Zum Hauptinhalt springen Zur Suche springen Zur Hauptnavigation springen

Hinweis: Unser Sortiment richtet sich ausschließlich an Zahnarztpraxen, Zahnlabore und Unternehmen der Dentalbranche. Ein Verkauf an Privatpersonen ist ausgeschlossen.

Willkommen bei ADS. American Dental Systems. Gemeinsam verbessern wir die Zahnmedizin.

Soft Tissue Punch zur Versorgung einer Extraktionsalveole

in 45-jähriger Patient stellte sich mit Schmerzen und Lockerung des Zahnes 11 vor. Dr. Tobias Thalmair diagnostizierete eine Längsfraktur der Wurzel des Zahnes 11. Da dieser nicht erhaltungswürdig war, wurde er extrahiert und die Extraktionsalveole anschließend mittels Soft Tissue Punch versorgt.
Porträt Dr. Tobias Thalmair
Dr. Tobias Thalmair

Abbildung 1

Ausgangssituation: Frontalansicht.

Abbildung 2

Der überkronte Zahn 11 ist elongiert und zeigt deutliche Entzündungszeichen mit einer vestibulären Schwellung.

Abbildung 3

Auf der Röntgenaufnahme ist eine apikale Entzündung im Sinne einer periapikalen Parodontitis zu erkennen.

Abbildung 4

Nach der Anästhesie werden die intraligamentären Fasern mit einer Mikroskalpellklinge getrennt.

Abbildung 5

Es erfolgt die vorsichtige und gewebeschonende Extraktion von Zahn 11.

Abbildung 6

Nach der Extraktion sind die Längsfraktur der Wurzel und die deutlich apikale Positionierung des Wurzelstiftes erkennbar.

Abbildung 7

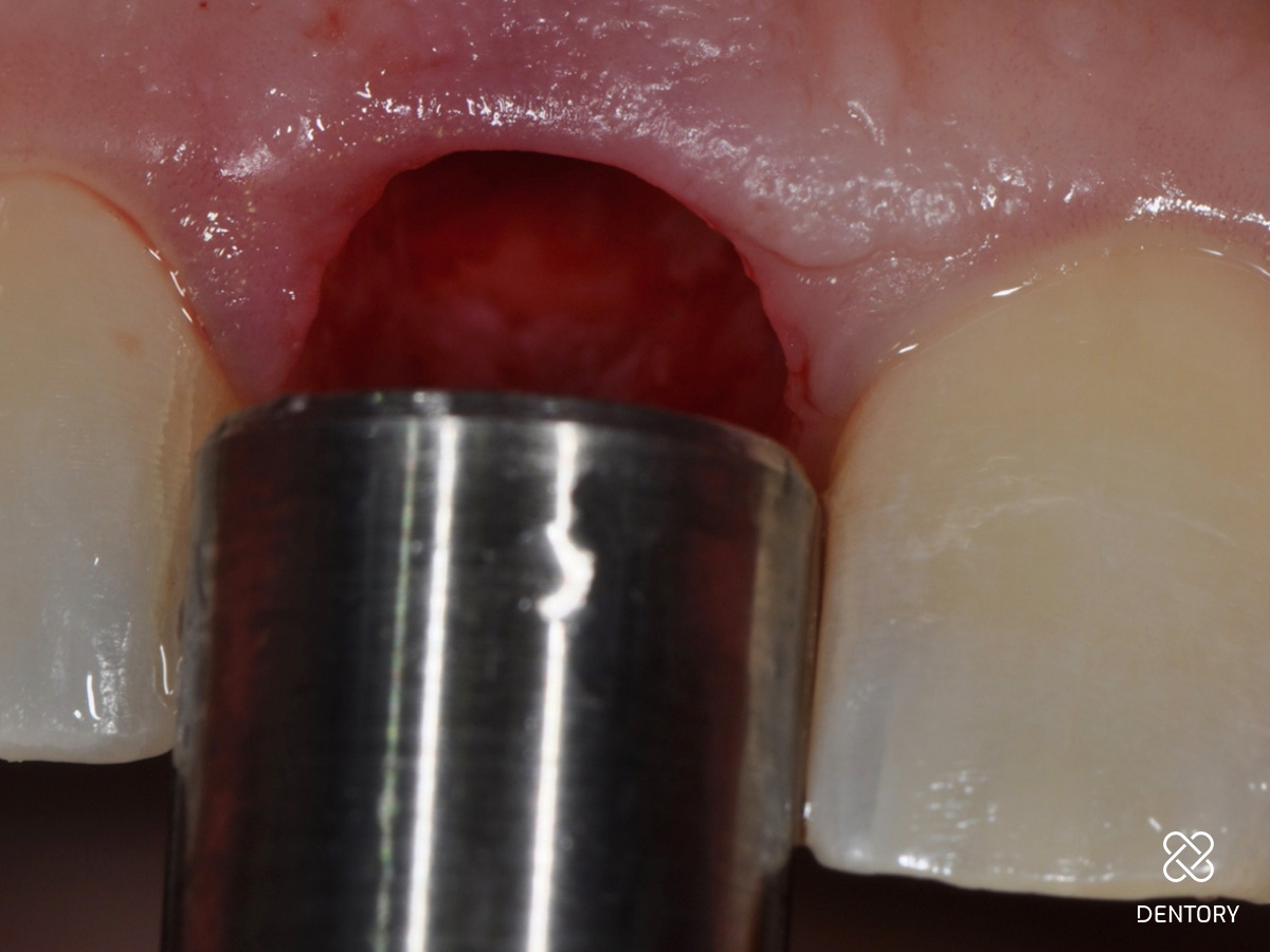
Okklusale Ansicht der Extraktionsalveole. Die Entfernung des Saumepithels erfolgt mit einem grobkörnigen Diamantbohrer.

Abbildung 8

Das Saumepithel wurde entfernt und eine Blutung ausgelöst.

Abbildung 9

Das Transplantat sollte im Durchmesser etwa 1mm breiter als die Extraktionsalveole sein

Abbildung 10

Aus der Tuberregion wird nun distopalatinal des zweiten Molaren in einer Dicke von etwa 4 mm mit einer maschinellen Gewebestanze ein freies Gingivatransplantat entnommen.

Abbildung 11

Mit einem scharfen Instrument werden die Fasern durchtrennt, sodass Periost und bindegewebige Fasern am Knochen verbleiben. Dadurch wird eine Exposition des Knochens vermieden und die Heilung beschleunigt.

Abbildung 12

Abbildung 13

Um die Blutversorgung des Transplantats sicherzustellen, wird zuerst eine modifizierte Matratzennaht gelegt. Mit Hilfe von mikrochirurgischen Einzelknopfnähten wird das Transplantat anschließend mit den Alveolenrändern verbunden.

Abbildung 14

Finaler Nahtverschluss.

Abbildung 15

Über die benachbarten Zähne 12 und 21 wird eine provisorische Marylandbrücke (Klebebrücke) eingesetzt. Dabei muss darauf geachtet werden, dass kein Druck – und optimalerweise auch kein Kontakt – auf das Gingivatransplantat ausgeübt wird.

Abbildung 16

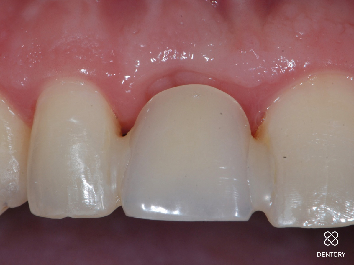
Heilung: Acht Wochen nach dem operativen Eingriff. Das Gingivatransplantat ist vollständig integriert. Die Gewebekontur konnte gut erhalten werden.

Abbildung 17

Heilung: 8 Wochen Post-OP - frontale Ansicht

Abbildung 18

Heilung: 8 Wochen Post-OP - okklusale Ansicht

Heilungsdauer

10 Tage bis zur Nahtentfernung, 12 Wochen bis zur Implantation 

Heilungsverlauf
Reizloser, unauffälliger Heilungsverlauf 

Folgebehandlung
Implantation nach 12 Wochen

Verwendete Produkte

Produktgalerie überspringen

Zugehörige Produkte

Keydent Micro Blades SR (10)
Keydent Micro Blades SR (10)
Artikelnr.: 4326150
Herstellernr.: 4326150

68,25 €
zzgl. MwSt.
zzgl. Versand
Seralene blau 6-0 0,5 m DS-15 (24)
Seralene blau 6-0 0,5 m DS-15 (24)
Artikelnr.: 8021310
Herstellernr.: LO07171354

133,10 €
zzgl. MwSt.
zzgl. Versand
mamadent Mikro 001 Mikrochirurgische Pinzette,
17,5 cm
mamadent Mikro 001 Mikrochirurgische Pinzette, 17,5 cm
Artikelnr.: 8200501
Herstellernr.: 22.810.17MM

359,55 €
zzgl. MwSt.
zzgl. Versand
mamadent Mikro 002 Mikrochirurgische Federschere,
17,5 cm
mamadent Mikro 002 Mikrochirurgische Federschere, 17,5 cm
Artikelnr.: 8200502
Herstellernr.: 46.319.17M

489,90 €
zzgl. MwSt.
zzgl. Versand
mamadent Mikro 003 Mikrochirurgischer  Skalpellgriff (Münchner Modell)
mamadent Mikro 003 Mikrochirurgischer Skalpellgriff (Münchner Modell)
Artikelnr.: 8200503
Herstellernr.: 46.013.00M

291,25 €
zzgl. MwSt.
zzgl. Versand
mamadent Mikro 004 Mikrochirurgischer  Nadelhalter gerade glatt, 17,5 cm
mamadent Mikro 004 Mikrochirurgischer Nadelhalter gerade glatt, 17,5 cm
Artikelnr.: 8200504
Herstellernr.: 41.010.17MM

761,55 €
zzgl. MwSt.
zzgl. Versand
mamadent Mikro 005 Papillenelevator, doppelendig,
auswechselbare Arbeitsenden
mamadent Mikro 005 Papillenelevator, doppelendig, auswechselbare Arbeitsenden
Artikelnr.: 8200505
Herstellernr.: 46.035.17

177,90 €
zzgl. MwSt.
zzgl. Versand

Aktuelle Fortbildungen

2. Curriculum "The Art of Digital Dentistry"
16.
Jan.
2. Curriculum "The Art of Digital Dentistry"
Fr., 16.01.26, 09:00 - 20.06.26, 17:00 (Europe/Berlin)
München
Dr. Christian Leonhardt (klinische Leitung)
Prof. Dr. Markus Blatz (wissenschaftliche Leitung)
TEAM | 2. Curriculum "The Art of Digital Dentistry"
16.
Jan.
TEAM | 2. Curriculum "The Art of Digital Dentistry"
Fr., 16.01.26, 09:00 - 20.06.26, 17:00 (Europe/Berlin)
München
Dr. Christian Leonhardt (klinische Leitung)
Prof. Dr. Markus Blatz (wissenschaftliche Leitung)
 
26.
Feb.
4D Dentistry - das Update: Workflow, Software, Hardware, Fun
Do., 26.02.26, 20:00 - 22:00 (Europe/Berlin)
online
Dr. Christian Leonhardt
Endo Friday Meeting - Modul I
17.
Apr.
Endo Friday Meeting - Modul I
Fr., 17.04.26, 13:00 - 19:00 (Europe/Berlin)
Innsburck
ZA Eduardo Belandria
Endo Friday Meeting - Modul II
15.
Mai
Endo Friday Meeting - Modul II
Fr., 15.05.26, 13:00 - 19:00 (Europe/Berlin)
Innsburck
ZA Eduardo Belandria
Endo Friday Meeting - Modul III
05.
Juni
Endo Friday Meeting - Modul III
Fr., 05.06.26, 13:00 - 19:00 (Europe/Berlin)
Innsburck
ZA Eduardo Belandria
Kieferorthopädie heute: State of the Art - 4D
26.
Nov.
Kieferorthopädie heute: State of the Art - 4D
Do., 26.11.26, 09:00 - 28.11.26, 17:00 (Europe/Berlin)
München
Dr. Domingo Martin Salvador
Dr. Alberto Canábez Berthet