Zum Hauptinhalt springen Zur Suche springen Zur Hauptnavigation springen

Hinweis: Unser Sortiment richtet sich ausschließlich an Zahnarztpraxen, Zahnlabore und Unternehmen der Dentalbranche. Ein Verkauf an Privatpersonen ist ausgeschlossen.

Willkommen bei ADS. American Dental Systems. Gemeinsam verbessern wir die Zahnmedizin.

Obturation nach einer erfolgreichen Revision der insuffizienten Wurzelkanalfüllung mit einer symptomatischen apikalen Parodontitis

Der Patient stellte sich mit Aufbissschmerzen vor, wobei die klinische und röntgenologische Untersuchung eine symptomatische apikale Parodontitis an einem bereits wurzelkanalbehandelten Zahn 26 ergab. Die DVT-Aufnahme deutete auf einen unbehandelten zusätzlichen Kanal in der mesio-bukkalen Wurzel hin. Die Darstellung und Behandlung des mb2s sowie die Revision der bereits behandelten Kanäle erfolgte mit dem XP-endo® Rise Shaper bei einer hohen Umdrehungszahl von 2.500rpm.

Die Arbeitslängen der Kanäle wurden mittels elektrometrischer Messung bestimmt und die Kanäle aufbereitet. Alle Kanäle außer dem palatinalen wurden bakteriendicht mit einer Sealer-basierten Wurzelfülltechnik (Guttapercha und TotalFill® BC Sealer) verschlossen.

Für den ovalen Querschnitt der palatinalen Wurzel wurde eine warm-vertikale Technik angewendet. Dazu wurde der Guttapercha Hauptstift mit dem B&L Alpha und einem Hitzeplugger (55/.08) in der Tiefe abgetrennt und kondensiert.

Mit dem B&L Beta wurde der restliche Kanal nach der Backfill-Technik schrittweise mit erwärmter Guttapercha aufgefüllt. Die abschließenden Röntgenaufnahmen zeigen das Ergebnis, das mit den kabellosen Systemen präzise und effizient umgesetzt werden konnte.
Porträt Dr. Chinh Tran Khanh M.Sc.
Dr. Chinh Tran Khanh

Abbildung 1

DVT axial

Abbildung 2

DVT koronal

Abbildung 3

DVT sagittal

Abbildung 4

Abbildung 5

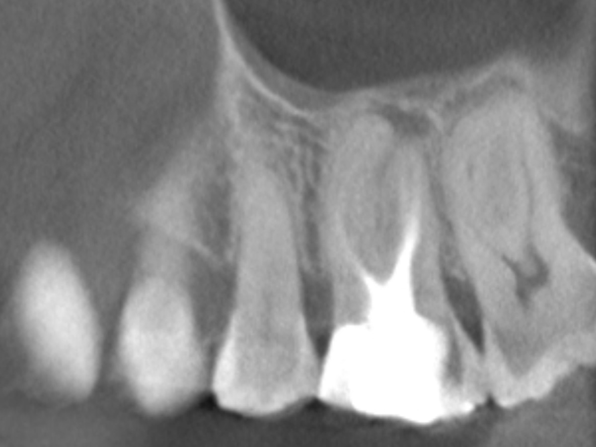
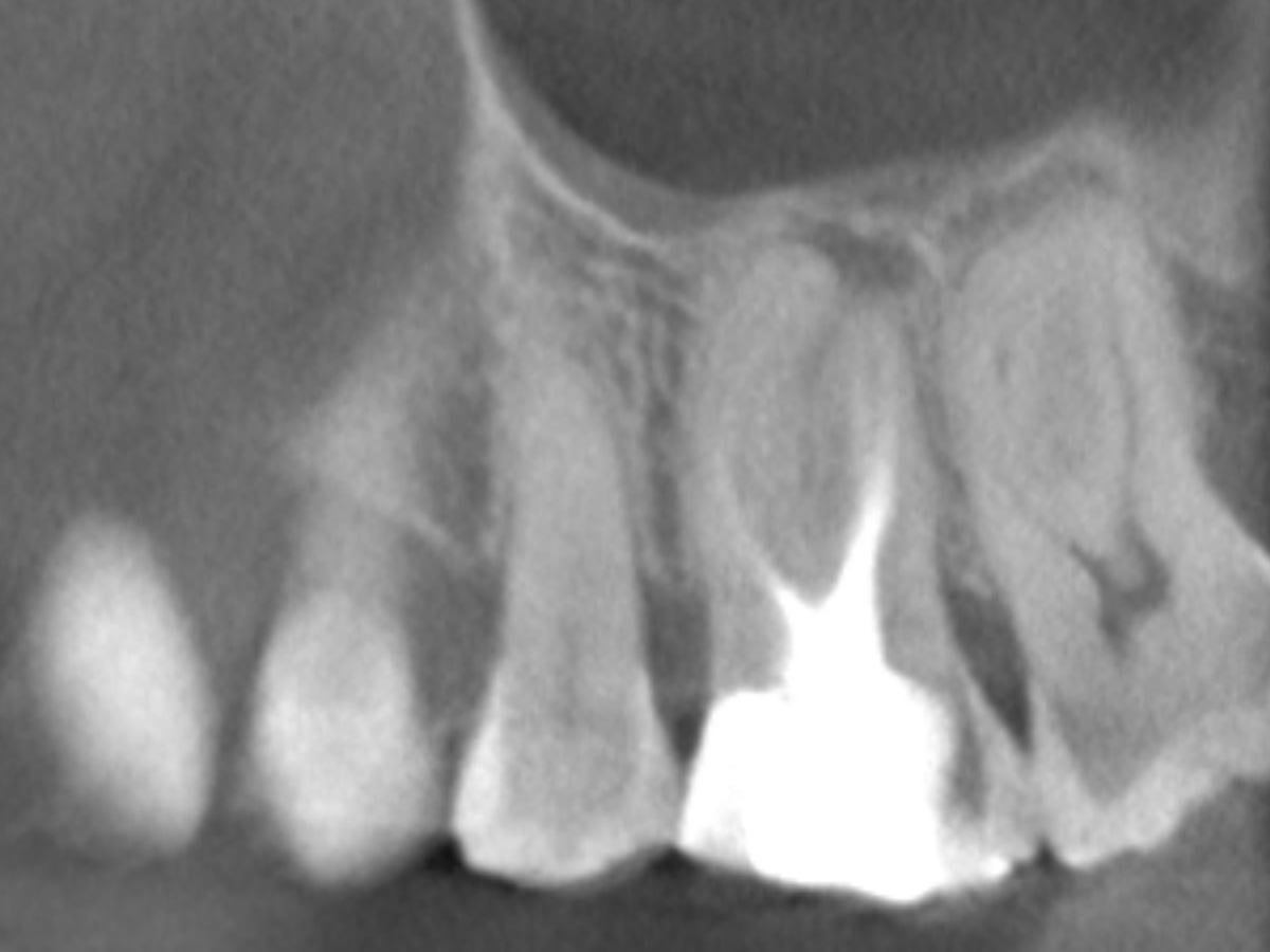
Abbildung 6

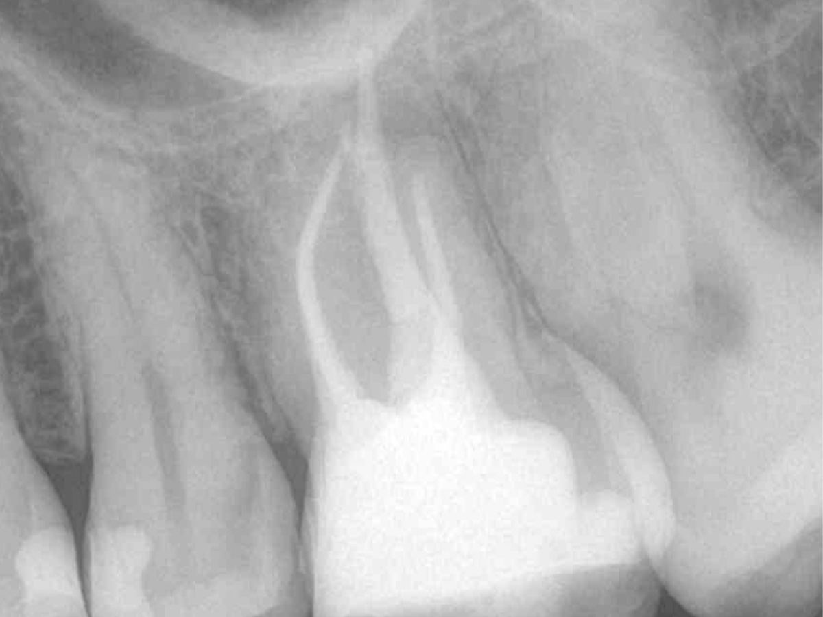
Wurzelfüllung 26 exzentrisch

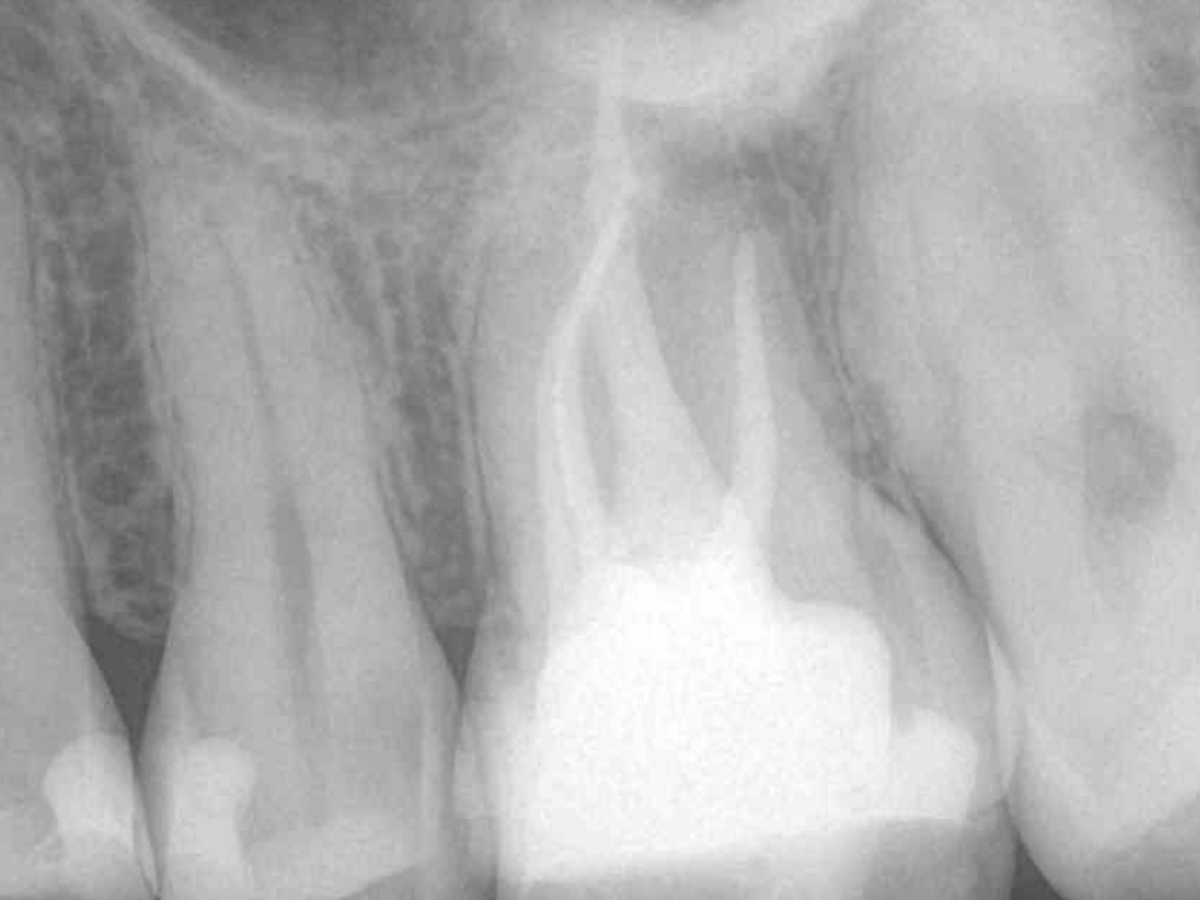
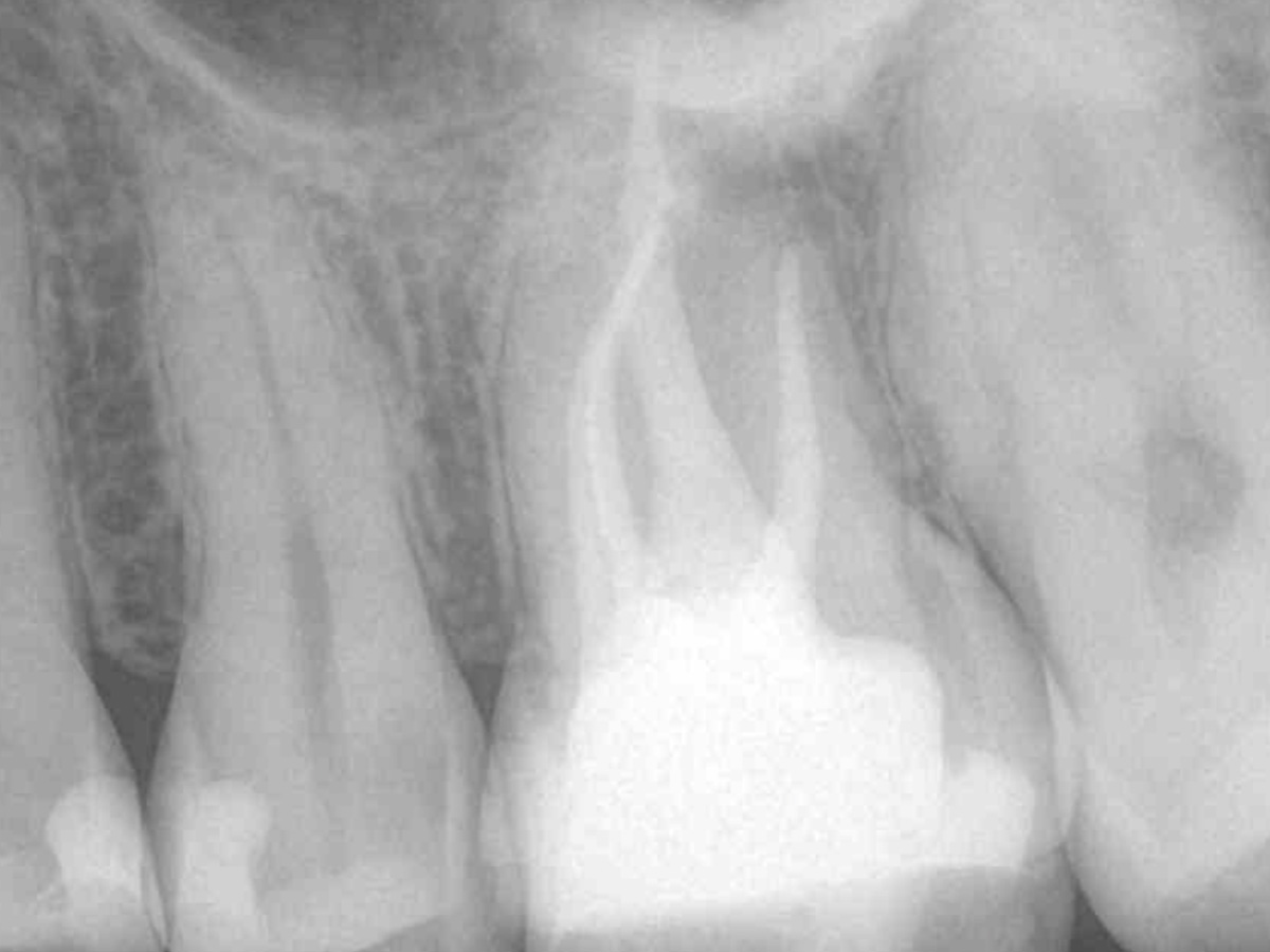
Abbildung 7

Wurzelfüllung 26 orthoadial

Verwendete Produkte

Produktgalerie überspringen

Zugehörige Produkte

SuperEndo Alpha II Starter Kit weiß mit 3 Pluggern, Pen (55/.06; 55/.08; 55/.10)
SuperEndo Alpha II Starter Kit weiß mit 3 Pluggern, Pen (55/.06; 55/.08; 55/.10)
Artikelnr.: 9833105
Herstellernr.: ASKW

1.356,55 €
zzgl. MwSt.
zzgl. Versand
Rooter X3000
Rooter X3000
Artikelnr.: 9591107
Herstellernr.: 08.971.00.000.FK

1.190,00 €
zzgl. MwSt.
zzgl. Versand
XP-endo Rise Retreatment - 31 mm DR1 30/.10, Rise Shaper 30/.04, Finisher R 30/.00 (3)
XP-endo Rise Retreatment - 31 mm DR1 30/.10, Rise Shaper 30/.04, Finisher R 30/.00 (3)
Artikelnr.: 9797922
Herstellernr.: S1.XB0.00.SAL.FK

73,45 €
zzgl. MwSt.
zzgl. Versand
SuperEndo Beta Mini Starter Kit weiß
SuperEndo Beta Mini Starter Kit weiß
Artikelnr.: 9846010
Herstellernr.: ESKW

1.356,55 €
zzgl. MwSt.
zzgl. Versand

Aktuelle Fortbildungen

2. Curriculum "The Art of Digital Dentistry"
16.
Jan.
2. Curriculum "The Art of Digital Dentistry"
Fr., 16.01.26, 09:00 - 20.06.26, 17:00 (Europe/Berlin)
München
Dr. Christian Leonhardt (klinische Leitung)
Prof. Dr. Markus Blatz (wissenschaftliche Leitung)
TEAM | 2. Curriculum "The Art of Digital Dentistry"
16.
Jan.
TEAM | 2. Curriculum "The Art of Digital Dentistry"
Fr., 16.01.26, 09:00 - 20.06.26, 17:00 (Europe/Berlin)
München
Dr. Christian Leonhardt (klinische Leitung)
Prof. Dr. Markus Blatz (wissenschaftliche Leitung)
 
26.
Feb.
4D Dentistry - das Update: Workflow, Software, Hardware, Fun
Do., 26.02.26, 20:00 - 22:00 (Europe/Berlin)
online
Dr. Christian Leonhardt
Endo Friday Meeting - Modul I
17.
Apr.
Endo Friday Meeting - Modul I
Fr., 17.04.26, 13:00 - 19:00 (Europe/Berlin)
Innsburck
ZA Eduardo Belandria
Endo Friday Meeting - Modul II
15.
Mai
Endo Friday Meeting - Modul II
Fr., 15.05.26, 13:00 - 19:00 (Europe/Berlin)
Innsburck
ZA Eduardo Belandria
Endo Friday Meeting - Modul III
05.
Juni
Endo Friday Meeting - Modul III
Fr., 05.06.26, 13:00 - 19:00 (Europe/Berlin)
Innsburck
ZA Eduardo Belandria
Kieferorthopädie heute: State of the Art - 4D
26.
Nov.
Kieferorthopädie heute: State of the Art - 4D
Do., 26.11.26, 09:00 - 28.11.26, 17:00 (Europe/Berlin)
München
Dr. Domingo Martin Salvador
Dr. Alberto Canábez Berthet