-
DE
Osseodensification und Augmentation aus einer Hand | 28.11.2025 | Wien
Bildergalerie überspringen
PD DDr. Michael Weinländer
Osseodensification und Augmentation aus einer Hand | 28.11.2025 | Wien
690,00 €
Artikelnr.:
E31-2502-6849
KURSINHALT
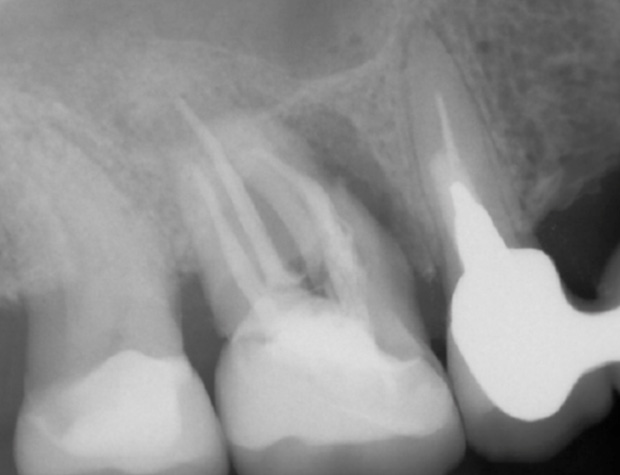
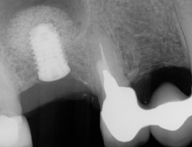
Die Entstehung der Osseodensification-Idee und ihre Anwendung auf die primären Einsatzmöglichkeiten:
• Korrektes Verdichtungsprotokoll für zylindrische und wurzelförmige Implantatkonfigurationen
• Implantatbettoptimierung mit Densah®-Bohrern zur Erhöhung der Primärstabilität - Sofortimplantation
• Transkrestales Sinusaugmentationsverfahren und standardisiertes Vorgehen entsprechend der vorhandenen Restknochenhöhe und Breite.
• Bedeutung der Sinusbodenanatomie für das transkrestale Vorgehen
• Verwendung verschiedener Augmentationsmaterialien und deren biologisches Verhalten
• Bedeutung und Stellenwert der transkrestalen Sinusaugmentation in Bezug zur klassischen lateralen Windowtechnik
• Wissenschaftliche Grundlagen und klinische Studien zur Osseodensification
HANDS-ON
Praktische Anwendung des im theoretischen Teil erworbenen Wissens an verschiedenen Modellen.
Materialien und Instrumente werden gestellt.
LERNZIEL
Die Kursteilnehmer sollten in der Lage sein, verschiedene klinische Situationen hinsichtlich einer Einsatzmöglichkeit der Osseodensification- Methode evaluieren zu können - sei es im Bereich der Implantatbettoptimierung oder Sinusbodenaugmentation.
KURSZEITEN
Freitag: 09:00-17:00 Uhr
9 Punkte BZÄK DGZMK
Punktebewertung entsprechend der Empfehlung
Kaffeepausen und Mittagessen sind in der Kursgebühr enthalten.
Die Entstehung der Osseodensification-Idee und ihre Anwendung auf die primären Einsatzmöglichkeiten:
• Korrektes Verdichtungsprotokoll für zylindrische und wurzelförmige Implantatkonfigurationen
• Implantatbettoptimierung mit Densah®-Bohrern zur Erhöhung der Primärstabilität - Sofortimplantation
• Transkrestales Sinusaugmentationsverfahren und standardisiertes Vorgehen entsprechend der vorhandenen Restknochenhöhe und Breite.
• Bedeutung der Sinusbodenanatomie für das transkrestale Vorgehen
• Verwendung verschiedener Augmentationsmaterialien und deren biologisches Verhalten
• Bedeutung und Stellenwert der transkrestalen Sinusaugmentation in Bezug zur klassischen lateralen Windowtechnik
• Wissenschaftliche Grundlagen und klinische Studien zur Osseodensification
HANDS-ON
Praktische Anwendung des im theoretischen Teil erworbenen Wissens an verschiedenen Modellen.
Materialien und Instrumente werden gestellt.
LERNZIEL
Die Kursteilnehmer sollten in der Lage sein, verschiedene klinische Situationen hinsichtlich einer Einsatzmöglichkeit der Osseodensification- Methode evaluieren zu können - sei es im Bereich der Implantatbettoptimierung oder Sinusbodenaugmentation.
KURSZEITEN
Freitag: 09:00-17:00 Uhr
9 Punkte BZÄK DGZMK
Punktebewertung entsprechend der Empfehlung
Kaffeepausen und Mittagessen sind in der Kursgebühr enthalten.