Zum Hauptinhalt springen Zur Suche springen Zur Hauptnavigation springen

Hinweis: Unser Sortiment richtet sich ausschließlich an Zahnarztpraxen, Zahnlabore und Unternehmen der Dentalbranche. Ein Verkauf an Privatpersonen ist ausgeschlossen.

Willkommen bei ADS. American Dental Systems. Gemeinsam verbessern wir die Zahnmedizin.

Sofortimplantation mit dem Sofort-Implantations-Kit nach Hürzeler/Zuhr

Dieses neue Kit enthält speziell entwickelte Werkzeuge, um die sofortige Implantatplatzierung vorhersehbarer zu gestalten. Es ermöglicht die Behandlung aller klinischen Situationen, die dabei auftreten können.
Porträt Prof. Dr. Markus Hürzeler
Prof. Dr. Markus Hürzeler

Abbildung 1

Sofortimplantations-Set nach Hürzeler/Zuhr

Abbildung 2

Klinische Ausgangssituation

Abbildung 3

Intrasulkuläre Inzision um den nicht erhaltungswürdigen Zahn mit der Micro Blade SR

Abbildung 4

Vorsichtige Mobilisation der Wurzel mit einem modifizierten Desmotom

Abbildung 5

Extraktion des Zahnes mit einem modifizierten Hebel

Abbildung 6

Entfernung des entzündlichen Gewebes aus der Extraktionsalveole

Abbildung 7

Sondierung der Extraktionsalveole mit einer Kugelsonde

Abbildung 8

Krestaler Sinuslift mit einem parallel-wandigen Osteotom

Abbildung 9

Kontrolle nach Sinuslift mit einer Kugelsonde

Abbildung 10

Entnahme von autologem Knochen mit einem modifizierten Knochenmeißel

Abbildung 11

Entnommener autologer Knochen aus der Tuberregion

Abbildung 12

Nahtverschluss nach Entnahme mit der Keydent PTFE 4-0 Dental Suture

Abbildung 13

Defektrekonstruktion mit Hilfe des autologen Knochens unter Nutzung eines Gap-Pluggers

Abbildung 14

Mit Hilfe des autologen Knochens wird fast die gesamte Alveole rekonstruiert und ein Sofortimplantat darin stabilisiert

Abbildung 15

Eine individuelle Heilungskappe wird am Ende auf das Implantat aufgeschraubt

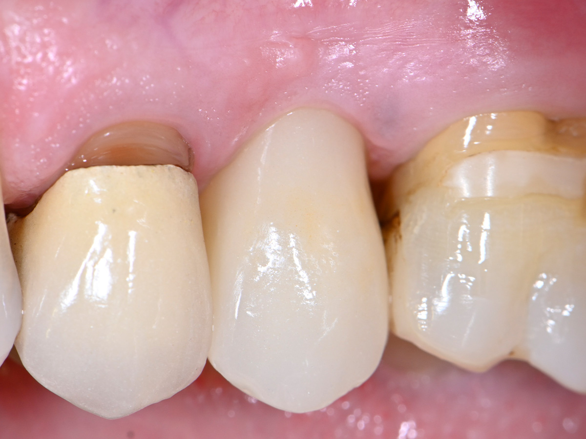
Abbildung 16

Klinisches Abschlussbild nach Einsetzen einer verschraubten Implantatkrone

Abbildung 17

Abschlussröntgenbild

Verwendete Produkte

Produktgalerie überspringen

Zugehörige Produkte

Keydent Micro Blades SR (10)
Keydent Micro Blades SR (10)
Artikelnr.: 4326150
Herstellernr.: 4326150

68,25 €
zzgl. MwSt.
zzgl. Versand
TOUCHGRIP - Sofort-Implantations-Set nach Hürzeler/Zuhr
TOUCHGRIP - Sofort-Implantations-Set nach Hürzeler/Zuhr
Artikelnr.: 8600541

2.426,95 €
zzgl. MwSt.
zzgl. Versand

Aktuelle Fortbildungen

2. Curriculum "The Art of Digital Dentistry"
16.
Jan.
2. Curriculum "The Art of Digital Dentistry"
Fr., 16.01.26, 09:00 - 20.06.26, 17:00 (Europe/Berlin)
München
Dr. Christian Leonhardt (klinische Leitung)
Prof. Dr. Markus Blatz (wissenschaftliche Leitung)
TEAM | 2. Curriculum "The Art of Digital Dentistry"
16.
Jan.
TEAM | 2. Curriculum "The Art of Digital Dentistry"
Fr., 16.01.26, 09:00 - 20.06.26, 17:00 (Europe/Berlin)
München
Dr. Christian Leonhardt (klinische Leitung)
Prof. Dr. Markus Blatz (wissenschaftliche Leitung)
 
26.
Feb.
4D Dentistry - das Update: Workflow, Software, Hardware, Fun
Do., 26.02.26, 20:00 - 22:00 (Europe/Berlin)
online
Dr. Christian Leonhardt
Endo Friday Meeting - Modul I
17.
Apr.
Endo Friday Meeting - Modul I
Fr., 17.04.26, 13:00 - 19:00 (Europe/Berlin)
Innsburck
ZA Eduardo Belandria
Endo Friday Meeting - Modul II
15.
Mai
Endo Friday Meeting - Modul II
Fr., 15.05.26, 13:00 - 19:00 (Europe/Berlin)
Innsburck
ZA Eduardo Belandria
Endo Friday Meeting - Modul III
05.
Juni
Endo Friday Meeting - Modul III
Fr., 05.06.26, 13:00 - 19:00 (Europe/Berlin)
Innsburck
ZA Eduardo Belandria
Kieferorthopädie heute: State of the Art - 4D
26.
Nov.
Kieferorthopädie heute: State of the Art - 4D
Do., 26.11.26, 09:00 - 28.11.26, 17:00 (Europe/Berlin)
München
Dr. Domingo Martin Salvador
Dr. Alberto Canábez Berthet