-
DE
Regenerative Parodontitis-Therapie - Möglichkeiten und Limitationen | 13.09.2025 | Köln
Bildergalerie überspringen
PD Dr. Amelie Bäumer-König, M.Sc.
Regenerative Parodontitis-Therapie - Möglichkeiten und Limitationen | 13.09.2025 | Köln
690,00 €
Nicht mehr verfügbar
Artikelnr.:
E46-2502-6794
KURSINHALT
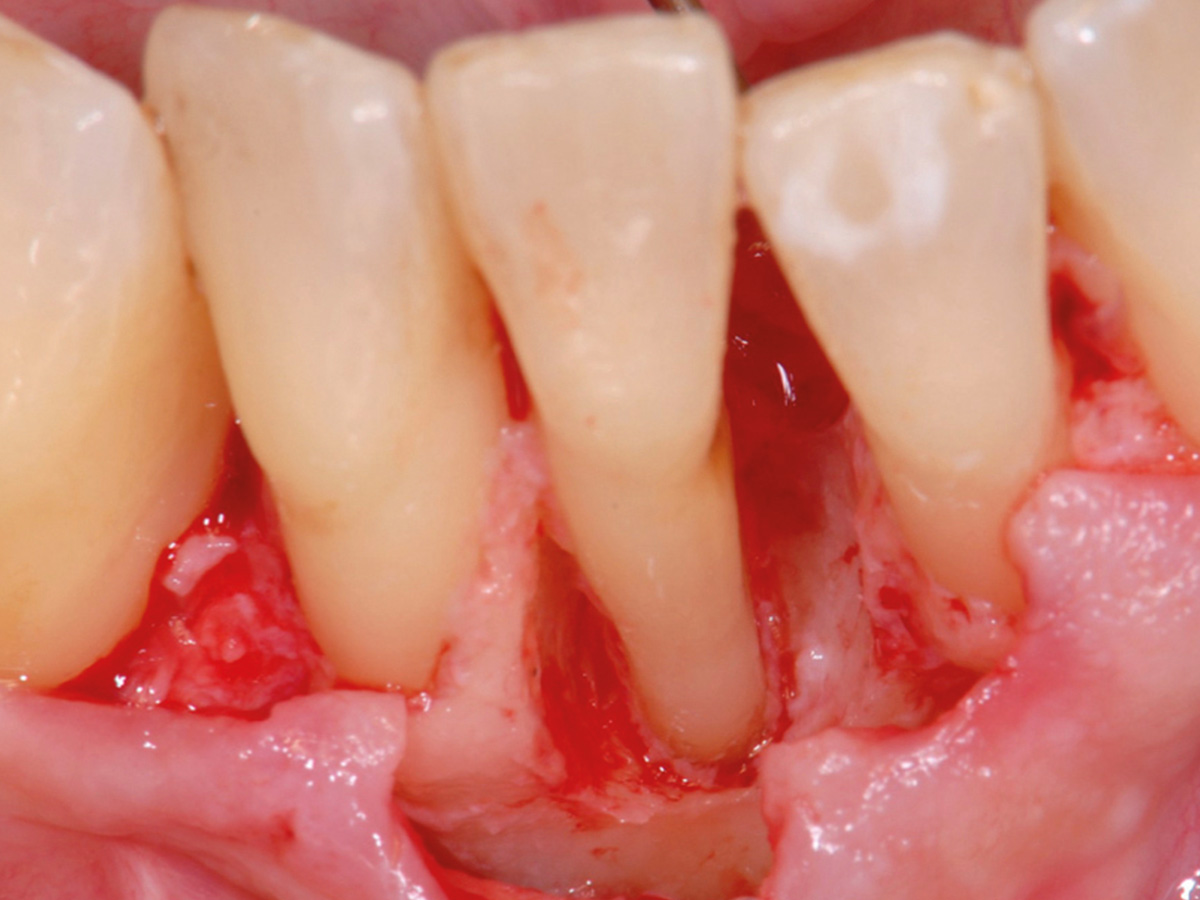
Nach der nicht-chirurgischen Parodontitis-Therapie verbleiben an stark parodontal-kompromittierten Zähnen häufig noch Resttaschen, die im Rahmen einer erfolgreichen Parodontitis-Therapie weiter behandelt werden müssen. Zu diesem Zeitpunkt stellt sich also die Frage, ob der einzelne Zahn mittels parodontalchirurgischer Verfahren erhaltungsfähig ist oder doch besser extrahiert werden sollte. Regenerative parodontalchirurgische Verfahren spielen an dieser Stelle eine große Rolle. Doch wann sollte welche chirurgische Technik, wann sollten welche regenerativen Materialien verwendet werden? Der Workshop vermittelt Kenntnisse, wann ein Zahnerhalt mittels Regeneration parodontaler Defekte erfolgreich möglich ist und wann welche chirurgischen Techniken und regenerativen Materialen zielführend sind.
HANDS-ON
Die Teilnehmer trainieren am Tiermodell verschiedene mikrochirurgische Techniken der Parodontalchirurgie. Zusätzlich werden die Schritte regenerativer Maßnahmen an unterschiedlichen Defekten (z.B. an 1-, 2- und 3-wandigen Defekten) mit den verschiedenen regenerativen Materialien geübt.
Materialien und Instrumente werden gestellt.
KURSZEITEN
Samstag: 09:00 - 17:00 Uhr
9 Punkte BZÄK DGZMK
Punktebewertung entsprechend der Empfehlung
Kaffeepausen und Mittagessen sind in der Kursgebühr enthalten.
Nach der nicht-chirurgischen Parodontitis-Therapie verbleiben an stark parodontal-kompromittierten Zähnen häufig noch Resttaschen, die im Rahmen einer erfolgreichen Parodontitis-Therapie weiter behandelt werden müssen. Zu diesem Zeitpunkt stellt sich also die Frage, ob der einzelne Zahn mittels parodontalchirurgischer Verfahren erhaltungsfähig ist oder doch besser extrahiert werden sollte. Regenerative parodontalchirurgische Verfahren spielen an dieser Stelle eine große Rolle. Doch wann sollte welche chirurgische Technik, wann sollten welche regenerativen Materialien verwendet werden? Der Workshop vermittelt Kenntnisse, wann ein Zahnerhalt mittels Regeneration parodontaler Defekte erfolgreich möglich ist und wann welche chirurgischen Techniken und regenerativen Materialen zielführend sind.
HANDS-ON
Die Teilnehmer trainieren am Tiermodell verschiedene mikrochirurgische Techniken der Parodontalchirurgie. Zusätzlich werden die Schritte regenerativer Maßnahmen an unterschiedlichen Defekten (z.B. an 1-, 2- und 3-wandigen Defekten) mit den verschiedenen regenerativen Materialien geübt.
Materialien und Instrumente werden gestellt.
KURSZEITEN
Samstag: 09:00 - 17:00 Uhr
9 Punkte BZÄK DGZMK
Punktebewertung entsprechend der Empfehlung
Kaffeepausen und Mittagessen sind in der Kursgebühr enthalten.