-
DE
Die Trickkiste der Zahnerhaltung | 15.11.2025 | Köln
Bildergalerie überspringen
Prof. Dr. Diana Wolff
Die Trickkiste der Zahnerhaltung | 15.11.2025 | Köln
690,00 €
Nicht mehr verfügbar
Artikelnr.:
E68-2501-6799
KURSINHALT
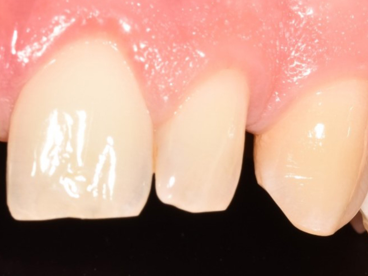
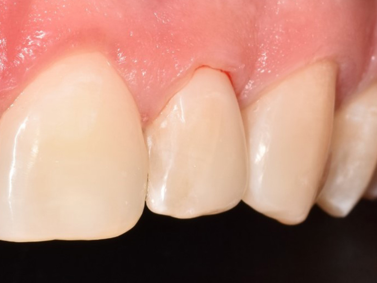
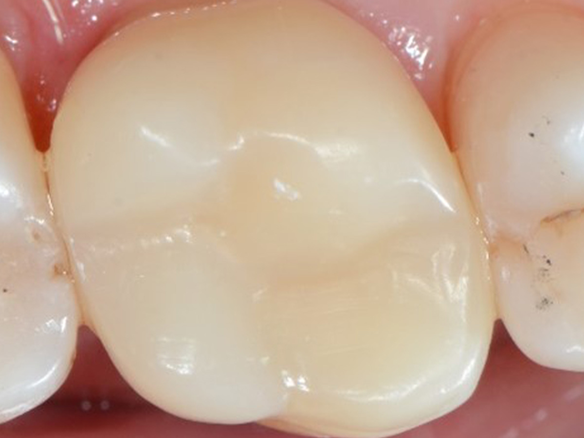
Komposit – Yes we can! In den Klassen I bis V sind Kompositrestaurationen heutzutage in aller Munde! Sie gehören zum „Brot-und-Butter“ Geschäft der konservierenden Zahnmedizin und werden erfolgreich und mit guten klinischen Überlebensraten eingesetzt. Bemerkenswerte Erfolge in den letzten Jahrzehnten haben dazu geführt, dass wir mutiger geworden sind und die Indikationsbereiche ausgedehnt haben. Heute führen wir direkte Kompositversorgungen mikroinvasiv (z.B. Infiltration von initialen kariösen Läsionen), minimalinvasiv (z.B. Zahnformkorrekturen, Zahnverbreiterungen, Zahnanhänger), bis hin zum postendodontischen Höckerersatz, direkten Kronen oder subgingival reichenden Restaurationen (Stichwort Kastenelevation) erfolgreich durch. Der Kurs vermittelt einen praxisbasierten Einblick in zahlreiche Facetten
der Kompositversorgungen, beschreibt die möglichen Indikationsbereiche, gibt hilfreiche Tipps und Tricks für die erfolgreiche Anwendung und zeigt die Grenzen der Methoden auf.
HANDS-ON
Wir stellen eine Kastenelevation bei tief subgingivaler Kavität her, und lernen Tricks für schnelle und effiziente Formgebung bei umfassenden Zahndefekten (z.B. Höckerersatz) und Zahnformkorrekturen. Sie lernen Kniffe für Präparation, Adhäsivtechnik, Blutstillung, Materialeinbringung, Matrizentechniken, Ausarbeitung und Politur. Interessant für alle, die Zahnerhaltung lieben.
Materialien und Instrumente werden gestellt
LERNZIEL
Sie lernen die vorhersagbare und sichere Anwendung direkter Kompositversorgungen in Indikationsbereichen über die Standardkavitätenklassen I-V hinaus (Kastenelevation, Höckerersatz, Zahnformkorrektur). Sie erweitern damit ihr zahnerhaltend-konservierendes Behandlungsspektrum mit direkten Kompositversorgungen.
KURSZEITEN
Samstag: 09:00 - 17:00 Uhr
9 Punkte BZÄK DGZMK
Punktebewertung entsprechend der Empfehlung
Kaffeepausen und Mittagessen sind in der Kursgebühr enthalten.
Komposit – Yes we can! In den Klassen I bis V sind Kompositrestaurationen heutzutage in aller Munde! Sie gehören zum „Brot-und-Butter“ Geschäft der konservierenden Zahnmedizin und werden erfolgreich und mit guten klinischen Überlebensraten eingesetzt. Bemerkenswerte Erfolge in den letzten Jahrzehnten haben dazu geführt, dass wir mutiger geworden sind und die Indikationsbereiche ausgedehnt haben. Heute führen wir direkte Kompositversorgungen mikroinvasiv (z.B. Infiltration von initialen kariösen Läsionen), minimalinvasiv (z.B. Zahnformkorrekturen, Zahnverbreiterungen, Zahnanhänger), bis hin zum postendodontischen Höckerersatz, direkten Kronen oder subgingival reichenden Restaurationen (Stichwort Kastenelevation) erfolgreich durch. Der Kurs vermittelt einen praxisbasierten Einblick in zahlreiche Facetten
der Kompositversorgungen, beschreibt die möglichen Indikationsbereiche, gibt hilfreiche Tipps und Tricks für die erfolgreiche Anwendung und zeigt die Grenzen der Methoden auf.
HANDS-ON
Wir stellen eine Kastenelevation bei tief subgingivaler Kavität her, und lernen Tricks für schnelle und effiziente Formgebung bei umfassenden Zahndefekten (z.B. Höckerersatz) und Zahnformkorrekturen. Sie lernen Kniffe für Präparation, Adhäsivtechnik, Blutstillung, Materialeinbringung, Matrizentechniken, Ausarbeitung und Politur. Interessant für alle, die Zahnerhaltung lieben.
Materialien und Instrumente werden gestellt
LERNZIEL
Sie lernen die vorhersagbare und sichere Anwendung direkter Kompositversorgungen in Indikationsbereichen über die Standardkavitätenklassen I-V hinaus (Kastenelevation, Höckerersatz, Zahnformkorrektur). Sie erweitern damit ihr zahnerhaltend-konservierendes Behandlungsspektrum mit direkten Kompositversorgungen.
KURSZEITEN
Samstag: 09:00 - 17:00 Uhr
9 Punkte BZÄK DGZMK
Punktebewertung entsprechend der Empfehlung
Kaffeepausen und Mittagessen sind in der Kursgebühr enthalten.