Zum Hauptinhalt springen Zur Suche springen Zur Hauptnavigation springen

Hinweis: Unser Sortiment richtet sich ausschließlich an Zahnarztpraxen, Zahnlabore und Unternehmen der Dentalbranche. Ein Verkauf an Privatpersonen ist ausgeschlossen.

Willkommen bei ADS. American Dental Systems. Gemeinsam verbessern wir die Zahnmedizin.

Rekonstruktion eines horizontalen Alveolarkammdefektes mit Hilfe der Bone-Lamina-Technik

Im ästhetisch sensiblen Frontzahnbereich soll regio 22 ein Einzelzahnimplantat eingesetzt werden. Es imponiert ein moderater bis ausgeprägter horizontaler Alveolarkammdefekt. Es wurde ein zweizeitiges Vorgehen gewählt. Analog zur GBR-Technik wird eine teilentmineralisierte xenogene (porcine) Kortikalislamelle (OsteoBiol® Soft Lamina) verwendet, um Raum für die Regeneration zu schaffen. Das fehlende Gewebe wird mit OsteoBiol® mp3® augmentiert. Das gesamte Augmentat (Soft Lamina und mp3®) wird zur besseren Gewebeintegration mit einer Kollagenmembran abgedeckt. Nach suffizientem Weichteilverschluss wird nach einer Einheilzeit von 6 Monaten die Implantation durchgeführt. 

Zu diesem Zeitpunkt kann klinisch und röntgenologisch ein deutlicher Zugewinn von Volumen verzeichnet werden, so dass ein Implantat vom Durchmesser 3,8 mm in der korrekten dreidimensionalen Position eingesetzt werden kann. Mit den beschriebenen augmentativen Maßnahmen konnte ein ästhetisch ansprechendes Gesamtergebnis realisiert werden.

Porträt PD Dr. Arndt Happe
Prof. Dr. Arndt Happe

Abbildung 1

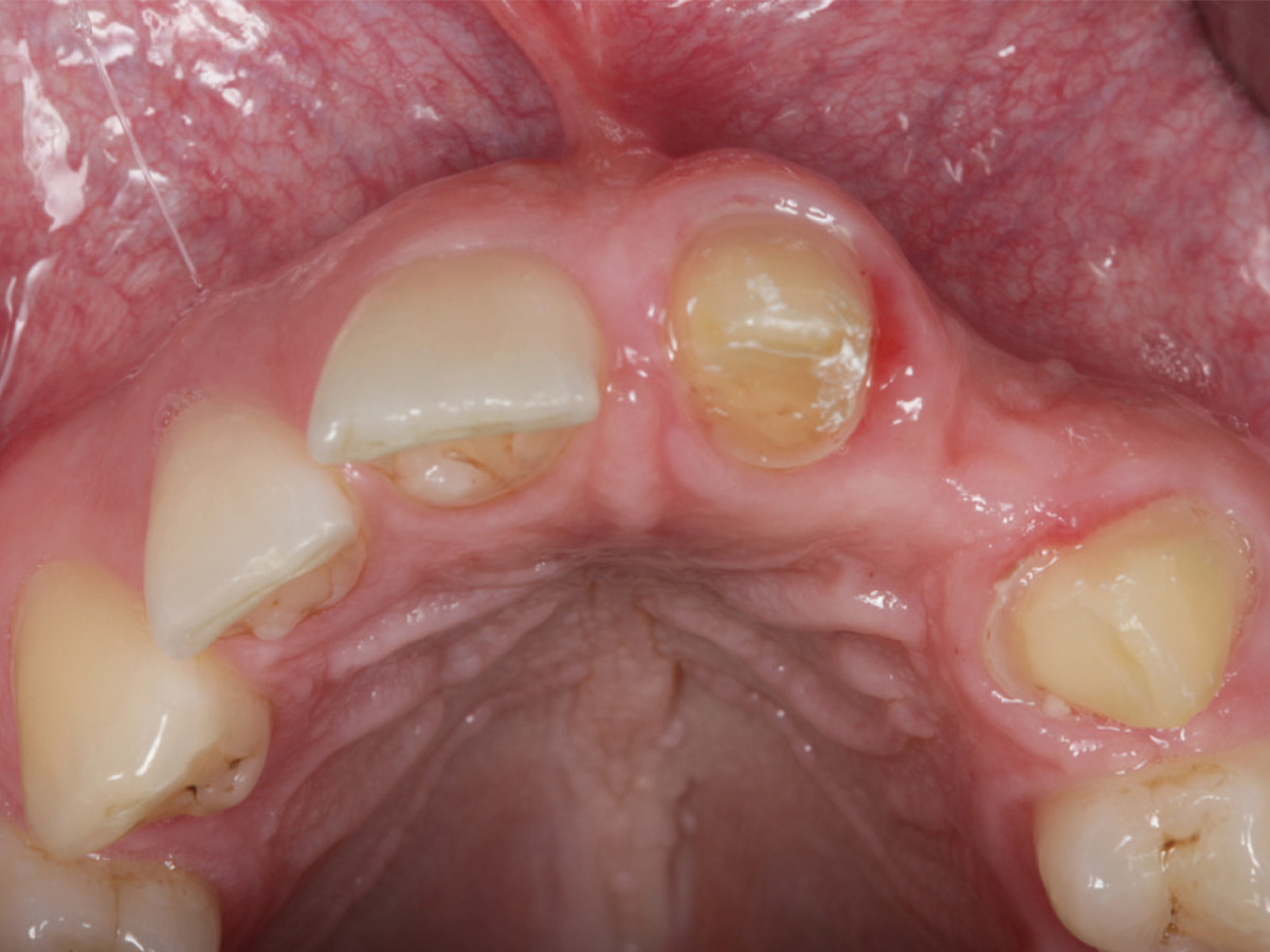
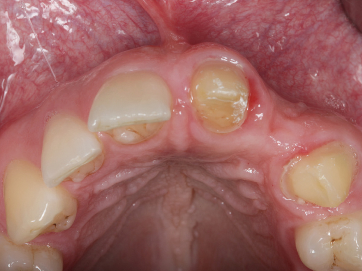
Horizontaler Alveolarkammdefekt, Einzelzahnimplantat soll eingesetzt werden.

Abbildung 2

Der Defekt im DVT, die Restknochenbreite beträgt 5,6 mm.

Abbildung 3

Nach Bildung eines Mukoperiostlappens wird mit der Bone Lamina die bukkale Lamelle rekonstruiert. Die Lamina wird mit Titanpins befestigt.

Abbildung 4

Der Defekt wird mit mp3® augmentiert.

Abbildung 5

Lamina so ausgeschnitten, dass das mp3® krestal abgedeckt werden kann. Auch hier wird ein Titanpin angewandt.

Abbildung 6

Das Augmentat wird mit einer Kollagenmembran abgedeckt.

Abbildung 7

Der Weichgewebsverschluss muss spannungsfrei erfolgen. Einsatz von mikrochirurgischen Techniken.

Abbildung 8

6 Monate nach der Augmentation.

Abbildung 9

Regenerierter Bereich im DVT. Die Knochenbreite beträgt jetzt 10,3 mm. Man kann deutlich die Spongia von der Kortikalis unterscheiden.

Abbildung 10

Regenerierter Bereich nach Lappenbildung. Gewebe gut durchblutet, Reste der Lamina sichtbar.

Abbildung 11

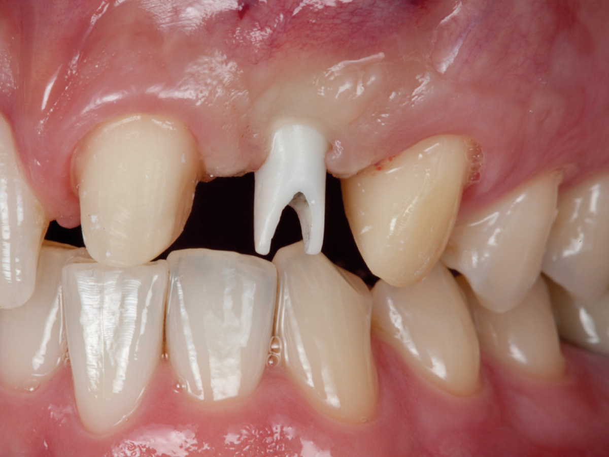
Ein Implantat mit 3,8 mm (Ø) konnte in seiner korrekten dreidimensionalen Position eingebracht werden.

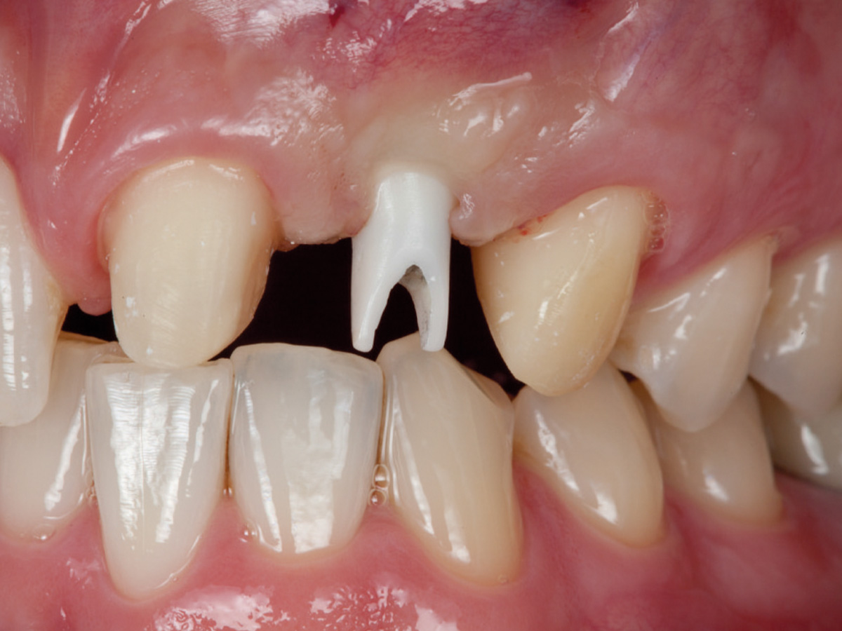
Abbildung 12

Regenerierter Alveolarkamm vor der prothetischen Versorgung.

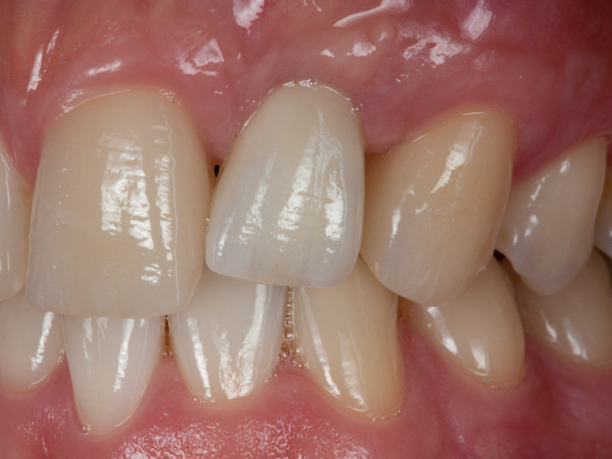
Abbildung 13

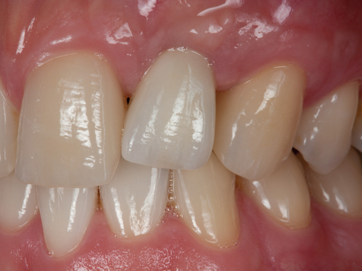
6 Monate nach vollkeramischer Versorgung.

Abbildung 14

6 Monate nach prothetischer Versorgung.

Verwendete Produkte

Produktgalerie überspringen

Zugehörige Produkte

mp3® Porcine (1x1,0 cc Spritze)
mp3® Porcine (1x1,0 cc Spritze)
Artikelnr.: 6310110
Herstellernr.: A3005FS

138,05 €
zzgl. MwSt.
zzgl. Versand
Soft Cortical Lamina® Fine Porcine 25x25x0,5 mm, dehydriert
Soft Cortical Lamina® Fine Porcine 25x25x0,5 mm, dehydriert
Artikelnr.: 6311020
Herstellernr.: LS25FS

197,00 €
zzgl. MwSt.
zzgl. Versand

Aktuelle Fortbildungen

2. Curriculum "The Art of Digital Dentistry"
16.
Jan.
2. Curriculum "The Art of Digital Dentistry"
Fr., 16.01.26, 09:00 - 20.06.26, 17:00 (Europe/Berlin)
München
Dr. Christian Leonhardt (klinische Leitung)
Prof. Dr. Markus Blatz (wissenschaftliche Leitung)
TEAM | 2. Curriculum "The Art of Digital Dentistry"
16.
Jan.
TEAM | 2. Curriculum "The Art of Digital Dentistry"
Fr., 16.01.26, 09:00 - 20.06.26, 17:00 (Europe/Berlin)
München
Dr. Christian Leonhardt (klinische Leitung)
Prof. Dr. Markus Blatz (wissenschaftliche Leitung)
 
26.
Feb.
4D Dentistry - das Update: Workflow, Software, Hardware, Fun
Do., 26.02.26, 20:00 - 22:00 (Europe/Berlin)
online
Dr. Christian Leonhardt
Endo Friday Meeting - Modul I
17.
Apr.
Endo Friday Meeting - Modul I
Fr., 17.04.26, 13:00 - 19:00 (Europe/Berlin)
Innsburck
ZA Eduardo Belandria
Endo Friday Meeting - Modul II
15.
Mai
Endo Friday Meeting - Modul II
Fr., 15.05.26, 13:00 - 19:00 (Europe/Berlin)
Innsburck
ZA Eduardo Belandria
Endo Friday Meeting - Modul III
05.
Juni
Endo Friday Meeting - Modul III
Fr., 05.06.26, 13:00 - 19:00 (Europe/Berlin)
Innsburck
ZA Eduardo Belandria
Kieferorthopädie heute: State of the Art - 4D
26.
Nov.
Kieferorthopädie heute: State of the Art - 4D
Do., 26.11.26, 09:00 - 28.11.26, 17:00 (Europe/Berlin)
München
Dr. Domingo Martin Salvador
Dr. Alberto Canábez Berthet