Zum Hauptinhalt springen Zur Suche springen Zur Hauptnavigation springen

Hinweis: Unser Sortiment richtet sich ausschließlich an Zahnarztpraxen, Zahnlabore und Unternehmen der Dentalbranche. Ein Verkauf an Privatpersonen ist ausgeschlossen.

Willkommen bei ADS. American Dental Systems. Gemeinsam verbessern wir die Zahnmedizin.

Revision der Wurzelfüllungen an den Zähnen 26 und 27

Eine 38-jähirge Patienten stellte sich mit Beschwerden beim Kauen am linken Oberkiefer vor. Die Anamnese ergab insuffiziente Wurzelfüllugen an den Zähnen 26 und 27 und lies eine Sekundärkaries mesial unter der Füllung am Zahn 28 erkennen.
Porträt Dr. Christoph Diezemann
Dr. Christoph Diezemann

Abbildung 1

Klinische Ausgangssituation.

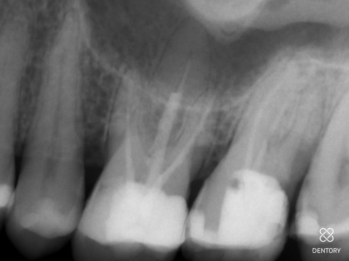
Abbildung 2

Röntgenologische Ausgangssituation.

Abbildung 3

Schaffung einer Zugangskavität durch Entfernung der alten Füllungen und einer Sekundärkaries.

Abbildung 4

Aufbaufüllung: Versorgung des Zahnes mit einer dichten und stabilen Aufbaufüllung vor Beginn der Wurzelbehandlung. Am besten sind dafür adhäsiv befestigte Kompositfüllungen geeignet.

Abbildung 5

Lokalisierung der Kanäle: Ein feiner, überlanger Rosenbohrer eignet sich für die Suche nach mb2-Kanal besonders gut. Achtung bei der Suche nach mb2-Kanal: Immer mesial der Verbindungslinie des mb1-Kanals und des palantinalen Kanals. Perforationsgefahr nach interradikulär.

Abbildung 6

Der weißliche mb2-Kanaleingang hebt sich vom dunkleren Pulpenboden ab.

Abbildung 7

Maschinelle Guttapercha-Entfernung: Entfernung der koronalen Guttapercha mit einer Revisionsfeile nach vorherigem Aufweichen der Guttapercha mit Orangenöl. Die restliche Aufbereitung erfolgt mit NiTi-Feilen.

Abbildung 8

Händische Guttapercha-Entfernung: Entfernung der Guttapercha, die über die Konstriktion hinaus geht mit einer Hedström-Feile ISO 25.

Abbildung 9

Ertasten des mb2-Kanaleingangs mit einem Micro Opener.

Abbildung 10

Sondierung des mb2-Kanals mit einer C-Feile ISO 10.

Abbildung 11

Kontrolle: Mit NiTi-INstrumenten aufbereitete mb-Kanäle.

Abbildung 12

Aktivierung der Spülflüssigkeit: Die Spülflüssigkeit kann mit Ultraschall oder - wie hier - mit einem Laser aktiviert werden.

Abbildung 13

Einprobe der Guttapercha-Spitzen vor der Masterpoint-Aufnahme.

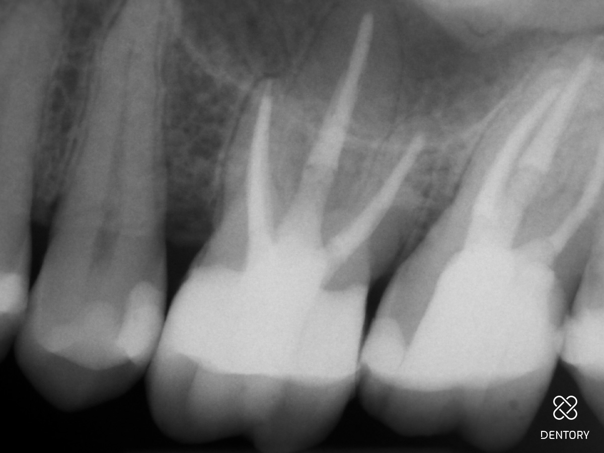
Abbildung 14

Kontrolle mit Masterpoint-Aufnahme.

Abbildung 15

Abfüllung: Sealer für Wurzelfüllung mit Lentulo in Kanäle einbringen.

Abbildung 16

Platzierung der Guttapercha: Durch die hier vorhandene Verbindung beider Kanäle wird beim Füllen des mb1-Kanals auch Sealer in den mb2-Kanal gepresst.

Abbildung 17

Abtrennung der Guttapercha: Guttapercha-Soitzen werden mit einem Hitzeplugger tief am Kanaleingang abgetrennt.

Abbildung 18

Kontrolle: Gefüllte Kanäle nach dem Abtrennen der Guttapercha.

Abbildung 19

Sealerreste entfernen: Entfernung des verbleibenden Sealers am Pulpenboden und der Pulpakammerwand mit dem Microetcher.

Abbildung 20

Verschluss mit Komposit: Nach Vorbereitung mit einem Haftvermittler kann die Kavität mit einem Komposit verschlossen werden.

Abbildung 21

Abschluss: Der Zahn hat nun einen stabilen und dichten Kompositaufbau und kann langfristig mit einer Krone oder Teilkrone prothetisch versorgt werden (vorab Röntgen-Recall nach sechs Monaten).

Abbildung 22

Post-OP.

Verwendete Produkte

Produktgalerie überspringen

Zugehörige Produkte

Micro Etcher CD Kavo ** -Anschluss
Micro Etcher CD Kavo ** -Anschluss
Artikelnr.: 9821250
Herstellernr.: 201936-00

482,45 €
zzgl. MwSt.
zzgl. Versand
Micro Etcher CD für Sirona**-Anschluss
Micro Etcher CD für Sirona**-Anschluss
Artikelnr.: 9821255
Herstellernr.: 201935-00

482,45 €
zzgl. MwSt.
zzgl. Versand

Aktuelle Fortbildungen

2. Curriculum "The Art of Digital Dentistry"
16.
Jan.
2. Curriculum "The Art of Digital Dentistry"
Fr., 16.01.26, 09:00 - 20.06.26, 17:00 (Europe/Berlin)
München
Dr. Christian Leonhardt (klinische Leitung)
Prof. Dr. Markus Blatz (wissenschaftliche Leitung)
TEAM | 2. Curriculum "The Art of Digital Dentistry"
16.
Jan.
TEAM | 2. Curriculum "The Art of Digital Dentistry"
Fr., 16.01.26, 09:00 - 20.06.26, 17:00 (Europe/Berlin)
München
Dr. Christian Leonhardt (klinische Leitung)
Prof. Dr. Markus Blatz (wissenschaftliche Leitung)
 
26.
Feb.
4D Dentistry - das Update: Workflow, Software, Hardware, Fun
Do., 26.02.26, 20:00 - 22:00 (Europe/Berlin)
online
Dr. Christian Leonhardt
Endo Friday Meeting - Modul I
17.
Apr.
Endo Friday Meeting - Modul I
Fr., 17.04.26, 13:00 - 19:00 (Europe/Berlin)
Innsburck
ZA Eduardo Belandria
Endo Friday Meeting - Modul II
15.
Mai
Endo Friday Meeting - Modul II
Fr., 15.05.26, 13:00 - 19:00 (Europe/Berlin)
Innsburck
ZA Eduardo Belandria
Endo Friday Meeting - Modul III
05.
Juni
Endo Friday Meeting - Modul III
Fr., 05.06.26, 13:00 - 19:00 (Europe/Berlin)
Innsburck
ZA Eduardo Belandria
Kieferorthopädie heute: State of the Art - 4D
26.
Nov.
Kieferorthopädie heute: State of the Art - 4D
Do., 26.11.26, 09:00 - 28.11.26, 17:00 (Europe/Berlin)
München
Dr. Domingo Martin Salvador
Dr. Alberto Canábez Berthet