Zum Hauptinhalt springen Zur Suche springen Zur Hauptnavigation springen

Hinweis: Unser Sortiment richtet sich ausschließlich an Zahnarztpraxen, Zahnlabore und Unternehmen der Dentalbranche. Ein Verkauf an Privatpersonen ist ausgeschlossen.

Willkommen bei ADS. American Dental Systems. Gemeinsam verbessern wir die Zahnmedizin.

Rekonstruktion eines kombinierten vertikalen und horizontalen Knochendefekts vor Implantation im ästhetisch kompromittierten Gebiss mittels Bone-Lamina-Technik

Dieser Fall zeigt, wie Knochendefekte präimplantologisch in vertikaler und horizontaler Dimension einfach und vorhersagbar rekonstruiert werden können. Die vorhandenen Kronen 13-11 und 22-23 verletzen die biologische Breite, weshalb eine chirurgische Kronenverlängerung notwendig wird, um ein perfektes ästhetisches Ergebnis zu erzielen. 

Das Ziel der hier dargestellten Therapie ist die Rekonstruktion mittels Einzelzahnversorgungen in einem biologisch gesunden und stabilen parodontalen Umfeld. Die Grundvoraussetzungen für ein vorhersagbares implantologisches Langzeitergebnis sind eine ausreichend dimensionierte periimplantäre Knochensituation, eine qualitativ und quantitativ perfekte Weichgewebsmanschette und eine hygienefähige Prothetik.
Porträt Dr. Christopher Köttgen
Dr. Christopher Köttgen

Abbildung 1

Die Röntgenaufnahme zeigt, dass Zahn 21 nicht zu erhalten ist.

Abbildung 2

Klinische Ausgangssituation.

Abbildung 3

LZ-PV nach Entfernung von Zahn 21 mit Socket Seal und Weichgewebeaufbau(Punch).

Abbildung 4

12 Wochen nach Extraktion, gut verheilte Weichgewebesituation.

Abbildung 5

DVT, Knochendefizit in horizontaler und auch vertikaler Dimension.

Abbildung 6

Dargestellter Defekt.

Abbildung 7

Abbildung 8

Aufbau mit OsteoBiol® mp3, Bone Lamina Soft und Evolution.

Abbildung 9

Abbildung 10

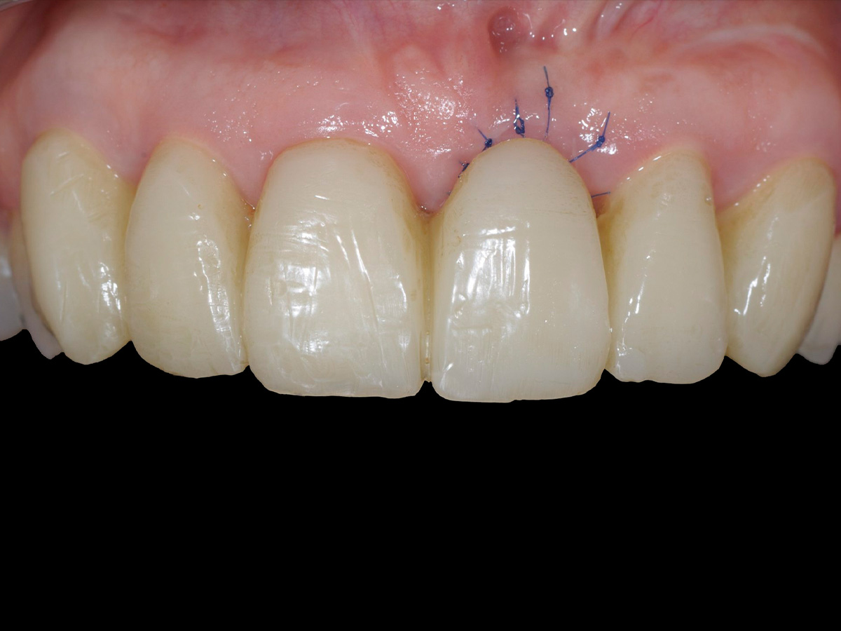
Wundverschluss.

Abbildung 11

Zustand 5 Monate nach Augmentation, Lamina noch vollständig erhalten.

Abbildung 12

Implantation: Gutes Knochenvolumen in horizontaler und vertikaler Dimension.

Abbildung 13

Implantation in optimaler prothetischer Ausrichtung möglich, da ausreichendes knöchernes Angebot in vertikaler und horizontaler Dimension.

Abbildung 14

Freilegung mittels modifiziertem Rolllappen.

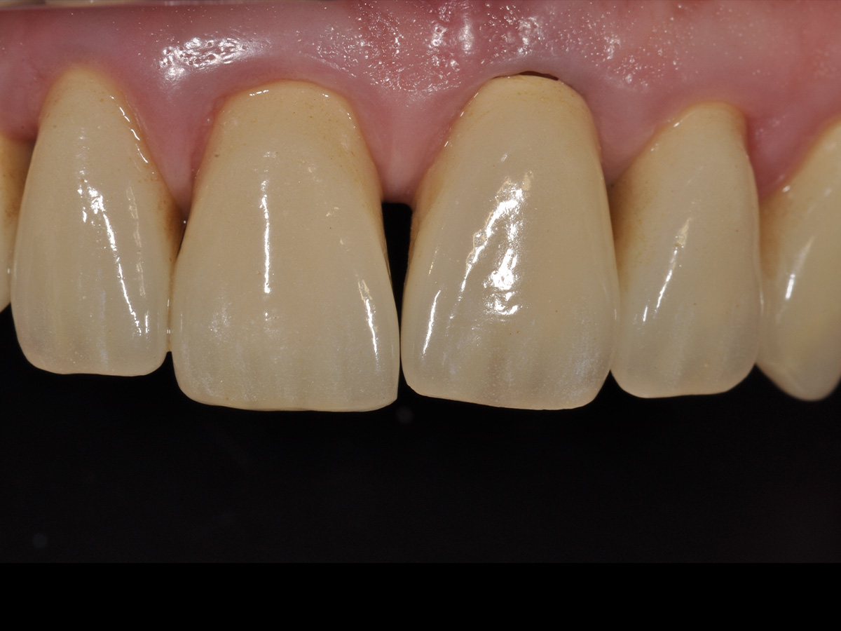
Abbildung 15

Abschlussfoto.

Abbildung 16

Röntgenkontrolle 2 Jahre nach Implantation.

Verwendete Produkte

Produktgalerie überspringen

Zugehörige Produkte

mp3® Porcine (3x0,5 cc Spritze)
mp3® Porcine (3x0,5 cc Spritze)
Artikelnr.: 6310100
Herstellernr.: A3015FS

316,20 €
zzgl. MwSt.
zzgl. Versand
mp3® Porcine (1x1,0 cc Spritze)
mp3® Porcine (1x1,0 cc Spritze)
Artikelnr.: 6310110
Herstellernr.: A3005FS

138,05 €
zzgl. MwSt.
zzgl. Versand
mp3® Porcine (3x1,0 cc Spritze)
mp3® Porcine (3x1,0 cc Spritze)
Artikelnr.: 6310120
Herstellernr.: A3030FS

414,15 €
zzgl. MwSt.
zzgl. Versand
Soft Cortical Lamina® Fine Porcine 25x25x0,5 mm, dehydriert
Soft Cortical Lamina® Fine Porcine 25x25x0,5 mm, dehydriert
Artikelnr.: 6311020
Herstellernr.: LS25FS

197,00 €
zzgl. MwSt.
zzgl. Versand
Evolution Membran Fine Equine 20x20x ca. 0,4 mm, dehydriert
Evolution Membran Fine Equine 20x20x ca. 0,4 mm, dehydriert
Artikelnr.: 6311120
Herstellernr.: EV02LLE

122,95 €
zzgl. MwSt.
zzgl. Versand
Evolution Membran Standard Porcine 20x20x0,4-0,6 mm, dehydriert
Evolution Membran Standard Porcine 20x20x0,4-0,6 mm, dehydriert
Artikelnr.: 6311170
Herstellernr.: EM02HS

122,95 €
zzgl. MwSt.
zzgl. Versand
Evolution Membran Fine Equine 30x30x 0,4 mm
Evolution Membran Fine Equine 30x30x 0,4 mm
Artikelnr.: 6311220
Herstellernr.: EV03LLE

150,55 €
zzgl. MwSt.
zzgl. Versand

Aktuelle Fortbildungen

2. Curriculum "The Art of Digital Dentistry"
16.
Jan.
2. Curriculum "The Art of Digital Dentistry"
Fr., 16.01.26, 09:00 - 20.06.26, 17:00 (Europe/Berlin)
München
Dr. Christian Leonhardt (klinische Leitung)
Prof. Dr. Markus Blatz (wissenschaftliche Leitung)
TEAM | 2. Curriculum "The Art of Digital Dentistry"
16.
Jan.
TEAM | 2. Curriculum "The Art of Digital Dentistry"
Fr., 16.01.26, 09:00 - 20.06.26, 17:00 (Europe/Berlin)
München
Dr. Christian Leonhardt (klinische Leitung)
Prof. Dr. Markus Blatz (wissenschaftliche Leitung)
 
26.
Feb.
4D Dentistry - das Update: Workflow, Software, Hardware, Fun
Do., 26.02.26, 20:00 - 22:00 (Europe/Berlin)
online
Dr. Christian Leonhardt
Endo Friday Meeting - Modul I
17.
Apr.
Endo Friday Meeting - Modul I
Fr., 17.04.26, 13:00 - 19:00 (Europe/Berlin)
Innsburck
ZA Eduardo Belandria
Endo Friday Meeting - Modul II
15.
Mai
Endo Friday Meeting - Modul II
Fr., 15.05.26, 13:00 - 19:00 (Europe/Berlin)
Innsburck
ZA Eduardo Belandria
Endo Friday Meeting - Modul III
05.
Juni
Endo Friday Meeting - Modul III
Fr., 05.06.26, 13:00 - 19:00 (Europe/Berlin)
Innsburck
ZA Eduardo Belandria
Kieferorthopädie heute: State of the Art - 4D
26.
Nov.
Kieferorthopädie heute: State of the Art - 4D
Do., 26.11.26, 09:00 - 28.11.26, 17:00 (Europe/Berlin)
München
Dr. Domingo Martin Salvador
Dr. Alberto Canábez Berthet