Zum Hauptinhalt springen Zur Suche springen Zur Hauptnavigation springen

Hinweis: Unser Sortiment richtet sich ausschließlich an Zahnarztpraxen, Zahnlabore und Unternehmen der Dentalbranche. Ein Verkauf an Privatpersonen ist ausgeschlossen.

Willkommen bei ADS. American Dental Systems. Gemeinsam verbessern wir die Zahnmedizin.

Partielle Pulpotomie mit Bioceramics-Abdeckung und Activa-Deckung

Eine 16-jährige Patientin erschien mit einer ausgeprägten CP bei reversibler Pulpitits in unserer Praxis. Nach einem Aufklärungsgespräch haben wir uns für eine partielle Pulpotomie mit Bioceramics-Abdeckung und ACTIVA-Deckfüllung entschieden. Die Bildreihe zeigt das Vorgehen, das Recall-Bild der Füllung ist fünf Monate alt.
Porträt ZA Oscar Freiherr von Stetten
ZA Oscar Freiherr von Stetten

Abbildung 1

Aufnahme bei Erstuntersuchung.

Abbildung 2

Ausgangssituation.

Abbildung 3

Grobe Umrissform. Eröffnung der Kavität an 24.

Abbildung 4

Karies grob entfernt.

Abbildung 5

Karies pulpenfern entfernt, Vorbereitung für die Pulpotomie.

Abbildung 6

Nach Pulpotomie.

Abbildung 7

Zustand nach Blutstillung und Desinfektion.

Abbildung 8

BioCeramics Putty Applikation.

Abbildung 9

Ätzung nach Anlage von Matrizen.

Abbildung 10

Ätzmuster.

Abbildung 11

Detail der vorbereiteten Kavität. Man sieht die Theracalabdeckung über dem BioCeramic-Putty.

Abbildung 12

Füllung vor dem Ausarbeiten.

Abbildung 13

Post-Op: Direkt nach der Kappung.

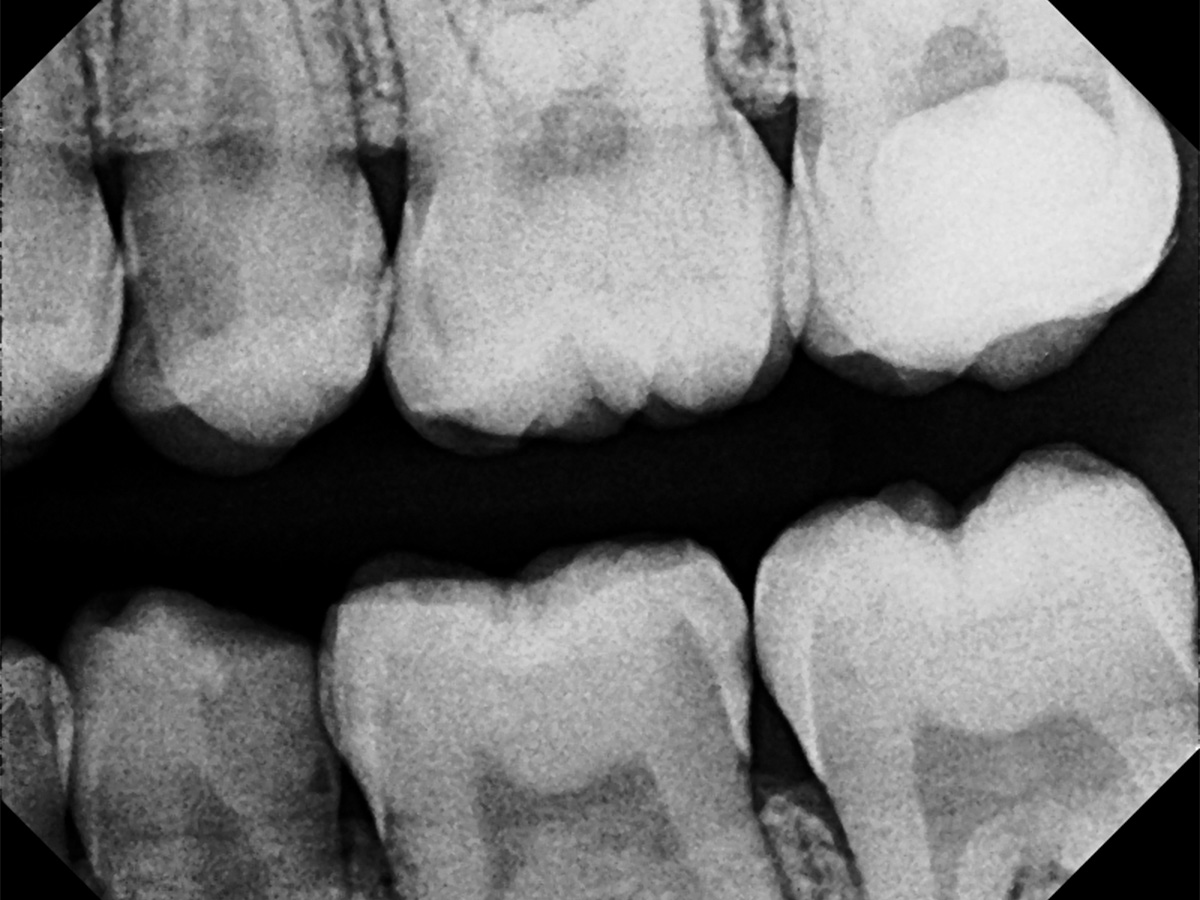
Abbildung 14

Recall: Aufnahme des Zahnes 25 fünf Monate nach Kappung.

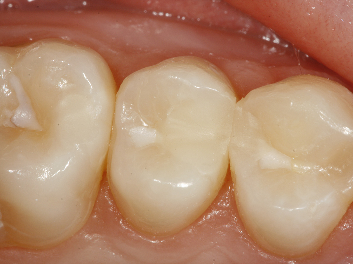
Abbildung 15

Recall 25: Klinisches Bild nach fünf Monaten.

Verwendete Produkte

Produktgalerie überspringen

Zugehörige Produkte

Pulpdent ACTIVA™ BioACTIVE Restorative A2 (5 ml)
Pulpdent ACTIVA™ BioACTIVE Restorative A2 (5 ml)
Artikelnr.: 5438401
Herstellernr.: VR1-A2

171,80 €
zzgl. MwSt.
zzgl. Versand
Pulpdent ACTIVA™ BioACTIVE Restorative A3 (5 ml)
Pulpdent ACTIVA™ BioACTIVE Restorative A3 (5 ml)
Artikelnr.: 5438402
Herstellernr.: VR1-A3

171,80 €
zzgl. MwSt.
zzgl. Versand
TheraCal PT® Dual Syringe (4 g)
TheraCal PT® Dual Syringe (4 g)
Artikelnr.: 7940023
Herstellernr.: H-34110P

97,20 €
zzgl. MwSt.
zzgl. Versand

Aktuelle Fortbildungen

2. Curriculum "The Art of Digital Dentistry"
16.
Jan.
2. Curriculum "The Art of Digital Dentistry"
Fr., 16.01.26, 09:00 - 20.06.26, 17:00 (Europe/Berlin)
München
Dr. Christian Leonhardt (klinische Leitung)
Prof. Dr. Markus Blatz (wissenschaftliche Leitung)
TEAM | 2. Curriculum "The Art of Digital Dentistry"
16.
Jan.
TEAM | 2. Curriculum "The Art of Digital Dentistry"
Fr., 16.01.26, 09:00 - 20.06.26, 17:00 (Europe/Berlin)
München
Dr. Christian Leonhardt (klinische Leitung)
Prof. Dr. Markus Blatz (wissenschaftliche Leitung)
 
26.
Feb.
4D Dentistry - das Update: Workflow, Software, Hardware, Fun
Do., 26.02.26, 20:00 - 22:00 (Europe/Berlin)
online
Dr. Christian Leonhardt
Endo Friday Meeting - Modul I
17.
Apr.
Endo Friday Meeting - Modul I
Fr., 17.04.26, 13:00 - 19:00 (Europe/Berlin)
Innsburck
ZA Eduardo Belandria
Endo Friday Meeting - Modul II
15.
Mai
Endo Friday Meeting - Modul II
Fr., 15.05.26, 13:00 - 19:00 (Europe/Berlin)
Innsburck
ZA Eduardo Belandria
Endo Friday Meeting - Modul III
05.
Juni
Endo Friday Meeting - Modul III
Fr., 05.06.26, 13:00 - 19:00 (Europe/Berlin)
Innsburck
ZA Eduardo Belandria
Kieferorthopädie heute: State of the Art - 4D
26.
Nov.
Kieferorthopädie heute: State of the Art - 4D
Do., 26.11.26, 09:00 - 28.11.26, 17:00 (Europe/Berlin)
München
Dr. Domingo Martin Salvador
Dr. Alberto Canábez Berthet