-
DE
Direkte ästhetische Frontzahnrestaurationen | Theorietag | 17.04.2026 | München
Direkte ästhetische Frontzahnrestaurationen | Theorietag | 17.04.2026 | München
590,00 €
Artikelnr.:
E28-2601A-7041
KURSINHALT
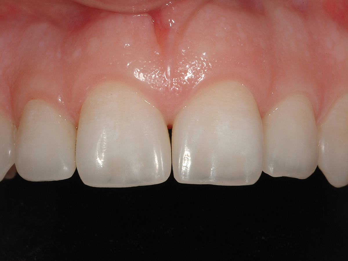
Der Zwei-Tageskurs mit Dr. Dietschi besteht aus einem theoretischen Tag (Freitag) und einem praktischen Arbeitstag (Samstag). Teilnehmer können entweder nur den Theorietag oder den Theorie- und Praxistag besuchen.
1. Tag - Theorie:
• „Bio-Ästhetik“: Ein umfassendes rationales Behandlungskonzept
• Indikationen für direktes Bonding in der ästhetischen Zone
• Ästhetik-Analyse: Dentogingivale Komponenten
• Mock-Up, Wax-Up und Indexes
• Die „natürliche Schichttechnik“
• Präparations- und Randschlussdesign für einen optimalen ästhetischen Übergang
• Farbauswahl
• Normo- und polychrome Restaurationen
• Matrizen: Möglichkeiten und Auswahl; „Pull Through“-Technik
• Fortgeschrittene Finier- und Polierprotokolle
LERNZIEL
Die Teilnehmer lernen Behandlungskonzepte und Indikationen der „No-Prep“-Zahnheilkunde kennen und erlernen theoretisch Schritt für Schritt direkte ästhetische Frontzahnrestaurationen mit der „natürlichen Schichttechnik“ umzusetzen.
Materialien und Instrumente werden gestellt
KURSZEITEN
Freitag (Theorie): 09:00 - 17:00 Uhr
8 Punkte BZÄK DGZMK
Punktebewertung entsprechend der Empfehlung
Kaffeepausen und Mittagessen sind in der Kursgebühr enthalten.
Der Zwei-Tageskurs mit Dr. Dietschi besteht aus einem theoretischen Tag (Freitag) und einem praktischen Arbeitstag (Samstag). Teilnehmer können entweder nur den Theorietag oder den Theorie- und Praxistag besuchen.
1. Tag - Theorie:
• „Bio-Ästhetik“: Ein umfassendes rationales Behandlungskonzept
• Indikationen für direktes Bonding in der ästhetischen Zone
• Ästhetik-Analyse: Dentogingivale Komponenten
• Mock-Up, Wax-Up und Indexes
• Die „natürliche Schichttechnik“
• Präparations- und Randschlussdesign für einen optimalen ästhetischen Übergang
• Farbauswahl
• Normo- und polychrome Restaurationen
• Matrizen: Möglichkeiten und Auswahl; „Pull Through“-Technik
• Fortgeschrittene Finier- und Polierprotokolle
LERNZIEL
Die Teilnehmer lernen Behandlungskonzepte und Indikationen der „No-Prep“-Zahnheilkunde kennen und erlernen theoretisch Schritt für Schritt direkte ästhetische Frontzahnrestaurationen mit der „natürlichen Schichttechnik“ umzusetzen.
Materialien und Instrumente werden gestellt
KURSZEITEN
Freitag (Theorie): 09:00 - 17:00 Uhr
8 Punkte BZÄK DGZMK
Punktebewertung entsprechend der Empfehlung
Kaffeepausen und Mittagessen sind in der Kursgebühr enthalten.