Zum Hauptinhalt springen Zur Suche springen Zur Hauptnavigation springen

Hinweis: Unser Sortiment richtet sich ausschließlich an Zahnarztpraxen, Zahnlabore und Unternehmen der Dentalbranche. Ein Verkauf an Privatpersonen ist ausgeschlossen.

Willkommen bei ADS. American Dental Systems. Gemeinsam verbessern wir die Zahnmedizin.

Professionelle Zahnreinigung

In diesem Fallbericht stellt DH Sonja Steinert das schrittweise Vorgehen bei der professionellen Zahnreinigung einer 35-jähirgen weiblichen Patientin (Raucherin) ohne Vorerkrankung dar.
Porträt DH Sonja Steinert
Sonja Steinert, DH

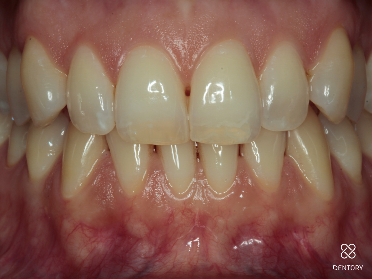
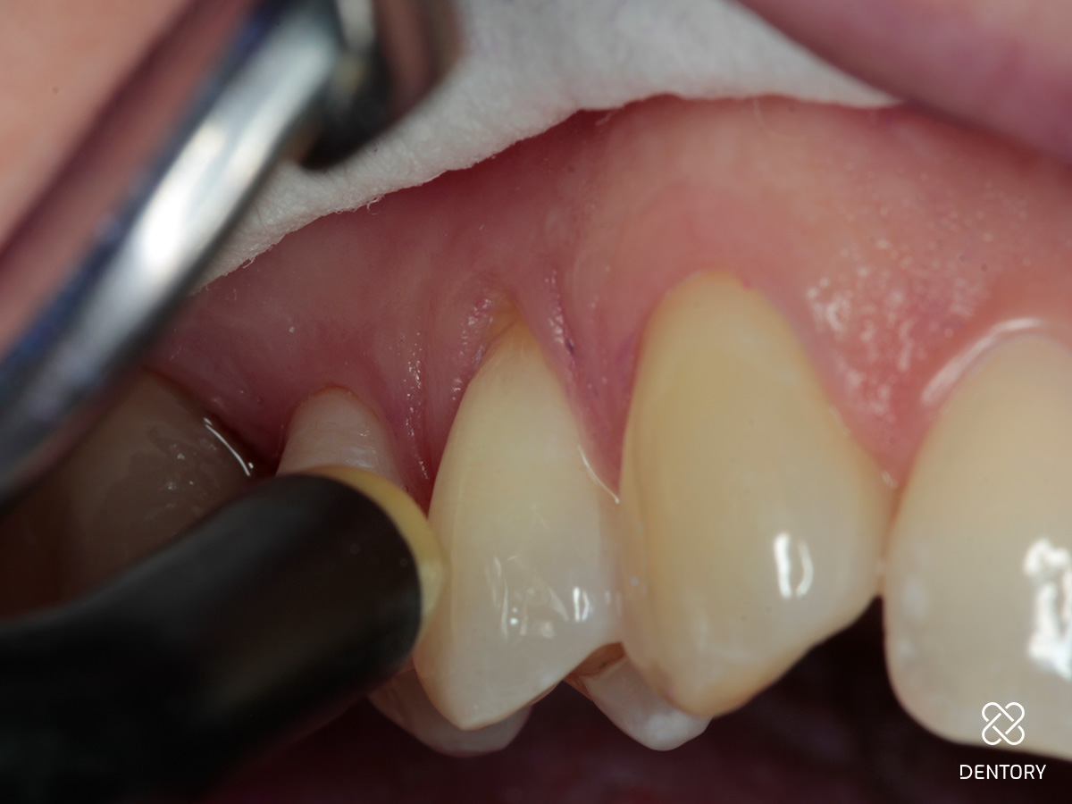
Abbildung 1

Ausgangssituation

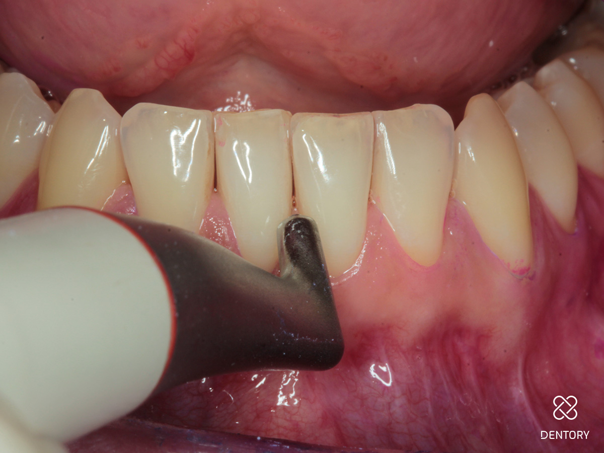
Abbildung 2

Durchführung der 6-Punkt-Messung zur parodontalen Risiko-Bestimmung. Die Messung erfolgt mesio-bukkal, zentral-bukkal, distal-bukkal, mesio-oral, zentral-oral und disto-oral mit einer speziellen, von der WHO entwickelten Parodontalsonde.

Abbildung 3

PSI - Parodontale Screening Index: Messung der Taschentiefe: Code 0: Keine Blutung, kein Zahnstein, keine defekten Restaurationsränder Code 1: Blutung, aber kein Zahnstein, keine defekten Restaurationsränder Code 2: Blutung, Zahnstein oder defekte Restaurationsränder, Sondierung & lt; 3,5 mm Code 3: Sondierung 3,5 mm bis 5,5 mm Code 4: Sondierung & gt; 5,5 mm. 

Achtung: Gemessene Werte auch dem Behandler vorlegen.

Abbildung 4

Bleeding on Probing - Index: Blutende Stellen werden dokumentiert und nach vollständiger Untersuchung der prozentuale Anteil an Blutungen errechnet. Je geringer der Prozentsatz an Blutungen, desto stabiler ist das Parodont.

Achtung: Als Schwellenwert gilt ein Wert von etwa 25 %.

Abbildung 5

Auftragen des Plaque-Anfärbemittels: Das Anfärben der Zähne vor der Behandlung hat Vorteile für den Patienten und den Behandler.

Abbildung 6

Anfärben von Biofilm (vor dem Auspülen): Das Anfärben unterstützt den Bahandler und den Patienten, Biofilm und Problemzonen zu erkennen und Schwachstellen in der Mundhygiene aufzuzeigen. Dunkel eingefärbte Zahnfleischränder zeigen deutliche Plaque-Anlagerungen.

Abbildung 7

Plaque-Befund nach einmaligem Ausspülen Auswertung des Plaque-Befund mit dem Patienten. Instruktionen und Motivation zur häuslichen Mundpflege werden besprochen.

Abbildung 8

Schall-Scaling. Grobreinigung mit dem Schall-Scaler. Achtung: Nie mit der Spitze direkt auf dem Zahn arbeiten.

Abbildung 9

Depuration mit Handinstrumenten: Verwendung von Kürretten zur Reinigung von Parodontaltaschen sowie Säuberung und Glättung der supragingivalen Zahnoberflächen.

Abbildung 10

Depuration mit Handinstrumenten: Interdentale Plaqueentfernung im Frontzahnbereich.

Abbildung 11

Biofilm-Management: Biofilmentfernung mit einem Pulverstrahlgerät unter Durchführung kleiner, rotierender Bewegungen. 

Achtung: Pulverstrahl nicht in den Sulkus halten!

Abbildung 12

Zungenreinigung: Die Zungenschleimhaut wird von zahlreichen Bakterien besiedelt. Beläge und Bakterien müssen daher schonend entfernt werden.

Abbildung 13

Interdentalraumglättung: Interdentalraumglättung in der Unterkieferfront mit einem Flexi-Scaler (flexibler Stahl für die interdentale Entfernung von Plaque und Zahnstein).

Abbildung 14

Qualitätskontrolle: Kontrolle der interdentalen sowie bukkal-palatinalen Flächen mit leichter Trockenlegung.

Abbildung 15

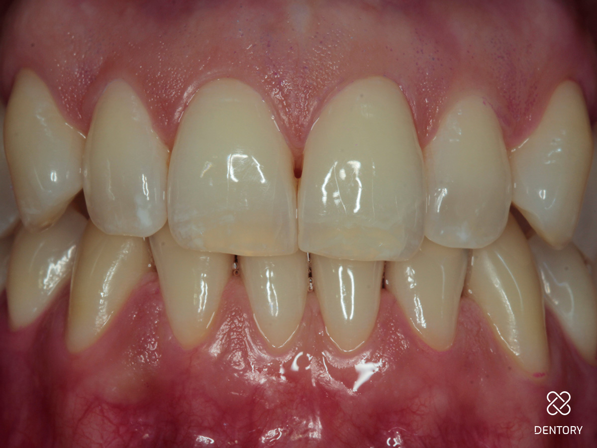
Fluoridierung: Gel wird mit Hilfe eines kleinen Pinsels auf die Zähne aufgetragen. Diese Fluoridierung sollte ca. 2x jährlich erfolgen, bei sehr hohem Kariesrisiko häufiger.

Abbildung 16

Abschlussbild: Alle Beläge wurden erfolgreich entfernt. Bestimmung eines Recall-Termins.

Verwendete Produkte

Produktgalerie überspringen

Zugehörige Produkte

DSS1 Smart Scaling Kürette mit Originalgriff
DSS1 Smart Scaling Kürette mit Originalgriff
Artikelnr.: 6040410
Herstellernr.: DSS1

86,30 €
zzgl. MwSt.
zzgl. Versand
DSS2 Smart Scaling Kürette mit Originalgriff
DSS2 Smart Scaling Kürette mit Originalgriff
Artikelnr.: 6040420
Herstellernr.: DSS2

86,30 €
zzgl. MwSt.
zzgl. Versand

Aktuelle Fortbildungen

2. Curriculum "The Art of Digital Dentistry"
16.
Jan.
2. Curriculum "The Art of Digital Dentistry"
Fr., 16.01.26, 09:00 - 20.06.26, 17:00 (Europe/Berlin)
München
Dr. Christian Leonhardt (klinische Leitung)
Prof. Dr. Markus Blatz (wissenschaftliche Leitung)
TEAM | 2. Curriculum "The Art of Digital Dentistry"
16.
Jan.
TEAM | 2. Curriculum "The Art of Digital Dentistry"
Fr., 16.01.26, 09:00 - 20.06.26, 17:00 (Europe/Berlin)
München
Dr. Christian Leonhardt (klinische Leitung)
Prof. Dr. Markus Blatz (wissenschaftliche Leitung)
 
26.
Feb.
4D Dentistry - das Update: Workflow, Software, Hardware, Fun
Do., 26.02.26, 20:00 - 22:00 (Europe/Berlin)
online
Dr. Christian Leonhardt
Endo Friday Meeting - Modul I
17.
Apr.
Endo Friday Meeting - Modul I
Fr., 17.04.26, 13:00 - 19:00 (Europe/Berlin)
Innsburck
ZA Eduardo Belandria
Endo Friday Meeting - Modul II
15.
Mai
Endo Friday Meeting - Modul II
Fr., 15.05.26, 13:00 - 19:00 (Europe/Berlin)
Innsburck
ZA Eduardo Belandria
Endo Friday Meeting - Modul III
05.
Juni
Endo Friday Meeting - Modul III
Fr., 05.06.26, 13:00 - 19:00 (Europe/Berlin)
Innsburck
ZA Eduardo Belandria
Kieferorthopädie heute: State of the Art - 4D
26.
Nov.
Kieferorthopädie heute: State of the Art - 4D
Do., 26.11.26, 09:00 - 28.11.26, 17:00 (Europe/Berlin)
München
Dr. Domingo Martin Salvador
Dr. Alberto Canábez Berthet