Zum Hauptinhalt springen Zur Suche springen Zur Hauptnavigation springen

Hinweis: Unser Sortiment richtet sich ausschließlich an Zahnarztpraxen, Zahnlabore und Unternehmen der Dentalbranche. Ein Verkauf an Privatpersonen ist ausgeschlossen.

Willkommen bei ADS. American Dental Systems. Gemeinsam verbessern wir die Zahnmedizin.

Spacemaking bei regenerativen parodontal-chirurgischen Verfahren

Der Erfolg bei regenerativen Maßnahmen hängt im Wesentlichen von einer ausreichenden Raumschaffung für ein stabiles Koagulum bzw. regeneratives Substrat ab. 

Im vorliegenden Fall zeigte der Zahn 26 eines 41-jährigen Patienten eine komplexe Auflösung der knöchernen parodontalen Strukturen in Kombination mit einer ausgeprägten marginalen Gingivarezession.
Porträt Dr. Gerd Körner
Dr. Gerd Körner

Abbildung 1

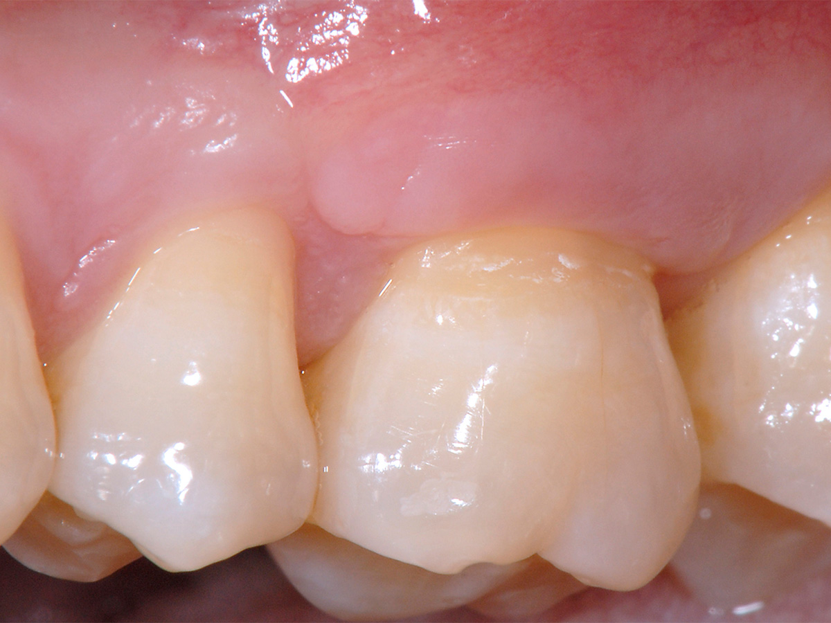
Klinische Ausgangssituation: Ausgedehnter parodontaler Furkationsdefekt an Zahn 26 in Kombination mit marginaler Gingivarezession.

Abbildung 2

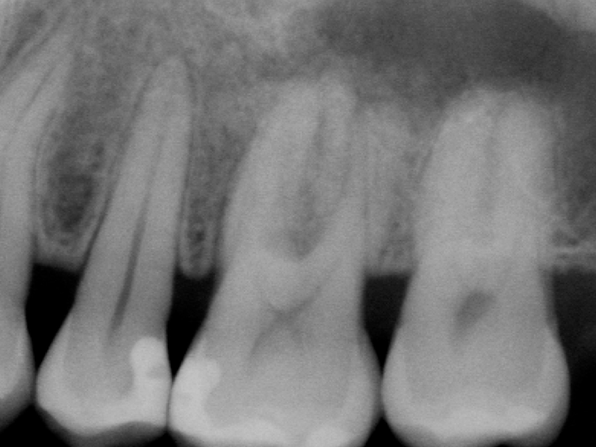
Röntgenologische Ausgangssituation Zahn 26: Komplexer parodontaler Knochenabbau im Furkationsbereich sowie periapikal der mesiobukkalen Wurzel.

Abbildung 3

Mikrochirurgischer Zugang mit Schonung der interproximalen Bereiche. Vorbereitung dort durch Entepithelisierung zur späteren koronalen Verschiebung der bukkalen Lappenanteile.

Abbildung 4

Hartgewebsbearbeitung: Bearbeitung der Wurzeloberflächen mit Hand- und Ultraschallinstrumenten im Bereich des parodontalen Defektes.

Abbildung 5

Konditionierung der gereinigten Wurzeloberflächen mit Pref-Gel für zwei Minuten.

Abbildung 6

Zustand des parodontalen Defektes nach Konditionierung der Wurzeloberfläche.

Abbildung 7

Schichtweises Benetzen der Wurzeloberflächen mit Emdogain im Wechsel mit dem Einbringen von xenogenem Knochenersatzmaterial (mp3).

Abbildung 8

Abdecken des Defektes im Sinne von Spacemaking mit einer langsam resorbierbaren xenogenen Barriere (OsteoBiol Soft Cortical Lamina) fixiert mit resorbierbaren Pins (LEADFix).

Abbildung 9

Weichgewebige Abdeckung durch koronale Lappenverschiebung nach Entepithelisierung der interproximalen Bereiche.

Abbildung 10

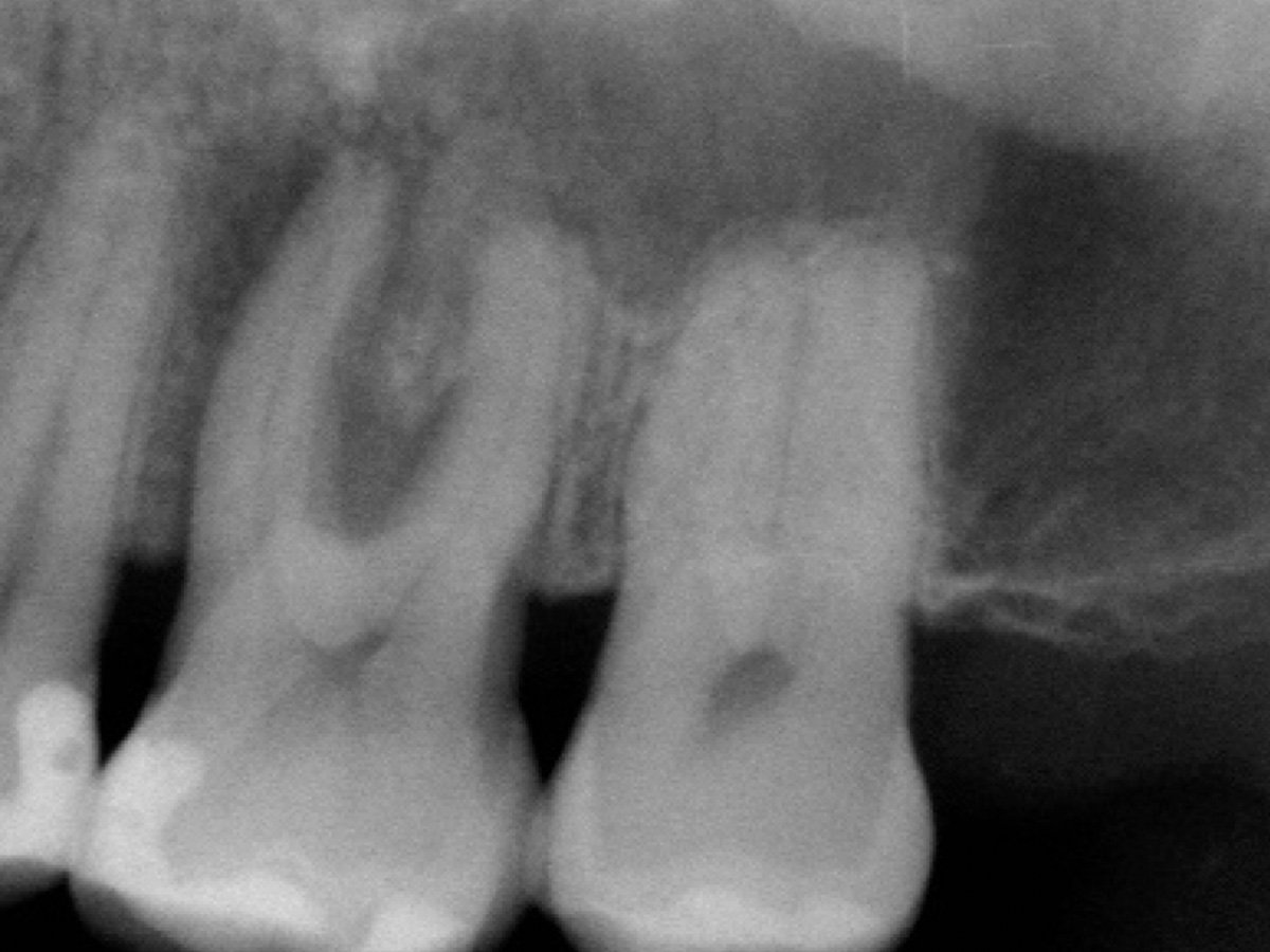
Röntgen-Kontrolle nach drei Monaten: Komplette Auffüllung des parodontalen Defektes.

Abbildung 11

Ausgangssituation des Zahnes 26 vor initialer Hygienephase.

Abbildung 12

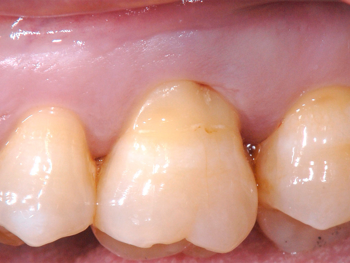
Klinische Situation des Zahnes 26 zum Zeitpunkt der Nachsorge nach drei Monaten.

Zusammenfassung

Nach mikrochirurgischem Zugang zum Defekt, ausgedehntem Debridement der kontaminierten Wurzeloberflächen und Konditionierung mit Pref-Gel, wurde der eigentliche regenerative Vorgang durch das Aufbringen von Emdogain und das Einbringen von xenogenem Knochenersatzmaterial (mp3) eingeleitet. Angesichts des komplexen knöchernen Defekts mit ungünstiger Wandigkeit und dem gleichzeitigen Wunsch einer Attachment unterstützten Rezessionsdeckung, schien der Einsatz einer teilentmineralisierten, xenogenen (porcinen) Kortikalislamelle (OsteoBiol Soft Cortical Lamina) für eine adäquate Regeneration unabdingbar. Diese relativ starre GBR-Membran wurde zur Lagestabilität mit resorbierbaren Pins (LEADFix) fixiert. Sowohl die klinische als auch die röntgenologische Bewertung nach drei Monaten sind sehr vielversprechend.

Verwendete Produkte

Produktgalerie überspringen

Zugehörige Produkte

mp3® Porcine (3x0,5 cc Spritze)
mp3® Porcine (3x0,5 cc Spritze)
Artikelnr.: 6310100
Herstellernr.: A3015FS

316,20 €
zzgl. MwSt.
zzgl. Versand
mp3® Porcine (1x1,0 cc Spritze)
mp3® Porcine (1x1,0 cc Spritze)
Artikelnr.: 6310110
Herstellernr.: A3005FS

138,05 €
zzgl. MwSt.
zzgl. Versand
mp3® Porcine (3x1,0 cc Spritze)
mp3® Porcine (3x1,0 cc Spritze)
Artikelnr.: 6310120
Herstellernr.: A3030FS

414,15 €
zzgl. MwSt.
zzgl. Versand
LEADfix resorbierbare Pins (2)
LEADfix resorbierbare Pins (2)
Artikelnr.: 8081211
Herstellernr.: 0121

57,75 €
zzgl. MwSt.
zzgl. Versand

Aktuelle Fortbildungen

2. Curriculum "The Art of Digital Dentistry"
16.
Jan.
2. Curriculum "The Art of Digital Dentistry"
Fr., 16.01.26, 09:00 - 20.06.26, 17:00 (Europe/Berlin)
München
Dr. Christian Leonhardt (klinische Leitung)
Prof. Dr. Markus Blatz (wissenschaftliche Leitung)
TEAM | 2. Curriculum "The Art of Digital Dentistry"
16.
Jan.
TEAM | 2. Curriculum "The Art of Digital Dentistry"
Fr., 16.01.26, 09:00 - 20.06.26, 17:00 (Europe/Berlin)
München
Dr. Christian Leonhardt (klinische Leitung)
Prof. Dr. Markus Blatz (wissenschaftliche Leitung)
 
26.
Feb.
4D Dentistry - das Update: Workflow, Software, Hardware, Fun
Do., 26.02.26, 20:00 - 22:00 (Europe/Berlin)
online
Dr. Christian Leonhardt
Endo Friday Meeting - Modul I
17.
Apr.
Endo Friday Meeting - Modul I
Fr., 17.04.26, 13:00 - 19:00 (Europe/Berlin)
Innsburck
ZA Eduardo Belandria
Endo Friday Meeting - Modul II
15.
Mai
Endo Friday Meeting - Modul II
Fr., 15.05.26, 13:00 - 19:00 (Europe/Berlin)
Innsburck
ZA Eduardo Belandria
Endo Friday Meeting - Modul III
05.
Juni
Endo Friday Meeting - Modul III
Fr., 05.06.26, 13:00 - 19:00 (Europe/Berlin)
Innsburck
ZA Eduardo Belandria
Kieferorthopädie heute: State of the Art - 4D
26.
Nov.
Kieferorthopädie heute: State of the Art - 4D
Do., 26.11.26, 09:00 - 28.11.26, 17:00 (Europe/Berlin)
München
Dr. Domingo Martin Salvador
Dr. Alberto Canábez Berthet