Zum Hauptinhalt springen Zur Suche springen Zur Hauptnavigation springen

Hinweis: Unser Sortiment richtet sich ausschließlich an Zahnarztpraxen, Zahnlabore und Unternehmen der Dentalbranche. Ein Verkauf an Privatpersonen ist ausgeschlossen.

Willkommen bei ADS. American Dental Systems. Gemeinsam verbessern wir die Zahnmedizin.

Sinusbodenelevation im Seitenzahnbereich des Oberkiefers

Im vorliegenden Fall zeigt Dr. Patrick Palacci wie er im Rahmen einer Sinusbodenelevation das neue OsteoBiol® GTO® nutzt, um die Implantate bei der Sofortimplantation zu stabilisieren. 

Angaben zum Patienten
Geschlecht: weiblich 
Alter: 70 Jahre
Porträt Dr. Patrick Palacci
Dr. Patrick Palacci

Abbildung 1

Die Versorgung dieses hochatrophen Oberkiefers erfordert einen Sinuslift.

Abbildung 2

Osteotomie und Elevation der Schneiderschen Membran.

Abbildung 3

Augmentation des Sinusbodens mit OsteoBiol® GTO®.

Abbildung 4

Der Augmentationsbereich ist bereit für die Sofortimplantation.

Abbildung 5

Das OsteoBiol® GTO® im Sinus und rund um die Implantate wird kompaktiert.

Abbildung 6

Der augmentierte Sinus.

Abbildung 7

Einsetzen der Gingivaformer nach vier Monaten.

Abbildung 8

Wundverschluss, Okklusalansicht.

Abbildung 9

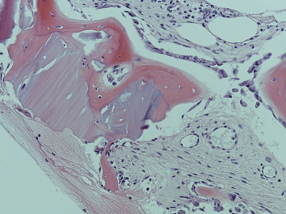
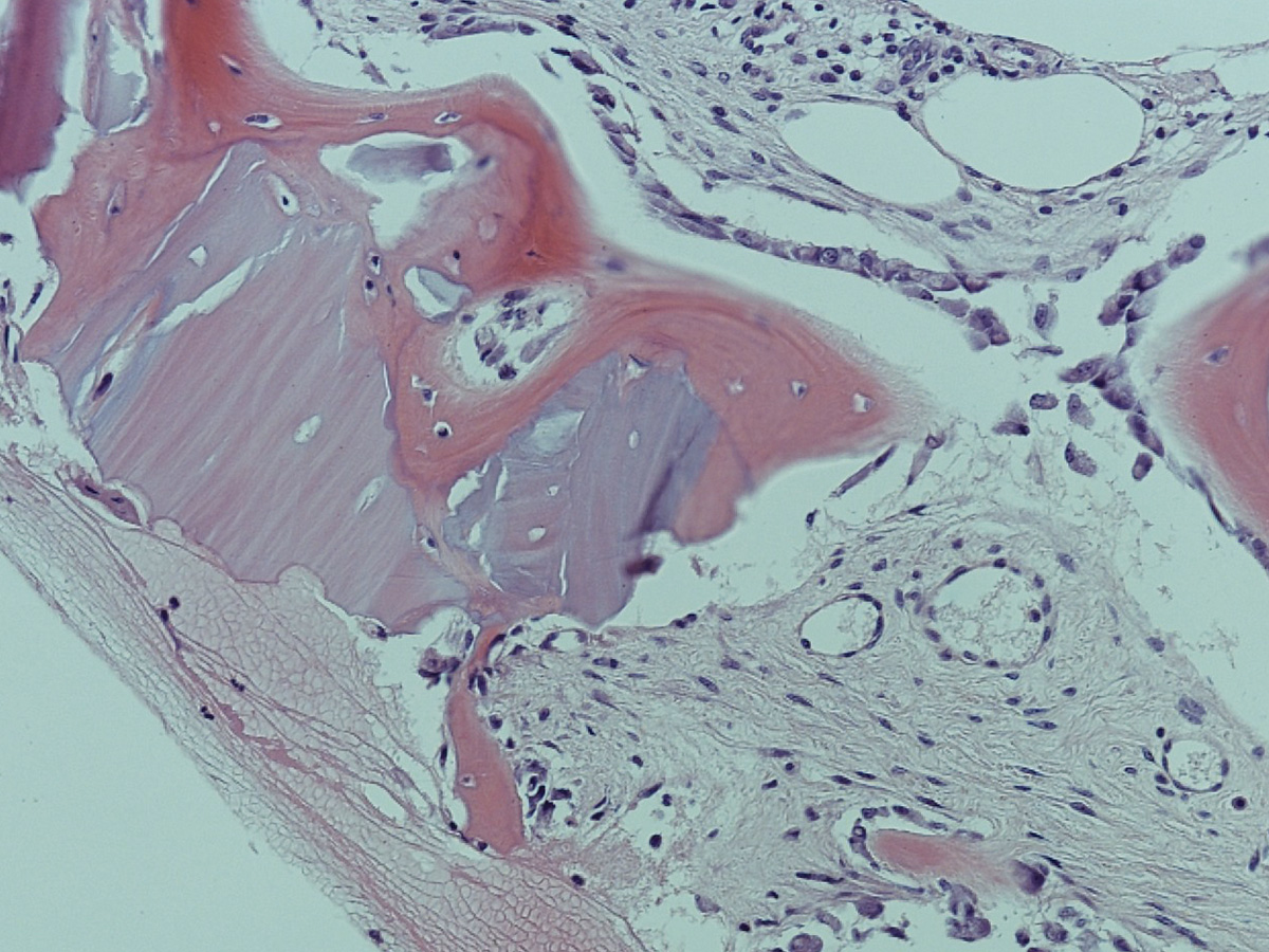
Biopsate aus der Maxilla, Entnahme nach vier Monaten.

Abbildung 10

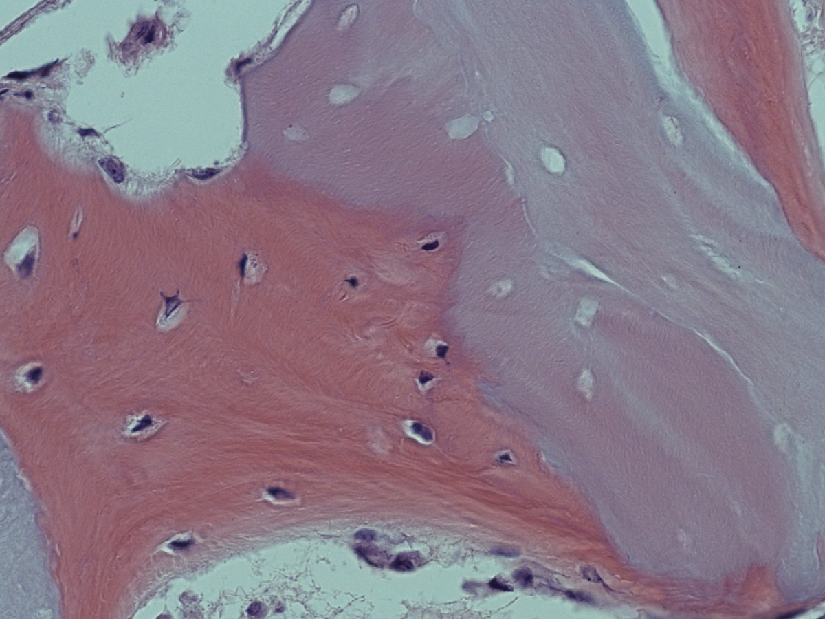
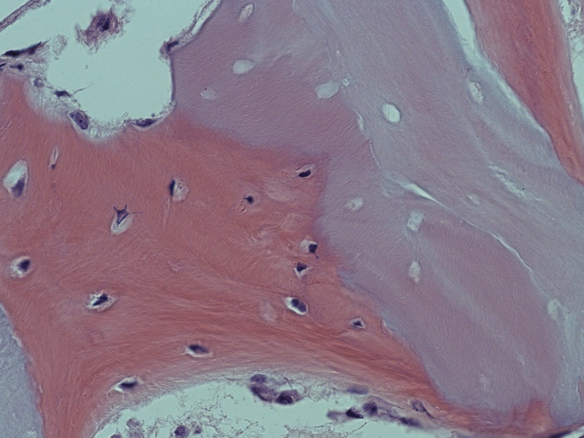
Abbildung 11

Histologie bei stärkerer Vergrößerung: In den Resorptionslakunen sind Osteozyten erkennbar.

Abbildung 12

Verwendete Produkte

Produktgalerie überspringen

Zugehörige Produkte

GTO® Porcine (1x0,5 cc Spritze)
GTO® Porcine (1x0,5 cc Spritze)
Artikelnr.: 6312000
Herstellernr.: MU0005S

129,25 €
zzgl. MwSt.
zzgl. Versand
GTO® Porcine (1x2,0 cc Spritze)
GTO® Porcine (1x2,0 cc Spritze)
Artikelnr.: 6312020
Herstellernr.: MU0020S

286,05 €
zzgl. MwSt.
zzgl. Versand

Aktuelle Fortbildungen

2. Curriculum "The Art of Digital Dentistry"
16.
Jan.
2. Curriculum "The Art of Digital Dentistry"
Fr., 16.01.26, 09:00 - 20.06.26, 17:00 (Europe/Berlin)
München
Dr. Christian Leonhardt (klinische Leitung)
Prof. Dr. Markus Blatz (wissenschaftliche Leitung)
TEAM | 2. Curriculum "The Art of Digital Dentistry"
16.
Jan.
TEAM | 2. Curriculum "The Art of Digital Dentistry"
Fr., 16.01.26, 09:00 - 20.06.26, 17:00 (Europe/Berlin)
München
Dr. Christian Leonhardt (klinische Leitung)
Prof. Dr. Markus Blatz (wissenschaftliche Leitung)
 
26.
Feb.
4D Dentistry - das Update: Workflow, Software, Hardware, Fun
Do., 26.02.26, 20:00 - 22:00 (Europe/Berlin)
online
Dr. Christian Leonhardt
Endo Friday Meeting - Modul I
17.
Apr.
Endo Friday Meeting - Modul I
Fr., 17.04.26, 13:00 - 19:00 (Europe/Berlin)
Innsburck
ZA Eduardo Belandria
Endo Friday Meeting - Modul II
15.
Mai
Endo Friday Meeting - Modul II
Fr., 15.05.26, 13:00 - 19:00 (Europe/Berlin)
Innsburck
ZA Eduardo Belandria
Endo Friday Meeting - Modul III
05.
Juni
Endo Friday Meeting - Modul III
Fr., 05.06.26, 13:00 - 19:00 (Europe/Berlin)
Innsburck
ZA Eduardo Belandria
Kieferorthopädie heute: State of the Art - 4D
26.
Nov.
Kieferorthopädie heute: State of the Art - 4D
Do., 26.11.26, 09:00 - 28.11.26, 17:00 (Europe/Berlin)
München
Dr. Domingo Martin Salvador
Dr. Alberto Canábez Berthet