Zum Hauptinhalt springen Zur Suche springen Zur Hauptnavigation springen

Hinweis: Unser Sortiment richtet sich ausschließlich an Zahnarztpraxen, Zahnlabore und Unternehmen der Dentalbranche. Ein Verkauf an Privatpersonen ist ausgeschlossen.

Willkommen bei ADS. American Dental Systems. Gemeinsam verbessern wir die Zahnmedizin.

Sinusbodenaugmentation mit xenogenem Augmentationsmaterial und spezieller Kondensationstechnik für eine stabile Implantatinsertion

Der Fall zeigt, wie auch bei ausgedehntem Knochenverlust im Oberkiefer-Seitenzahnbereich mit minimalen Restknochenhöhen des Kieferhöhlenbodens mit Hilfe eines xenogenen Augmentationsmaterials (Apatos Mix, Technos) eine sichere und stabile Sinusbodenaugmentation gelingt. 

 Der Wunsch des Patienten war eine festsitzende Versorgung der seit längerer Zeit zahnlosen Regionen 26 und 27. Zunächst wurde der Knochen in Volumen und Stabilität für eine folgende Implantation aufgebaut. Nach 6 monatiger Einheilzeit erfolgte die stabile Insertion von 2 Titanimplantaten. Durch eine spezielle Knochenkondensationstechnik (Versah Densah Burs) konnte beim Inserieren der Implantate eine hohe Primärstabilität von 35 Ncm erreicht werden - dies gelingt mit der Methode auch bei Implantaten, die - wie in diesem Fall - zu 80 % im neu aufgebauten Knochen stehen. Die Implantate befinden sich in der Einheilphase, die mit 4 Monaten definiert wurde.
Porträt Prof. Dr. Dr. Florian Stelzle
Prof. Dr. Dr. Florian Stelzle

Abbildung 1

OPG Ausgangsbild (Ausschnitt).

Abbildung 2

Zugangsschnittführung zur Kieferhöhle.

Abbildung 3

Sinusbodenaugementation mit xenogenem Material (Apatos Mix; 10 % Eigenknochen aus Zugangspräparation beigemischt).

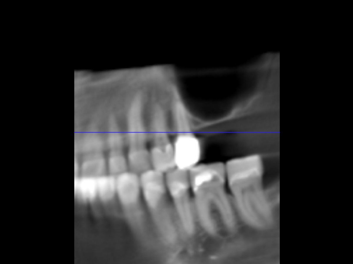
Abbildung 4

DVT vor Implantation (Ausschitt).

Abbildung 5

Implantatbettaufbereitung mit der Bone Condensing Methode (Versah Densah Burs).

Abbildung 6

Implantinsertion in den augmentierten Bereich.

Abbildung 7

Primärstabilität bei 35 Ncm.

Abbildung 8

OPG nach Implantinsertion (Ausschitt).

Verwendete Produkte

Produktgalerie überspringen

Zugehörige Produkte

Total Universal Densah Bur® Kit
Total Universal Densah Bur® Kit
Artikelnr.: 2360129
Herstellernr.: Full kit+ bur block new + 7 burs

3.391,85 €
zzgl. MwSt.
zzgl. Versand
Universal Regular DENSAH® Bur Kit
Universal Regular DENSAH® Bur Kit
Artikelnr.: 2360132
Herstellernr.: Universal Regular Densah Bur kit with pilot drill

2.201,40 €
zzgl. MwSt.
zzgl. Versand
Apatos® Mix Porcine (0,5 g)
Apatos® Mix Porcine (0,5 g)
Artikelnr.: 6310200
Herstellernr.: A1005FS

77,80 €
zzgl. MwSt.
zzgl. Versand
Apatos® Mix Porcine (1,0 g)
Apatos® Mix Porcine (1,0 g)
Artikelnr.: 6310210
Herstellernr.: A1010FS

121,70 €
zzgl. MwSt.
zzgl. Versand
Apatos® Mix Porcine (2,0 g)
Apatos® Mix Porcine (2,0 g)
Artikelnr.: 6310220
Herstellernr.: A1020FS

234,65 €
zzgl. MwSt.
zzgl. Versand

Aktuelle Fortbildungen

2. Curriculum "The Art of Digital Dentistry"
16.
Jan.
2. Curriculum "The Art of Digital Dentistry"
Fr., 16.01.26, 09:00 - 20.06.26, 17:00 (Europe/Berlin)
München
Dr. Christian Leonhardt (klinische Leitung)
Prof. Dr. Markus Blatz (wissenschaftliche Leitung)
TEAM | 2. Curriculum "The Art of Digital Dentistry"
16.
Jan.
TEAM | 2. Curriculum "The Art of Digital Dentistry"
Fr., 16.01.26, 09:00 - 20.06.26, 17:00 (Europe/Berlin)
München
Dr. Christian Leonhardt (klinische Leitung)
Prof. Dr. Markus Blatz (wissenschaftliche Leitung)
 
26.
Feb.
4D Dentistry - das Update: Workflow, Software, Hardware, Fun
Do., 26.02.26, 20:00 - 22:00 (Europe/Berlin)
online
Dr. Christian Leonhardt
Endo Friday Meeting - Modul I
17.
Apr.
Endo Friday Meeting - Modul I
Fr., 17.04.26, 13:00 - 19:00 (Europe/Berlin)
Innsburck
ZA Eduardo Belandria
Endo Friday Meeting - Modul II
15.
Mai
Endo Friday Meeting - Modul II
Fr., 15.05.26, 13:00 - 19:00 (Europe/Berlin)
Innsburck
ZA Eduardo Belandria
Endo Friday Meeting - Modul III
05.
Juni
Endo Friday Meeting - Modul III
Fr., 05.06.26, 13:00 - 19:00 (Europe/Berlin)
Innsburck
ZA Eduardo Belandria
Kieferorthopädie heute: State of the Art - 4D
26.
Nov.
Kieferorthopädie heute: State of the Art - 4D
Do., 26.11.26, 09:00 - 28.11.26, 17:00 (Europe/Berlin)
München
Dr. Domingo Martin Salvador
Dr. Alberto Canábez Berthet