-
DE
Periimplantäre Gesundheit professionell gestalten | 09.05.2026 | München
Periimplantäre Gesundheit professionell gestalten | 09.05.2026 | München
490,00 €
Artikelnr.:
E104-2601-7178
KURSINHALT
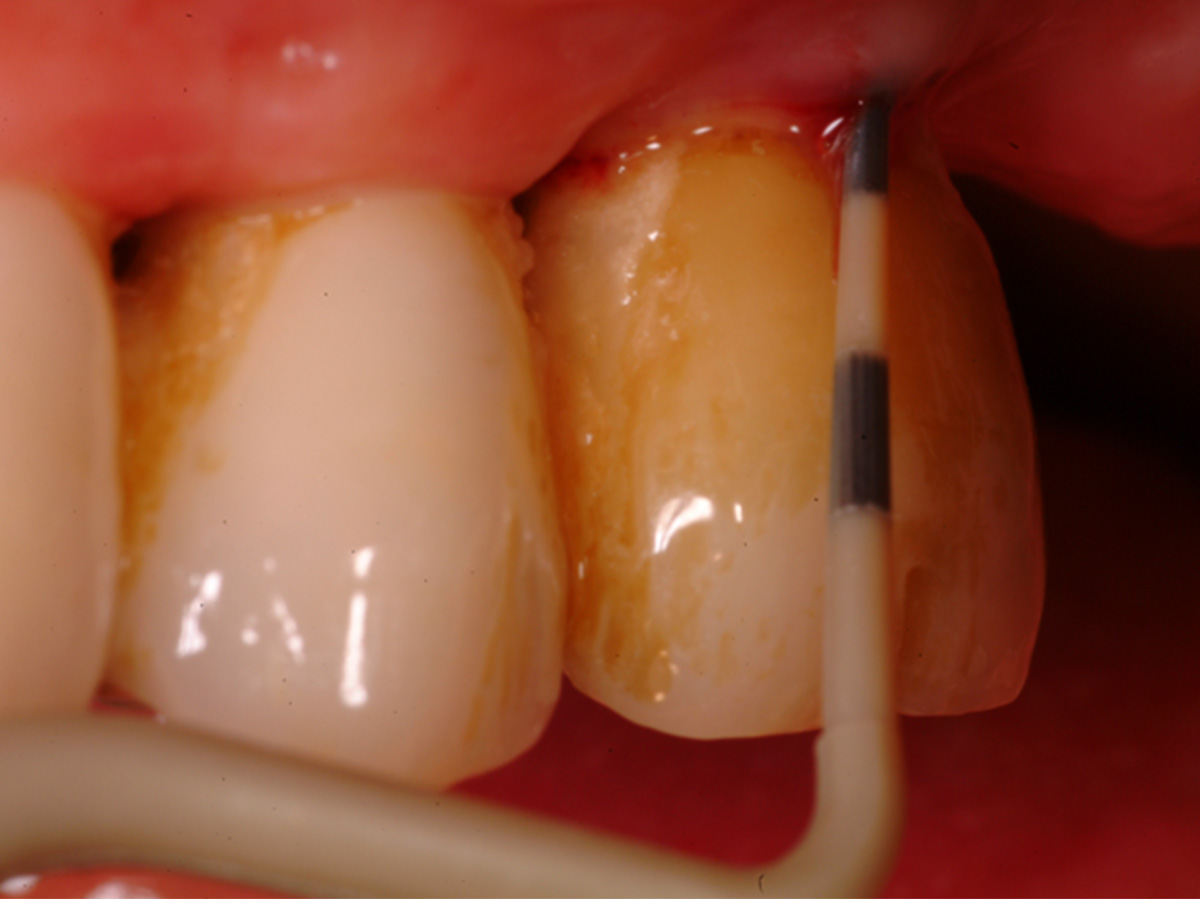
Zahnimplantate sind in der modernen Zahnarztpraxis längst Routine – ihre langfristige Gesundheit und Stabilität jedoch nicht immer. Dieser Kurs vermittelt Ihnen das fundierte Wissen und die praktischen Fähigkeiten, um periimplantäre Erkrankungen frühzeitig zu erkennen, effektiv zu behandeln und nachhaltig zu vermeiden. Basierend auf aktueller evidenzbasierter Forschung und bewährten klinischen Protokollen lernen Sie, Ihre Patienten systematisch zur optimalen Implantatgesundheit zu führen.
LERNZIEL
• Diagnostik & Prävention: Gesunde von kompromittierten Implantaten sicher unterscheiden, Frühzeichen periimplantärer Erkrankungen erkennen und systemische Risikofaktoren für die Implantatgesundheit identifizieren.
• Klinisches Management: Nicht-chirurgische Dekontaminationsprotokolle sicher anwenden, Biofilm-Unterschiede zwischen Implantaten und natürlichen Zähnen therapeutisch nutzen und Patienten-Compliance durch optimierte Pflege und Recall-Strategien stärken.
HANDS-ON
• Praktisches Trainieren an Modellen und klinischen Fallbeispielen
• Dekontaminationstechniken unter Anleitung durchführen
• Schritt-für-Schritt-Protokolle zur Patientenführung umsetzen
Materialien und Instrumente werden gestellt.
KURSZEITEN
Samstag: 09:00 - 17:00 Uhr
9 Punkte BZÄK DGZMK
Punktebewertung entsprechend der Empfehlung
Kaffeepausen und Mittagessen sind in der Kursgebühr enthalten.
Zahnimplantate sind in der modernen Zahnarztpraxis längst Routine – ihre langfristige Gesundheit und Stabilität jedoch nicht immer. Dieser Kurs vermittelt Ihnen das fundierte Wissen und die praktischen Fähigkeiten, um periimplantäre Erkrankungen frühzeitig zu erkennen, effektiv zu behandeln und nachhaltig zu vermeiden. Basierend auf aktueller evidenzbasierter Forschung und bewährten klinischen Protokollen lernen Sie, Ihre Patienten systematisch zur optimalen Implantatgesundheit zu führen.
LERNZIEL
• Diagnostik & Prävention: Gesunde von kompromittierten Implantaten sicher unterscheiden, Frühzeichen periimplantärer Erkrankungen erkennen und systemische Risikofaktoren für die Implantatgesundheit identifizieren.
• Klinisches Management: Nicht-chirurgische Dekontaminationsprotokolle sicher anwenden, Biofilm-Unterschiede zwischen Implantaten und natürlichen Zähnen therapeutisch nutzen und Patienten-Compliance durch optimierte Pflege und Recall-Strategien stärken.
HANDS-ON
• Praktisches Trainieren an Modellen und klinischen Fallbeispielen
• Dekontaminationstechniken unter Anleitung durchführen
• Schritt-für-Schritt-Protokolle zur Patientenführung umsetzen
Materialien und Instrumente werden gestellt.
KURSZEITEN
Samstag: 09:00 - 17:00 Uhr
9 Punkte BZÄK DGZMK
Punktebewertung entsprechend der Empfehlung
Kaffeepausen und Mittagessen sind in der Kursgebühr enthalten.