Zum Hauptinhalt springen Zur Suche springen Zur Hauptnavigation springen

Hinweis: Unser Sortiment richtet sich ausschließlich an Zahnarztpraxen, Zahnlabore und Unternehmen der Dentalbranche. Ein Verkauf an Privatpersonen ist ausgeschlossen.

Willkommen bei ADS. American Dental Systems. Gemeinsam verbessern wir die Zahnmedizin.

Verschluss schwarzer Dreiecke mittels noninvasivem Komposit-Veneering

Geplagt von einer aggressiven Parodontitis und einem massiven Zahnfleisch- und Knochenrückgang im Unterkiefer-Frontzahnbereich, stellte sich ein 25-jähriger Patient in unserer Praxis vor. Die ausgeprägten schwarzen Dreiecke („black triangles“) die dadurch entstanden waren, störten ihn ästhetisch sehr stark. 

Ziel der Behandlung war es, die Lücken zu schließen, ohne die Zähne zu beschleifen. Der Patient war zum Zeitpunkt der Behandlung parodontal stabil, die Zähne karies- und füllungsfrei. Mittels noninvasivem Komposit-Veneering wurden die schwarzen Dreiecke zahnhartsubstanzschonend geschlossen und ein hochästhetisches und natürlich anmutendes Ergebnis erzielt.Für diese Technik wurden transparente, anatomisch geformte Matrizen sowie ein Komposit-System verwendet..
Dr. Hanni Lohmar

Abbildung 1

Ausgangssituation: Die dunklen Dreiecke im Unterkiefer des Patienten sind die Folge einer parodontalen Erkrankung.

Abbildung 2

Okklusalansicht des Unterkiefers vor der Behandlung.

Abbildung 3

Trockenlegung des Arbeitsumfeldes mit Kofferdam.

Abbildung 4

Ätzen und Primen der zu beschichtenden Oberflächen.

Abbildung 5

Lichthärtung des injizierten Komposits.

Abbildung 6

Injektion des Komposits.

Abbildung 7

Restauration nach Abnahme der Matrizen, vor der Hochglanzpolitur.

Abbildung 8

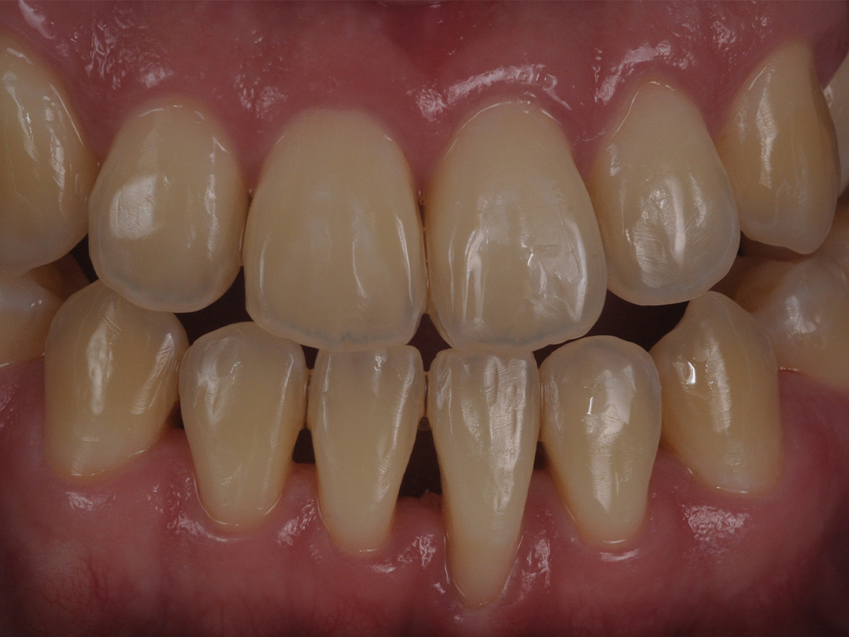
Intraorale Frontalaufnahme nach Abschluss der Behandlung.

Abbildung 9

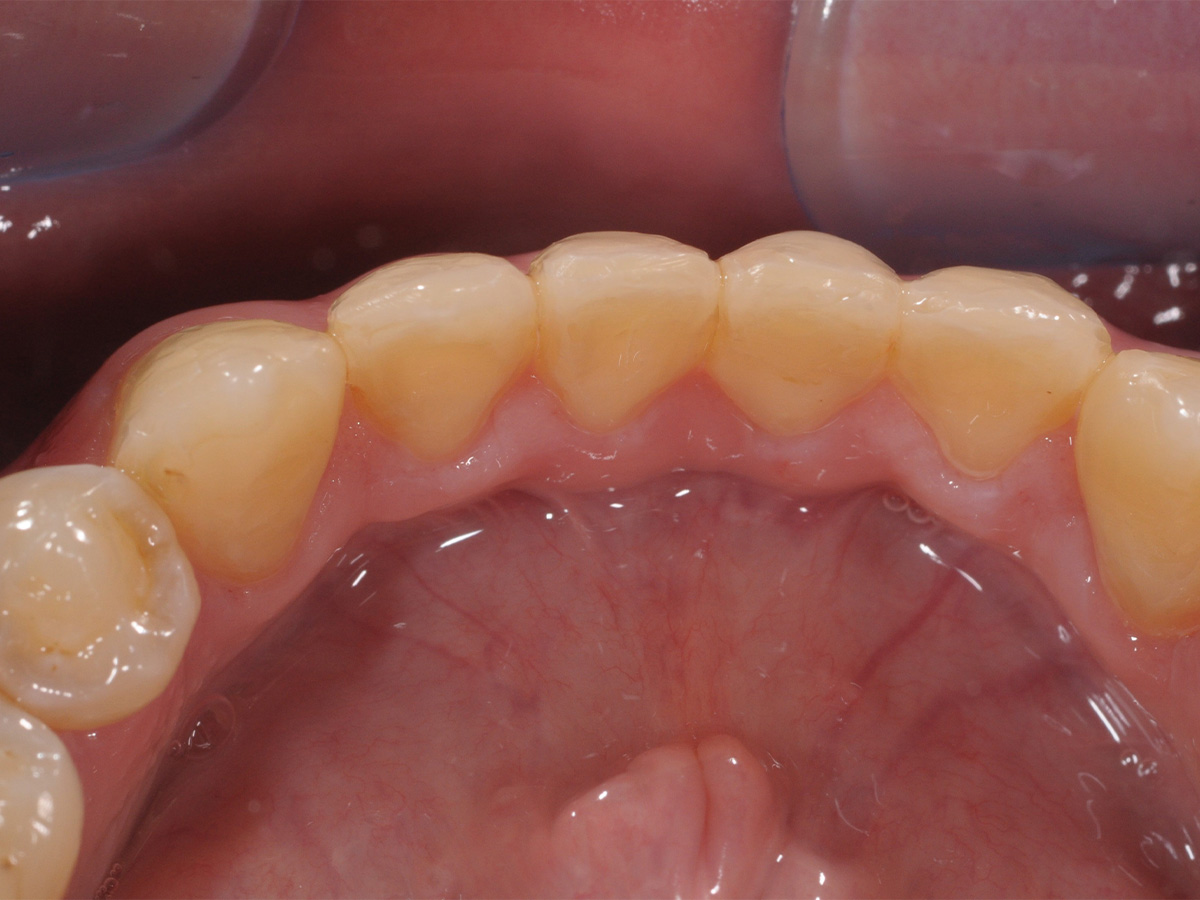
Okklusalansicht des Unterkiefers nach Behandlungsabschluss.

Verwendete Produkte

Produktgalerie überspringen

Zugehörige Produkte

inspiro Master Kit Compule
inspiro Master Kit Compule
Artikelnr.: 7271100
Herstellernr.: 3010

1.621,80 €
zzgl. MwSt.
zzgl. Versand
inspiro Master Kit Syringe
inspiro Master Kit Syringe
Artikelnr.: 7271110
Herstellernr.: 3020

1.199,55 €
zzgl. MwSt.
zzgl. Versand
inspiro Intro Kit Compule
inspiro Intro Kit Compule
Artikelnr.: 7271120
Herstellernr.: 3030

1.236,25 €
zzgl. MwSt.
zzgl. Versand
inspiro Intro Kit Syringe
inspiro Intro Kit Syringe
Artikelnr.: 7271130
Herstellernr.: 3040

801,75 €
zzgl. MwSt.
zzgl. Versand
Black Triangle Kit
Black Triangle Kit
Artikelnr.: 7961005
Herstellernr.: 801003

524,00 €
zzgl. MwSt.
zzgl. Versand
Black Triangle Matrix Large Pink 75 µm (20)
Black Triangle Matrix Large Pink 75 µm (20)
Artikelnr.: 7961030
Herstellernr.: 301092

131,00 €
zzgl. MwSt.
zzgl. Versand
Black Triangle Matrix Small green 75 µm (20)
Black Triangle Matrix Small green 75 µm (20)
Artikelnr.: 7961031
Herstellernr.: 301071

131,00 €
zzgl. MwSt.
zzgl. Versand
Black Triangle Matrix Small Pink 75 µm (20)
Black Triangle Matrix Small Pink 75 µm (20)
Artikelnr.: 7961034
Herstellernr.: 301091

131,00 €
zzgl. MwSt.
zzgl. Versand
Black Triangle Matrix Small Yellow 75 µm (20)
Black Triangle Matrix Small Yellow 75 µm (20)
Artikelnr.: 7961035
Herstellernr.: 301081

131,00 €
zzgl. MwSt.
zzgl. Versand
Black Triangle Matrix Large Yellow 75 µm (20)
Black Triangle Matrix Large Yellow 75 µm (20)
Artikelnr.: 7961036
Herstellernr.: 301082

131,00 €
zzgl. MwSt.
zzgl. Versand
Black Triangle Matrix Large grün 75 µm (20)
Black Triangle Matrix Large grün 75 µm (20)
Artikelnr.: 7961037
Herstellernr.: 301072

131,00 €
zzgl. MwSt.
zzgl. Versand
Black Triangle Matrix Large blau 75 µm (20)
Black Triangle Matrix Large blau 75 µm (20)
Artikelnr.: 7961038
Herstellernr.: 301062

131,00 €
zzgl. MwSt.
zzgl. Versand
Black Triangle Matrix Small blau 75 µm (20)
Black Triangle Matrix Small blau 75 µm (20)
Artikelnr.: 7961039
Herstellernr.: 301061

131,00 €
zzgl. MwSt.
zzgl. Versand
Black Triangle Gauge
Black Triangle Gauge
Artikelnr.: 7961040
Herstellernr.: 500111

57,85 €
zzgl. MwSt.
zzgl. Versand

Aktuelle Fortbildungen

2. Curriculum "The Art of Digital Dentistry"
16.
Jan.
2. Curriculum "The Art of Digital Dentistry"
Fr., 16.01.26, 09:00 - 20.06.26, 17:00 (Europe/Berlin)
München
Dr. Christian Leonhardt (klinische Leitung)
Prof. Dr. Markus Blatz (wissenschaftliche Leitung)
TEAM | 2. Curriculum "The Art of Digital Dentistry"
16.
Jan.
TEAM | 2. Curriculum "The Art of Digital Dentistry"
Fr., 16.01.26, 09:00 - 20.06.26, 17:00 (Europe/Berlin)
München
Dr. Christian Leonhardt (klinische Leitung)
Prof. Dr. Markus Blatz (wissenschaftliche Leitung)
 
26.
Feb.
4D Dentistry - das Update: Workflow, Software, Hardware, Fun
Do., 26.02.26, 20:00 - 22:00 (Europe/Berlin)
online
Dr. Christian Leonhardt
Endo Friday Meeting - Modul I
17.
Apr.
Endo Friday Meeting - Modul I
Fr., 17.04.26, 13:00 - 19:00 (Europe/Berlin)
Innsburck
ZA Eduardo Belandria
Endo Friday Meeting - Modul II
15.
Mai
Endo Friday Meeting - Modul II
Fr., 15.05.26, 13:00 - 19:00 (Europe/Berlin)
Innsburck
ZA Eduardo Belandria
Endo Friday Meeting - Modul III
05.
Juni
Endo Friday Meeting - Modul III
Fr., 05.06.26, 13:00 - 19:00 (Europe/Berlin)
Innsburck
ZA Eduardo Belandria
Kieferorthopädie heute: State of the Art - 4D
26.
Nov.
Kieferorthopädie heute: State of the Art - 4D
Do., 26.11.26, 09:00 - 28.11.26, 17:00 (Europe/Berlin)
München
Dr. Domingo Martin Salvador
Dr. Alberto Canábez Berthet