Zum Hauptinhalt springen Zur Suche springen Zur Hauptnavigation springen

Hinweis: Unser Sortiment richtet sich ausschließlich an Zahnarztpraxen, Zahnlabore und Unternehmen der Dentalbranche. Ein Verkauf an Privatpersonen ist ausgeschlossen.

Willkommen bei ADS. American Dental Systems. Gemeinsam verbessern wir die Zahnmedizin.

Pulpenschutz bei Komposit-Restaurationen

Der Erhalt einer vitalen Pulpa stellt die klinische Zahnmedizin vor erhebliche Herausforderungen. Zahnärzte haben über die Jahre verschiedene Mechanismen und Materialien für den Ersatz von Dentin bei Kariesbefall erprobt. Historisch war keine Methode wirkungsvoller und nützlicher als Kalziumhydroxidionen, die bei der Vitalerhaltung der Pulpa als „Goldstandard“ gelten. Mittlerweile sind regenerativere endodontische Therapien eingeführt worden, die diesen Standard effektiv auf ein neues Niveau gehoben haben. 

Im vorliegenden Fall zeigt Dr. John C. Comisi wie er das lichthärtende, kunststoffmodifizierte Kalziumsilikat TheraCal LC® den Pulpaschutz im Rahmen einer Kompositrestauration verwendete.
Porträt Dr. John C. Comisi
Dr. John C. Comisi, D.D.S.

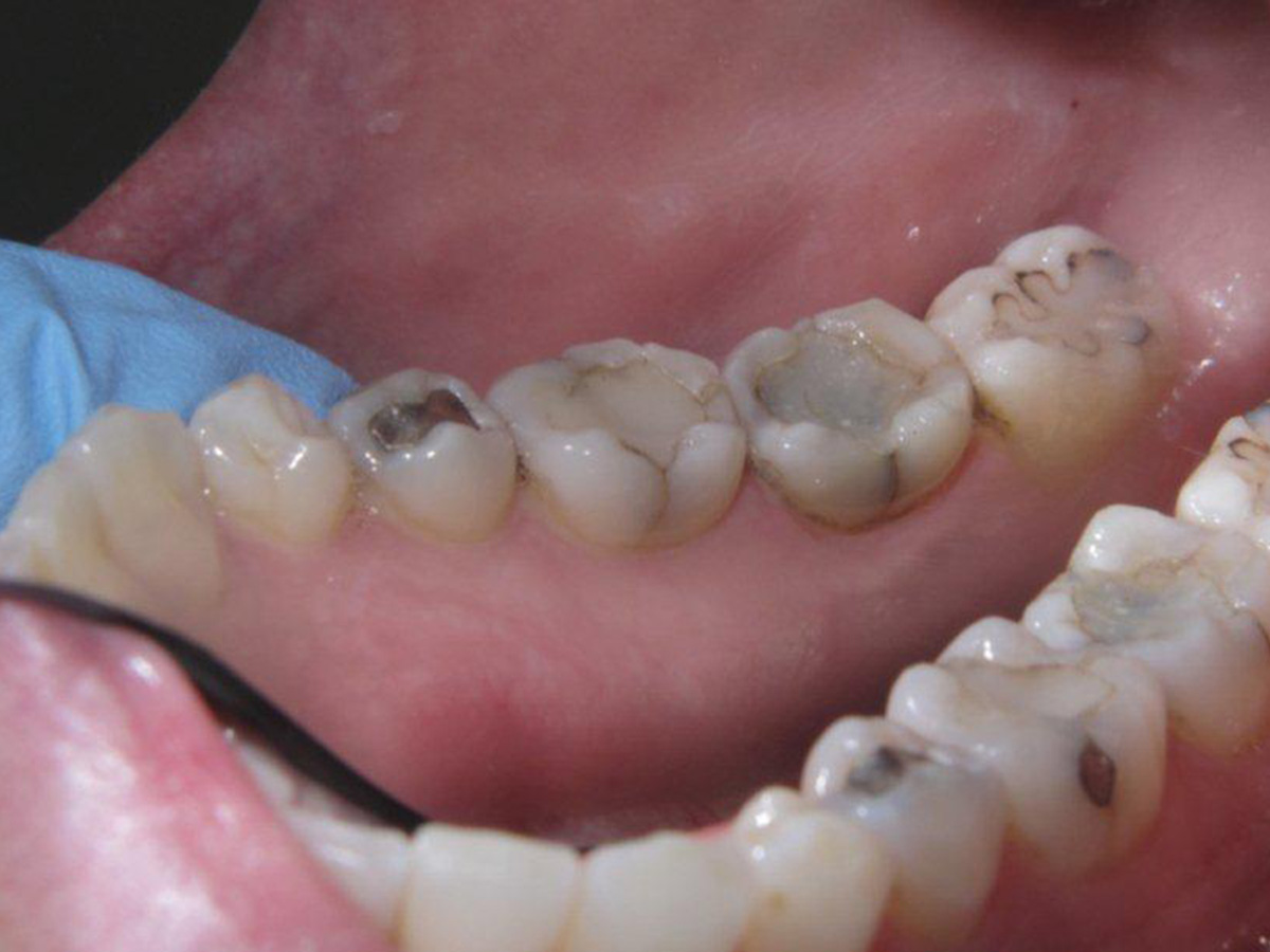
Abbildung 1

Eine 44-jährige Patientin stellte sich zur Restauration der Zähne 38, 37 und 36 vor. Geplant war eine neue Restaurationsbehandlung anstelle der mangelhaften Kompositrestaurationen.

Abbildung 2

Nach örtlicher Betäubung und Platzierung einer Isolite- Vorrichtung wurden die alten Kompositrestaurationen entfernt. Das infizierte Dentin wurde mit einem Rundbohrer Cerabur #8 (Komet USA) an einem Winkelhandstück mit 10:1 Untersetzung und niedriger Drehzahl (3000-6000 U/ min) unter Wasserkühlung so weit abgetragen, dass das angefärbte betroffene Dentin in den präparierten Zähnen 37 und 36 verblieb.

Abbildung 3

TheraCal LC® wurde in die tiefen Bereiche der Präparationen in einer Dicke von max. 1 mm eingebracht und 20 Sekunden gehärtet. Das Material lässt sich mit der Applikationsspritze schnell und einfach platzieren. Es ist undurchsichtig weiß, so dass gut erkennbar ist, wo es bereits appliziert wurde. Auch überschüssiges Material lässt sich so vor dem Härten einfach entfernen. Ein Pulpaschutz bei Zahn 38 wurde als nicht notwendig erachtet, weil die Präparation in diesem Fall anders als bei 37 und 36 nicht übermäßig tief war.

Abbildung 4

Der Bereich wurde mit All-Bond Universal® (BISCO Dental) in selektiver Ätztechnik restauriert (gemäß den Anleitungen von BISCO Dental). Anschließend wurde die endgültige Restauration bestehend aus Beautifil Bulk Flow (Shofu Dental) platziert und bis auf 2 mm zum Rand der Präparation ausgehärtet (eine Platzierung dieses Materials auf den Funktionsbereich der Zahnoberfläche wird nicht empfohlen).

Abbildung 5

Schließlich wurde auf den letzten beiden Millimetern inkrementell Beautifil Flow Plus 00 (Shofu Dental) aufgetragen und ausgehärtet, um die Restaurierung fertigzustellen und die Kaufunktion herzustellen (Abb. 4 und 5).

Verwendete Produkte

Produktgalerie überspringen

Zugehörige Produkte

ALL-BOND Universal® Refill (6 ml)
ALL-BOND Universal® Refill (6 ml)
Artikelnr.: 7940034
Herstellernr.: B-7202P

132,95 €
zzgl. MwSt.
zzgl. Versand

Aktuelle Fortbildungen

2. Curriculum "The Art of Digital Dentistry"
16.
Jan.
2. Curriculum "The Art of Digital Dentistry"
Fr., 16.01.26, 09:00 - 20.06.26, 17:00 (Europe/Berlin)
München
Dr. Christian Leonhardt (klinische Leitung)
Prof. Dr. Markus Blatz (wissenschaftliche Leitung)
TEAM | 2. Curriculum "The Art of Digital Dentistry"
16.
Jan.
TEAM | 2. Curriculum "The Art of Digital Dentistry"
Fr., 16.01.26, 09:00 - 20.06.26, 17:00 (Europe/Berlin)
München
Dr. Christian Leonhardt (klinische Leitung)
Prof. Dr. Markus Blatz (wissenschaftliche Leitung)
 
26.
Feb.
4D Dentistry - das Update: Workflow, Software, Hardware, Fun
Do., 26.02.26, 20:00 - 22:00 (Europe/Berlin)
online
Dr. Christian Leonhardt
Endo Friday Meeting - Modul I
17.
Apr.
Endo Friday Meeting - Modul I
Fr., 17.04.26, 13:00 - 19:00 (Europe/Berlin)
Innsburck
ZA Eduardo Belandria
Endo Friday Meeting - Modul II
15.
Mai
Endo Friday Meeting - Modul II
Fr., 15.05.26, 13:00 - 19:00 (Europe/Berlin)
Innsburck
ZA Eduardo Belandria
Endo Friday Meeting - Modul III
05.
Juni
Endo Friday Meeting - Modul III
Fr., 05.06.26, 13:00 - 19:00 (Europe/Berlin)
Innsburck
ZA Eduardo Belandria
Kieferorthopädie heute: State of the Art - 4D
26.
Nov.
Kieferorthopädie heute: State of the Art - 4D
Do., 26.11.26, 09:00 - 28.11.26, 17:00 (Europe/Berlin)
München
Dr. Domingo Martin Salvador
Dr. Alberto Canábez Berthet