Zum Hauptinhalt springen Zur Suche springen Zur Hauptnavigation springen

Hinweis: Unser Sortiment richtet sich ausschließlich an Zahnarztpraxen, Zahnlabore und Unternehmen der Dentalbranche. Ein Verkauf an Privatpersonen ist ausgeschlossen.

Willkommen bei ADS. American Dental Systems. Gemeinsam verbessern wir die Zahnmedizin.

Vertikale Augmentation im ästhetischen Bereich

In diesem Fall behandelte Prof. Dr. Arndt Happe einen 33-jähirgen männlichen Patienten nach chirurgischer Entfernung eines Schneidezahns mit externer Wurzelresorption.
Porträt PD Dr. Arndt Happe
Prof. Dr. Arndt Happe

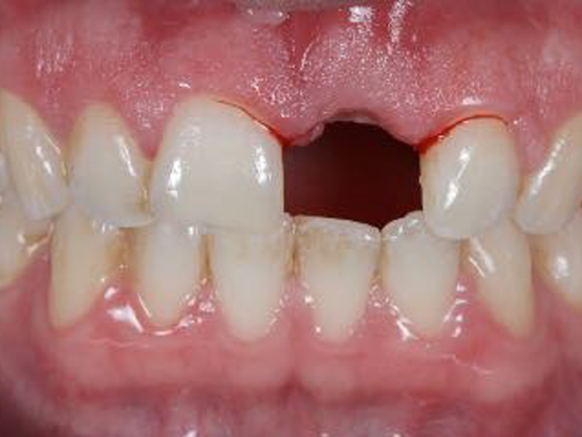
Abbildung 1

Ausgangssituation nach chirurgischer Entfernung eines Schneidezahns mit externer Wurzelresorption.

Abbildung 2

CBCT-Scan zeigt vertikalen Knochendefekt nach Klasse 5 von Benic und Hämmerle.

Abbildung 3

Rekonstruktion der bukkalen und palatinalen Knochenplatte mit der Lamina hart (OsteoBiol®).

Abbildung 4

Der entstandene Raum wurde mit autogenen Knochenspänen gefüllt, die vom Ramus entnommen wurden.

Abbildung 5

Die Stelle wird mit einer Membran aus nativem Kollagen (Evolution, OsteoBiol®) abgedeckt.

Abbildung 6

Abheilung nach einer Woche.

Abbildung 7

Situation 4 Monate nach der Knochenaugmentation.

Abbildung 8

DVT 4 Monate nach der Knochenaugmentation.

Abbildung 9

DVT-Schnitt vor und nach dem Eingriff zeigen den Gewinn an augmentiertem Knochen.

Abbildung 10

Klinischer Bereich 4 Monate nach der Augmentation vor der Implantation.

Abbildung 11

Einsetzen des Implantats.

Abbildung 12

Okklusalansicht des Implantats mit 3,3 mm Durchmesser.

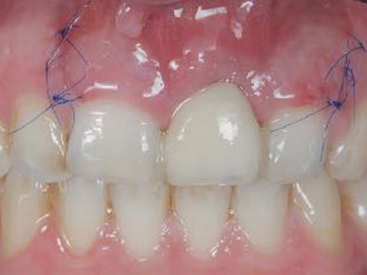
Abbildung 13

Wundverschluss mit mikrochirurgischem Nahtmaterial

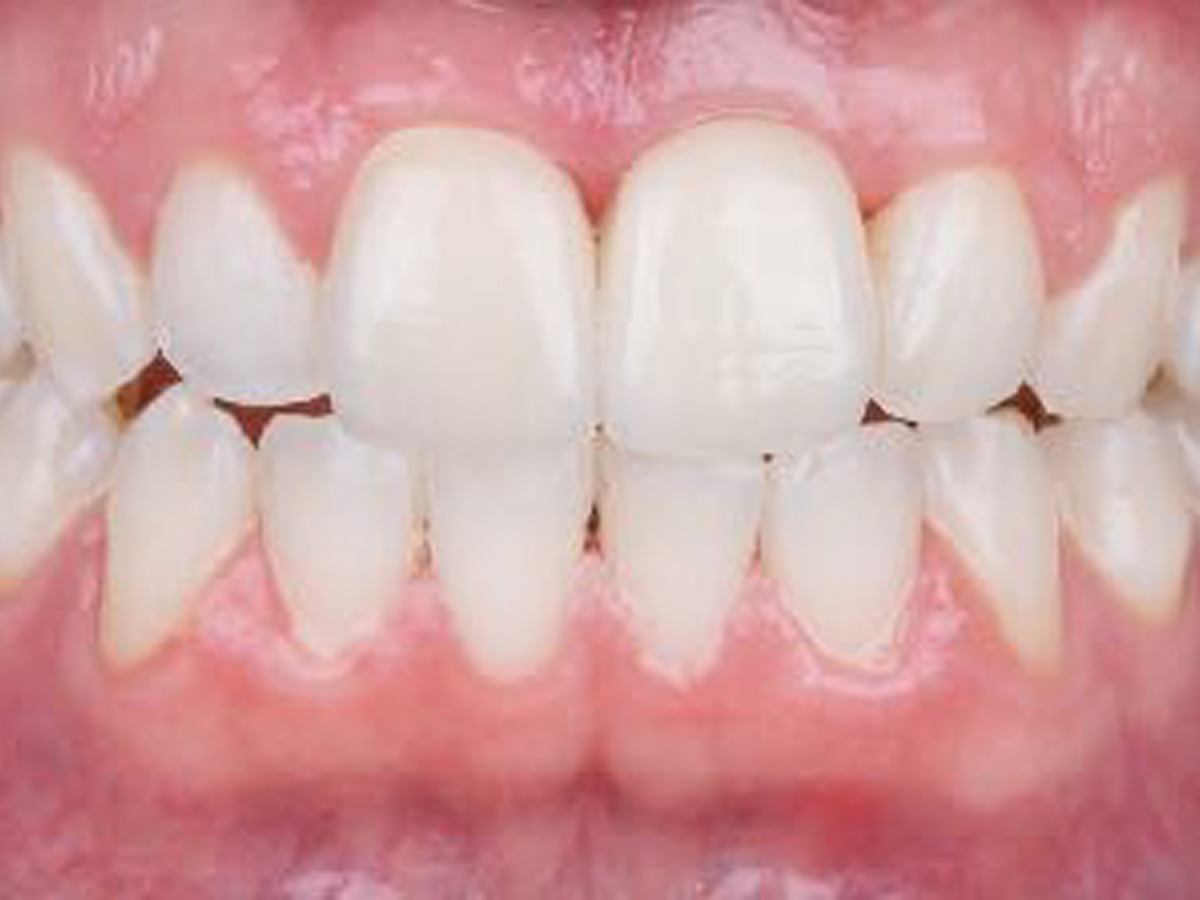
Abbildung 14

Endergebnis 2 Jahre nach der Implantation.

Abbildung 15

Periapikales Röntgenbild 2 Jahre nach der Implantation.

Abbildung 16

Lächeln des Patienten nach Behandlung.

Verwendete Produkte

Produktgalerie überspringen

Zugehörige Produkte

Schwere Schere zum Schneiden der Lamina Hart
Schwere Schere zum Schneiden der Lamina Hart
Artikelnr.: 4290220
Herstellernr.: 11-100-18-07

61,45 €
zzgl. MwSt.
zzgl. Versand
Cortical Lamina® hart 35x35x1,0 mm für Schalentechnik, dehydriert, Porcine
Cortical Lamina® hart 35x35x1,0 mm für Schalentechnik, dehydriert, Porcine
Artikelnr.: 6311055
Herstellernr.: LS35LS

281,05 €
zzgl. MwSt.
zzgl. Versand

Aktuelle Fortbildungen

2. Curriculum "The Art of Digital Dentistry"
16.
Jan.
2. Curriculum "The Art of Digital Dentistry"
Fr., 16.01.26, 09:00 - 20.06.26, 17:00 (Europe/Berlin)
München
Dr. Christian Leonhardt (klinische Leitung)
Prof. Dr. Markus Blatz (wissenschaftliche Leitung)
TEAM | 2. Curriculum "The Art of Digital Dentistry"
16.
Jan.
TEAM | 2. Curriculum "The Art of Digital Dentistry"
Fr., 16.01.26, 09:00 - 20.06.26, 17:00 (Europe/Berlin)
München
Dr. Christian Leonhardt (klinische Leitung)
Prof. Dr. Markus Blatz (wissenschaftliche Leitung)
 
26.
Feb.
4D Dentistry - das Update: Workflow, Software, Hardware, Fun
Do., 26.02.26, 20:00 - 22:00 (Europe/Berlin)
online
Dr. Christian Leonhardt
Endo Friday Meeting - Modul I
17.
Apr.
Endo Friday Meeting - Modul I
Fr., 17.04.26, 13:00 - 19:00 (Europe/Berlin)
Innsburck
ZA Eduardo Belandria
Endo Friday Meeting - Modul II
15.
Mai
Endo Friday Meeting - Modul II
Fr., 15.05.26, 13:00 - 19:00 (Europe/Berlin)
Innsburck
ZA Eduardo Belandria
Endo Friday Meeting - Modul III
05.
Juni
Endo Friday Meeting - Modul III
Fr., 05.06.26, 13:00 - 19:00 (Europe/Berlin)
Innsburck
ZA Eduardo Belandria
Kieferorthopädie heute: State of the Art - 4D
26.
Nov.
Kieferorthopädie heute: State of the Art - 4D
Do., 26.11.26, 09:00 - 28.11.26, 17:00 (Europe/Berlin)
München
Dr. Domingo Martin Salvador
Dr. Alberto Canábez Berthet