Zum Hauptinhalt springen Zur Suche springen Zur Hauptnavigation springen

Hinweis: Unser Sortiment richtet sich ausschließlich an Zahnarztpraxen, Zahnlabore und Unternehmen der Dentalbranche. Ein Verkauf an Privatpersonen ist ausgeschlossen.

Willkommen bei ADS. American Dental Systems. Gemeinsam verbessern wir die Zahnmedizin.

Regenerative Parodontalchirurgie mit anschließendem Kompositverschluss des Interdentalraumes

Nachfolgende Patientin ist 44 Jahre alt und wurde von ihrem Hauszahnarzt aufgrund ihrer Parodontitis an uns überwiesen. Sie ist allgemeinmedizinisch gesund und Nichtraucherin. 

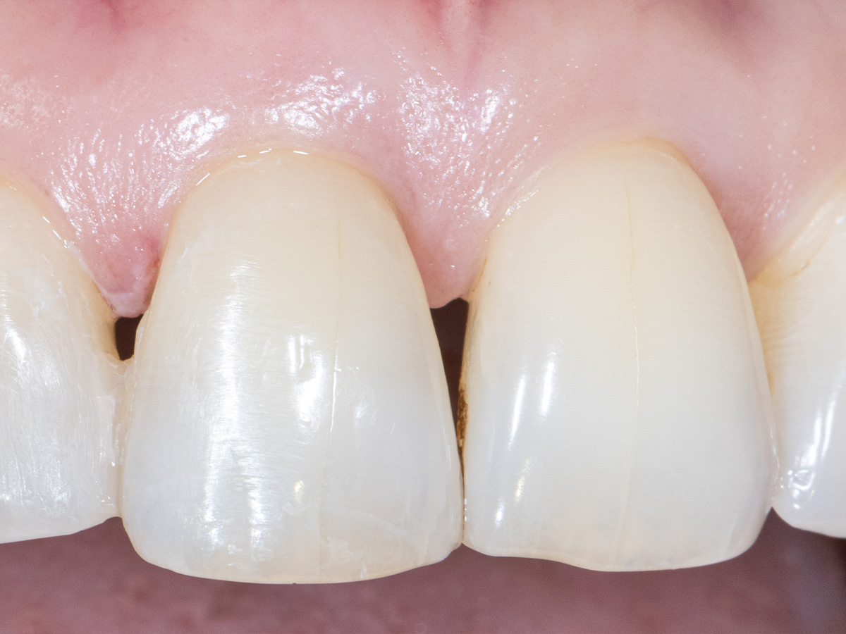
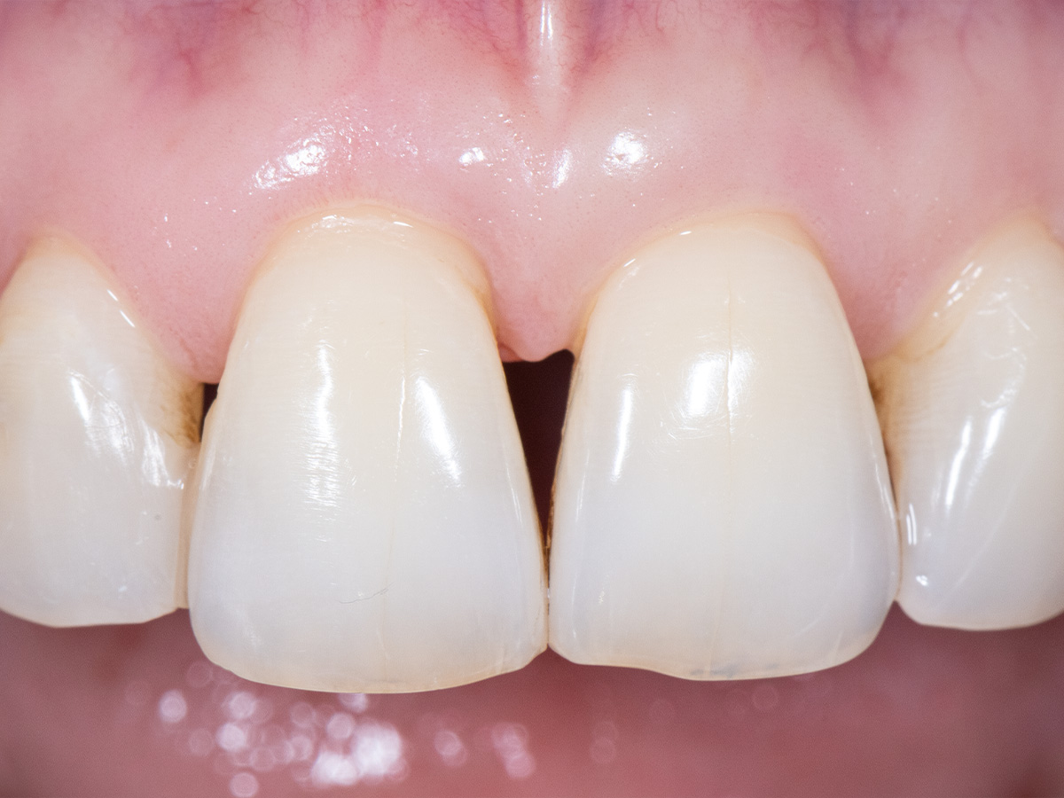
Während der intraoralen Untersuchung wurden eine erhöhte Beweglichkeit sowie erhöhte Taschensondierungstiefen und klinische Entzündungszeichen an Zahn 11 festgestellt. Ein intraorales Röntgenbild wurde angefertigt. Die intraossäre Defektkomponente gemeinsam mit dem hohen Niveau an Mundhygiene bieten eine gute Grundlage für einen regenerativ-parodontalchirurgischen Eingriff. Zehn Tage vor dem Eingriff wurde der Zahn mit dem Nachbarzahn verblockt und ein lokales Antibiotikum in die parodontale Tasche appliziert, um zum Zeitpunkt des Eingriffs möglichst entzündungsarme Verhältnisse vorzufinden. Unmittelbar vor Beginn des chirurgischen Eingriffs wurde der Defektboden mit einer Parodontalsonde ausgelotet, um Informationen über die dreidimensionale Defektmorphologie zu erhalten (Abb. 1-3).
Porträt Dr. Otto Zuhr
Dr. Otto Zuhr

Abbildung 1

Aufgrund der hohen Lachlinie haben wir uns für eine horizontale Inzision durch die Papillenbasis auf der palatinalen Seite sowie intrasulkuläre Inzisionen um die Nachbarzähne entschieden. Auf diese Weise können Oberflächeninzisionen auf der bukkalen Seite, die zu sichtbarem Narbengewebe führen können, vermieden werden.

Abbildung 2

Abbildung 3

Abbildung 4

Folglich wurde ein palatinaler Mukoperiostlappen eleviert, um Zugang zum Defekt zu erhalten.

Abbildung 5

Um den mesiobukkalen Aspekt des Defekts zu erreichen, wurde ein zweiter Lappen mit einer ultradünnen und biegbaren Keydent Spin Blade 360 präpariert, die an die jeweilige anatomische Situation angepasst werden kann und präzise intrasulkuläre Inzisionen im Interproximalraum sowie ein vorsichtiges Abtrennen des entzündlichen Infiltrats vom Weichgewebe und ein anschließendes sanftes Herauslösen auf die bukkale Seite ermöglicht.

Abbildung 6

Abbildung 7

Nach gründlicher Reinigung...

Abbildung 8

wurden autogene Knochenspäne sowie Schmelzmatrixproteine appliziert...

Abbildung 9

und die Lappenenden mit Nähten spannungsfrei adaptiert, um eine Heilung per primam zu ermöglichen.

Abbildung 10

Die klinische Untersuchung nach sechs Monaten zeigt einen parodontal gesunden Zustand, keine Gingivarezession und keine Narbenbildung, da Oberflächeninzisionen auf der bukkalen Seite vollständig vermieden wurden

Abbildung 11

Abbildung 12

Das finale Bild nach Verschluss des Interdentalraumes mittels direkter Kompositrestaurationen zeigt ein ästhetisch ansprechendes Ergebnis.

Verwendete Produkte

Produktgalerie überspringen

Zugehörige Produkte

Spin Blade 360 - Mikrochirurgische Klinge (12)
Spin Blade 360 - Mikrochirurgische Klinge (12)
Artikelnr.: 8265150
Herstellernr.: 8265150

178,15 €
zzgl. MwSt.
zzgl. Versand
TOUCHGRIP 03 – Mikrochirurgischer Skalpellgriff nach Hürzeler/Zuhr
TOUCHGRIP 03 – Mikrochirurgischer Skalpellgriff nach Hürzeler/Zuhr
Artikelnr.: 8600503
Herstellernr.: 46.013.00HZU

303,90 €
zzgl. MwSt.
zzgl. Versand

Aktuelle Fortbildungen

2. Curriculum "The Art of Digital Dentistry"
16.
Jan.
2. Curriculum "The Art of Digital Dentistry"
Fr., 16.01.26, 09:00 - 20.06.26, 17:00 (Europe/Berlin)
München
Dr. Christian Leonhardt (klinische Leitung)
Prof. Dr. Markus Blatz (wissenschaftliche Leitung)
TEAM | 2. Curriculum "The Art of Digital Dentistry"
16.
Jan.
TEAM | 2. Curriculum "The Art of Digital Dentistry"
Fr., 16.01.26, 09:00 - 20.06.26, 17:00 (Europe/Berlin)
München
Dr. Christian Leonhardt (klinische Leitung)
Prof. Dr. Markus Blatz (wissenschaftliche Leitung)
 
26.
Feb.
4D Dentistry - das Update: Workflow, Software, Hardware, Fun
Do., 26.02.26, 20:00 - 22:00 (Europe/Berlin)
online
Dr. Christian Leonhardt
Endo Friday Meeting - Modul I
17.
Apr.
Endo Friday Meeting - Modul I
Fr., 17.04.26, 13:00 - 19:00 (Europe/Berlin)
Innsburck
ZA Eduardo Belandria
Endo Friday Meeting - Modul II
15.
Mai
Endo Friday Meeting - Modul II
Fr., 15.05.26, 13:00 - 19:00 (Europe/Berlin)
Innsburck
ZA Eduardo Belandria
Endo Friday Meeting - Modul III
05.
Juni
Endo Friday Meeting - Modul III
Fr., 05.06.26, 13:00 - 19:00 (Europe/Berlin)
Innsburck
ZA Eduardo Belandria
Kieferorthopädie heute: State of the Art - 4D
26.
Nov.
Kieferorthopädie heute: State of the Art - 4D
Do., 26.11.26, 09:00 - 28.11.26, 17:00 (Europe/Berlin)
München
Dr. Domingo Martin Salvador
Dr. Alberto Canábez Berthet