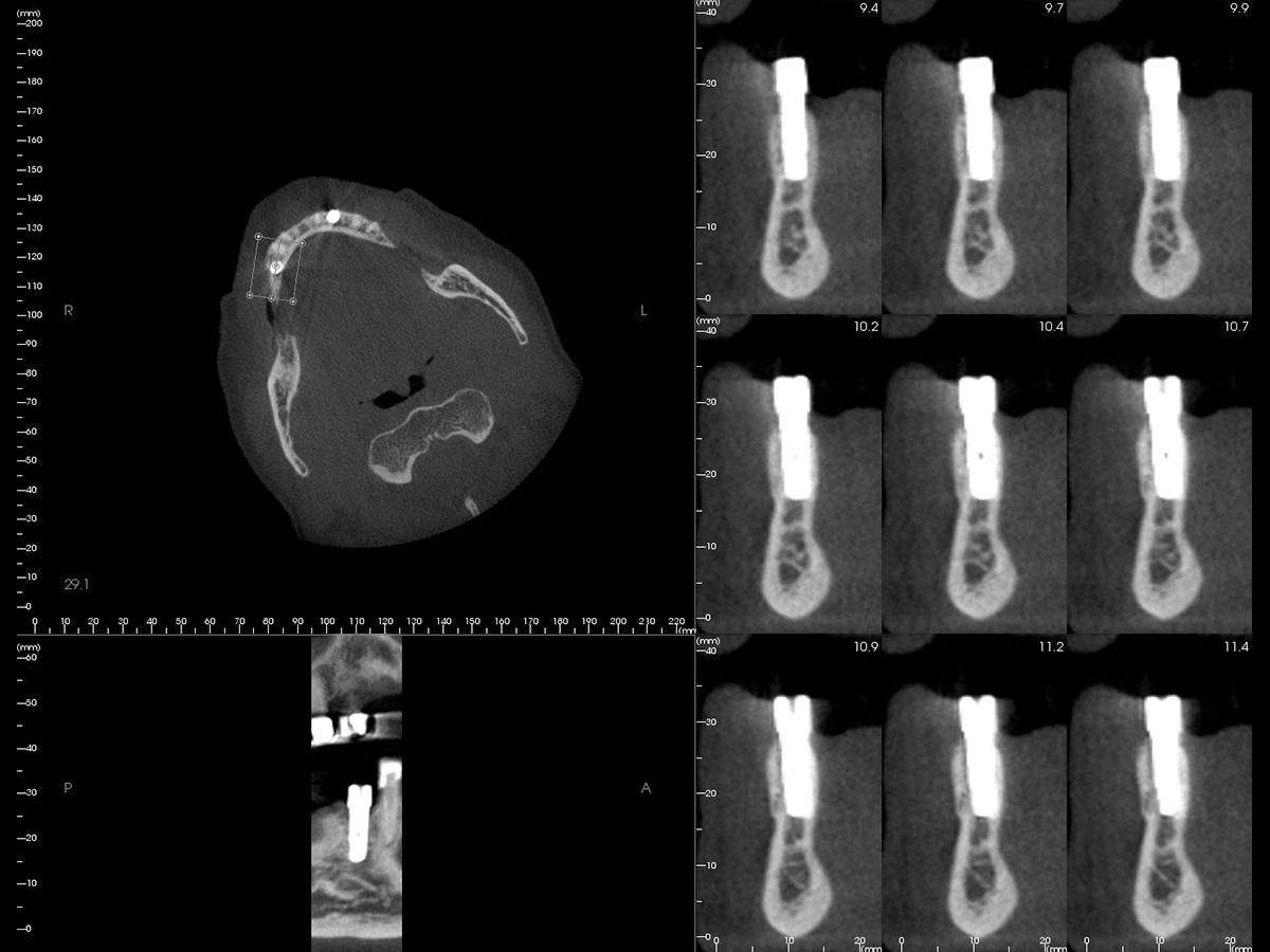
Abbildung 2

DVT mit Implantatplanung zeigt die atrophe Knochensituation mit geplantem Implantat.

Abbildung 3

3D-Darstellung der geplanten Implantatposition.

Abbildung 4

Intraoperative Situation mit koronaler Knochenbrücke und extraalveolär imponierendem Implantat (Biomet 3,2 x 13).

Abbildung 5a

Intraoperative Augmentation...

Abbildung 5b

nach Anfrischung des ortsständigen Knochens mit Bone Lamina/mp3...

Abbildung 5c

sowie Nagelung mit Frioss-Nägeln.

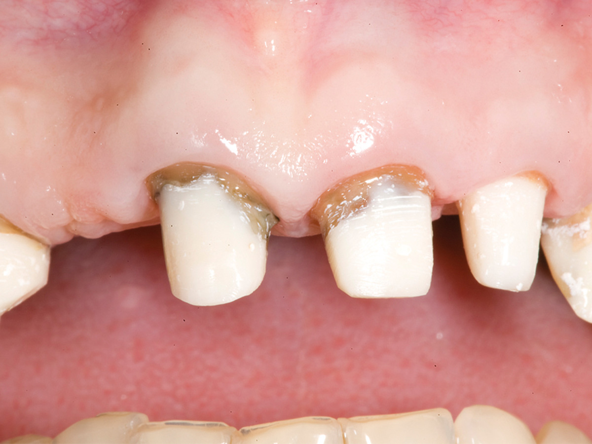
Abbildung 6

Situation 1 Woche post-OP.

Abbildung 7

Situation 1 Woche post-OP mit Provisorium.

Abbildung 8

6 Monate post-OP.

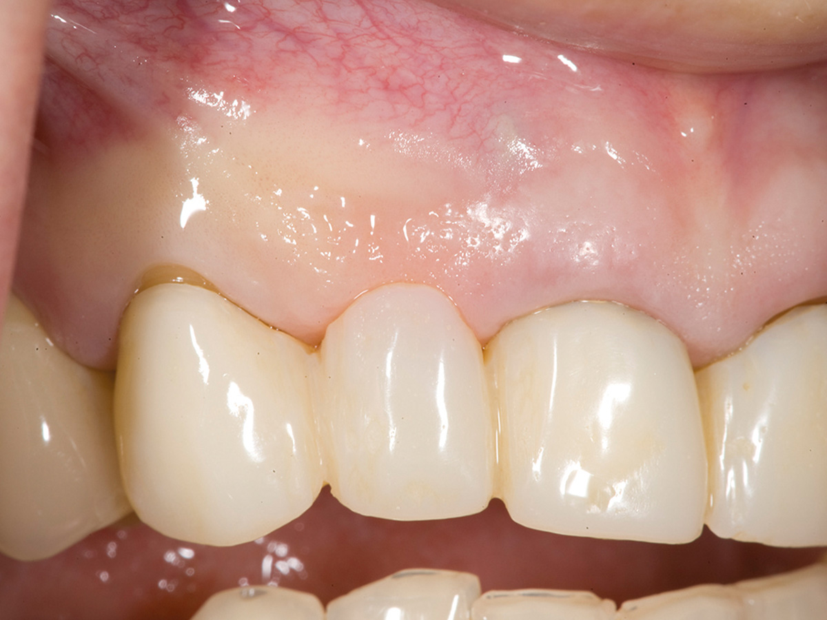
Abbildung 9

6 Monate post-OP nach Freilegung. Zu beachten ist der Alveolarkamm im Gegensatz zum Ausgangsbefund.

Abbildung 10a

Kontrollbilder...

Abbildung 10b

nach...

Abbildung 10c

6 Monaten.

Verwendete Produkte

Produktgalerie überspringen

Zugehörige Produkte

mp3® Porcine (1x1,0 cc Spritze)
mp3® Porcine (1x1,0 cc Spritze)
Artikelnr.: 6310110
Herstellernr.: A3005FS

138,05 €
zzgl. MwSt.
zzgl. Versand
Soft Cortical Lamina® Fine Porcine 25x25x0,5 mm, dehydriert
Soft Cortical Lamina® Fine Porcine 25x25x0,5 mm, dehydriert
Artikelnr.: 6311020
Herstellernr.: LS25FS

197,00 €
zzgl. MwSt.
zzgl. Versand

Aktuelle Fortbildungen

2. Curriculum "The Art of Digital Dentistry"
16.
Jan.
2. Curriculum "The Art of Digital Dentistry"
Fr., 16.01.26, 09:00 - 20.06.26, 17:00 (Europe/Berlin)
München
Dr. Christian Leonhardt (klinische Leitung)
Prof. Dr. Markus Blatz (wissenschaftliche Leitung)
TEAM | 2. Curriculum "The Art of Digital Dentistry"
16.
Jan.
TEAM | 2. Curriculum "The Art of Digital Dentistry"
Fr., 16.01.26, 09:00 - 20.06.26, 17:00 (Europe/Berlin)
München
Dr. Christian Leonhardt (klinische Leitung)
Prof. Dr. Markus Blatz (wissenschaftliche Leitung)
 
26.
Feb.
4D Dentistry - das Update: Workflow, Software, Hardware, Fun
Do., 26.02.26, 20:00 - 22:00 (Europe/Berlin)
online
Dr. Christian Leonhardt
Endo Friday Meeting - Modul I
17.
Apr.
Endo Friday Meeting - Modul I
Fr., 17.04.26, 13:00 - 19:00 (Europe/Berlin)
Innsburck
ZA Eduardo Belandria
Endo Friday Meeting - Modul II
15.
Mai
Endo Friday Meeting - Modul II
Fr., 15.05.26, 13:00 - 19:00 (Europe/Berlin)
Innsburck
ZA Eduardo Belandria
Endo Friday Meeting - Modul III
05.
Juni
Endo Friday Meeting - Modul III
Fr., 05.06.26, 13:00 - 19:00 (Europe/Berlin)
Innsburck
ZA Eduardo Belandria
Kieferorthopädie heute: State of the Art - 4D
26.
Nov.
Kieferorthopädie heute: State of the Art - 4D
Do., 26.11.26, 09:00 - 28.11.26, 17:00 (Europe/Berlin)
München
Dr. Domingo Martin Salvador
Dr. Alberto Canábez Berthet