Zum Hauptinhalt springen Zur Suche springen Zur Hauptnavigation springen

Hinweis: Unser Sortiment richtet sich ausschließlich an Zahnarztpraxen, Zahnlabore und Unternehmen der Dentalbranche. Ein Verkauf an Privatpersonen ist ausgeschlossen.

Willkommen bei ADS. American Dental Systems. Gemeinsam verbessern wir die Zahnmedizin.

Revision einer insuffizienten Wurzelfüllung am Zahn 21

Eine 34-jähirge Patientin stellte sich mit dem Wunsch nach Kronenerneuerung am Zahn 21 (ästhetische Gründe) vor. Laut Patientin hat sich die Krone samt Stift bereits im Vorjahr gelockert und wurde vom vorherigen Zahnarzt wieder eingesetzt. Die Anamnese ergab eine insuffiziente Wurzelfüllung am Zahn 21, woraufhin eine Entfernung des Glasfaserstiftes, eine Revision der Wurzelfüllung und eine Aufbereitung des Wurzelkanals erfolgte.
Porträt Dr. Christoph Diezemann
Dr. Christoph Diezemann

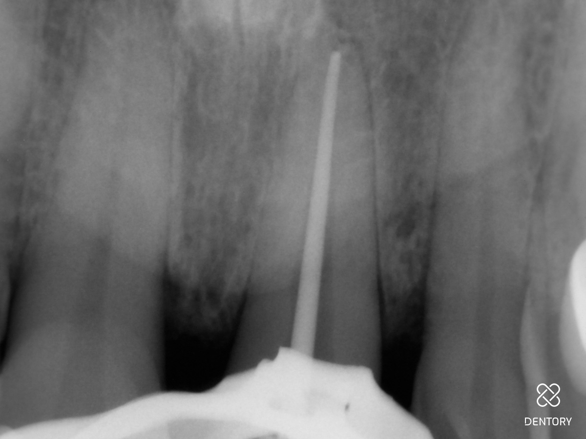
Abbildung 1

Ausgangssituation.

Abbildung 2

Einblick in den koronalen Wurzelkanalabschnitt nach der Trepanation mit einem Diamanten.

Abbildung 3

Entfernung des Glasfaserstiftes.

Abbildung 4

Restlicher Glasfaserstift am Übergang vom mittleren zum apikalen Kanalabschnitt.

Abbildung 5

Sobald der Glasfaserstift komplett entfernt worden ist, kann mit einer Revisionsfeile weitergearbeitet werden; Sicherheitslänge: 21 mm.

Abbildung 6

Maschinelle NiTi-Revisionsfeile bis Sicherheitslänge 21 mm in den Kanal einführen.

Abbildung 7

Mit einer 10er C-Feile kann man mit leichtem Druck und reziproker Feilenbewegung unter endometrischer Längenkontrolle weiter nach apikal vordringen.

Abbildung 8

Die Verwendung von Orangenöl-Spülung hilft, die Guttapercha aufzuweichen.

Abbildung 9

Aktivierung der Spüllösung mit Ultraschall, hier wurde mit 17%-iger Zitronensäure und 5%igen Natriumhypochlorid gespült.

Abbildung 10

Masterpointaufnahme: Angemischtes MTA im MTA-Block, Aufnahme mit einem Plugger.

Abbildung 11

Angemischtes MTA im MTA-Block, Aufnahme mit einem Plugger.

Abbildung 12

Einbringen des MTA's mit Plugger 0,5 mm kürzer als die Arbeitslänge.

Abbildung 13

Die apikalen 4-5 mm des Kanals wurden komplett mit MTA gefüllt; dabei wird das MTA in kleinen Portionen nach und nach mit leichtem Druck in den Kanal kompaktiert.

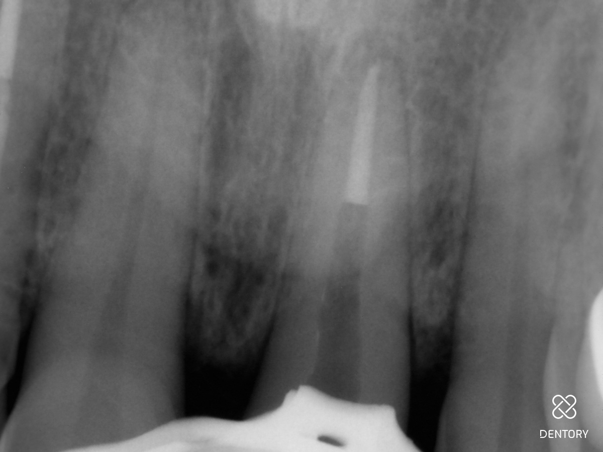
Abbildung 14

Röntgenkontrolle: Kontrolle der Füllung mit MTA-Plug.

Abbildung 15

Einprobe des Glasfaserstiftes.

Abbildung 16

Vorbehandlung der Keramik mit Flusssäure und Silan.

Abbildung 17

Einbringen eines geeigneten Adhäsivs mit einer Mikrobrush.

Abbildung 18

Einbringen eines geeigneten, dualhärtenden Stumpfaufbaumaterials. Der Ausgang des Applikatoraufsatzes sollte dicht am MTA im Kanal angesetzt werden.

Abbildung 19

Der Aufsatz sollte langsam aus dem Kanal gezogen werden während kontinuierlich Material herausgepresst wird (Vermeidung von Bläschenbildung im Aufbaumaterial).

Abbildung 20

Nach dem Einbringen des Stiftes sollte dieser nicht mehr viel bewegt und das Aufbaumaterial mit der Polymerisationslampe gehärtet werden.

Abbildung 21

Verschleifen des Stiftes mit einem Diamanten.

Abbildung 22

Abgeschlossene Wurzelkanalbehandlung.

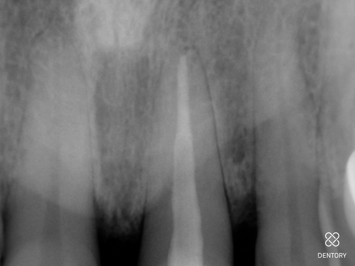
Abbildung 23

Röntgenkontrollaufnahme.

Verwendete Produkte

Produktgalerie überspringen

Zugehörige Produkte

Core-Flo DC Lite Universal Primer Kit
Core-Flo DC Lite Universal Primer Kit
Artikelnr.: 7939997
Herstellernr.: AB-17410K

226,35 €
zzgl. MwSt.
zzgl. Versand
Core-Flo DC Lite Natural/A1 Dual-Syringe (8 g)
Core-Flo DC Lite Natural/A1 Dual-Syringe (8 g)
Artikelnr.: 7940001
Herstellernr.: A-17801P

67,60 €
zzgl. MwSt.
zzgl. Versand
Core-Flo DC Lite Opaque White Dual-Syringe (8 g)
Core-Flo DC Lite Opaque White Dual-Syringe (8 g)
Artikelnr.: 7940002
Herstellernr.: A-17803P

67,60 €
zzgl. MwSt.
zzgl. Versand
MTA Root Canal Repair Material weiß (1 g)
MTA Root Canal Repair Material weiß (1 g)
Artikelnr.: 8984400
Herstellernr.: 8222

77,95 €
zzgl. MwSt.
zzgl. Versand
MTA Root Canal Repair Material grau (1 g)
MTA Root Canal Repair Material grau (1 g)
Artikelnr.: 8984410
Herstellernr.: 8202

77,95 €
zzgl. MwSt.
zzgl. Versand
D-Race Set: 2x DR1 30/.10, 2x DR2 25/.04 (2)
D-Race Set: 2x DR1 30/.10, 2x DR2 25/.04 (2)
Artikelnr.: 9796100S
Herstellernr.: S1.7B0.00.SAI.FK

52,15 €
zzgl. MwSt.
zzgl. Versand
D-Race DR1, 30/.10 - 15 mm (6)
D-Race DR1, 30/.10 - 15 mm (6)
Artikelnr.: 9796110S
Herstellernr.: S1.7B0.00.0FB.FK

80,95 €
zzgl. MwSt.
zzgl. Versand
D-Race DR2, 25/.04 - 25 mm (6)
D-Race DR2, 25/.04 - 25 mm (6)
Artikelnr.: 9796120S
Herstellernr.: S1.7B0.00.0FA.FK

74,95 €
zzgl. MwSt.
zzgl. Versand

Aktuelle Fortbildungen

2. Curriculum "The Art of Digital Dentistry"
16.
Jan.
2. Curriculum "The Art of Digital Dentistry"
Fr., 16.01.26, 09:00 - 20.06.26, 17:00 (Europe/Berlin)
München
Dr. Christian Leonhardt (klinische Leitung)
Prof. Dr. Markus Blatz (wissenschaftliche Leitung)
TEAM | 2. Curriculum "The Art of Digital Dentistry"
16.
Jan.
TEAM | 2. Curriculum "The Art of Digital Dentistry"
Fr., 16.01.26, 09:00 - 20.06.26, 17:00 (Europe/Berlin)
München
Dr. Christian Leonhardt (klinische Leitung)
Prof. Dr. Markus Blatz (wissenschaftliche Leitung)
 
26.
Feb.
4D Dentistry - das Update: Workflow, Software, Hardware, Fun
Do., 26.02.26, 20:00 - 22:00 (Europe/Berlin)
online
Dr. Christian Leonhardt
Endo Friday Meeting - Modul I
17.
Apr.
Endo Friday Meeting - Modul I
Fr., 17.04.26, 13:00 - 19:00 (Europe/Berlin)
Innsburck
ZA Eduardo Belandria
Endo Friday Meeting - Modul II
15.
Mai
Endo Friday Meeting - Modul II
Fr., 15.05.26, 13:00 - 19:00 (Europe/Berlin)
Innsburck
ZA Eduardo Belandria
Endo Friday Meeting - Modul III
05.
Juni
Endo Friday Meeting - Modul III
Fr., 05.06.26, 13:00 - 19:00 (Europe/Berlin)
Innsburck
ZA Eduardo Belandria
Kieferorthopädie heute: State of the Art - 4D
26.
Nov.
Kieferorthopädie heute: State of the Art - 4D
Do., 26.11.26, 09:00 - 28.11.26, 17:00 (Europe/Berlin)
München
Dr. Domingo Martin Salvador
Dr. Alberto Canábez Berthet