Zum Hauptinhalt springen Zur Suche springen Zur Hauptnavigation springen

Hinweis: Unser Sortiment richtet sich ausschließlich an Zahnarztpraxen, Zahnlabore und Unternehmen der Dentalbranche. Ein Verkauf an Privatpersonen ist ausgeschlossen.

Willkommen bei ADS. American Dental Systems. Gemeinsam verbessern wir die Zahnmedizin.

Natürliches Schichtkonzept mit inspiro

Im folgenden Fall zeigt Dr. Didier Dietsch wie eri zwei ästhetisch und anatomisch mangelhaft angepasste Komposit­-Veneers mit Hilfe des inspiro Direktsystems ersetzte. Dank des natürlichen Schichtkonzepts erzielte Dr. Dietschi ein natürlich anmutendes, ästhetisches Ergebnis.
Porträt PD Dr. Didier Dietschi
PD Dr. Didier Dietschi

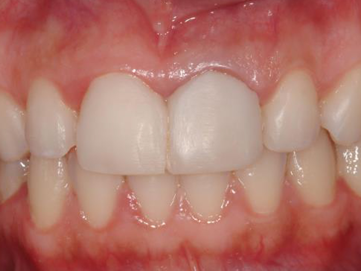
Abbildung 1

Die präoperative Ansicht zeigt die schlechte Anpassung der bisherigen direkten Komposit-Veneers an den Zähnen 11 und 21 sowie die daraus resultierende Entzündung am Zahnfleisch: Die interdentale Papille wurde dadurch abgeflacht.

Abbildung 2

Vorbereitungen: Der linke Schneidezahn ist nicht vital.

Abbildung 3

Die Verwendung von Kofferdam ist in diesem Falle entscheidend, um ein trockenes und sauberes Arbeitsfeld zu gewährleisten. Die Bänder aus Zahnseide sichern den Kofferdam in der richtigen Position. Eine zusätzliche Hilfe stellt dabei der Bonding Agent dar, mit dem die Zahnseide imprägniert wurde.

Abbildung 4

Vor Behandlungsbeginn wurde ein Silikonschlüssel angefertigt, der als Referenz für den Aufbau der inzisalen Kanten dient.

Abbildung 5

Polymerisation der DentinSchicht(inspiro Body i2); die Ansicht des Profils entspricht genau der visuellen Perspektive des Behandlers, wodurch ermöglicht wird, das Profil während des Aufbaus/Schichtens zu verifizieren.

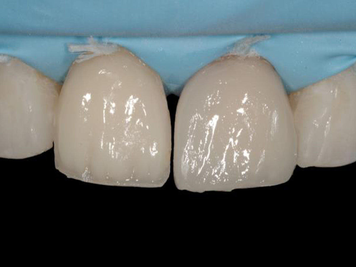
Abbildung 6

Diese Abbildung zeigt das inzisale Cut-Back der Dentinschicht, die notwendig ist, um eine natürliche Erscheinung der neuen inzisalen Kanten zu ermöglichen.

Abbildung 7

Die inzisale Ansicht bringt die dritte Dimension; dieser 3D-Ansatz ermöglicht es, die Formen und Mengen während des Schichtens und der Fertigstellung der direkten Kompositrestauration.

Abbildung 8

In dieser Abbildung ist das fertiggestellte Veneer am linken Schneidezahn, nach erfolgter Applikation der Schneide-Schicht (inspiro Skin White) zu sehen.

Abbildung 9

Zu sehen sind die beiden Veneers nach der Fertigstellung der beiden Zahn-Schichtungen, vor dem Polieren.

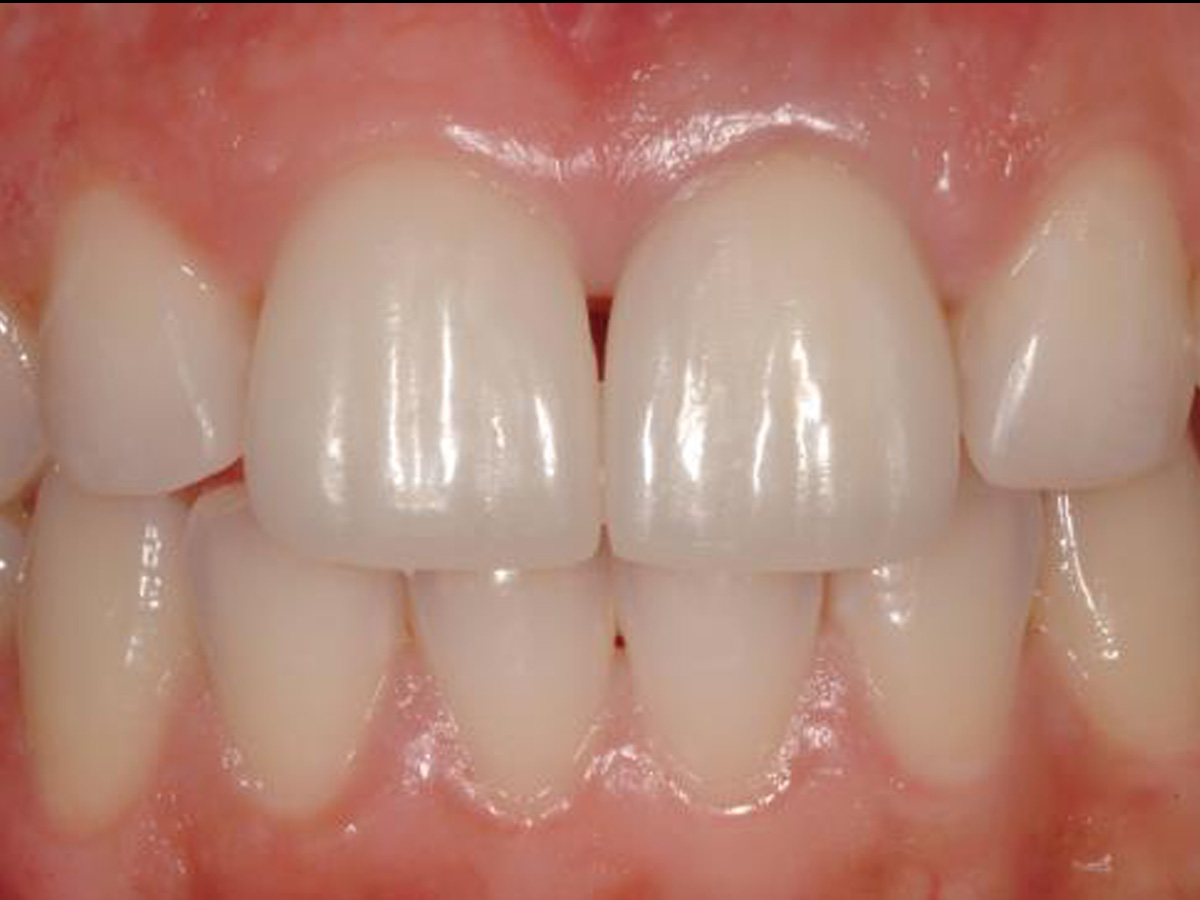
Abbildung 10

Post-operative Ansicht, drei Tage nach der Restauration der beiden Veneers; besonders beachtenswert ist die exzellente Abheilung des Weichgewebes. Für diesen Fall wurde keine opake Basis verwendet.

Verwendete Produkte

Produktgalerie überspringen

Zugehörige Produkte

inspiro Master Kit Compule
inspiro Master Kit Compule
Artikelnr.: 7271100
Herstellernr.: 3010

1.621,80 €
zzgl. MwSt.
zzgl. Versand
inspiro Master Kit Syringe
inspiro Master Kit Syringe
Artikelnr.: 7271110
Herstellernr.: 3020

1.199,55 €
zzgl. MwSt.
zzgl. Versand
inspiro Intro Kit Compule
inspiro Intro Kit Compule
Artikelnr.: 7271120
Herstellernr.: 3030

1.236,25 €
zzgl. MwSt.
zzgl. Versand
inspiro Intro Kit Syringe
inspiro Intro Kit Syringe
Artikelnr.: 7271130
Herstellernr.: 3040

801,75 €
zzgl. MwSt.
zzgl. Versand
inspiro Body i0 Spritze (1x3 g)
inspiro Body i0 Spritze (1x3 g)
Artikelnr.: 7271400
Herstellernr.: 3400

75,90 €
zzgl. MwSt.
zzgl. Versand
inspiro Body i1 Spritze (1x3 g)
inspiro Body i1 Spritze (1x3 g)
Artikelnr.: 7271401
Herstellernr.: 3410

75,90 €
zzgl. MwSt.
zzgl. Versand
inspiro Body i2 Spritze (1x3 g)
inspiro Body i2 Spritze (1x3 g)
Artikelnr.: 7271402
Herstellernr.: 3420

75,90 €
zzgl. MwSt.
zzgl. Versand
inspiro Body i3 Spritze (1x3 g)
inspiro Body i3 Spritze (1x3 g)
Artikelnr.: 7271403
Herstellernr.: 3430

75,90 €
zzgl. MwSt.
zzgl. Versand
inspiro Body i4 Spritze (1x3 g)
inspiro Body i4 Spritze (1x3 g)
Artikelnr.: 7271404
Herstellernr.: 3440

75,90 €
zzgl. MwSt.
zzgl. Versand
inspiro Body i5 Spritze (1x3 g)
inspiro Body i5 Spritze (1x3 g)
Artikelnr.: 7271405
Herstellernr.: 3450

75,90 €
zzgl. MwSt.
zzgl. Versand

Aktuelle Fortbildungen

2. Curriculum "The Art of Digital Dentistry"
16.
Jan.
2. Curriculum "The Art of Digital Dentistry"
Fr., 16.01.26, 09:00 - 20.06.26, 17:00 (Europe/Berlin)
München
Dr. Christian Leonhardt (klinische Leitung)
Prof. Dr. Markus Blatz (wissenschaftliche Leitung)
TEAM | 2. Curriculum "The Art of Digital Dentistry"
16.
Jan.
TEAM | 2. Curriculum "The Art of Digital Dentistry"
Fr., 16.01.26, 09:00 - 20.06.26, 17:00 (Europe/Berlin)
München
Dr. Christian Leonhardt (klinische Leitung)
Prof. Dr. Markus Blatz (wissenschaftliche Leitung)
 
26.
Feb.
4D Dentistry - das Update: Workflow, Software, Hardware, Fun
Do., 26.02.26, 20:00 - 22:00 (Europe/Berlin)
online
Dr. Christian Leonhardt
Endo Friday Meeting - Modul I
17.
Apr.
Endo Friday Meeting - Modul I
Fr., 17.04.26, 13:00 - 19:00 (Europe/Berlin)
Innsburck
ZA Eduardo Belandria
Endo Friday Meeting - Modul II
15.
Mai
Endo Friday Meeting - Modul II
Fr., 15.05.26, 13:00 - 19:00 (Europe/Berlin)
Innsburck
ZA Eduardo Belandria
Endo Friday Meeting - Modul III
05.
Juni
Endo Friday Meeting - Modul III
Fr., 05.06.26, 13:00 - 19:00 (Europe/Berlin)
Innsburck
ZA Eduardo Belandria
Kieferorthopädie heute: State of the Art - 4D
26.
Nov.
Kieferorthopädie heute: State of the Art - 4D
Do., 26.11.26, 09:00 - 28.11.26, 17:00 (Europe/Berlin)
München
Dr. Domingo Martin Salvador
Dr. Alberto Canábez Berthet