-
DE
Next Level Frontzahnaufbau: direktes Veneer, Eckenaufbau, Zahnhalsfüllung | 10.06.2026
Next Level Frontzahnaufbau: direktes Veneer, Eckenaufbau, Zahnhalsfüllung | 10.06.2026
199,00 €
Artikelnr.:
EP32-19-7187
KURSINHALT
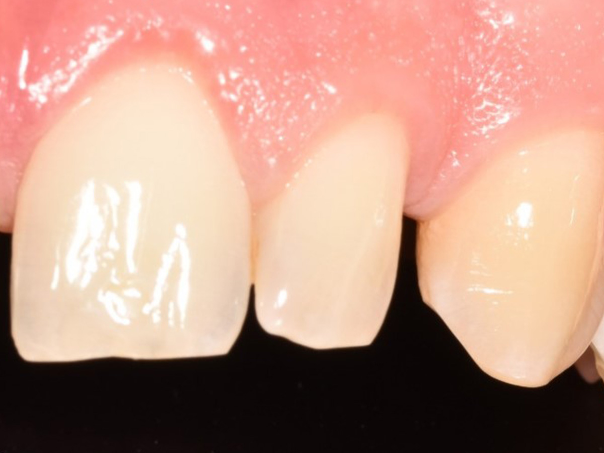
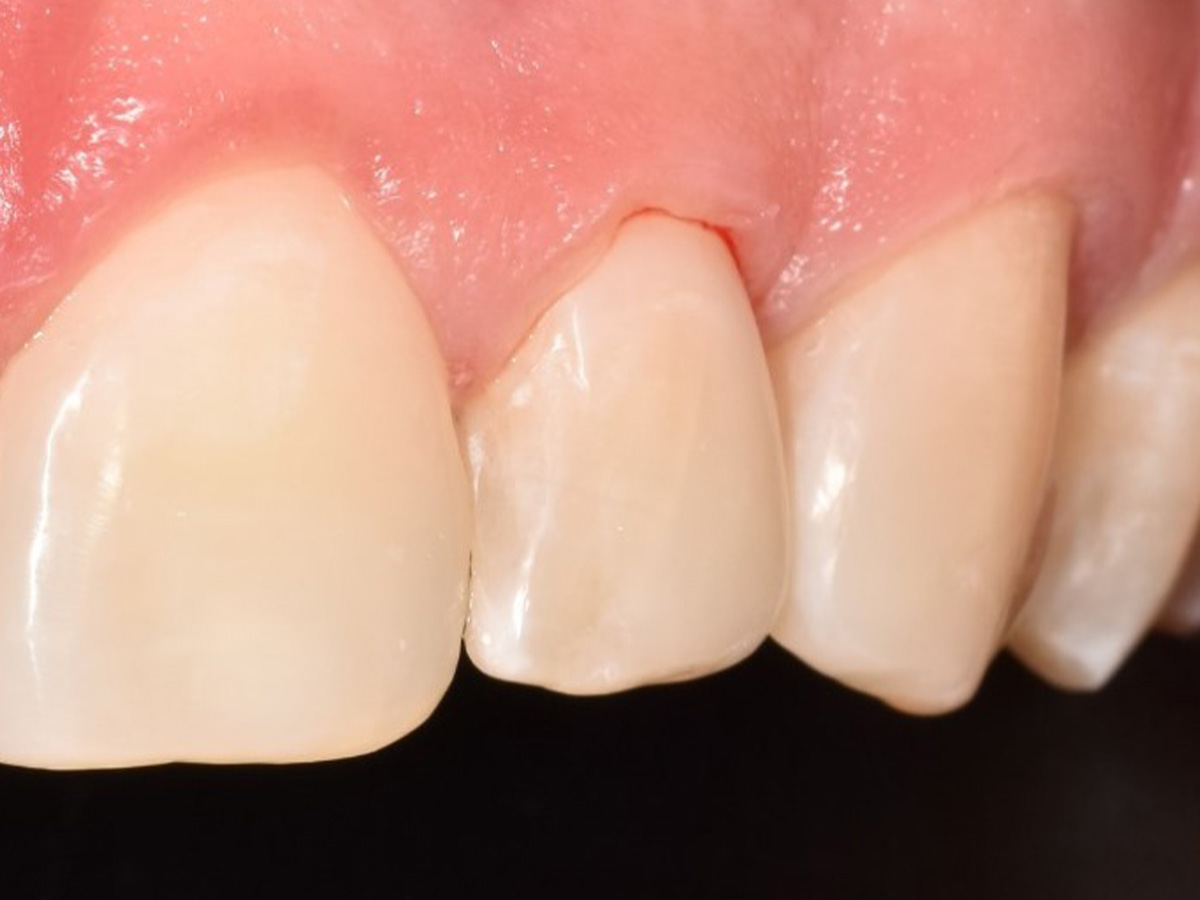
Ästhetisch und funktionell ansprechende Rekonstruktionen von Frontzähnen mit direkten Kompositen sind anspruchsvoll, da Fehler bei Form, Farbe oder in der Harmonie direkt ins Auge springen. In der Vergangenheit wurden viele spezielle Techniken für die laterale Verschalung, die palatinale Rekonstruktion und die Zahnhalsrekonstruktion entwickelt – mit verschiedenen Hilfsmitteln und Matrizenarten.
Mit der in diesem Kursvorgestellten Frontzahn-Spezialmatrize kann man all diese Materialien in der Schublade lassen und mit nur einer Matrize optimale Ergebnisse für alle Frontzahn-Herausforderungen erreichen. Nach dem Kurs werden die Teilnehmenden direkte Kompositrestaurationen im Frontzahnbereich einfacher, zuverlässiger und entspannter herstellen.
HANDS-ON mit der Dentory Box
Anhand von praktischen Frontzahnübungen lernen die Teilnehmenden den Umgang mit der neuartigen Matrize sowie zahlreiche Tricks und Kniffe für Modellation, Formgebung, Ausarbeitung und Politur via Zoom*.
Dafür erhalten Sie eine Dentory Box mit dembenötigten Modell, den Materialien und Instrumenten.
Welche Geräte Sie zusätzlich aus Ihrem Equipment für die Übungen benötigen, teilen wir Ihnen in der Anmeldebestätigung mit.
Um die DENTORY BOX rechtzeitig zum Kurs zu erhalten, melden Sie sich bitte bis spätestens Mittwoch, den 03.06.2026 für den Kurs an.
KURSABLAUF
19:00-19:30 Uhr Vortrag/ Präsentation
19:30-20:00 Uhr Präsentation und interaktive Diskussion von Behandlungsvideos
20:00_20:30 Uhr Hands-On mit der Dentory Box
20:30-21:00 Uhr Fallpräsentation mit interaktiver Diskussion
Optionale Falleinsendung: Vorab-Einsendung anonymisierter Fallbilder, die im Rahmen des Kurses gezeigt und besprochen werden
3 PunkteBZÄK DGZMK
Punktebewertung entsprechend der Empfehlung
Anmeldeschluss: 03.06.2026
*Für den Livestream dieses Online-Trainings nutzen wir die Software Zoom des US-amerikanischen Unternehmens Zoom Video Communications, Inc.. Für die Anmeldung zum Online-Training und die Identifikation der Teilnehmer während des Livestreams werden folgende personenbezogene Daten an Zoom in die USA übermittelt: Name, Vorname und E-Mail-Adresse des Teilnehmers. Bei Nutzung von Ton- und/oder Videoübertragung durch die Teilnehmer werden zusätzlich die zugehörigen Ton- bzw. Bilddaten der jeweiligen Teilnehmer an Zoom in die USA übermittelt. Wir haben mit Zoom Video Communications, Inc. einen entsprechenden Vertrag zur Auftragsverarbeitung (engl. Data Processing Agreement) abgeschlossen, in dem sich Zoom zurEinhaltung der EU-Standardvertragsklauseln bzgl. dieser Datenverarbeitungen und einer entsprechenden Vertraulichkeit verpflichtet. Mit dem Kauf dieses Online-Trainings erklären Sie sich mit dieser Datenweitergabe an Zoom und der dortigen Verarbeitung einverstanden.
In unseren ePractice32 Restaurations-Trainings bilden Sie sich im virtuellen Raum wissenschaftlich fundiert fort, ohne dabei auf die praktische Workshop-Komponente verzichten zu müssen. Sie haben die Wahl, als Participant (mit praktischen Übungen und Dentory Box) oder als Observer (Zuschauer ohne Dentory Box) teilzunehmen. Mit der Dentory Box erhalten Sie vorab die Modelle, Materialien und Instrumente, die Sie für den Hands-On-Part des Kurses benötigen, per Post zugesandt.
Ästhetisch und funktionell ansprechende Rekonstruktionen von Frontzähnen mit direkten Kompositen sind anspruchsvoll, da Fehler bei Form, Farbe oder in der Harmonie direkt ins Auge springen. In der Vergangenheit wurden viele spezielle Techniken für die laterale Verschalung, die palatinale Rekonstruktion und die Zahnhalsrekonstruktion entwickelt – mit verschiedenen Hilfsmitteln und Matrizenarten.
Mit der in diesem Kursvorgestellten Frontzahn-Spezialmatrize kann man all diese Materialien in der Schublade lassen und mit nur einer Matrize optimale Ergebnisse für alle Frontzahn-Herausforderungen erreichen. Nach dem Kurs werden die Teilnehmenden direkte Kompositrestaurationen im Frontzahnbereich einfacher, zuverlässiger und entspannter herstellen.
HANDS-ON mit der Dentory Box
Anhand von praktischen Frontzahnübungen lernen die Teilnehmenden den Umgang mit der neuartigen Matrize sowie zahlreiche Tricks und Kniffe für Modellation, Formgebung, Ausarbeitung und Politur via Zoom*.
Dafür erhalten Sie eine Dentory Box mit dembenötigten Modell, den Materialien und Instrumenten.
Welche Geräte Sie zusätzlich aus Ihrem Equipment für die Übungen benötigen, teilen wir Ihnen in der Anmeldebestätigung mit.
Um die DENTORY BOX rechtzeitig zum Kurs zu erhalten, melden Sie sich bitte bis spätestens Mittwoch, den 03.06.2026 für den Kurs an.
KURSABLAUF
19:00-19:30 Uhr Vortrag/ Präsentation
19:30-20:00 Uhr Präsentation und interaktive Diskussion von Behandlungsvideos
20:00_20:30 Uhr Hands-On mit der Dentory Box
20:30-21:00 Uhr Fallpräsentation mit interaktiver Diskussion
Optionale Falleinsendung: Vorab-Einsendung anonymisierter Fallbilder, die im Rahmen des Kurses gezeigt und besprochen werden
3 PunkteBZÄK DGZMK
Punktebewertung entsprechend der Empfehlung
Anmeldeschluss: 03.06.2026
*Für den Livestream dieses Online-Trainings nutzen wir die Software Zoom des US-amerikanischen Unternehmens Zoom Video Communications, Inc.. Für die Anmeldung zum Online-Training und die Identifikation der Teilnehmer während des Livestreams werden folgende personenbezogene Daten an Zoom in die USA übermittelt: Name, Vorname und E-Mail-Adresse des Teilnehmers. Bei Nutzung von Ton- und/oder Videoübertragung durch die Teilnehmer werden zusätzlich die zugehörigen Ton- bzw. Bilddaten der jeweiligen Teilnehmer an Zoom in die USA übermittelt. Wir haben mit Zoom Video Communications, Inc. einen entsprechenden Vertrag zur Auftragsverarbeitung (engl. Data Processing Agreement) abgeschlossen, in dem sich Zoom zurEinhaltung der EU-Standardvertragsklauseln bzgl. dieser Datenverarbeitungen und einer entsprechenden Vertraulichkeit verpflichtet. Mit dem Kauf dieses Online-Trainings erklären Sie sich mit dieser Datenweitergabe an Zoom und der dortigen Verarbeitung einverstanden.
In unseren ePractice32 Restaurations-Trainings bilden Sie sich im virtuellen Raum wissenschaftlich fundiert fort, ohne dabei auf die praktische Workshop-Komponente verzichten zu müssen. Sie haben die Wahl, als Participant (mit praktischen Übungen und Dentory Box) oder als Observer (Zuschauer ohne Dentory Box) teilzunehmen. Mit der Dentory Box erhalten Sie vorab die Modelle, Materialien und Instrumente, die Sie für den Hands-On-Part des Kurses benötigen, per Post zugesandt.