Zum Hauptinhalt springen Zur Suche springen Zur Hauptnavigation springen

Hinweis: Unser Sortiment richtet sich ausschließlich an Zahnarztpraxen, Zahnlabore und Unternehmen der Dentalbranche. Ein Verkauf an Privatpersonen ist ausgeschlossen.

Willkommen bei ADS. American Dental Systems. Gemeinsam verbessern wir die Zahnmedizin.

Seitenzahnfüllungen mit Hilfe der innovativen Bioclear Evolve Matrizen

In dieser Fallpräsentation von Dr. Aria Köppen wird die ästhetische Versorgung kariöser Läsionen an den Zähnen 14 und 15 mithilfe der Bioclear Evolve Technik dargestellt. Nach der Entfernung der defekten Amalgamfüllungen und sorgfältiger Kavitätenvorbereitung wurde mithilfe der Komposit-Schichttechnik eine hochästhetische und funktionelle Restauration erzielt. Die schrittweise Darstellung zeigt den gesamten Behandlungsablauf – von der Diagnose über die adhäsive Befestigung bis hin zur finalen Politur – und veranschaulicht die Vorteile der modernen Kompositrestauration.

Dr. Aria Köppen
Autor(en)
Dr. Aria Köppen

Abbildung 1

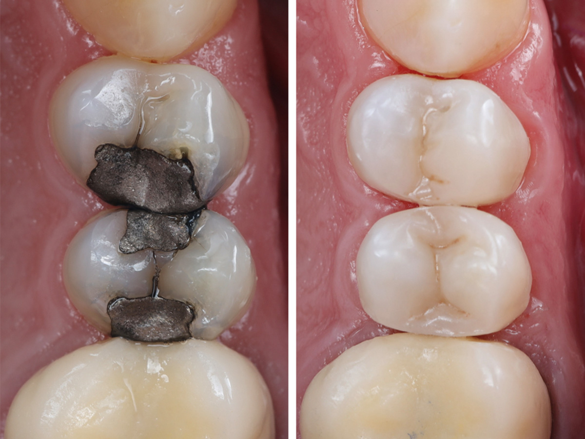
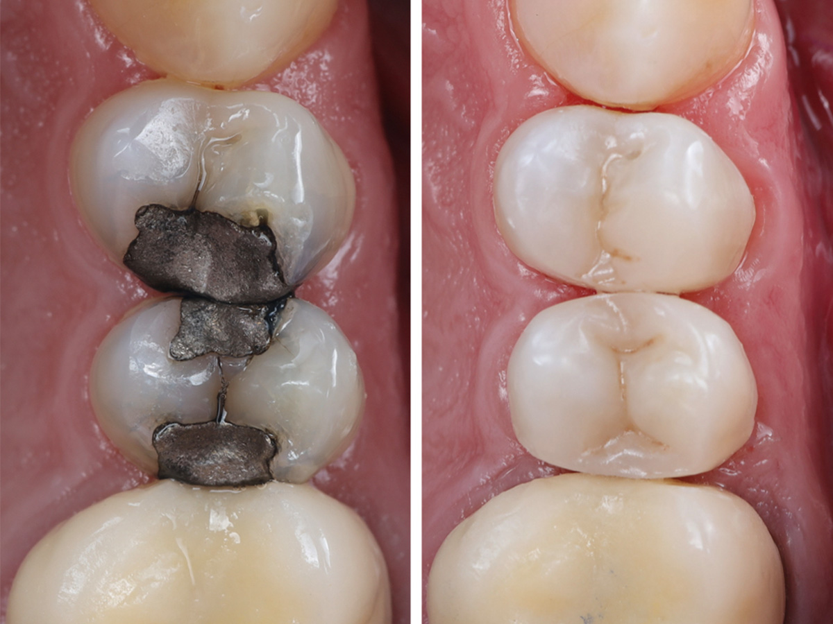
Bei dem Patienten wurden kariöse Läsionen unter den bestehenden Amalgamrestaurationen an den Zähnen 14 und 15 diagnostiziert.

Abbildung 2

Nach örtlicher Betäubung regio 14, 15 wurde zur Sicherstellung einer trockenen Arbeitsumgebung ein Kofferdam (Isodam Medium) angelegt und invertiert.

Abbildung 3

Es erfolgte die vollständige Entfernung der Amalgamfüllung sowie der darunter liegenden kariösen Läsionen. Eine saubere Peripheal Seal Zone wurde präzise präpariert. Die Schmelzränder wurden angeschrägt und die Kavitätenoberflächen mit dem AquaCare-System unter der Verwendung von Aluminiumoxid (29mikrom) abgestrahlt um einen optimalen Haftverbund der nachfolgenden adhäsiven Restauration zu ermöglichen.

Abbildung 4

Zur anatomisch korrekten Rekonstruktion der approximalen Kontaktpunkte wurden Bioclear Evolve Matrizen individuell ausgemessen und die passenden Matrizen selektiert (schwarz, 5mm). Die Matrizen wurden mit den entsprechenden Bioclear Evolve Keilen (pink) adaptiert.

Abbildung 5

Als erstes wurde Zahn 14 mit der Injection-Moulding-Technik gefüllt (Komposit: Shofu Beautiful LS, A2).

Abbildung 6

Im Anschluss folgte die Füllung an Zahn 15. Zunächst wurde aus der MOD-Kavität auch in der Injection-Molding-Technik eine Klasse I konstruiert.

Abbildung 7

Die okklusale Anatomie wurde Höcker für Höcker naturgetreu modelliert, um eine sowohl funktionell als auch ästhetisch hochwertige Versorgung zu gewährleisten.

Abbildung 8

Effektfarben (Inspiro Chroma, Fissure) wurden in die modellierten Fissuren minimal aufgetragen.

Abbildung 9

Ausarbeitung und Politur mit Kofferdam.

Abbildung 10

Fertigstellung nach Überprüfung der Okklusion.

Abbildung 11

Vorher/Nachher

Verwendete Produkte

Produktgalerie überspringen

Zugehörige Produkte

inspiro Effektfarbton Chroma, Spritze (1x1,5 g)
inspiro Effektfarbton Chroma, Spritze (1x1,5 g)
Artikelnr.: 7271803
Herstellernr.: 3830

44,10 €
inspiro Effektfarbton Fissure, Spritze (1x1,5 g)
inspiro Effektfarbton Fissure, Spritze (1x1,5 g)
Artikelnr.: 7271804
Herstellernr.: 3840

44,10 €

Aktuelle Fortbildungen

Endo Friday Meeting - Modul I
17.
Apr.
Endo Friday Meeting - Modul I
17.04.26 - 17.04.26 (Europe/Berlin)
Innsburck
ZA Eduardo Belandria
Modernes Knochenmanagement
18.
Apr.
Modernes Knochenmanagement
18.04.26 - 18.04.26 (Europe/Berlin)
Köln
Dr. Kai Zwanzig
Endo Friday Meeting - Modul II
15.
Mai
Endo Friday Meeting - Modul II
15.05.26 - 15.05.26 (Europe/Berlin)
Innsburck
ZA Eduardo Belandria
Endo Friday Meeting - Modul III
05.
Juni
Endo Friday Meeting - Modul III
05.06.26 - 05.06.26 (Europe/Berlin)
Innsburck
ZA Eduardo Belandria
Kieferorthopädie heute: State of the Art - 4D
26.
Nov.
Kieferorthopädie heute: State of the Art - 4D
26.11.26 - 28.11.26 (Europe/Berlin)
München
Dr. Domingo Martin Salvador
Dr. Alberto Canábez Berthet