-
DE
Vom kleinen Eckenaufbau bis zur Composite-Krone | 19. - 20.06.2026 | Hamburg
Vom kleinen Eckenaufbau bis zur Composite-Krone | 19. - 20.06.2026 | Hamburg
990,00 €
Artikelnr.:
E56-2601-6827
KURSINHALT
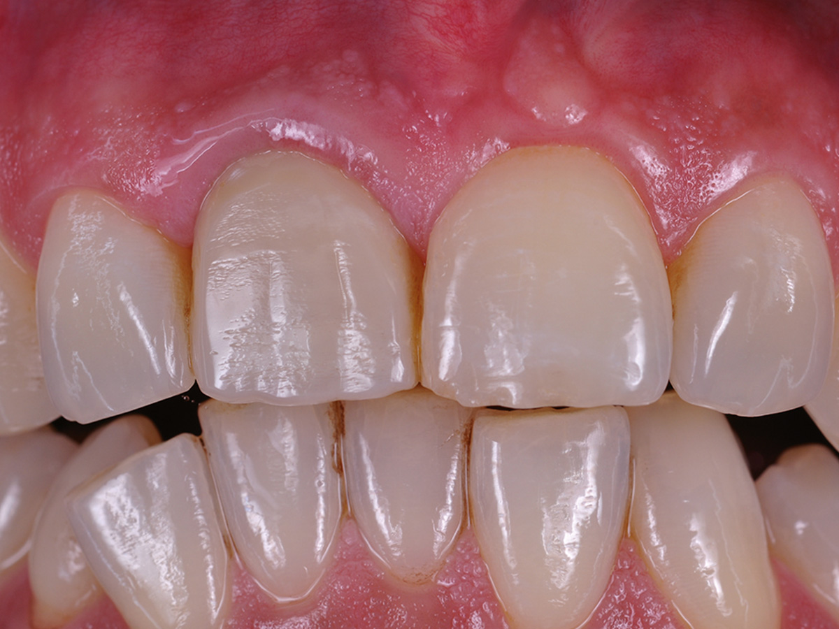
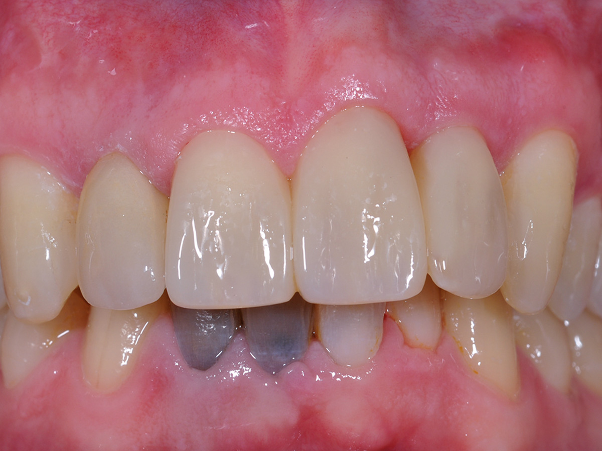
Die Lebenserwartung steigt stetig, weshalb auch unsere Zähne möglichst lange erhalten bleiben sollten. Kronen- und Implantatversorgungen dürfen erst gewählt werden, wenn wirklich keine anderen Versorgungsmöglichkeiten zur Auswahl stehen. Composite bietet ein zahnhartsubstanzschonendes Vorgehen, das den Lebenszyklus des Zahnes verlängert. Mit diesem Behandlungskonzept können Sie vom kleinsten und kniffligsten Eckenaufbau über die ästhetische Veneer-Versorgung bis hin zur direktgeschichteten Krone alles meistern.
Der Kursinhalt im Überblick:
• Eckenaufbauten
• Vom Wax-up bis zum Mock-up
• Direktes Mock-up als Verkaufsstrategie
• Diastema-Verschluss
• Zahnarchitektur
• Composite-Veneer
•Composite-Krone
HANDS-ON
Im praktischen Teil tauchen wir in die Welt der Zahnarchitektur ein. Alles – wirklich alles – ist möglich mit Composite. Dabei lernen wir, dass für eine hochästhetische und sich harmonisch eingliedernde Zahnrestauration auch dementsprechende Parameter bei der Ausarbeitung zu beachten sind. So üben wir von der kleinsten Füllung bis hin zum Composite-Veneer alles, was in der ästhetischen Zahnmedizin wichtig ist.
Materialien und Instrumente werden gestellt.
KURSZEITEN
Freitag: 14:00 - 19:00 Uhr
Samstag: 9:00 - 17:00 Uhr
15 Punkte BZÄK DGZMK
Punktebewertung entsprechend der Empfehlung
Kaffeepausen und Mittagessen sind in der Kursgebühr enthalten.
Die Lebenserwartung steigt stetig, weshalb auch unsere Zähne möglichst lange erhalten bleiben sollten. Kronen- und Implantatversorgungen dürfen erst gewählt werden, wenn wirklich keine anderen Versorgungsmöglichkeiten zur Auswahl stehen. Composite bietet ein zahnhartsubstanzschonendes Vorgehen, das den Lebenszyklus des Zahnes verlängert. Mit diesem Behandlungskonzept können Sie vom kleinsten und kniffligsten Eckenaufbau über die ästhetische Veneer-Versorgung bis hin zur direktgeschichteten Krone alles meistern.
Der Kursinhalt im Überblick:
• Eckenaufbauten
• Vom Wax-up bis zum Mock-up
• Direktes Mock-up als Verkaufsstrategie
• Diastema-Verschluss
• Zahnarchitektur
• Composite-Veneer
•Composite-Krone
HANDS-ON
Im praktischen Teil tauchen wir in die Welt der Zahnarchitektur ein. Alles – wirklich alles – ist möglich mit Composite. Dabei lernen wir, dass für eine hochästhetische und sich harmonisch eingliedernde Zahnrestauration auch dementsprechende Parameter bei der Ausarbeitung zu beachten sind. So üben wir von der kleinsten Füllung bis hin zum Composite-Veneer alles, was in der ästhetischen Zahnmedizin wichtig ist.
Materialien und Instrumente werden gestellt.
KURSZEITEN
Freitag: 14:00 - 19:00 Uhr
Samstag: 9:00 - 17:00 Uhr
15 Punkte BZÄK DGZMK
Punktebewertung entsprechend der Empfehlung
Kaffeepausen und Mittagessen sind in der Kursgebühr enthalten.