Zum Hauptinhalt springen Zur Suche springen Zur Hauptnavigation springen

Hinweis: Unser Sortiment richtet sich ausschließlich an Zahnarztpraxen, Zahnlabore und Unternehmen der Dentalbranche. Ein Verkauf an Privatpersonen ist ausgeschlossen.

Willkommen bei ADS. American Dental Systems. Gemeinsam verbessern wir die Zahnmedizin.

Simultane Implantation und Augmentation Regio 36

Bei diesem Fall handelt es sich um ein Standardproblem aus dem Patientenklientel von PD Dr. Michael Weinländer. Auf den DVT-Bildern ist ein fehlender Molar mit einer Atrophie der bukkalen Knochenwand zu sehen, was sowohl in der volumetrischen Darstellung (Abb. 1) als auch der Oberflächendarstellung (Abb. 2) gut zu erkennen ist. 

 Einen horizontalen Schnitt durch die entsprechende Knochenregion mit den gemessenen Knochenbreiten zeigt Abb. 3, während Abb. 4 die geplante Implantatgröße mit den Knochenbreiten im zervikalen Anteil des Kieferkammes abbildet. 

Nach Implantation wurde die zugeschnittene Bone Lamina positioniert und mit Pins fixiert, die Situation danach ist in Abb. 5 zu sehen. Mit dem Instrument wird demonstriert, dass eine „Tasche“ geschaffen wurde, die in Abb. 6 mit mp3® Knochengranulat aufgefüllt wird. Abb. 7 stellt dar, wie die Bone Lamina über den Kopf des Implantates auf den lingualen Anteil des Kieferkammes positioniert wird. 

Abb. 8 zeigt die Situation vor dem Freilegen des Implantates und Abb. 9 die erfolgreiche Augmentation fünf Monate post operativ. Zu erkennen sind zwei Pins, deren Position sich im Niveau der Augmentation befinden und damit verdeutlichen, dass es zu keiner Resorption des ursprünglichen Augmentationsniveaus gekommen ist. 

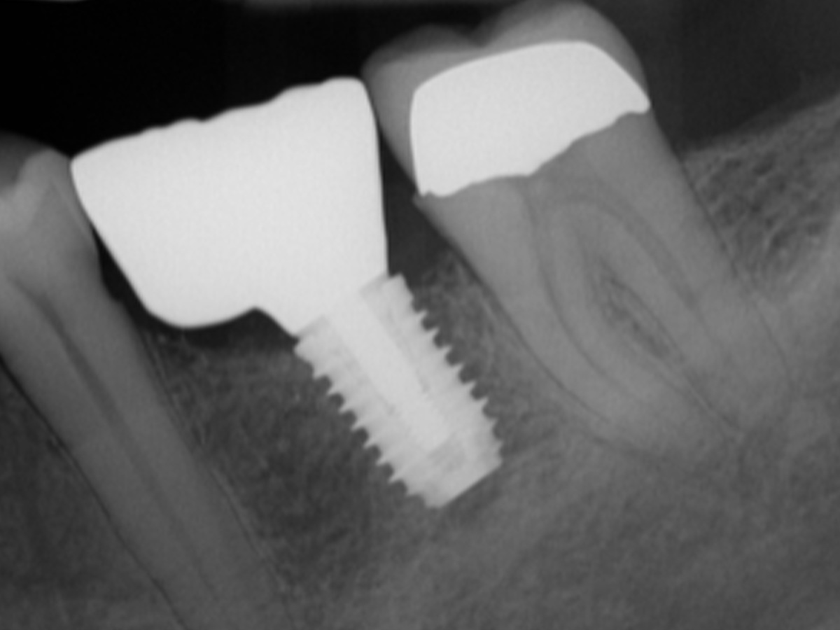
Bei den Abb. 10 und 11 handelt es sich um das Einzelzahnröntgen der Situation und das klinische Bild der implantatgetragenen Versorgung.
Porträt PD DDr. Michael Weinländer
PD DDr. Michael Weinländer

Abbildung 1

Ausgangssituation (DVT-Bilder): Fehlender Molar mit Atrophie der bukkalen Knochenwand.

Abbildung 2

Horizontaler Schnitt durch die entsprechende Knochenregion und gemessene Knochenbreiten.

Abbildung 3

Geplante Implantatgröße mit Knochenbreiten im zervikalen Anteil des Kieferkammes.

Abbildung 4

Nach Implantation: Positionierung und Fixierung der Bone Lamina.

Abbildung 5

Füllung mit mp3® Knochengranulat.

Abbildung 6

Positionierung der Bone Lamina auf den lingualen Anteil des Kieferkammes.

Abbildung 7

Situation vor dem Freilegen des Implantates.

Abbildung 9

Augmentation nach fünf Monaten (klinisch).

Abbildung 10

Augmentation nach fünf Monaten (röntgenologisch).

Abbildung 11

Endergebnis: Die implantatgetragene Versorgung.

Verwendete Produkte

Produktgalerie überspringen

Zugehörige Produkte

Soft Cortical Lamina® Fine Porcine 25x25x0,5 mm, dehydriert
Soft Cortical Lamina® Fine Porcine 25x25x0,5 mm, dehydriert
Artikelnr.: 6311020
Herstellernr.: LS25FS

197,00 €
zzgl. MwSt.
zzgl. Versand
Curved Lamina® soft 35x35x1,0 mm, Porcine #LS10HS
Curved Lamina® soft 35x35x1,0 mm, Porcine #LS10HS
Artikelnr.: 6311050
Herstellernr.: LS10HS

254,70 €
zzgl. MwSt.
zzgl. Versand

Aktuelle Fortbildungen

2. Curriculum "The Art of Digital Dentistry"
16.
Jan.
2. Curriculum "The Art of Digital Dentistry"
Fr., 16.01.26, 09:00 - 20.06.26, 17:00 (Europe/Berlin)
München
Dr. Christian Leonhardt (klinische Leitung)
Prof. Dr. Markus Blatz (wissenschaftliche Leitung)
TEAM | 2. Curriculum "The Art of Digital Dentistry"
16.
Jan.
TEAM | 2. Curriculum "The Art of Digital Dentistry"
Fr., 16.01.26, 09:00 - 20.06.26, 17:00 (Europe/Berlin)
München
Dr. Christian Leonhardt (klinische Leitung)
Prof. Dr. Markus Blatz (wissenschaftliche Leitung)
 
26.
Feb.
4D Dentistry - das Update: Workflow, Software, Hardware, Fun
Do., 26.02.26, 20:00 - 22:00 (Europe/Berlin)
online
Dr. Christian Leonhardt
Endo Friday Meeting - Modul I
17.
Apr.
Endo Friday Meeting - Modul I
Fr., 17.04.26, 13:00 - 19:00 (Europe/Berlin)
Innsburck
ZA Eduardo Belandria
Endo Friday Meeting - Modul II
15.
Mai
Endo Friday Meeting - Modul II
Fr., 15.05.26, 13:00 - 19:00 (Europe/Berlin)
Innsburck
ZA Eduardo Belandria
Endo Friday Meeting - Modul III
05.
Juni
Endo Friday Meeting - Modul III
Fr., 05.06.26, 13:00 - 19:00 (Europe/Berlin)
Innsburck
ZA Eduardo Belandria
Kieferorthopädie heute: State of the Art - 4D
26.
Nov.
Kieferorthopädie heute: State of the Art - 4D
Do., 26.11.26, 09:00 - 28.11.26, 17:00 (Europe/Berlin)
München
Dr. Domingo Martin Salvador
Dr. Alberto Canábez Berthet